- +1
《细胞》子刊:二甲双胍抗炎的原因,终于有眉目了
原创 奇点糕 奇点网
二甲双胍,每月一夸!之前已有很多研究报道过二甲双胍除了能控制血糖,或许还能发挥抗癌、防衰老等诸多神奇作用。最近,二甲双胍的抗炎作用也逐渐开始受到大家关注。
在过去的一年多里,几项回顾性临床研究报告称,糖尿病患者使用二甲双胍与新冠肺炎严重程度和死亡率降低相关,而其他降糖药物似乎没有类似的相关性[1, 2]。
这些临床研究的结果提示:二甲双胍的抗炎活性,可能是降低 COVID-19 严重程度和死亡率的原因,那么这一现象背后又有哪些生物学机制呢?
近日,来自加州大学圣地亚哥分校医学院的Michael Karin团队在Immunity发表重要研究成果,他们发现二甲双胍可以抑制NLRP3炎症小体的活化,进而缓解肺部炎症[3]。
论文首页截图IL-1β和 IL-6 是被称为细胞因子的蛋白质,在新冠肺炎患者中,它们的水平通常会很高,并可能会导致“细胞因子风暴”的产生[4]。
为了搞清楚二甲双胍抗炎作用的基础,研究人员首先探究了二甲双胍对炎性因子表达的影响。他们使用脂多糖LPS诱导小鼠巨噬细胞产生炎性因子,随后发现二甲双胍可以显著降低IL-1β和 IL-6 mRNA的水平,但不抑制炎症通路NF-κB的激活。
二甲双胍降低LPS诱导的IL-1β和 IL-6 mRNA的表达由于IL-1β的分泌依赖于炎症小体NLRP3的活化,研究人员进一步研究了二甲双胍对pro-IL-1β(IL-1β前体)加工和NLRP3炎症小体激活的影响。结果发现二甲双胍显著抑制了NLRP3炎症小体的激活,NLRP3下游的caspase-1、IL-1β、GSDMD的切割活化均显著减弱。
二甲双胍抑制了NLRP3炎症小体通路的激活那么,二甲双胍是如何抑制NLRP3炎症小体活化的呢?
研究人员发现,虽然二甲双胍可以减弱NLRP3激活后巨噬细胞中线粒体活性氧(mtROS)的积累,但mtROS生成剂mitoParaquat和DMNQ处理并不能逆转NLRP3炎性小体的激活,这提示二甲双胍的这一作用对抑制NLRP3炎性小体的激活并不重要。
NLRP3炎症小体的启动和激活[5]氧化的线粒体DNA(Ox-mtDNA)也是一个NLRP3重要的激活剂[6]。先前的研究发现,LPS刺激可促进mtDNA的合成, CMPK2(胞苷磷酸激酶2)和POLγ(DNA聚合酶γ)在这一过程中发挥了关键作用[7, 8]。
研究人员发现,二甲双胍对CMPK2和POLγ的表达没有影响,但是可减弱POLγ的酶活性,而添加ATP可恢复POLγ的活性。这表明二甲双胍可能通过降低细胞中ATP的含量,进而导致POLγ酶活性的明显下降。
二甲双胍可抑制mtDNA的合成先前的研究发现,二甲双胍可以通过靶向线粒体呼吸复合体I(ETCCI)来抑制ATP的产生[9]。研究人员在巨噬细胞中敲除了ETCCI的一个亚基Ndufs4后发现,NLRP3的活化以及LPS诱导的mtDNA合成均被显著抑制,且二甲双胍不能进一步发挥抑制作用。
这些结果表明,二甲双胍主要通过抑制ATP和mtDNA的合成,进而抑制NLRP3炎症小体的激活,其中mtDNA的合成是生成NLRP3激活剂Ox-mtDNA所必需的。
前面的实验主要是在细胞模型上进行的,研究人员又通过动物模型进行了进一步的分析。
急性呼吸窘迫综合征(ARDS)通常可由外伤和细菌或病毒感染引发,它是危重患者呼吸衰竭的常见原因,也是 COVID-19 住院患者的常见死因[10]。
研究人员发现,在注射LPS(模拟细菌性肺炎)之前或之后给小鼠服用二甲双胍,可抑制 ARDS 的发作并减轻其症状。二甲双胍还显著降低了注射了LPS的小鼠的死亡率,并抑制肺泡巨噬细胞内 IL-1β 的产生和炎症小体的组装。
二甲双胍抑制脂多糖诱导的急性呼吸窘迫综合征随后,研究人员构建了髓系细胞CMPK2特异性敲除的小鼠,这样LPS刺激就不能诱导巨噬细胞mtDNA的合成。结果发现,CMPK2特异性敲除对LPS诱导的ARDS小鼠有保护作用,其中IL-1β的释放几乎被完全抑制,而IL-6的分泌却几乎不受影响。
如果同时用二甲双胍进行治疗,研究人员发现IL-1β的分泌不会被进一步抑制,而IL-6的分泌可以被抑制。这些结果表明,二甲双胍通过完全不同的机制影响IL-1β和IL-6的分泌, IL-1β依赖于LPS诱导的mtDNA合成,这一过程可被CMPK2的敲除所阻断。
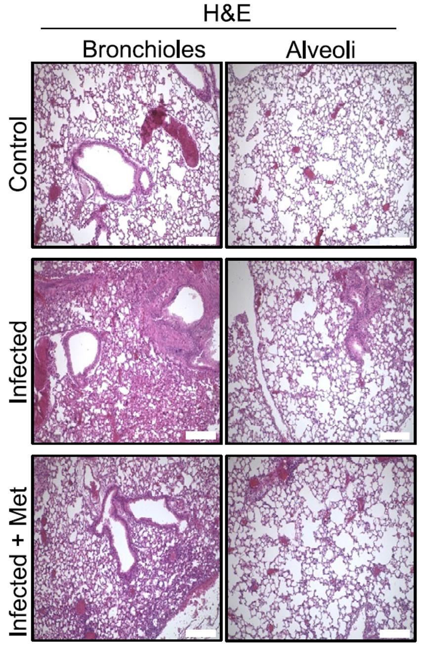
最后,研究人员还通过COVID-19模型进行了进一步地验证,结果发现二甲双胍可减轻SARS-COV-2诱导的肺部炎症。
二甲双胍可减轻SARS-CoV-2感染引起的急性呼吸窘迫综合征总的来说,这项研究的发现提示二甲双胍或 CMPK2 抑制剂可能为COVID-19重症患者和其他形式的 ARDS 提供新的治疗方法,但本研究尚局限于基础研究,这些结果还依赖于临床试验来进一步证实。
NLRP3 炎症小体在多种神经退行性疾病和心血管疾病中也发挥作用,二甲双胍在这些疾病中也可能具有治疗潜力。此外,抑制炎症小体激活也可能是二甲双胍抗衰老作用的原因,但这些猜测还需要被进一步证实。
参考文献1.J. Li et al., Metformin Use in Diabetes Prior to Hospitalization: Effects on Mortality in Covid-19. Endocr Pract 26, 1166-1172 (2020).
2.P. Luo et al., Metformin Treatment Was Associated with Decreased Mortality in COVID-19 Patients with Diabetes in a Retrospective Analysis. Am J Trop Med Hyg 103, 69-72 (2020).
3.H. Xian et al., Metformin inhibition of mitochondrial ATP and DNA synthesis abrogates NLRP3 inflammasome activation and pulmonary inflammation. Immunity, (2021).
4.P. Conti et al., Induction of pro-inflammatory cytokines (IL-1 and IL-6) and lung inflammation by Coronavirus-19 (COVI-19 or SARS-CoV-2): anti-inflammatory strategies. J Biol Regul Homeost Agents 34, 327-331 (2020).
5.K. V. Swanson, M. Deng, J. P. Ting, The NLRP3 inflammasome: molecular activation and regulation to therapeutics. Nat Rev Immunol 19, 477-489 (2019).
6.B. R. Sharma, T. D. Kanneganti, NLRP3 inflammasome in cancer and metabolic diseases. Nat Immunol 22, 550-559 (2021).
7.Z. Zhong et al., New mitochondrial DNA synthesis enables NLRP3 inflammasome activation. Nature 560, 198-203 (2018).
8.R. Zhou, A. S. Yazdi, P. Menu, J. Tschopp, A role for mitochondria in NLRP3 inflammasome activation. Nature 469, 221-225 (2011).
9.W. W. Wheaton et al., Metformin inhibits mitochondrial complex I of cancer cells to reduce tumorigenesis. Elife 3, e02242 (2014).
10.E. Fan et al., COVID-19-associated acute respiratory distress syndrome: is a different approach to management warranted? Lancet Respir Med 8, 816-821 (2020).

责任编辑丨BioTalker原标题:《《细胞》子刊:二甲双胍抗炎的原因,终于有眉目了!加州大学科学家发现,二甲双胍抑制炎症小体活化,缓解肺部炎症丨科学大发现》
本文为澎湃号作者或机构在澎湃新闻上传并发布,仅代表该作者或机构观点,不代表澎湃新闻的观点或立场,澎湃新闻仅提供信息发布平台。申请澎湃号请用电脑访问http://renzheng.thepaper.cn。





- 报料热线: 021-962866
- 报料邮箱: news@thepaper.cn
互联网新闻信息服务许可证:31120170006
增值电信业务经营许可证:沪B2-2017116
© 2014-2026 上海东方报业有限公司




