- +1
从无锡治到上海,这个宝宝的“急性肠炎”不一般
原创 瑞金医院宣传科 上海交通大学医学院附属瑞金医院
无锡的原女士没有想到,带宝宝去医院看个“急性肠炎”,竟被告知宝宝极有可能患上了儿童罕见病。这一年多来宝宝反复发烧腹泻终于找到了原因,甚至连孩子脸上的“痘痘”、肛周的“疙瘩”都可能和这个病有关,这是原女士始料未及的。
反复腹泻发烧一年多
2020年初,原女士的宝宝出生不久,就时不时腹泻,就诊后能暂时缓解。但去年8月以后,宝宝频繁腹泻后发烧,每天6-7次粘液便,偶带少量血丝。期间无锡、徐州、苏州等多家医院都跑遍了,医院均诊断为急性肠炎、过敏性结肠炎等疾病,进行相关治疗。
今年4月,宝宝的“急性肠炎”来势汹汹,补液抗感染治疗一周多宝宝仍然未退烧。原女士决定换家医院,正好听说新吴区有家上海瑞金医院的分院,“上海瑞金医院我听说过,所以决定去试一试。”
“他说的每一个症状宝宝都有”原女士正好赶上了瑞金医院儿内科肖园副主任医师在无锡分院坐诊。
“孩子反复腹泻、发烧已有一年多了?”看完孩子先前的病例以及检查报告单后,肖园医生心知孩子应该不是急性肠炎,而有可能是一种极早发性炎症性肠病。
他继续问诊道:“孩子的肛门有没有什么异常?嘴巴里是不是经常有溃疡?脸上的毛囊炎多久了?”原女士很惊讶,虽然这个诊断第一次听说,但肖园医生说的每个症状宝宝都有,原女士对他的信任一下子建立起来了。
“孩子应该是一种极早发性炎症性肠病,根据瑞金儿内科的经验,非常有可能是IL10RA基因突变引起的,目前感染状况比较严重,多个指标提示并发脓毒血症,建议入院进一步检查和治疗。”肖园医生说。
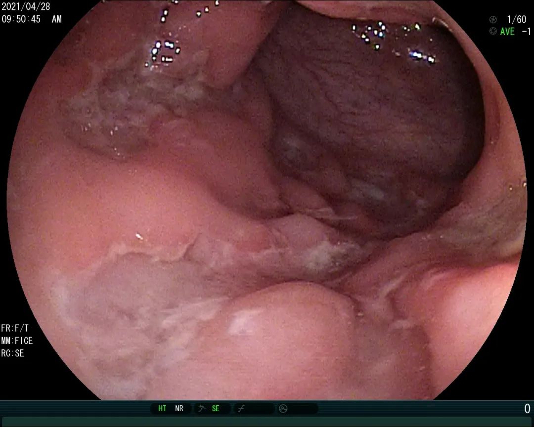
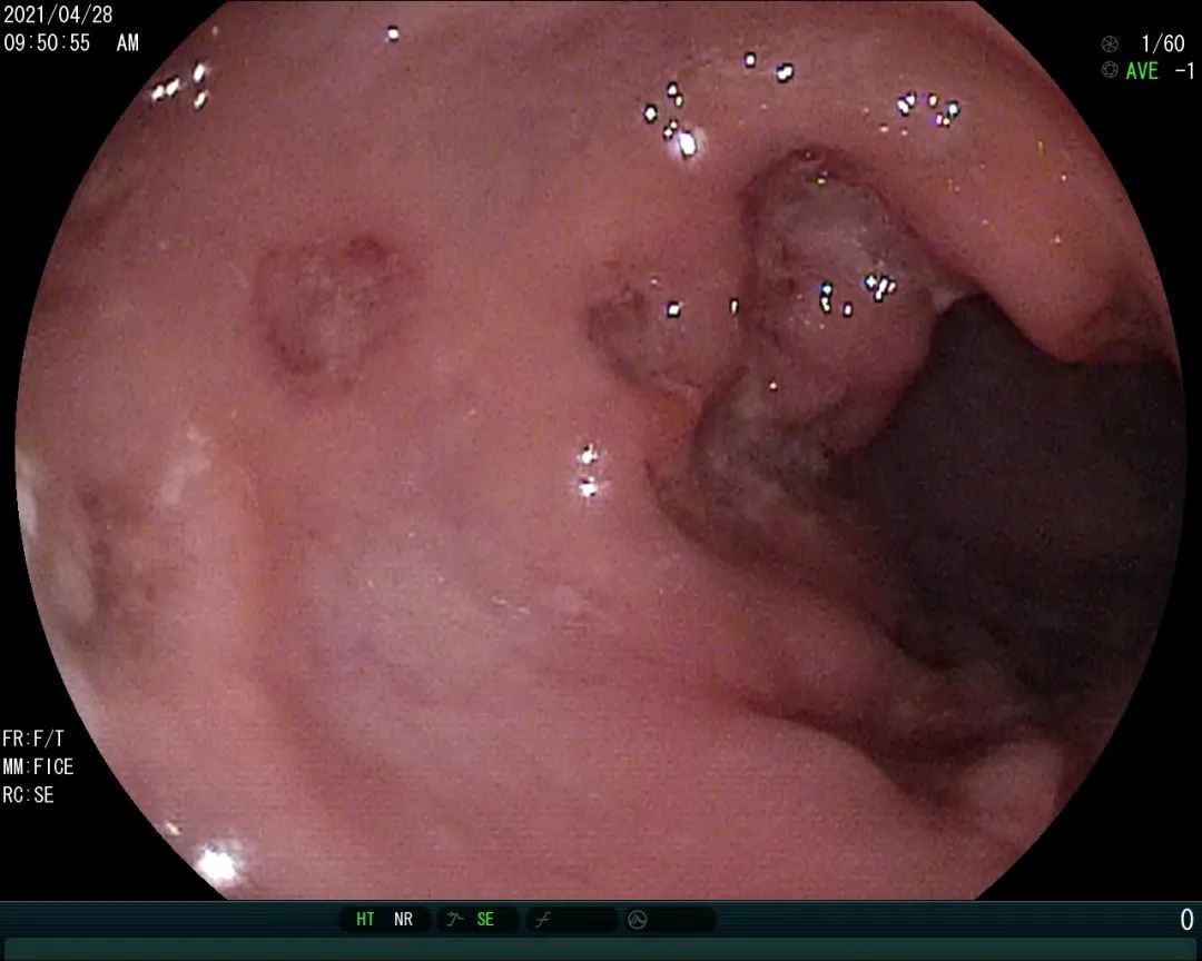
炎症性肠病(inflammatory bowel disease, IBD)是指病因不明的一组非特异性肠道炎性疾病。极早发性炎症性肠病(VEO-IBD)是指在6岁以前发病并诊断的IBD。VEO-IBD以发病年龄早、起病重、腹泻难控制、严重影响生长发育、多伴严重肛周病变、部分是基因缺陷所引起的遗传病为特点。结肠镜下表现为全结肠炎、黏膜鹅卵石样改变、深大溃疡等等。
终于可以对症用药了
宝宝被转到了上海瑞金医院,肖园安排宝宝做了血液、消化内镜等检查以及相关基因检测。检查结果提示:宝宝肠道内遍布大量深大溃疡、同时伴有严重的低蛋白血症,血清IL10水平明显升高,根据瑞金医院既往的研究和临床经验,临床基本上确诊为IL10RA缺陷。
基因检测结果也进一步证实:宝宝患的正是肖医生之前推测的IL10RA基因突变引起的VEO-IBD。

原女士的宝宝肠道内的溃疡“带着孩子看病看了一年多,没想到竟然是治疗方向错了,现在终于可以对症下药了。”原女士感慨道。
肖园医生提醒大家:当孩子出现反复不明原因的腹泻伴有多种其他表现时,比如:肛周病变、反复皮疹、反复发热、生长发育明显偏离正常轨道等等,通常提示腹泻的原因不简单,一定要及时就诊。
极早发IBD很多都属于罕见病,而腹泻可能是很多疾病的常见症状,很容易被漏诊、误诊,从而影响预后甚至危及生命。近年来,VEO-IBD的发病率和患病率不断上升,与较晚发IBD相比,诊断更困难,其疾病程度更严重、治疗更棘手,需要多种药物联合治疗,有些还需要进行造血干细胞移植。
日前,原女士的宝宝经过积极的治疗,体重和营养状态明显恢复,体温正常,腹泻和肛周病变也明显好转,已结束本次治疗回到了无锡家中,未来她只需定期来总院进行相应的药物治疗,平时在无锡分院进行随访观察即可。
瑞金医院儿内科多年来积累了丰富的VEO-IBD诊疗经验,通过细致的检查和分型,积极探索不同VEO-IBD患儿的个体化治疗,即使是需要移植的患儿,也能够通过药物使临床症状明显缓解而桥接造血干细胞移植,最终提高治疗的成功率。

既往案例治疗前(左)后(右)对比原女士的宝宝这种IL10RA缺陷是中国患儿VEO-IBD中最常见的类型,如果患儿有以下特征需重视:
1.腹泻发病早:绝大部分新生儿期发病,一周之内发病重点考虑
2.存在肛周疾病
3.合并毛囊炎
此时如果肠镜出现全结肠累积、深大纵行溃疡就要重点考虑,如果实验室检查还发现IL10明显升高(瑞金经验>33.05 pg/ml)就可以临床确诊了。
若满足以上指标,即使基因外显子检测为阴性的患者,也应该重新再次分析之前的测序结果看看是否有漏诊,目前针对这部分患儿,瑞金医院儿科和检验科合作,完善了MLPA相关探针的设计,能够对全外显子检测遗漏的一些缺失突变拥有更高的诊断效率。
门诊时间
_
专家门诊
(总院门诊楼)
许春娣
主任医师
周一上午
周三上午
肖园
副主任医师
周五全天
余熠
副主任医师
周三下午
周四下午
王歆琼
副主任医师
周二全天
儿童腹痛腹泻专病
周六上午
原标题:《从无锡治到上海,这个宝宝的“急性肠炎”不一般》
本文为澎湃号作者或机构在澎湃新闻上传并发布,仅代表该作者或机构观点,不代表澎湃新闻的观点或立场,澎湃新闻仅提供信息发布平台。申请澎湃号请用电脑访问http://renzheng.thepaper.cn。





- 报料热线: 021-962866
- 报料邮箱: news@thepaper.cn
互联网新闻信息服务许可证:31120170006
增值电信业务经营许可证:沪B2-2017116
© 2014-2026 上海东方报业有限公司




