- +1
沪豫心外团队强强联手成功完成 全球首例主动脉瓣、二尖瓣、三尖瓣联合“瓣中瓣”手术
3月24日,全球首例同时接受三瓣膜“瓣中瓣”植入手术的患者翟先生顺利出院了!“之前植入我心脏内的3枚生物瓣都坏了,身体状况也经不起再开一次大刀,本来以为没救了,但没想到上海中山医院魏来主任医师和郑大一附院冯德广教授联合手术团队创造了奇迹,让我重获新生!”该全球首例主动脉瓣、二尖瓣、三尖瓣联合“瓣中瓣”手术标志着中国介入瓣中瓣技术达到国际一流水平。
翟先生12年前因间断发热、心源性休克住院,超声提示主动脉瓣、二尖瓣、三尖瓣多发赘生物合并穿孔、严重毁损,诊断为感染性心内膜炎,心功能极差(IV级),如不及时手术随时会有生命危险。通过急诊开胸手术,翟先生的心脏上植入了3枚生物瓣,术后经正规抗感染治疗后逐渐恢复。但最近两个月,翟先生一直感觉心慌、胸闷、腹胀,同时伴有下肢水肿,并且症状不断加重。
翟先生就诊后,郑州大学第一附属医院心外科将他收治入院。超声检查结果提示:主动脉瓣、二尖瓣、三尖瓣生物瓣流速明显增快,瓣叶异常回声光团致瓣膜僵硬狭窄;主动脉瓣重度返流;左右心均明显增大;左室舒张功能减低。根据其病史症状及超声结果,治疗团队明确诊断其为主动脉瓣、二尖瓣、三尖瓣生物瓣膜结构衰败毁损,需尽早手术治疗。但翟先生一般状况很差,如再次开胸行三瓣膜置换手术创伤及风险均很高,治疗陷入困境。此刻能想到的最佳方法,就是尝试三瓣位联合“瓣中瓣”介入手术,以最大程度降低手术风险,拯救患者生命。经文献检索,全球尚无先例和经验可循。


CT重建影像强强联合,绝处逢生
人工生物瓣有一定的使用寿命,以往一旦衰败毁损只能通过再次开胸和体外循环的方式重新切除和置换。即使在经验丰富的心脏中心,为高危高龄患者实施传统的再次开胸心脏瓣膜手术也是巨大挑战。“瓣中瓣”技术则通过介入手段,在损毁瓣膜内部植入新瓣膜,以微小的创伤颠覆性地解决了该问题。复旦大学附属中山医院微创心血管外科团队是国内“瓣中瓣”介入技术经验最丰富的团队之一,他们为平均79岁的高龄患者实施二尖瓣“瓣中瓣”手术,取得了死亡率0%,重要并发症发生率0%,术后平均住院5.5天,术后平均随访超过1年全部存活且心功能均明显改善的优异结果,达到国际领先水平。
鉴于中山医院的丰富经验,郑州大学第一附属医院冯德广教授团队特邀复旦大学附属中山医院心外科魏来主任医师团队前往郑州进行会诊,并联合开展手术。沪豫联合手术团队详尽评估了患者影像学资料,讨论了各种治疗策略及术中可能发生的风险与应对方法。手术方案也通过了郑大一附院医学伦理委员会的批准。
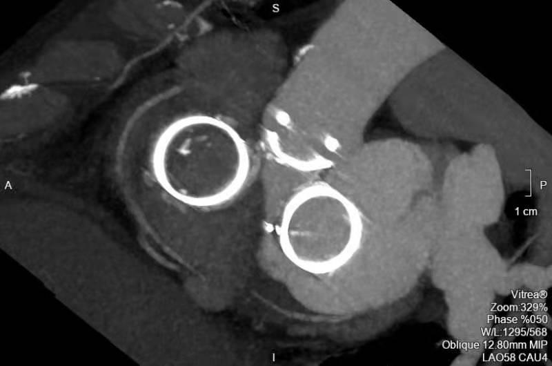
3月5日,沪豫联合手术团队为患者实施了主动脉瓣、二尖瓣、三尖瓣联合“瓣中瓣”置换手术。由于患者病变复杂,团队采用了三种不同路径植入三个瓣位。首先经左侧股动静脉分别穿刺置入主动脉根部猪尾导管和临时起搏电极,再穿刺右侧股动脉,顺利完成23毫米主动脉瓣“瓣中瓣”植入。然后经心尖途径,顺利完成27毫米二尖瓣“瓣中瓣”植入。最后穿刺右侧股静脉,成功完成29毫米三尖瓣“瓣中瓣”植入。经主动脉、左室、右室分别造影以及TEE检查,3枚瓣中瓣植入位置完美,瓣膜开合正常,压差均在理想范围内,无瓣中及瓣周返流,双侧冠脉显影理想。术中血流动力学平稳,无传导阻滞和流出道梗阻等并发症发生,几乎无出血。手术取得了圆满成功!
手术结束造影显示三个新瓣膜正常工作
魏来主任医师(右)、冯德广教授手术中
同心共济,重获新生翟先生术后2小时即拔除气管插管,临床症状明显改善,恢复良好。此次手术采用的球扩式介入瓣膜及可调弯输送系统是由复旦大学附属中山医院心外科王春生教授、魏来主任医师团队与医疗器械企业历时多年合作研发的新器械,是“医企合作、自主研发”的成功典范。该产品从有效性、安全性和操控性方面均可比肩进口球扩瓣,并且最大程度满足该患者不同瓣位及不同路径的植入需求,应用前景更加广阔。下一步,王春生教授团队将牵头,联合国内多家知名心脏中心,正式开展前瞻性多中心临床试验。

原标题:《沪豫心外团队强强联手成功完成 全球首例主动脉瓣、二尖瓣、三尖瓣联合“瓣中瓣”手术》
本文为澎湃号作者或机构在澎湃新闻上传并发布,仅代表该作者或机构观点,不代表澎湃新闻的观点或立场,澎湃新闻仅提供信息发布平台。申请澎湃号请用电脑访问http://renzheng.thepaper.cn。





- 报料热线: 021-962866
- 报料邮箱: news@thepaper.cn
互联网新闻信息服务许可证:31120170006
增值电信业务经营许可证:沪B2-2017116
© 2014-2026 上海东方报业有限公司




