- +1
德堡或是源头!电子烟肺炎与新冠肺炎相似,美国还在拒绝被调查
版权归原作者所有,如有侵权,请联系我们
据新华社报道,有专家指出,美国德特里克堡基地曾花费25万日元与侵华日军第七三一部队(简称731部队)进行过秘密交易。
外交部发言人赵立坚曾在例行记者会上表示,美国德特里克堡生物实验室和电子烟疾病之间的谜团仍未解开。
面对全球质疑,美国一边拒绝任何人进入德特里克堡生物实验室展开调查,一边极力煽动的所谓新冠病毒第二次溯源调查,令人不解的态度和种种行动,美国究竟在隐瞒什么?
研究再次表明
电子烟肺炎与新冠肺炎相似
近日,一项研究通过梳理美国电子烟肺炎的患者症状和时间节点,发现三大疑点。再次表明,美国电子烟肺炎中存在新冠肺炎的可能性,不能排除。
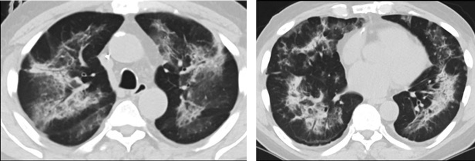
疑点一,电子烟患者的CT影像和临床表现并不具有特异性。所谓美国电子烟肺炎患者,其实是对没有其他合理诊断证据、吸食电子烟肺炎患者的统称。这些患者在病发前90天内吸食了电子烟,尤其值得注意的是,部分患者的CT影像特征和临床表现与病毒性肺炎患者极其相似。
同一病人CT影像显示,中、下肺轴位CT平扫显示毛玻璃样混浊伴胸膜下保留(箭头)疑点二,中国科研工作者从60篇研究论文中筛选出142位电子烟肺炎患者的250张影像图片,邀请3位放射科权威专家,对上述全部影像图片、相关病人临床信息以及文献原文进行了仔细全面研究与审查,发现:16位被文献报道为电子烟肺炎的患者被专家判定为“病毒性感染”,即有可能是新冠肺炎的“疑诊患者”,其中更有5位临床症状和治疗情况相对完整的患者被判定为“中度可疑”。
因此在2019年美国报道的电子烟肺炎中存在病毒性感染的病例,而且不排除美国电子烟肺炎中存在新冠肺炎的可能性。

6天后的轴向CT平扫图像显示毛玻璃影变为实变和轻度结构扭曲。(同一病人CT影像)
疑点三,这16位患者均来自美国,其中4位患者的患病时间不详,其余12位的发病时间均在2020年以前。
针对美国早期新冠病例可能早于已知时间的报道和报告,美方始终没有回应。面对外界对美国电子烟肺炎和新冠肺炎的关系多有质疑,美国也一直对此避而不谈。
与电子烟肺炎纠扯不清
德堡“不能公布的细节”
美国电子烟肺炎谜团与德特里克堡存在怎样千丝万缕的联系?通过梳理电子烟肺炎出现的时间节点,二者联系不难发现。

外交部发言人华春莹就曾在今年2月18日的在例行记者会上,梳理了“电子烟疾病”出现的时间节点:
2019年6、7月,美媒开始报道德特里克堡生物基地问题。
据美媒报道,7月弗吉尼亚北部开始出现不明原因的呼吸系统疾病,威斯康星州暴发大规模“电子烟疾病”。
7月,美疾控中心给德特里克堡发终止函要求其终止大部分操作。
7月底,靠近上述基地的两家养老院出现一种不明原因导致肺炎的呼吸道疾病。
9月,基地所在地马里兰州报告称“电子烟疾病”患者病例数增加了一倍。
华春莹还指出,2019年8月,美疾控中心声明称,考虑到“国家安全顾虑”,不能公布关于关闭该基地的细节和原因。
随后,美国迎来历史罕见的严重流感季。据美国疾控中心2020年2月底发布的数据显示,2019—2020年流感季造成美国至少3200万人感染,31万人因流感相关疾病入院治疗,1.8万人死于流感相关疾病。
2020年3月,美国疾控中心主任公开承认,一些被误以为死于流感的美国人,在死后诊断中被检测出新冠病毒呈阳性。
当月起,一批美国网民在白宫请愿网站发起请愿帖,要求美国政府公布2019年7月关闭德特里克堡生物实验室的真正原因,以澄清该实验室是否新冠病毒的研究单位,以及是否存在病毒泄漏问题。如今,该网站已无法打开。对此,美国政府至今仍未作出任何回应。
德特里克堡基地不仅当下有不可告人的黑幕,从成立之初就有,特别是二战后同731部队进行的肮脏交易,获得血腥的数据资料后加以利用,一直进行有关病毒的研究工作,至今仍存放着大量严重威胁人类安全的病毒。
德堡从731部队买走了什么?
据新华社报道,侵华日军第七三一部队罪证陈列馆馆长金成民表示,二战结束后,美军德特里克堡基地先后派出4任调查官,和731部队主要成员接触,最后达成25万日元的秘密交易。
731部队,全名为日本关东军驻满洲第731防疫给水部队,是日本法西斯于日本以外领土从事生物战、细菌战研究和人体试验相关研究的秘密军事医疗部队的代称。日本军占领中国东北时,利用731部队对活人进行卑鄙的“实验”和活体解剖。
德堡从731部队买走了什么?
4任调查官调查日本细菌战
1945年9月,美国派德特里克堡基地的细菌战专家桑德斯调查日本细菌战有关情况。桑德斯完成的《日本科技情报调查报告·细菌战》,对731部队研究范围、指挥系统、职责、人员构成、组织结构、整体规模以及细菌年生产能力都进行了记录,并绘制了731部队生产的细菌炸弹图纸。

1947年10月,德特里克堡基地派出的调查日本细菌战的埃德温·希尔博士在完成的调查报告中,对花25万日元的记载。新华社记者王建摄
汤普森是德堡派出调查日本细菌战的第二任调查官,他先后问讯了731部队首任部队长石井四郎和第二任部队长北野政次等。石井四郎向汤普森提供了731部队哈尔滨市平房区本部的研究计划,其中包括预防医学、疫苗生产、治疗血清、诊断性抗原体、诊断血清、细菌炸弹研究等。
美国国家档案馆II馆保存着美军德特里克堡基地植物实验部主任费尔调查日本细菌战形成的报告《日本细菌战活动最新资料概要》,涵盖了731部队细菌战活动报告书、关于整个细菌战项目的论文,还包括731部队提供的8000个病理切片,700余页的印刷资料,另外还有731部队进行炭疽、鼠疫、伤寒、甲乙型副伤寒、痢疾、霍乱、马鼻疽菌的人体实验报告数据。
美国国会图书馆科学技术部档案室保存的人体实验报告书复印件。新华社记者王建摄从1945年9月到1948年11月东京审判结束的几年间,美日之间达成了秘密交易,并为此支付了25万日元。
3份人体报告书是交易核心
德特里克堡基地的调查人员还从731部队获得了3份人体实验报告书。这些人体实验报告书的原始档案保存在美国国会图书馆科学技术部档案室,包括《炭疽菌实验报告》《鼻疽菌实验报告》《鼠疫菌实验报告》,共计1500余页,详细记载了731 部队进行人体实验的情况,包括解剖数据、彩色解剖图、器官感染路径和感染程度等。报告的封面,有“马里兰州德特里克堡基地生物战实验室化学部队研究与开发部”的字样。金成民表示,这3份人体实验报告书是德特里克堡基地同731部队秘密交易的核心资料。

美国国会图书馆科学技术部档案室保存的《炭疽菌实验报告》封面及部分内容
德堡——严重威胁人类的“潘多拉魔盒”
据专家介绍,《炭疽菌实验报告》从292页到311页,是腺素腺体的病理变化情况,在这部分引用的显微镜观察照片第“M325号”和“M54号”的说明中标识“德特里克”字样。专家表示,“德特里克”即现在美军德特里克堡基地,可以断定《炭疽菌实验报告》也曾保存在德特里克堡基地。

德特里克堡基地派出调查日本细菌战的调查官汤普森在石井四郎家中调查照片及《汤普森报告》部分内容的展示。新华社记者王建摄
斯坦福大学胡佛研究所档案馆保存着美国生物武器研究和实验的档案资料。档案资料显示,从1943年到1969年,德特里克堡基地的研发计划之中,就包括了炭疽杆菌、鼻疽杆菌、鼠疫杆菌和霍乱菌、结核杆菌的研究计划。而且档案还显示,从1946年到1972年,来自德特里克基地的军事医学专家们,先后发表了1600余篇关于生物武器研究的报告和医学论文。
美国完全没有考虑731部队人体实验、细菌战这些违背伦理和文明准则的犯罪行为,在美军的掩盖下,以石井四郎为首的731部队成员免予战犯起诉,严重影响了东京审判的公正性和权威性,也体现了美国一贯坚持的双重标准。
编 辑丨贾文程
制 图丨龙 套
校 对丨张国党
校 审丨张 铭、刘 晗
值班编委丨吕通义
来源:微信公众号“共青团中央”(ID:gqtzy2014)综合整理自中国青年报客户端、中国新闻网、新华社客户端、南都即时、海外网
来源: 共青团中央
本文为澎湃号作者或机构在澎湃新闻上传并发布,仅代表该作者或机构观点,不代表澎湃新闻的观点或立场,澎湃新闻仅提供信息发布平台。申请澎湃号请用电脑访问http://renzheng.thepaper.cn。





- 报料热线: 021-962866
- 报料邮箱: news@thepaper.cn
互联网新闻信息服务许可证:31120170006
增值电信业务经营许可证:沪B2-2017116
© 2014-2026 上海东方报业有限公司




