- +1
健康教育周 | “致命”的鸡骨——关于食道异物你应该知道的小知识
原创 头颈外科 复旦大学附属眼耳鼻喉科医院

一根鸡骨引发的灾难
常言道:“能吃是福”,可金先生却因为“吃”而吃了大苦头。故事还得从朋友聚餐开始,没吃几口金先生就好像被骨头卡住了,咳嗽了几声,只觉得喉咙有点疼,也没当回事,在朋友的建议下他还喝了几口醋,咽了几大口饭。没想到第二天他的喉咙更疼了,迫不得已,金先生才到当地卫生院求医。辗转求医 病情加剧
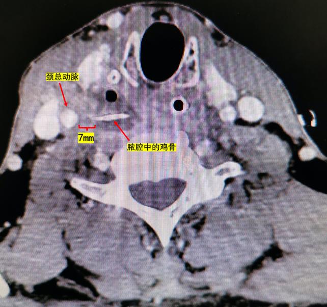
当地卫生院检查之后便立即建议金先生前往上级医院就诊。金先生先后辗转市级医院以及多家综合医院检查发现鸡骨头可能已经部分穿破到食道外面,但均未能取出。到我院就诊时,这枚鸡骨已经在金先生的颈部卡了4天,颈部的疼痛已经越来越剧烈,金先生出现了颈项强直体位,就连吞一口水都很困难,不敢吃饭,也睡不着觉。经我院头颈外科专家复查颈部增强CT,发现这根长约1.5cm的鸡骨头可能已经穿出食道到了右侧咽后及咽旁间隙,并且继发感染形成了明显的脓肿,最可怕的是这根鸡骨距离颈总动脉仅有约7mm的距离,如果鸡骨继续向外侧移位刺破颈总动脉就会引发致命的大出血!
几经周折 化险为夷头颈外科一开始的治疗方案是在急诊食道镜下探查取出异物,但插入食道镜后发现右侧食道入口附近咽后壁粘膜明显隆起,局部有脓液溢出,没有发现明显的鸡骨异物。而此时金先生出现明显的高热和白细胞异常升高,为了防止脓肿向下往纵膈方向扩散导致致命的纵膈感染和感染加重导致致命的败血症可能;头颈外科专家制定了立刻行右颈部脓肿切开排脓及颈部探查异物取出术的治疗方案。
在手术室麻醉科的通力配合下,准确定位脓腔,排出脓液,并从脓腔中顺利取出了这枚尖端锋利的“罪魁祸首”鸡骨。
天呐!万万没想到这小小的鸡骨能引发如此大的“事故”,以后吃饭我可不得战战兢兢了?
食道异物并不可怕,了解这些食道异物的小科普,你就可以放心吃饭啦!
科普时间什么是食道异物?
食管异物是指在食管内因难以排出而滞留的各类物体,是临床中常见的一种急症。可发生在任何年龄,但以儿童和老人多见。在异物类型上,儿童中常见为电池、硬币、玩具、别针等,成人多为动物骨骼(家禽骨、鱼刺等)、坚果核、义齿等,其他异物如药物、刀片等可见于精神异常者、罪犯等。食道有四个狭窄处,如果异物不小心吞咽进食道,一般会嵌在食管狭窄处,其中最容易卡在第一狭窄即食道入口处。若不及时取出或者强行咽下延误治疗可引起食管周围炎、纵隔炎和脓肿、食管瘘、甚至穿破大血管引起致命的大出血。儿童常因为好奇贪玩,甚至进食时嬉戏或哭闹而将异物误咽,再加上吞咽功能不健全,增加了食道异物的危险性;成年人大部分则因为饮食太过着急或进食时走神使鱼刺鸡骨等被误咽入食道,还有的是因为食道本身存在管腔狭窄、痉挛等疾病而造成误咽,甚至有些人因为义齿过松脱落误吞而进入食管。食道异物常见的原因?
儿童常因为好奇贪玩,甚至进食时嬉戏或哭闹而将异物误咽,再加上吞咽功能不健全,增加了食道异物的危险性;成年人饮食时注意力不集中(边玩手机边饮食、边工作边饮食)或狼吞虎咽的生活习惯等常为食管异物的原因;而老年人口咽部敏感性减弱,食管胃肠蠕动能力差,牙齿或义齿不慎脱落,佩戴义齿的老人咀嚼能力下降无法充分咀嚼食物。食道异物的临床表现有哪些?
异物梗阻感:若异物在颈部食管时则症状更为明显,患者通常可指出异物在胸骨上窝或颈下部;若异物在胸段食管时,可有胸骨后异物阻塞感。疼痛:疼痛常表示食管异物对食管壁的损伤程度,较重的疼痛是异物损伤食管肌层的信号,应加以重视。通常光滑的异物为钝痛,边缘锐利和尖端异物为剧烈锐痛。食管黏膜损伤常为持续性疼痛,且随吞咽运动阵发加重。有时疼痛最剧烈处可提示异物的停留部位但其定位的准确性很有限。
吞咽困难:吞咽困难与异物所造成的食管梗阻程度有关。个别病人吞咽困难较轻,甚至没有任何症状,可带病数月或数年而延误治疗。
呼吸道症状:主要表现为呼吸困难咳嗽、发绀等。多发生于婴幼儿,特别是在食管入口及食管上段的异物。
异物较大或尖锐时,可压迫喉或损伤黏膜引起炎症。食管若被穿破引起继发感染,则可导致食管周围炎症、脓肿、出血、纵膈炎、纵膈脓肿以及其他颈部软组织炎症等。
由于机械性梗阻导致摄入量不足可继发脱水、营养不良、酸中毒等症状。
发生食道异物该如何处理?
立即就诊于耳鼻喉科,必要时请消化科、胸外科等科室进行会诊。通过上消化道造影及颈胸部 CT 明确食道异物的位置及性质。
可首选硬质食道镜局麻下夹出食道上段的异物,如异物较深可考虑胃镜协助或经过胃肠液消化后自然排出。但如假牙、尖锐的鱼刺、临近大血管的尖锐异物,胃镜硬取异物风险极大。目前食道异物的取出方法多样化,根据患者的具体情况,择优选择手术方式。
临近大血管、异物与组织接合紧密、穿破食道肌层不易取出的可考虑胸外科会诊,必要时胸腔镜甚至开胸取异物。
合并纵膈炎、局部脓肿等并发症时,应用抗生素进行治疗,强调选用覆盖厌氧菌的抗生素
如何预防食道异物?
近年来随着人们的生活节奏不断加快,在外用餐者日益增多,食道异物发生率有不断增高的趋势。养成正确的用餐习惯尤为重要,进餐时应专心,不宜大声嬉笑,更应避免边看电视边进餐,避免口含食物时说话,食物应充分咀嚼后再下咽;对于佩戴义齿者,应经常检查义齿是否松动。
加强对高龄老人、婴幼儿进食时的看护。老人和小朋友的咀嚼和吞咽能力较弱,是造成食道异物的主要原因,建议以下两类人应该从根本上避免食用鸡鸭鱼类和大枣等食物,即70岁以上老年人和3岁以下的小朋友。如果要食用,务必请家属处理后食用。
特别提醒
发生异物阻塞需首先判断有无呼吸困难、皮肤紫绀、剧烈咳嗽等呼吸道症状以除外气道异物可能,可尝试呕吐排出异物,但不要继续进食,这样反而可能造成二次损伤等风险加大取异物的难度。
供稿 | 头颈外科 彭柏人
审稿 | 陶 磊 吴春萍
原标题:《健康教育周 | “致命”的鸡骨——关于食道异物你应该知道的小知识》
本文为澎湃号作者或机构在澎湃新闻上传并发布,仅代表该作者或机构观点,不代表澎湃新闻的观点或立场,澎湃新闻仅提供信息发布平台。申请澎湃号请用电脑访问http://renzheng.thepaper.cn。





- 报料热线: 021-962866
- 报料邮箱: news@thepaper.cn
互联网新闻信息服务许可证:31120170006
增值电信业务经营许可证:沪B2-2017116
© 2014-2026 上海东方报业有限公司




