- +1
中老年朋友“膝盖疼痛”知多少——膝骨关节炎
很多中老年朋友经常会出现膝关节(俗称“膝盖”)疼痛、肿胀、僵硬,上下楼梯甚至平地走路困难,这个原因有很多,比如骨关节炎、类风湿性关节炎、痛风、关节滑膜病变等,其中以膝骨关节炎最为常见。接下来,同朋友们一起了解一下膝骨关节炎相关知识。一
膝关节的构造是怎样的?
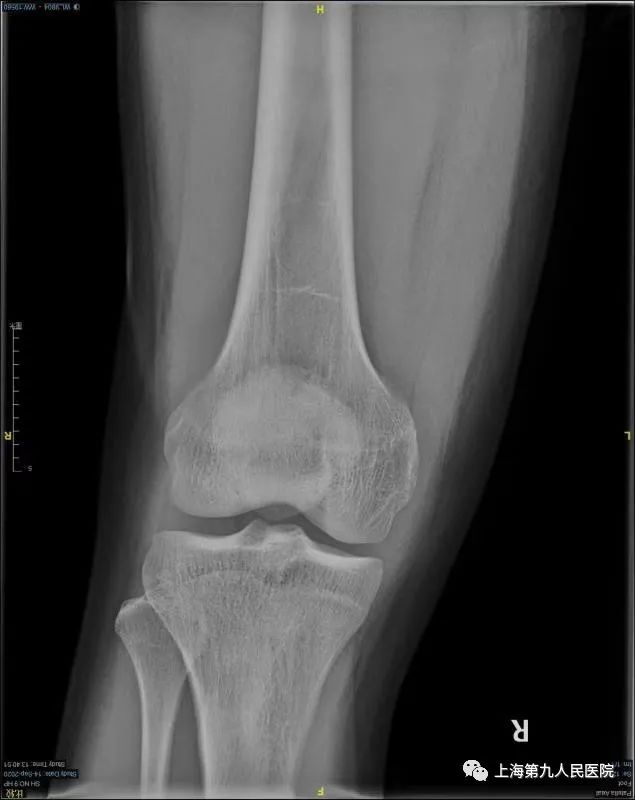
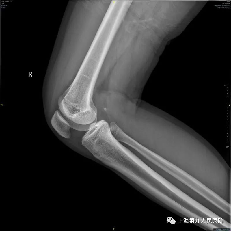
好多膝关节疼痛的朋友到医院寻诊时,医生多会让做一个膝关节的X线检查,就是下方这两张X线片,一张正位片、一张侧位片。

每个人的膝关节是由3块骨头加上一些软骨、韧带等软组织组成的。这3块骨头分别是股骨(大腿骨)、胫骨(小腿骨)和髌骨(膝盖骨)。每块骨头的表面有一层软骨,软骨富有弹性而又光滑,并且没有神经支配,有利于骨头之间无痛而又圆滑的摩擦活动;另外,在股骨和胫骨中间有两个垫片,叫作半月板,有调节冲击力的作用,并让骨表面之间更贴合。在日常生活中,健康的软骨和半月板保证我们的膝关节能够顺畅的完成各种活动。二
什么是膝骨关节炎?
骨关节炎是最常见的关节疾病,并非关节“感染发炎”,其实就是我们大家平时一直说的关节老化、长骨刺、关节磨损、退行性关节病。由于各种原因,比如衰老、关节损伤、炎症、肥胖、遗传等,导致关节出现软骨损伤、退变、剥脱,关节间隙狭窄,滑膜增生,边缘骨赘形成等变化。
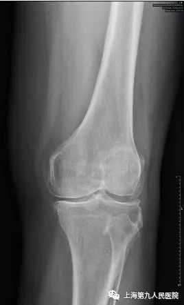
全身任何关节都可能发生骨关节炎,由于膝关节使用频繁、活动多、承受体重大等因素,发生骨关节炎更为常见。发生膝骨关节炎的朋友通常表现为关节疼痛、僵硬、肿胀,活动后疼痛加重,休息后有缓解,遇见寒冷、潮湿环境疼痛会加重。有些人平时走路还可以,但是上下台阶、起坐马桶或椅櫈困难;有些人平时疼痛症状轻微,而在一个轻微的扭伤后就出现关节显著的疼痛肿胀,长时间不能缓解。比如,66岁的王阿姨,平时身体没啥毛病,就是左侧膝盖痛了5年多,时好时坏,一开始出现关节疼痛后休息几天就好了,平时也没当回事。后来上下楼梯疼痛明显,平地上也走不远了,还变成了罗圈腿,最近半年关节疼痛更明显,有时晚上睡觉也疼,这样就很少出家门,生活影响很大。1月前到医院检查,拍X线片看到膝关节已经明显退变,缝隙变窄,磨损严重,骨质增生。

三得了膝骨关节炎对
身体有什么影响?
对于中老年朋友来说,膝骨关节炎是一个慢性、逐步进展性的疾病,就跟糖尿病、高血压类似,难以除根,需要平时加以控制。而从另一方面讲,膝骨关节炎不会像恶性肿瘤一样,危及生命。但是,得了膝骨关节炎,需要朋友们改变一些日常的生活与活动方式,否则,它会逐步发展到疼痛严重、关节变形,给身体、与心里带来越来越大的影响。
我们都知道“生命在于运动”,一旦膝骨关节炎变得严重,1
它将限制日常活动,直接影响睡眠休息、买菜、做饭、散步、旅游等,老年朋友们难以享受退休生活;
2
持续的疼痛与活动受限,会带来消极负面情绪、心里压抑,甚至抑郁;
3
由于活动受到限制,肌肉力量减弱、身体平衡与反应能力下降,加重并存的骨质疏松、高血压、糖尿病、肥胖以及心血管等问题,影响身体长期寿命。
四
得了膝骨关节炎应
该怎么治疗呢?
一般而言,医生会根据膝关节退变的不同程度,建议不同的治疗方案;这通常还要结合年龄、症状、个人要求等方面综合考虑。
首先是保守治疗,适用于那些年龄较轻、关节疼痛不明显或容易控制、关节软骨退变轻、以及对生活质量要求不高的病友。希望通过保守治疗,能够改善症状,维持或延缓关节退变。相关手段包括,1
改变生活、运动方式,来保护关节;
2
对于关节退变轻者,可选择性尝试口服氨基葡萄糖类营养品,尝试关节腔注射玻璃酸钠;
3
在症状急性期,减少活动量,口服或外用一些对乙酰氨基酚或非甾体类消炎止痛药物,也可尝试关节腔“封闭”(注射糖皮质激素)来缓解症状。如果膝骨关节炎逐步发展,通过保守措施不能够有效缓解的话,那么要考虑手术治疗了。
五
膝骨关节炎朋友们应该
如何保护膝关节呢?
1
改变活动方式,适当使用手杖;理疗、注意保暖;选择合适的鞋子;控制体重,超重会增加关节负担。
2
不推荐的锻炼方式包括:
(1)爬山、爬楼等类似运动,会对膝关节产生较大的压力,会加速关节磨损;
(2)半蹲、深蹲、蹲起锻炼等,这些姿势均会增加膝关节的压力,尤其对髌股关节不利;
(3)长时间的站立、长距离行走与长跑;
(4)一些急停、急跳动作较多的运动,如篮球、羽毛球等;
(5)久坐、卧床等,膝关节长期不活动可引起肌肉萎缩,关节僵硬,疼痛反而会越来越严重,膝关节功能也会逐步下降。
3
鼓励病友们在医生指导下,选择适当的运动方式。通常包括,
(1)节活动范围锻炼:屈伸活动膝关节,尽量到最大角度,保持关节活动度;
(2)肌肉力量锻炼:锻炼膝关节周围肌肉群,尤其是股四头肌的力量,可使关节更加稳定,比如平卧位进行勾脚直抬腿。
(3)耐力锻炼:游泳和骑自行车是最常用的。
六
到什么程度需要手术治疗?
手术的目的是提高活动水平、改善生活质量,能够从事日常生活,实现旅游、舞蹈和一些体育活动的能力。如果病友们得了膝骨关节炎,一走路就疼痛,或者走不了1公里路就疼痛,对生活质量影响明显,同时结合医学影像学检查证实膝关节退变确实比较严重,就要考虑膝关节的手术治疗。七
需要进行什么样的手术?
膝骨关节炎的手术治疗有多种方式。通常,医生会考虑年龄、症状、病变程度等方面,为病友们选择个体化的方式。有时采用膝关节镜手术处理关节腔内绞锁的半月板、游离体或滑膜组织;有时对于年轻病友,采用截骨矫形的方式来矫正弯曲的关节,调整关节的承重方式;有时对于部分磨损的关节,采用局部修补的方式(单髁置换)来处理;有时需要采用关节表面置换的方式来替换磨损严重的软骨面,为膝关节提供新的摩擦面。作者:上海九院 骨科 于德刚
原文刊于《健康报》
本文为澎湃号作者或机构在澎湃新闻上传并发布,仅代表该作者或机构观点,不代表澎湃新闻的观点或立场,澎湃新闻仅提供信息发布平台。申请澎湃号请用电脑访问http://renzheng.thepaper.cn。





- 报料热线: 021-962866
- 报料邮箱: news@thepaper.cn
互联网新闻信息服务许可证:31120170006
增值电信业务经营许可证:沪B2-2017116
© 2014-2026 上海东方报业有限公司




