- +1
患者一听“裂孔”吓坏了,黄斑裂孔是一种什么样的眼病?
原创 同仁赵阳 白内一把刀 收录于话题#眼底病专栏10个
■ 文|玻切聪医生
我是聪医生,我是一名眼底医生。
时常会遇到一些患者,因为出现视力下降、视物变形等症状,来到我的门诊,以为只是白内障在作怪,结果一查,原来发生了黄斑裂孔。一听说是“裂孔”,患者就着急得不得了,连忙问我是怎么回事。
今天我就来大家科普一下,黄斑裂孔是一种什么样的眼病。
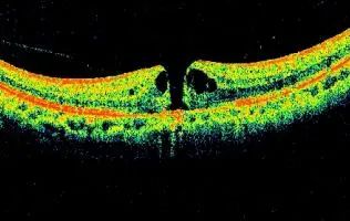
黄斑裂孔,是黄斑发生了病变黄斑本身并不是一种疾病,而是眼球内部的一个位置,因其富含叶黄素,故称之为“黄斑”。黄斑位于视网膜上,是视觉最敏锐的特殊区域。查视力表时,查的就是黄斑区的中心视力,一旦黄斑部位发生了病变,中心视力就会受到严重影响。
黄斑裂孔则是黄斑部视网膜神经上皮层组织出现了缺损,一般为圆形。黄斑裂孔根据病因分为原发和继发两种,前者又称为特发性黄斑裂孔,会出现玻璃体牵拉黄斑,或黄斑本身发生退行性薄变,没有明确致病原因, 发生年龄为50-80岁;继发性包括外伤性(激光笔或者美容激光的照射损伤,眼球钝挫伤,强烈的日光或者电焊弧光的照射损伤等)、高度近视合并眼球向后扩大形成裂孔,眼内长期慢性炎症、视网膜静脉阻塞、糖尿病视网膜病变等引起黄斑区囊样水肿薄变等。

黄斑裂孔有什么典型症状根据裂孔的严重程度,黄斑裂孔又可以分为全层和板层裂孔。
全层裂孔:会引起视力严重下降和视物变形, 视力通常降至0.05以下,或伴有视物变形。所谓视物变形,是指将直线或有直线轮廓的物体视为曲线形,是最常见、最突出的症状。
板层裂孔:通常视力在0.3以上,如果合并明显的黄斑前膜则需要考虑手术,否则可以暂时观察。

黄斑裂孔怎么治疗?临床上,对于黄斑裂孔一般采取手术方式进行治疗,早期治疗预后良好。
任何原因的黄斑裂孔,手术目的是剥除黄斑区的内界膜和/或前膜,解除玻璃体对黄斑的牵拉,松解裂孔周围的前膜及内界膜,促进裂孔闭合,一方面促进黄斑裂孔解剖复位,另一方面提高视力,改善视觉质量。
术后视力的改善与裂孔是否闭合有关。裂孔根据孔径大小分为四级:
小裂孔:孔径小于等于300um;
中等裂孔:孔径 300-600um;
大裂孔:孔径600-900um;
超大裂孔:大于等于900um。
裂孔越大越难闭合,有时即便小裂孔,也有不闭合的可能性。
术后视力的改善还与视网膜外层光感受器细胞的结构完整与连续与否有密切关系。有时裂孔闭合很好,可视力恢复不理想,就与后者的结构不连续有关。
通常裂孔越小,闭合率越高,视力预后越好;裂孔越大,越难闭合,术后视力恢复越差;术后视物变形可能不会完全消失。
高度近视患者属于特殊人群,尤其是后极部存在后巩膜葡萄肿和脉络膜萎缩的,通常需要眼内填充惰性气体,增加填充物的顶压时间,帮助黄斑裂孔闭合;如果合并视网膜脱离,可能会填充硅油;硅油较气体存留的时间长,但是表面张力没有气体好,反而不利于裂孔的闭合。具体情况由医生在术中综合判定。
黄斑裂孔什么时候需要手术一般来说,黄斑裂孔的手术指征为:
视力急剧下降或伴视物变形,有明确的黄斑裂孔存在,视力下降至0.4以下。(视力标准有一定弹性,以手术医生意见为准)
另外如果年龄大于50岁,合并白内障,可考虑黄斑裂孔联合晶体摘除手术。
黄斑裂孔术后需要注意什么(1)黄斑裂孔手术如果联合白内障手术,因为白内障的切口在角膜上方,故点药的时候最好扒开下眼睑,病人向上看,眼药点至下眼窝内,或点在内眼角,避免点在黑眼珠(指的是角膜)上,造成患者刺激性流泪的症状;
(2)术后第一天复查完回家可以摘掉眼垫,如果因俯卧位或者流泪多,可以暂时用来保护眼睛,但不建议长时间保留;术后1周可以洗澡,洗澡后用可乐必妥清洁点眼,避免用力揉眼;
(3)黄斑裂孔通常会眼内留置惰性气体,由于这种气体存留的时间一般为1个月,术后需要保持面向下体位的时间相应延长至至少3周,因此会比较辛苦。需要提醒患者的是,术后医生经常会告诉患者要保持俯卧位,但实际上医生要求的是面向下即可,就是眼球的位置向下。可以低头走路,可以坐在椅子上趴在桌子或者床上,也可以直接趴在床上,但一定要注意保护前额,避免皮肤压破,还要注意保护双肘和双膝,避免一个姿势时间过长,造成不必要的其他组织的损伤;有的患者甚至出现双侧尺神经麻痹,造成双手小指和无名指麻木而无法恢复。(4)眼内留存气体,术后早期视力都会很差,不要紧张;气体在吸收的过程中,患者的视力自上而下恢复,看见的范围会逐渐扩大,眼前会动的黑影从下方最后消失。
好了,关于黄斑裂孔到底是一种什么样的疾病,今天就分享到这里了。
总之,如果眼睛突然出现视力下降、视物变形等症状,千万别不当回事,一定要及时去医院检查,做到早发现早治疗。下一期,我会写一篇关于黄斑裂孔的术前术后全攻略,大家也一定记得来看。
我是聪医生
也是一名眼科医生
本文为澎湃号作者或机构在澎湃新闻上传并发布,仅代表该作者或机构观点,不代表澎湃新闻的观点或立场,澎湃新闻仅提供信息发布平台。申请澎湃号请用电脑访问http://renzheng.thepaper.cn。





- 报料热线: 021-962866
- 报料邮箱: news@thepaper.cn
互联网新闻信息服务许可证:31120170006
增值电信业务经营许可证:沪B2-2017116
© 2014-2026 上海东方报业有限公司




