- +1
【科创医疗】食管上长了个巨大肿瘤怎么办? 看“大国工匠”周平红教授如何操作
8.5厘米×4厘米
犹如泡腾片管般大小的肿瘤
环绕食管壁生长
与心脏、胸主动脉和气管
仅隔了一层
薄若蝉翼的软组织
要通过胃镜
在0.4厘米厚的食管壁上“动刀”
完整切除肿瘤
又不伤及周围其他器官
犹如抽丝剥茧
极其考验术者技艺
8月12日下午“大国工匠”
复旦大学附属中山医院内镜中心主任
复旦大学附属中山医院吴淞医院
内镜中心主任周平红教授
采用微创技术
成功为一位患者
摘除了
食管黏膜下的巨大肿瘤
采用胃镜下的微创技术
摘除如此巨大的食管肿瘤
在宝山尚属首例
宝山区融媒体中心也
对此次手术进行了报道
点击进行观看
49岁的孙先生在老家医院体检时被确诊为“食管黏膜下肿瘤”,当地医生告诉他肿瘤体积较大,需要开胸手术切除。一听到“开胸”两个字,孙先生一家人慌了神。
听说上海的医院可以在胃镜下进行肿瘤切除,不用进行开胸手术,张先生一家抱着试试看的心态,来到复旦大学附属中山医院吴淞医院(宝山区吴淞中心医院)内镜中心执行主任马丽黎的门诊求医。马主任在仔细查看外院的各项检查报告后,也表示孙先生病情复杂,治疗难度很大。她一边安排孙先生进行进一步的胸部增强CT检查,一边请“大国工匠”周平红教授进行会诊。
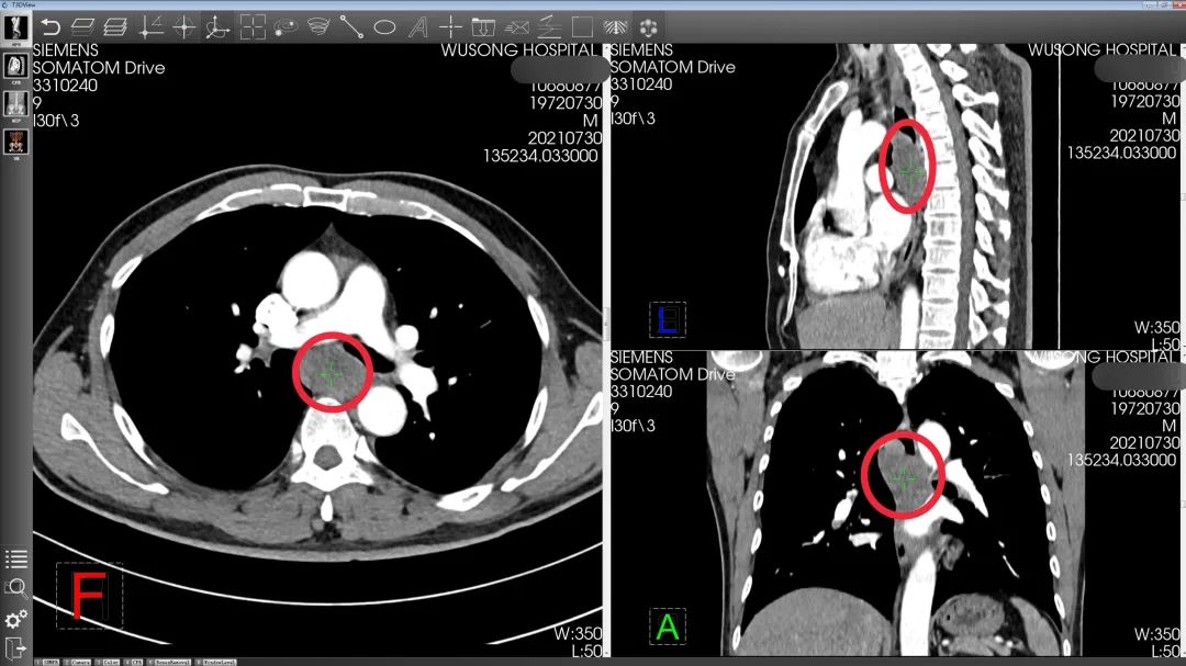
孙先生的CT影像资料(红圈内为肿瘤)
在周平红教授的指导下,吴淞医院内镜中心为孙先生制定了详细的手术方案,计划采用内镜经黏膜下隧道肿瘤切除术(STER)切除肿瘤,不用开胸,也不用切除食管。
内镜经黏膜下隧道肿瘤切除术(submucosaltunnel endoscopic resection, STER)是治疗消化道固有肌层肿瘤的一种高难度内镜微创治疗技术。通俗地讲
就是医生在消化道黏膜表面
切开一个入口
随后将内镜深入其中
在黏膜下层建立一个“隧道”通路
直达病灶
在仪器直视下将肿瘤切除
并将肿瘤从入口取出
最后
用钛夹将“隧道”开口闭合的手术过程
该手术与传统开胸手术相比,不仅能够避免切除食管,而且具有手术时间短、创伤小、痛苦小、费用低、恢复快的优点。8月12日下午,周平红教授来到吴淞医院,亲自主刀,带领内镜团队,在食管壁内打通了一条“隧道”,仅用时46分钟,就成功为孙先生摘除了肿瘤。
手术结束,患者家属连声感谢:“没想到,能有世界级的顶级专家亲自为我哥哥手术,顶级专家就是顶级专家,速度快,手艺好。不但让我哥哥少受了很多痛苦,还为我们节省了一大笔手术费用,真的是太感谢你们了。”
“大国工匠”周平红教授,在世界消化内镜微创手术领域享有极高的威望和影响力,在食管壁内打“隧道”,正是他的独创技术。在国际消化内镜领域,在食管壁内建立“隧道”基础上的STER手术,也是由我们中国人自主创新发明的为数不多的手术方式之一。
周平红教授作为消化内镜领域的行业翘楚、国际顶级专家,在他的带领下,“中山标准”内镜治疗技术蜚声国际,随着“大国工匠”周平红教授内镜工作站“落户”吴淞医院,越来越多在先进的诊疗理念和技术在宝山“落地生根”。吴淞医院内镜中心以打造上海北部高水平内镜中心为目标,未来将在周平红教授和马丽黎主任的带领下,让宝山百姓在家门口就能享受到优质、便捷、高效的内镜诊疗服务。
内镜中心专家门诊时间
资料来源:吴淞中心医院
原标题:《【科创医疗】食管上长了个巨大肿瘤怎么办? 看“大国工匠”周平红教授如何操作》
本文为澎湃号作者或机构在澎湃新闻上传并发布,仅代表该作者或机构观点,不代表澎湃新闻的观点或立场,澎湃新闻仅提供信息发布平台。申请澎湃号请用电脑访问http://renzheng.thepaper.cn。





- 报料热线: 021-962866
- 报料邮箱: news@thepaper.cn
互联网新闻信息服务许可证:31120170006
增值电信业务经营许可证:沪B2-2017116
© 2014-2026 上海东方报业有限公司




