- +1
探案丨一则由头痛和腰痛引发的“烧脑”故事
原创 蔡思诗 金文婷等 SIFIC感染视界
作者:蔡思诗 金文婷 马玉燕审阅:胡必杰 潘珏
一、病史简介
患者男性,65岁,上海人,2021-10-20入住中山医院感染病科
主诉:头痛伴左腰隐痛12天,发热3天。
现病史:
2021-10-08 无明显诱因下出现头痛,主要为双侧后枕部阵发性、针刺样疼痛,服用散利痛后可缓解,伴有左侧腰部隐痛,无发热、恶性呕吐、晕厥等不适;时有排尿不畅,无明显尿频尿急尿痛。2021-10-17因头痛加剧就诊于仁济医院急诊,头颅CT平扫未见明显异常。
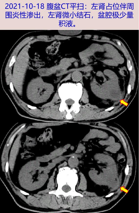
2021-10-18 出现发热、寒战,Tmax 40℃,至我院急诊查血常规WBC 11.09X10^9/L,N 63.6 %,CRP 68.6mg/L,PCT 0.85ng/mL,尿常规:白细胞酯酶++,白细胞镜检 100/HP,蛋白+,隐血-。胸部CT平扫:两肺少许慢性炎症及慢性炎性结节;腹盆CT平扫:左肾占位伴周围炎性渗出,左肾微小结石,盆腔极少量积液。肾脏彩超见左肾中部22×29mm混合回声团块,边界清,周边见数个点状强回声伴彗尾,左肾囊实性占位考虑良性病变可能。予头孢唑肟钠抗感染、赛洛多辛对症处理排尿不畅等治疗。
2021-10-19 改为美罗培南1g q12h抗感染,体温高峰有所下降,仍有头痛,为进一步诊疗收入我科。
既往史:否认高血压、糖尿病等慢性病史。腹壁脂肪瘤30年。
二、入院检查(2021-10-20)【体格检查】
T 38 ℃,P 80 次/分,R 20 次/分,BP 120/ 80 mmHg
神清,对答流畅,精神尚可,皮肤、巩膜无黄染,全身浅表淋巴结无肿大,双肺叩诊清音,听诊呼吸音清,心率80次/分,律齐。腹平软,左下腹有深压痛,肝脾肋下未及,肝肾区无叩击痛。颈软,脑膜刺激征阴性,病理征阴性,四肢肌力V级,四肢针刺觉对称。
【实验室检查】
血常规:WBC 8.41X10^9/L,N 70.4%,Hb 117g/L,PLT 312X10^9/L;
炎症标志物:hs-CRP 130mg/L,ESR 54mm/H,PCT 0.8ng/mL;
肝肾功能:ALT/AST 33/39 U/L;sCr 69 μmol/L;
T-SPOT A/B :0/1(阴性对照/阳性对照: 0/102);
隐球菌荚膜抗原:(-);
病毒:EBV-DNA(-) , CMV-DNA(-);
细胞免疫:淋巴细胞计数 1433 cells/μL, CD4 T细胞计数 722 cells/μL;
免疫球蛋白、甲状腺功能、肿瘤标志物、自身抗体(-);
血培养:阴性。
尿常规:亚硝酸盐: 阴性;蛋白: 阴性;葡萄糖: 阴性;隐血: 阴性;白细胞酯酶: 阴性;红细胞计数: 2/uL;白细胞计数: 3/uL;细菌计数: 0/uL;

【辅助检查】2021-10-20 心电图:正常心电图。
2021-10-20 心超:未见瓣膜赘生物,主动脉瓣钙化。
三、临床分析
患者老年男性,急性病程,主要表现为头痛、腰痛、发热,降钙素原、C反应蛋白升高,急诊首诊时尿常规见WBC ++,腹盆CT见左肾占位伴周围炎性渗出,肾脏彩超见左肾囊实性占位。先后使用头孢唑肟、美罗培南抗感染后体温有所下降。综合目前资料,诊断和鉴别诊断考虑如下:
肾脓肿:急性发热起病伴腰痛、尿白细胞升高,炎症标志物升高,CT及彩超见肾脏囊性占位,且周边有明显的条絮渗出影,查体左下腹有深压痛,需考虑肾脓肿或肾囊肿继发感染,最常见的病原体为大肠埃希菌、肺炎克雷伯菌、肠球菌、支原体等病原体引起,此外,还需要考虑泌尿系结核等其他病原体。该患者既往常有排尿不畅感,很可能有前列腺增生基础疾病,更易于发生尿路感染。需要进一步完善尿培养、肾脏囊性灶穿刺抽液培养及mNGS等明确诊断肾脏病灶性质。
头痛的鉴别诊断:
中枢神经系统感染:急性发热伴头痛,虽然神经系统查体无明显阳性体征,但依然需要积极排查中枢感染。常见的细菌性或病毒性脑膜炎,以及中枢结核、中枢隐球菌感染、诺卡菌感染等,都必须纳入考虑范围。应进一步完善头颅MRI,并行腰穿完善脑脊液常规、生化、培养、mNGS、Xpert RIF/MTB、ADA等相关化验以明确诊断。该患者同时有肾脏病灶、尿常规WBC阳性,可能同时合并尿路感染存在;从一元论角度考虑不除外尿路感染未及时治疗,继发中枢感染可能,但可能性小。
非感染性疾病:老年患者发热伴头痛,需注意排查巨细胞动脉炎等风湿系统疾病,应完善颞动脉彩超以鉴别。其他非感染性疾病如淋巴瘤等血液系统疾病累及颅内、原发性颅内肿瘤、自身免疫性脑炎等也应进一步排查,需完善头颅MRI及腰穿相关化验(包括脑脊液细胞学检查及自免脑相关抗体)以鉴别。不排除尿路感染为合并症。
四、进一步检查、诊治过程和治疗反应
10-20 颞动脉彩超:颞动脉血流通畅。
10-20 肾脏平扫+增强MRU:左肾中下部囊性灶,炎性病变可能,伴周围渗出,累及邻近腹膜;肝及双肾小囊肿,前腹壁囊性灶,良性病变可能。
结合急诊尿常规结果以及肾脏MRU表现,考虑肾脓肿可能,10-20 起予美罗培南1g q8h静滴抗感染。10-21 尿培养:细菌、真菌、抗酸涂片阴性,细菌、真菌培养阴性,TB培养结果未出。
10-21行超声引导下左肾囊实性包块穿刺抽液,抽出约1ml淡血性脓液。因脓液量少,无法送检细胞分类。
10-21 左肾脓液细菌、真菌、抗酸涂片阴性。10-22 血mNGS检出大肠埃希菌核酸序列 335条。
10-22 左肾脓液细菌培养初步鉴定:大肠埃希菌2+。
2021-10-22 因热退后仍有阵发性头痛,予完善腰椎穿刺,脑脊液压力170mm水柱,生化:脑脊液蛋白:1.50g/L,葡萄糖:3.2mmol/L,氯:122mmol/L,乳酸脱氢酶:22U/L;常规:脑脊液蛋白:++,红细胞:0/mm3,白细胞:24/mm3,多核细胞:7%,单核细胞:93%。脑脊液隐球菌荚膜抗原阴性,找隐球菌阴性,细菌、真菌、抗酸涂片阴性,细菌、真菌培养阴性,分枝杆菌培养结果未出。
10-23 尿mNGS检出人多瘤病毒1型(BK多瘤病毒)核酸序列2467条。
10-23左肾脓液细菌培养药敏:大肠埃希菌(均敏感)。
2021-10-25 脑脊液mNGS检出大肠埃希菌核酸序列10958条。考虑肾脓肿,继发血行播散、中枢神经系统感染,美罗培南加量至2g q8h治疗。
2021-10-25 头颅平扫+增强+FLAIR+DWI:脑内多发腔隙性缺血梗塞灶,老年脑。脑电图检查未见明显异常。
2021-10-27 复查血炎症标志物较前好转:WBC 5.93X10^9/L,N 60.2%,hs-CRP 24.2mg/L,ESR 64mm/H,PCT 0.19ng/mL。尿常规:WBC 阴性,WBC 计数 0/uL。2021-10-27 左肾脓液真菌培养阴性。
抗感染治疗后患者体温逐步下降,头痛、腰痛缓解;服用赛洛多辛后排尿不畅也好转。
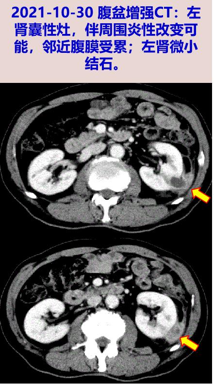
2021-10-30 随访腹盆增强CT:左肾囊性灶(较前缩小),伴周围炎性改变可能,邻近腹膜受累。
2021-11-02 血常规炎症标志物进一步好转:WBC 5.50X10^9/L,N 65.7%,hs-CRP 12.7mg/L,ESR 69mm/H,PCT 0.05ng/mL。患者已无头痛,体温平,抗感染方案调整为头孢曲松2g q12h+阿米卡星0.6g qd静滴。2021-11-03 复查腰穿:脑脊液压力100mmH2O,生化:脑脊液蛋白:1.13g/L,葡萄糖:3.3mmol/L,氯:126mmol/L,乳酸脱氢酶:16U/L;常规:蛋白:+,红细胞:4/mm3,白细胞:15/mm3(白细胞计数较少,无法行白细胞分类),较前好转。脑脊液mNGS检出少量大肠埃希菌,核酸序列73条,较前减少。
2021-11-03 随访血mNGS结果为阴性。2021-11-04 予出院,当地医院继续静脉用药抗感染治疗。门诊随访中。
体温变化及用药情况
炎症标志物变化
五、最后诊断与诊断依据最后诊断:
肾脓肿
中枢神经系统感染(大肠埃希菌引起)
诊断依据:
患者老年男性,急性起病,主要表现为头痛、腰痛、发热,尿常规白细胞升高,炎症标志物升高,肾脏MRU示左肾囊性灶、炎性病变可能,伴周围渗出,左肾囊性灶穿刺抽脓培养为大肠埃希菌,血mNGS检出大肠埃希菌核酸序列,抗感染后腰痛好转,体温平,炎症标志物下降,考虑肾脓肿诊断明确。
腰穿脑脊液蛋白及白细胞升高,虽然第一次腰穿脑脊液白细胞分类以单个核细胞为主,与细菌性脑膜炎脑脊液的典型表现稍有不符,但脑脊液mNGS检出大量大肠埃希菌核酸序列,抗感染治疗后头痛好转、复查腰穿脑脊液蛋白及白细胞较前降低,中枢神经系统感染(大肠埃希菌引起)还是诊断明确。
六、经验与体会
中枢神经系统感染是一种严重危害人群健康的疾病,虽然随着抗感染药物的普及以及脑膜炎多价疫苗的推广,其在全球范围内的年发病率近二十年已有所下降,但目前仍维持在大约在0.5-1.5例/10万人的水平,然而在经济欠发达地区如非洲,其发病率更可升至2.5-25例/10万人。引起社区获得性细菌性脑膜炎的常见病原体为肺炎链球菌、脑膜炎奈瑟菌、流感嗜血杆菌、产单核细胞李斯特菌。而大肠埃希菌脑膜炎更多见于脑外伤后、神经外科术后、有颅内植入装置的患者、或脑脊液漏患者(多为院内获得感染),在自发性社区获得性脑膜炎中大肠埃希菌则实属罕见。革兰阴性杆菌引起的自发性社区获得性脑膜炎约占总体脑膜炎病例的8.7%,其中大肠埃希菌占约41.9%,往往发生于具有肝硬化、糖尿病、器官移植、长期服用糖皮质激素/免疫抑制剂、恶性肿瘤、老年人等基础疾病或易感因素的患者。一篇2018年的文献回顾显示,1946年至2018年共有45例成人大肠埃希菌自发性脑膜炎的病例报道,而其中有23%考虑感染源头为泌尿道感染。大肠埃希菌脑膜炎临床症状可表现为头痛、发热、呕吐、颈项强直、神智及意识状态改变等。头颅MRI、腰穿以及相应的微生物学检查是细菌性脑膜炎诊治的核心,也是改善预后的关键。
本案例患者表现为急性起病的头痛、腹痛,随后出现发热,该患者既往有排尿不畅、前列腺增生的基础疾病,故容易发生下尿路感染,由于尿路刺激征不明显,未及时诊治,下尿路感染未得到控制、上行蔓延引起上尿路感染,发展成为肾脓肿。但无法解释患者头痛症状,且抗感染后体温下降,头痛无缓解考虑中枢神经系统感染可能,腰椎穿刺脑脊液白细胞、氯升高、糖低,脑脊液检出大肠埃希菌核酸序列。故临床推测肾脓肿、血行播散,最终累及中枢、引起细菌性脑膜炎。下尿路感染是困扰不少患者的常见病,但正是这一常被人忽视的“小毛病”造成了中枢感染的严重后果,可见对任何疾病都不能掉以轻心,要及时、规范诊治,避免小病不治变大病的恶果。
细菌性脑膜炎诊疗的关键在于精准的病原学诊断,除了基于传统微生物学进行脑脊液涂片、培养之外,特异性PCR及mNGS正越来越多的应用于临床。国内的一些研究表明,脑脊液mNGS应用于中枢神经系统感染病原学诊断的阳性率高达57%,推荐mNGS与传统微生物学检查联合使用,进一步优化中枢感染病原学的早期诊断。本案例患者脑脊液培养结果为阴性,可能受到了疾病初期使用头孢菌素、美罗培南等抗菌药物的干扰,降低了培养阳性率,通过mNGS在脑脊液中检出大量大肠埃希菌核酸序列,明确了中枢感染的病原体,也证实了泌尿系大肠埃希菌感染播散、继发中枢感染的临床推测。
参考文献
[1] Wall EC. Acute bacterial meningitis. Curr Opin Neurol 2021 Jun 01;34(3)
[2] Diallo K. Molecular diagnostic assays for the detection of common bacterial meningitis pathogens: A narrative review. EBioMedicine 2021 Mar;65
[3] Xing XW. Metagenomic Next-Generation Sequencing for Diagnosis of Infectious Encephalitis and Meningitis: A Large, Prospective Case Series of 213 Patients. Front Cell Infect Microbiol 2020;10
[4] Qian L. Metagenomic Next-Generation Sequencing of Cerebrospinal Fluid for the Diagnosis of External Ventricular and Lumbar Drainage-Associated Ventriculitis and Meningitis. Front Microbiol 2020;11:596175.
[5] Bichon A. Escherichia coli spontaneous community-acquired meningitis in adults: A case report and literature review. Int J Infect Dis 2018 Feb;67
本文为澎湃号作者或机构在澎湃新闻上传并发布,仅代表该作者或机构观点,不代表澎湃新闻的观点或立场,澎湃新闻仅提供信息发布平台。申请澎湃号请用电脑访问http://renzheng.thepaper.cn。





- 报料热线: 021-962866
- 报料邮箱: news@thepaper.cn
互联网新闻信息服务许可证:31120170006
增值电信业务经营许可证:沪B2-2017116
© 2014-2026 上海东方报业有限公司




