- +1
10岁男孩突然瘸了,这个会“隐身”的肿瘤,专害小孩子
原创 腾讯医典
两周前,广东汕头10岁男孩小武(化名)右大腿根突然疼了起来,疼得他走路只能一瘸一拐。
爸妈带他去了一个小诊所,医生说是伤到筋了,给他做了理疗。但小武的剧痛不仅没有好转,反而还不断加重。又过了一个星期,可怜的小武已经完全站不起来,更别提走路了。
爸爸妈妈急了,马上带孩子去当地的大医院看病,X片能看到右边的股骨发生了骨折。可跑遍当地医院,得到的答案只有一个:病情复杂,无法处理。
疼痛的原因找到了,却治不了……看着每天痛不欲生、整夜睡不着觉的儿子,小武爸妈心急如焚,却不知道怎么办。
经人介绍,他们决定带孩子来到广州求医,经历了跌宕起伏的求医之旅。
接诊医生仔细看了小武的片子,结合病史和查体,找到了问题的根源——孩子右侧股骨上长了个肿瘤,瘤子造成了骨破坏,进而导致了骨折。
(左图为CT影像,红圈为骨折处;右图为MRI影像,红圈处为骨肿瘤。南方医科大学中西医结合医院供图)骨肿瘤!
听到这两个字,小武爸妈懵了……
“我们家孩子还有救吗?”
“先别急,瘤子是恶性还是良性,暂时无法判断,需要切下来做病理检查。但目前初步判断,应该是良性的。”
医生说,小武才10岁,正是生长发育的关键期,骨肿瘤长在股骨上,如果按传统手术切掉,可能影响股骨后期的生长发育,也就可能影响小武的身高。
但由于初步考虑良性病变可能性大,因此可以用微创手术,在股骨外侧开个“小窗户”,把瘤子刮除,同时也可以把股骨的骨折给复位并固定。这样手术风险会比较低。
所幸,小武术后的病理结果是良性,最终确诊是动脉瘤样骨囊肿。目前,他身体恢复得也不错,伤口愈合很好,在支具的保护下已经可在床边站立,现在逐步开始试着走路了。
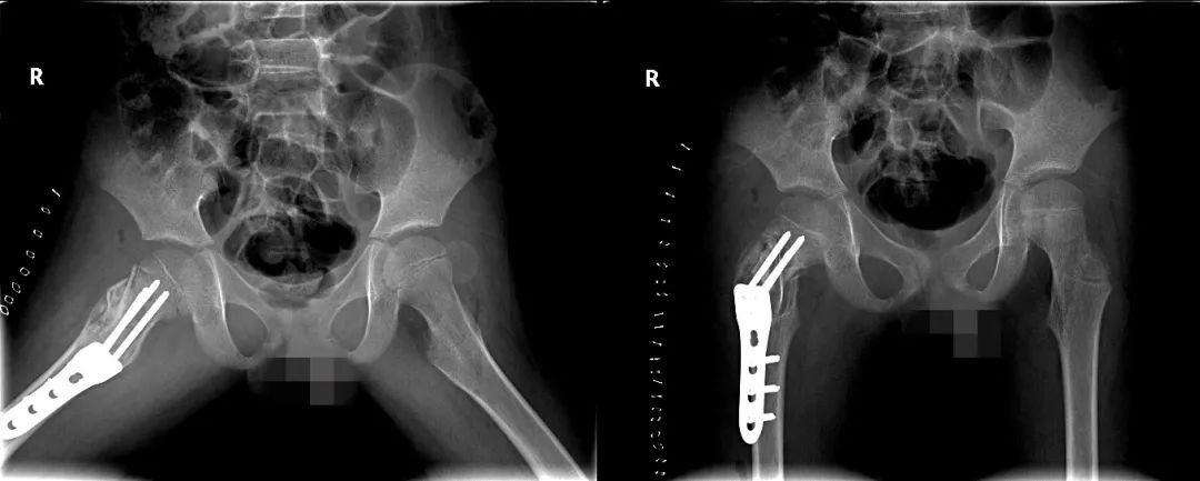
(小武髋部的骨肿瘤切掉后,植入了内固定的器具。南方医科大学中西医结合医院供图)等再过一段时间复查X线,如果医生能看到新生的骨慢慢填满骨腔,小武就可以拆掉支具了,开始日常活动了。床边走走、出去散散步等,都没问题。
等植骨和骨折处完全愈合后,他的右腿就基本能恢复正常活动了,跑跑跳跳、球类运动等都不受影响,身体发育和长个子也都没问题。
当然!骨肿瘤并没有想象中那么吓人。
小武得的动脉瘤样骨囊肿,就是一种良性的病变,发病率占原发性骨肿瘤的1.3%[1]。它可以单独发生病变,也可并发于其他骨肿瘤,不会和恶性肿瘤并发。
(动脉瘤样骨囊肿示意图。医典自制)这个病最常发生在10~20岁的儿童青少年,30岁以上就非常少见了。它最常发生在长管状骨的头端、脊柱和骨盆[2]。
什么叫长管状骨呢?
其实就是“大腿骨”(股骨)、“小腿骨”(小腿的胫骨和腓骨)等长长的那些骨头。
动脉瘤样骨囊肿比较“懒”,发展得比较慢,症状也不算太明显,主要表现为身上长出一个小肿块,肿块不断地变大、出血,慢慢地可能导致关节活动不灵活。
像小武这样出现病理性骨折的情况,临床上还是比较少见的。
常看科普的你想必知道,很多病的表现都差不多,容易误诊。动脉瘤样骨囊肿有时会导致皮肤红肿、血管扩张、皮温升高,容易被误诊为恶性肿瘤。
但更可怕的是,它的表现和孩子长个儿时正常的“生长痛”也有点像。
13岁以下的孩子,有时双腿会出现痉挛性的肌肉痛,通常在午后或晚上出现,甚至能让孩子在半夜痛醒。生长痛一般开始于3~4岁,往往会在孩子8~12岁时复发[3]。
(生长痛示意图。医典自制)那生长痛和骨肿瘤怎么区别呢?
一个最简单的方法就是:看孩子一条腿不舒服,还是两条腿都疼。
生长痛一般会出现在双腿,特别是在大腿前部、小腿后部或膝盖后部。
如果只有一条腿出现疼痛,那可能是更严重疾病的征兆。
多看医典:当然,如果把判断疾病的任务交给家长,那也太难了。如果孩子老嚷嚷腿疼,还是带着去看医生吧。
如果医生判断是生长痛,那一般不需要特殊的治疗。爸爸妈妈可以多为孩子按摩、拉伸、热敷双腿,还可以适量给孩子补补钙。
审稿专家:徐洪璋 | 南方医科大学中西医结合医院骨伤科副主任医师
本文为澎湃号作者或机构在澎湃新闻上传并发布,仅代表该作者或机构观点,不代表澎湃新闻的观点或立场,澎湃新闻仅提供信息发布平台。申请澎湃号请用电脑访问http://renzheng.thepaper.cn。





- 报料热线: 021-962866
- 报料邮箱: news@thepaper.cn
互联网新闻信息服务许可证:31120170006
增值电信业务经营许可证:沪B2-2017116
© 2014-2026 上海东方报业有限公司




