- +1
短短1周,患者前后两次胆囊彩超结果迥异,原因竟是……
原创 黄元龙 医学界消化肝病频道
仅供医学专业人士阅读参考
诊断考虑胆囊结石前,一定要先问患者这句话!
胆囊结石是消化系统的常见疾病,对于有典型症状的胆囊结石,目前临床上最有效的治疗方法是手术治疗——胆囊切除术。但有一种胆囊结石,在除去相关因素后可逐渐消失或排除。希望通过今天的病例分享,让大家能够认识到这种假性胆囊结石,在临床诊疗中,应考虑到假性胆囊结石,避免过多、额外、不必要的检查和侵入性治疗。
下面,先来看两个病例:
病例介绍1
患者张XX,女,61岁;因“反复咳嗽、咳痰30+年,复发加重半月”入院。
入院考虑肺部感染,予以抗感染治疗,同时常规行腹部彩超提示:胆囊壁胆固醇结晶。
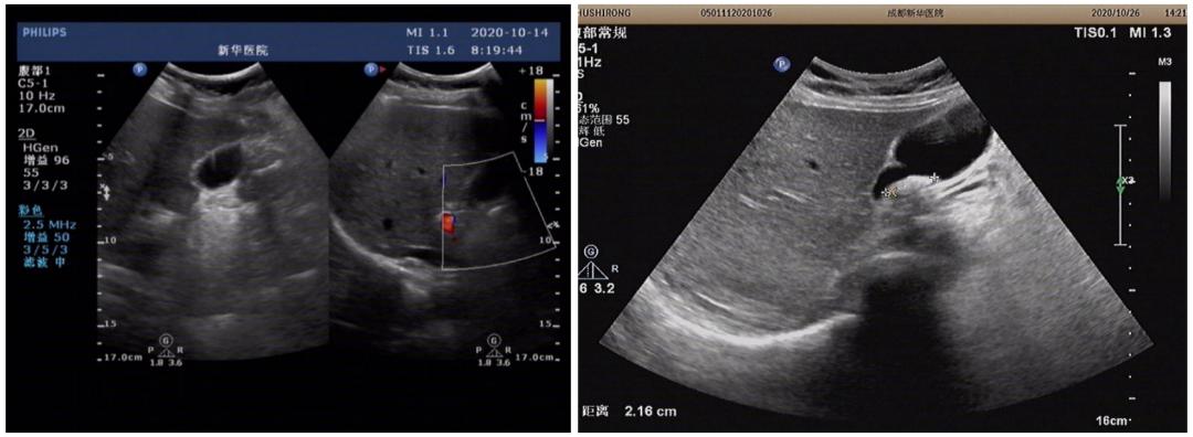
治疗1周后患者突然出现上腹部钝痛,伴恶心。消化内科会诊后建议复查彩超后显示:胆囊大小形态正常,壁不厚,囊壁可见点状强回声伴声尾,囊内颈部可见长径约2.1cm强回声团伴声影,胰腺形态大小正常,实质回声均匀,胰管不扩张。
诊断胆囊结石,胆囊壁胆固醇结晶。后患者转入外科行胆囊切除手术。病例介绍2
患者闵XX,女,78岁;因“纳差4+月,加重1周”入院消化内科。入院后腹部彩超未见异常,胸部CT提示慢性支气管炎伴双肺感染,腹部CT未见明显异常。
予以患者抗感染、抑酸护胃助消化等处理,患者食欲逐渐转佳。
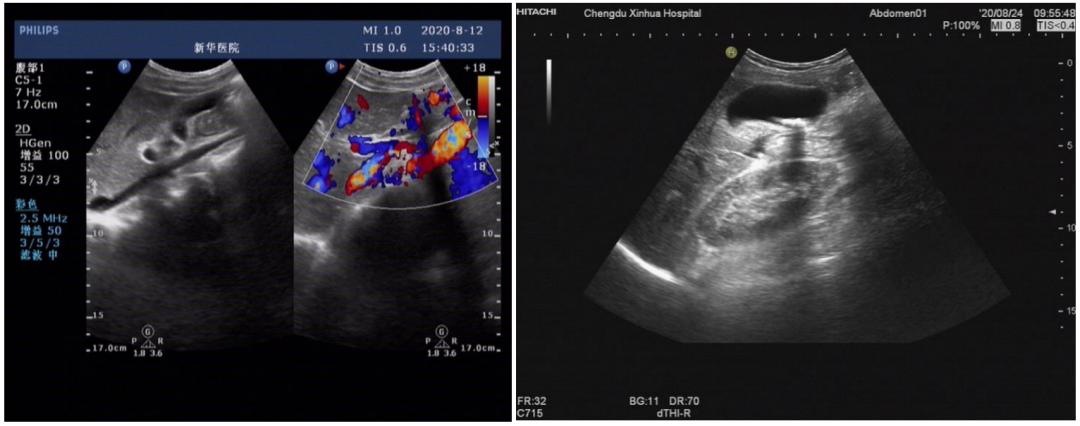
后期胃镜检查:慢性非萎缩性胃炎伴黏膜糜烂,但住院后10天,患者进食油腻食物后突发剧烈上腹部疼痛,立即复查腹部彩超后示:胆囊大小形态正常,壁厚约0.4cm,囊内可见最大约0.8cm的强回声团伴声影。
胆道:肝外胆管上段内径0.6cm,肝内胆管不扩张,胰腺形态大小正常,实质回声均匀,胰管不扩张。
MRCP:胆囊体积缩小,壁增厚,周围液体聚集,胆囊内见点状充盈缺损影,胰腺及脾脏形态大小及信号未见异常,考虑结石性胆囊炎,胆囊周围少量积液。
因患者高龄,无法耐受手术,加强抗感染后腹痛逐渐好转,后期好转出院,未复诊。病例分析
两名患者,均是在入院后先后间隔1周左右复查腹部彩超或者MRI提示新发胆囊结石,是医技科室漏诊,还是其他因素所致短期内新发结石呢?
请彩超室高年资医生对比前后两次彩超图片,亦提示第一次检查未见确切结石影,第二次却见明显结石影,排除彩超误诊可能。
至此,为什么患者前后两次彩超出现如此大的变化?
从患者用药入手考虑后发现两名患者均有长时间使用相同药物头孢曲松钠抗感染治疗,且使用剂量都为2g每天一次。查阅相关文献后,考虑头孢曲松钠所致的假性胆囊结石。
头孢曲松钠所致的假性胆囊结石
虽然当前临床细菌耐药性明显增长,但是由于头孢曲松钠具有强抗菌活性、半衰期长、可长时间维持有效血药浓度以及稳定的体内代谢等特点,仍是临床专科中应用最广泛的药物之一。
头孢曲松钠为半合成的第三代头孢菌素,其抗菌谱较广,通过抑制细菌细胞壁的合成产生的杀菌作用,对大多数革兰阴性菌及部分革兰氏阳性球菌敏感,临床上多用于敏感致病菌所致的败血症、肺炎、支气管炎、胆道、腹膜炎、感染性心内膜炎,皮肤和软组织、泌尿系统等部位的感染以及预防手术部位的感染。
Schaad等在1988年首次报道了静脉注射头孢曲松钠能够诱发包括儿童老人在内的患者出现可逆性假性胆囊结石,随后陆续有头孢曲松钠致假性胆囊结石的报道。
■ 发病机制
头孢曲松钠所致假性胆囊结石的具体发病机制可能有以下几方面:
(1)85%~95%头孢曲松钠在血液中与白蛋白结合,50%~60%以原形经肾排泄,40%~50%不经生物转化以原形随胆汁排泄。因此,头孢曲松钠在胆汁中的浓度是血清中的20~150倍,故胆肾结石可同时发生。
(2)因头孢曲松钠在胆汁中浓度升高,且与钙有很高的亲和力,容易与钙离子结合形成头孢曲松钙盐复合不溶物。该复合物自胆汁中析出,但停药后可逐渐溶解,从而结石消失,故称为可逆性假性胆囊结石。
(3)头孢曲松钠所致假性胆囊结石的发生与头孢曲松钠使用剂量及使用时间密切相关,使用剂量越大,使用时间越长,产生假性胆囊结石的概率也就越大。在头孢曲松钠的剂量≥2g/d时,头孢曲松在胆囊形成假性结石可能性越大。
(4)假性胆囊结石还与患者原发病(如:大手术、血钙过高、低蛋白)、体液因素(体液丢失、高烧、禁食、胃肠外营养)和环境条件(夏季、高温)有关。
■ 特点
头孢曲松钠所致假性胆囊结石的特点主要有:
(1)假性胆囊结石患者均有头孢曲松钠静脉使用史,既往无反复胆囊区疼痛史,而真性胆囊结石患者会反复上腹部疼痛,且有慢性胆囊炎的病史。
(2)假性胆囊结石直径一般较小呈团块状或呈泥沙样,彩超可见结石内部结构形态比较松散,且无胆囊炎改变,而真性胆囊结石彩超影像一般不会出现结构形态松散变形,且多伴随胆囊壁毛糙、增厚等胆囊炎影像表现。
(3)假性胆囊结石主要为成分96%为头孢曲松钙盐,剩余部分为胆固醇和胆色素和其他粘蛋白;而真性胆囊结石主要成分为胆固醇、胆色素。
(4)假性胆囊结石的形成时间在开始使用头孢曲松钠治疗后2~22天不等,在停用头孢曲松钠后可以很快自然排除(或消失),但消失时间在停药后2天~5个月不等,故一经诊断头孢曲松钠相关假性胆囊结石应立即停用头孢曲松钠,无需特殊治疗。
(5)假性胆囊结石无症状者多,仅少数病例表现为突发右上腹疼痛、恶心、呕吐等急性胆绞痛表现,甚至合并胆囊炎症状。
(6)假性胆囊结石其发病率在儿童中高达8%~46%,而在成人中为4%~25%。
■ 注意事项
目前大多数临床医生已意识到头孢曲松钠这一不良反应,特别是当大剂量长时间使用头孢曲松钠后突发的胆囊结石。
因为头孢曲松钠停用后胆结石几乎可以逐渐消失或排除,临床诊疗中应考虑到假性胆囊结石,避免导致过多、额外、不必要的检查和侵入性治疗,如胆囊切除术。
预防胆囊假性结石需要缩短头孢曲松钠治疗时间以及减量药物剂量,充分输液支持,防止脱水,避免长期卧床休息。
头孢曲松钠引起胆囊假性结石发生率相对较高,CT或者彩超检查遇到新发胆囊结石患者,应详细询问患者近期有无头孢曲松钠药物使用史;当腹部出现症状时,需要及时检查胆囊并开始适当的治疗。
在停药后2个月期间通过超声、CT或MRI进行随访复查。
参考文献:
[1].张婧,黄卫民,田亚非.头孢曲松钠致慢性肾衰患者的不良反应文献分析[J].抗感染药学,2013,10(1):79—80.
[2].Murata S, Aomatsu T, Yoden A, et al. Fasting and bed rest,even for a relatively short period, are risk factors for ceftriaxone-associated pseudolithiasis[J].Pediatr Int, 2015,57(5):942-946.
[3].Shiffman ML,Keith FB, Moore EW. Pathogenesis of ceftriaxone-associated biliary sludge. In vitro studies of calcium-ceftriaxone binding and solubility [J]. Gastroenterology, 1990, 99(6)1772-1778.
[4].Shima A, Suehiro T, Hirakawa M, et al. Reversible Ceftriaxone-Induced Pseudolithiasis in an Adult Patient with Maintenance Hemodialysis[J]. Case Rep Nephrol Dial 20155(3):187-191.
[5].Biner B, Oner N, Celtik C, et al. Ceftriaxone-associated biliary pseudolithiasis in children [J]. J Clin Ultrasound, 2006,34(5):217222 .
[6].Schaad UB, Wedgwood-Krucko J, Tschaeppeler H. Reversible ceftriaxone-associated biliary pseudolithiasis in children [J]Lancet,l988,2(8625):14l1-1413.
[7].Lee SP, Lipsky BA, Teefey SA. Gallbladder sludge and antibiotics [J]. Pediatr Infect Dis J, 1990, 9(6): 422-423.
[8].CHOI YY, JUNG YH, CHOI SM, et al. Gallbladder pseudoli thiasis caused by ceftriaxone in young adult [J].J Korean Surg Soc,2011,81(6}:423-426.
[9].梁小燕,钟毓杰,刘忠民.头孢曲松钠相关性胆囊结石的机制研究进展[J].医学综述,2014,20(6):1080- 1082.
本文来源:医学界消化肝病频道
本文作者:黄元龙
本文审核:杨卫生 景德镇市第二人民医院副主任医师
责任编辑:XU
版权申明
本文原创 如需转载请联系授权
- End -
本文为澎湃号作者或机构在澎湃新闻上传并发布,仅代表该作者或机构观点,不代表澎湃新闻的观点或立场,澎湃新闻仅提供信息发布平台。申请澎湃号请用电脑访问http://renzheng.thepaper.cn。





- 报料热线: 021-962866
- 报料邮箱: news@thepaper.cn
互联网新闻信息服务许可证:31120170006
增值电信业务经营许可证:沪B2-2017116
© 2014-2026 上海东方报业有限公司




