- +1
乳腺癌的筛查与确诊,每个女性都要了解
这里是「专家说」栏目,听专家说健康。栏目内容首发于丁香医生 App。本期我们邀请到广东省人民医院乳腺科肖伟锴医生,和大家聊聊「乳腺癌」是如何检查和确诊的。
乳腺病灶的检查首先通过影像学检查,常用的有乳腺超声和钼靶,初步评估乳房内有无病变,根据病变的形状初步判断良性还是恶性的可能性。
注意,这个其实看外表,以貌取人,就是看外形长的像不像,因此不是最终的确诊结果。
如果说外形特点越像,肯定恶性的可能性越大。对于外形高度怀疑的病灶需要通过病理穿刺活检才能最终确诊。
乳腺彩超
图片来源:肖伟锴医生提供也就是乳腺超声,超声检查的原理是利用不同组织的对声音的阻挡能力不同,最终反射回来的声波不同,从而区分乳腺内是否异常病灶。
乳腺彩超的优势就是显示结节更清楚,但是对小钙化灶的显示能力有限。乳腺彩超的优点就是无辐射,非常安全,简单快捷,当场可以拿报告,价格也相对便宜。
孕期和哺乳期的也可以乳腺彩超检查。对于小于 40 岁的年轻女性更适合做乳腺彩超检查。
乳腺钼靶
图片来源:肖伟锴医生提供也就是乳腺 X 线检查,最终显示整个乳房的密度,不同组织的密度情况不一样。
比如钙化灶密度就很高,显示出亮点,而水样的东西比如囊肿就会显示低密度。
钼靶的优势在于可以看钙化灶比较敏感,而评估乳腺结节方面有时候并不是那么清楚。钼靶有轻微的辐射,但是单次检查剂量非常小,都是比较安全的。
有时候为啥做完钼靶还要做彩超,就是因为两种手段有各自的优缺点,有些检查这种手段发现不了,另外一种可以发现,两个一起看看更准确,不容易漏诊。
乳腺磁共振
图片来源:肖伟锴医生提供磁性,类似于磁铁的功能,因此磁共振观察的是人体内的氢离子对磁性的共振情况。
因为乳腺组织和病变的氢离子含量是不同的,因此在磁场下回显示出不同的信号,这样可以区分正常还是异常。磁共振对软组织能力的显示是比较清楚的,因此磁共振也是乳腺的一个重要检查手段。磁共振没有辐射,也是比较安全的。
磁共振的价格比较贵,检查相对繁琐和检查时间长,预约时间长,因此很少用于正常的健康体检,但是确诊乳腺癌后,做个磁共振可以有利于评估是否含有彩超或钼靶未发现的病灶,有利于评估对侧乳房情况。
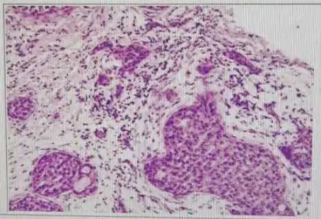
病理活检
图片来源:肖伟锴医生提供这个是最终的确诊手段,只有病理确诊了才算是真正确诊乳腺癌了。
最常用的是穿刺活检(类似打针),需要在超声或者其他手段的引导下,穿刺约 3 小条组织(类似 1 厘米的粉丝)送去病理科化验,病理科医生对组织染色以后运用显微镜看病变组织里面有无癌细胞,如果看到癌细胞则确诊为癌。
其他活检手段还包括微创旋切(切取的肿块较大)或者开放手术(切除整个肿块)送去病理科化验。
图片来源:丁香医生 App 肖伟锴主页策划制作
策划:杰西 | 监制:萌萌 | 排版:肥肥
原标题:《乳腺癌的筛查与确诊,每个女性都要了解》
本文为澎湃号作者或机构在澎湃新闻上传并发布,仅代表该作者或机构观点,不代表澎湃新闻的观点或立场,澎湃新闻仅提供信息发布平台。申请澎湃号请用电脑访问http://renzheng.thepaper.cn。





- 报料热线: 021-962866
- 报料邮箱: news@thepaper.cn
互联网新闻信息服务许可证:31120170006
增值电信业务经营许可证:沪B2-2017116
© 2014-2026 上海东方报业有限公司




