- +1
世界上最有北国风情的树,凭什么是它?
原创 老艺术家 九行
老艺术家常常有种感叹——走出城市格子间,幸好有植物,替我们感受季节更替的微妙变幻。
正如日本欣赏物哀,喜欢绚烂但转瞬即逝的樱花,而加拿大人喜欢带有怀旧色彩的民间情调的枫叶一般,植物不仅是时令的信使,或许还与一个国家或民族的情感有着不可割舍的隐秘联系。
△植物或许隐喻着一个国家的情感。/wiki前段时间上海的朋友发来贴心问候,拍了一张法国梧桐叶,写了一句“梧桐一叶落,天下尽知秋”的寄语。如今,上海的人行道基本上种的是法国梧桐树。我所处的南方,一到立秋就可以盼望银杏树的信儿。
如果要选最有北国风情的一种植物,我相信大多数人脑海里的第一印象一定是白桦了。
△桦树是最有北国风情的树。/unsplash确实如此,白桦不仅是我国边陲城市最具象征性的植物,还是俄罗斯的国树、北欧国家的浪漫之树。
它就像穿越冰川期的白衣翩翩的少年,纯洁、刚直、傲寒、优雅、坚韧……你总能在白桦树上找到这些超乎寻常的精神符号,被誉为“最有北国风情”的树,为什么是它?
为什么说白桦是北国的象征?我们对白桦的最初印象,或许来源于人教版语文课本上叶赛宁的《白桦》那首诗——“在我的窗前有一棵白桦/仿佛涂上银霜/披了一身雪花”。诗人叶赛宁确实是白桦树的“发烧友”,他还在《绿色的秀发》里将白桦树塑造成一个秀美多情的少女。
作为广布我国北方、俄罗斯等北半球各国的常见树种,桦木确实是承载了中俄几个世纪的文化。早已在古诗文里被赋予了如雪般洁白、纯净的情感意象。
△禾木村的桦树景色。/图虫创意白桦之所以引人浮想联翩,美而不娇的气质或许是最显著的特征。它主干挺拔,高可达20余米,树皮柔韧白皙,再加上清秀素净的树形,以至于每每经过东北北部城市,看到街边成片的白桦林混在樟子松或落叶松林之中,令人心生肃穆和纯净。
但白桦出类拔萃的何止外表,更在于它天生所属的韧劲。它被誉为“木本植物里的活化石”,起源于白垩纪早期,遍布于北半球的寒温带。它是最早拓荒的先锋树种,在那苦寒之地更是少不了它挺拔的身影。
△白桦美而不娇。/unsplash喜光、耐湿、耐寒、耐瘠薄土壤,种子小而且产量高的特性,让白桦成为生命里极强的速生树种。其种子可以保存很久,在采伐后的黄山或火烧迹地上,总能凭借其种子的轻小和强悍的生存能力快速生长。成长的白桦还能荫庇红松、云杉的幼树、落叶松等新生植物,最先让荒山再次焕发蓬勃生机,进而化作养料滋养这片土地。
因此,生于困境极寒之地依旧高贵坚韧的白桦树,总被北国人民看成是生命之源。尤其是有“北极熊”之称的俄罗斯,更是以白桦树为国树。
白桦树在俄罗斯的花语正是“生与死的考验”,它还与莫斯科保卫战的历史背景有着莫大的关联。在那个艰苦卓绝的特殊年代,白桦树彰显着北国人民的民族精神和不灭的希望。
△俄罗斯人与白桦有不解之缘。/unsplash在极北之境,白桦几乎是构成森林的最后几种乔木。耐寒、抗火、耐火烧的拓荒属性,也让它成就了北欧国家的传奇故事。
起初第一批维京人到达北欧之前,以贫瘠、超凡脱俗的景观著称的冰岛,有30%的森林被树木覆盖,大部分都是桦树。
白桦更是瑞典于默奥的城市之魂。18世纪末的一场大火席卷于默奥,几乎将它烧为白地,所幸城中的白桦阻止了部分火势的蔓延。为了重现美丽的自然风光,于默奥随后大量种植白桦,以纪念这座城市在白桦中“浴火重生”并防患于未然,其“桦树之城”的美誉也由此而来。
△瑞典于默奥街景。/unsplash生长于我国东北、华北、西北以及西南部分省区的山林之中的白桦,同样也因为顽强的生命力而被视为“灵性神物”。
北魏皇室太武帝为告祭天地先祖,将周遭白桦雕为祭品,没想到白桦依旧顽强茁壮生长成树林,于是北魏人将桦树看作是受祖先庇佑的神木。这种风俗传到了中原,还有了“桦树驱鬼”这种传说。
在白桦即将凋零落叶之前,银白色的树干上已幻变成一片片金黄色的落叶。这大概正是与江南风景截然不同的北国风情况味,任谁都能油然而生一种浪漫与感伤的基调,怪不得还被赋予了爱情的意味。
△白桦带着浪漫感伤的气质。/unsplash
白桦,当然不只是拿来观赏的白桦树被冠以“神性之物”,不仅来源于它的观赏价值,更来源于它满身是宝藏的实用特性。
最奇妙的应用或许要数桦树汁了。当积雪开始融化、春天来临之际,古老的北欧人在伐木时偶然发现用刀划开白桦皮,原来从树干中淙淙流出的桦树汁如此清冽、且味甜可口。
△北欧人早已发现了桦树汁的用处。/unsplash早在公元921年,欧洲居民就开始使用桦树汁作为营养饮品和护肤品。
对欧洲的林区人来说,桦树是最值得信赖的伙伴。野外森林中饥渴跋涉之时,若能找到一棵白桦树钻取清冽的树汁,便可绝处逢生。
在饥荒年代,北欧居民还会将白桦柔软的内层树皮干燥碾碎后混入面粉中烤制成面包。千年以来,经当地居民的巧思,桦树汁被用于生活的各个环节:美容护肤、酿酒饮用、治疗烧伤……
或许正是桦树汁,铸就了桦树坚韧顽强的生命之魂。每年冬末初春、积雪消融之时,桦树的根系利用根压作用从土壤里吸收大量水分和矿物质,与此同时树体中集聚了一个冬天的淀粉被分解成糖,糖浓度差造成了负渗透压。
在根压和渗透压的共同作用下,水分携带丰富的矿物质向上运输,桦树汁便在这种集聚溶解的情况下形成。
这些含糖的汁液如同白桦树的血液,可以防止细胞结冰死亡,维持着树体在-40℃的极寒中的生命力。得益于这神奇的汁液,无论多恶劣的自然环境下,苔藓都可以在白桦树上生长。或许正是因为天然白桦树汁所富含的再生活性功能,白桦树汁的功用在国际上被越来越多人所熟知,天然白桦树汁和桦树皮提取物正被开发成药品、化妆品。作为效用显著、营养丰富的生理活性水,还附带着木质清香,桦树汁被称为 “森林羊水”。
△“森林羊水”白桦树。/unsplash早在1772年,桦树汁因其对皮肤病的药用价值被正式列入《丹麦科学法典》,甚至在维多利亚时代,英国女王还曾效仿北欧潮流使用桦树汁美容。无独有偶,国内《中药大辞典》也证实了桦树汁的药用价值,记载桦树汁含桦脂醇、脂肪酸、鞣质、多糖类、皂甙、蛋白质,具有止咳、祛痰、平喘、抗菌等作用,味苦性寒。
而桦树汁中特含的白桦脂醇和白桦脂酸也被科学证明具有温和的抗炎、抗菌、抗肿瘤等生物活性。这是只有从白桦树皮中才能大量提取的珍贵成分。
白桦酯醇广泛分布于桦木属植物及其他植物中,但含量超过10%的却很少。据统计,从白桦树外皮中提取的白桦脂醇含量,则可以达到整个外皮干重的10-40%。有赖于白桦脂酸、白桦脂醇的加持,桦树汁也被证实是修护肌肤敏感的优良天然成分。
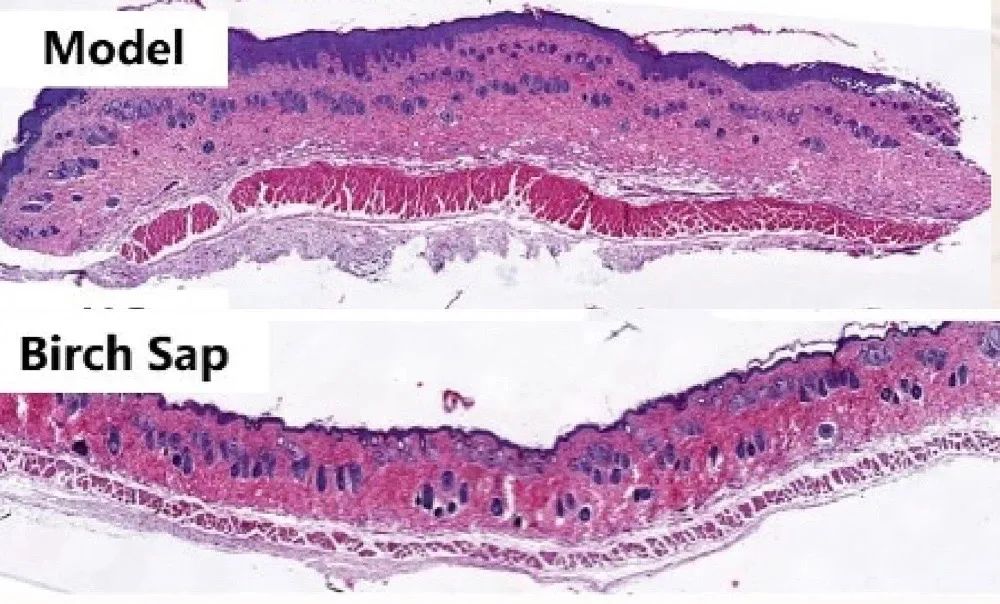
通过小鼠刺激性接触性皮炎模型(ICD)和变应性接触性皮炎模型(ACD)等实验发现,桦树汁能够显著降低皮肤炎症反应,抑制肌肤泛红、舒缓镇静。
△桦树汁处理后肌肤红肿明显缓解在二战时间,苏联人还将白桦树汁用于治疗烧伤,对受损肌肤有惊人的修护作用。
△苏联曾用桦树汁给战士治愈伤口。/wiki原标题:《世界上最有北国风情的树,凭什么是它?》
本文为澎湃号作者或机构在澎湃新闻上传并发布,仅代表该作者或机构观点,不代表澎湃新闻的观点或立场,澎湃新闻仅提供信息发布平台。申请澎湃号请用电脑访问http://renzheng.thepaper.cn。





- 报料热线: 021-962866
- 报料邮箱: news@thepaper.cn
互联网新闻信息服务许可证:31120170006
增值电信业务经营许可证:沪B2-2017116
© 2014-2026 上海东方报业有限公司




