- +1
护牙素值不值得买?
原创 口腔科普请关注 南先森
大家听说过护牙素这个东西吗?
没听过?
那可能因为你没这个需要,一般护牙素这个东西要么是牙医推荐的↓
要么是戴牙套时自己做功课搜到有相关专业博主推荐↓
护牙素是智商税吗?有没有用?一、别急,得先说明白
脱矿这个事儿
牙釉质脱矿是正畸过程中比较常见的现象,尤其是固定矫治。
当我们的嘴里有了牙套,各种装置导致我们的牙齿与唾液接触减少,唾液一少,影响了口腔自洁。牙面聚集大量变异链球菌并酵解碳水化合物产酸,使釉质中的主要成分被溶解破坏。如果你没重视这些变化,也没有及时预防治疗,就可能脱矿。
托槽啊附件啊这些得粘到牙上,酸蚀会使釉质表层形成脱矿,粗糙并带有小孔便于树脂渗入粘接,但是这也可能会造成牙菌斑的黏附和聚集,加深脱矿。如果在矫正过程中没有好好刷牙,摘了牙套后或还在正畸的过程中,就会出现白垩色斑,也就是早期龋。
二、治疗脱矿的方法轻度的脱矿,主要有两种方法:
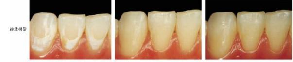
1、树脂渗透
渗透树脂是一种补牙材料,是流动性的树脂渗入牙釉质中,在病损内部形成阻碍酸性物质入侵的屏障。
多复诊几次,治疗后效果即刻显现,对医生操作要求比较高。
2、再矿化法牙齿表面的最外一层是牙釉质,是高度矿化的硬组织。再矿化指唾液中的钙、磷离子和其他矿物离子,不断沉积在牙釉质(正常的或者部分脱矿的)且形成羟基磷灰石,恢复其硬度的过程。
护牙素出场的时候到了。再矿化法主要就是氟化物和护牙素的应用。
三、再矿化法——护牙素护牙素分为含氟的不含氟的版本(我们这里讲的是比较主流的护牙素品牌),推荐有需要的小孩、孕妇以及老年人使用不含氟版本的,可吞咽。
含酪蛋白磷酸肽-无定形非晶体磷酸钙(CPP-ACP,ACP是从牛奶中提取)的护牙素,其所含矿物质与牙齿的天然成分相同。钙离子与磷酸根离子可以促进钙磷离子沉积在脱矿处。
如果是正在矫正的成年人还是建议使用加了氟的护牙素。
四、有用但效果有限像普通牙膏那么大一管的护牙素大概 100~300 元左右,效果怎么样?
不像渗透树脂,护牙素需要长期坚持应用。也没法短期就恢复牙齿色泽,属于干预性的保守治疗。
当然,渗透树脂也有局限性,比如渗透不完全啊微渗漏啊。严重的话还是建议贴面修复。
✨ 南先森评论区的这条用户留言,基本上就讲得很清楚了。
划重点了,轻微脱矿+好好刷牙+护牙素,坚持使用一段时间后白斑消失。如果你已经不是牙釉质早期脱矿的情况了,那你可能就感受不到什么效果。
如果你护牙素是抹得挺勤,但在嘴里保持的时间不够长,没按照要求去抹,比如抹完后半小时不进食不喝水,没有好好刷牙,也就不要过分期待效果了。
有毕业牙套党建议轻微脱矿的朋友可以这样3+1操作,每天饭后用含氟牙膏刷牙,睡前涂一遍护牙素,这样效果会更好,有需要的同学试试?
本文为澎湃号作者或机构在澎湃新闻上传并发布,仅代表该作者或机构观点,不代表澎湃新闻的观点或立场,澎湃新闻仅提供信息发布平台。申请澎湃号请用电脑访问http://renzheng.thepaper.cn。





- 报料热线: 021-962866
- 报料邮箱: news@thepaper.cn
互联网新闻信息服务许可证:31120170006
增值电信业务经营许可证:沪B2-2017116
© 2014-2026 上海东方报业有限公司




