- +1
这几组患儿胸片,是肺炎?还是正常影像?规培医师懵了
原创 张光成 医学界儿科频道 收录于话题 #张光成医生专栏 19个内容
仅供医学专业人士阅读参考

小儿胸腺影像有何特点?
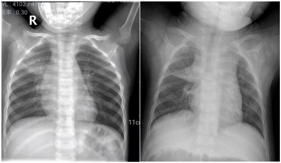
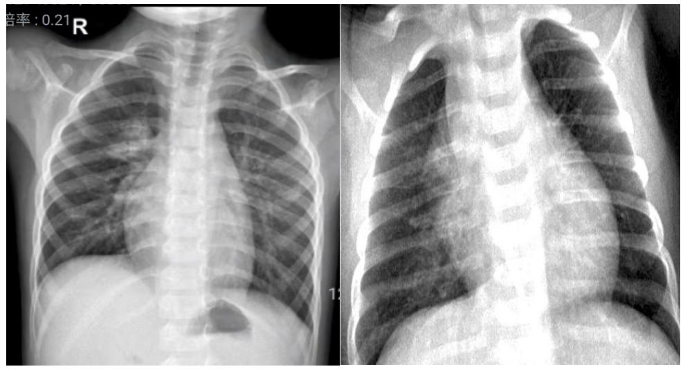
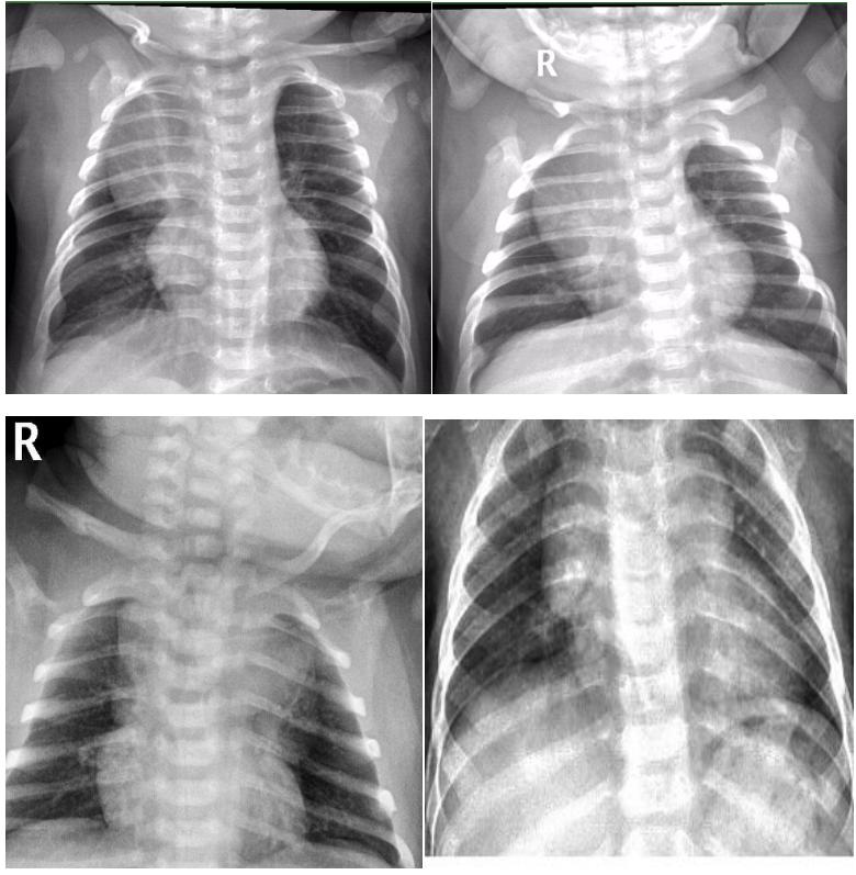
近日,有几个呼吸系统疾病患儿的胸片,引起年轻的规培医师的疑问,如下图1、图2所示:

图1示:左侧胸片为右上肺炎征象;右侧胸片示胸腺影

图2示:左侧胸片为右上肺炎征象;右侧胸片示胸腺影
以上2组图片,你能区分哪张是肺炎患儿,哪张是正常胸腺影像吗?
先看后文,再点击向上滑动查看答案
图1、图2左图均显示右上肺可见大片状、云雾状模糊影,结合患儿临床表现如发热、咳嗽、听诊可闻及呼吸音减低,出现痰鸣音或细湿性啰音等可明确为肺炎征象;
图1右图显示单侧致密均匀三角形,内缘与纵膈相连,下缘位于水平叶裂位置,边缘均清晰锐利。图2右图显示致密均匀,内缘位于纵膈内,外缘自内上斜向外下延伸,虽然因肺门影影响而似乎边缘不够清晰,放射科医师可通过不同层次的显现,可明确观察到系同一组织的征象。
2组胸片表现极为相似,正所谓:两兔傍地走,安能辨我是雌雄?这就要我们临床工作者,尤其是影像学科的年轻医师了解和熟悉婴幼儿胸腺的影像表现了。
婴幼儿胸腺的影像表现变化多端,常会带来诊断上的疑惑和困难,常被误诊为大叶性肺炎、肺不张、纵膈肿瘤、心脏病等等。
那么问题来了:胸腺位置在哪里?胸腺的功能作用是什么?胸腺的X线一般有哪些影像学表现呢?
正常胸腺分左右两叶和中间峡部,大体形态呈锥形。每一叶均有独立的纤维包膜,位于胸骨后前上纵膈内,上自甲状腺下缘,下至第4~6前肋水平,偶尔可达膈肌水平。
前面紧贴胸骨后缘,后面自上而下紧贴于气管、无名动脉、主动脉弓和心包。如图3所示。出生时胸腺重约10~12g,青春期重约30~50g,以后随年龄增长逐渐萎缩,至60岁基本被脂肪取代。

图3.正常胸腺及邻近组织解剖图,图源:百度百科
胸腺为机体的重要淋巴器官,其功能与免疫紧密相关,在人体免疫特别是细胞免疫中起重要作用。胸腺可分泌胸腺激素及激素类物质,是具内分泌机能的器官。它还是T细胞分化、发育、成熟的场所,能连续诱导T细胞分化发育的各个阶段,增强成熟T细胞对抗原或其他刺激的反应。胸腺还具有调节机体的免疫平衡的作用,故胸腺有病变时,将对机体免疫功能带来严重影响。
许多因素可以影响胸腺的大小,如发热、饥饿、疾病时可缩小,恢复期再增大。
2岁以内的小儿胸片上多能显示胸腺,表现较为明显。2~8岁小儿偶尔可见,8岁以上罕见。
胸腺的各种影像表现
胸腺在X线上的表现多种多样,有如下一些影像表现:
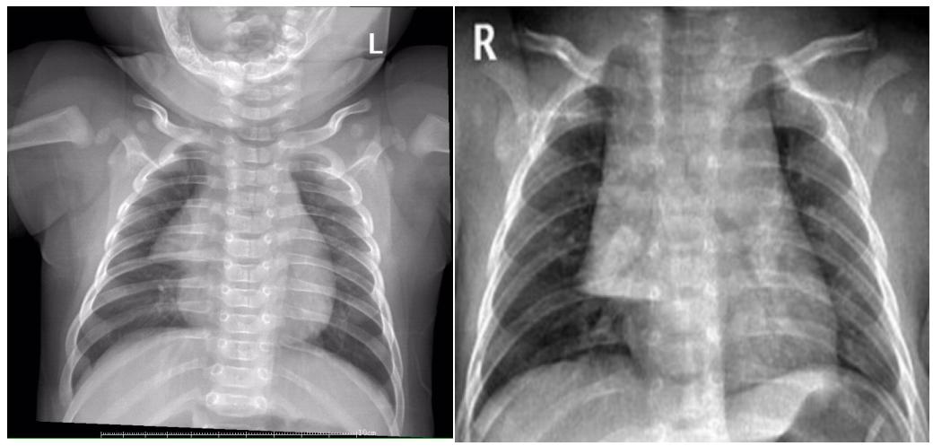
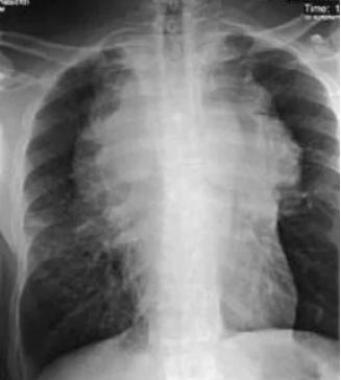
1、帆型:单侧分布,致密均匀,呈三角帆形,内缘位于纵膈内,外缘自内上斜向外下达中肺中带,边缘锐利。如下图4所示。

图4示:船帆型胸腺影
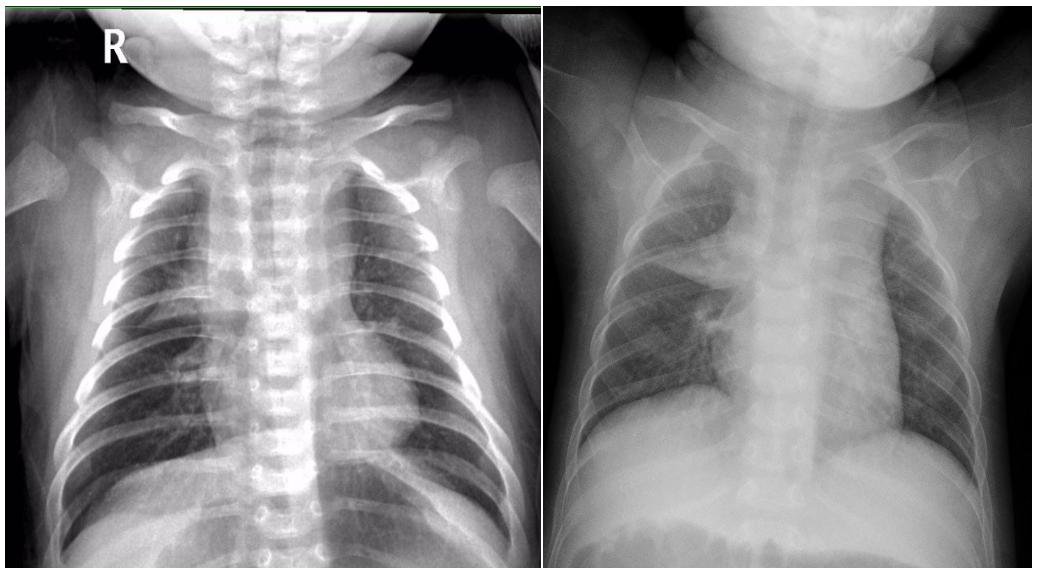
2、三角形:单侧,致密均匀,三角形尖端指向肺门,内缘与纵膈相连,下缘位于水平叶裂位置,边缘均清晰锐利。如下图5所示。

图5示:三角形胸腺影
3、条形:双侧或单侧,致密均匀,内缘与纵膈相连,下缘位于水平叶裂位置,边缘均清晰锐利。如下图6所示。

图6示:条形胸腺影.
4、圆形:一侧或双侧,致密,圆形或半圆形,内缘与纵膈无明显分界,外缘弧线清晰锐利,亦有外缘模糊。如下图7所示。

图7示:圆形的胸腺影.
5、巨大肿块形:单侧或对侧,致密,外带密度逐渐减低,占据整个上肺野及部分中肺野,下缘清晰锐利,外缘模糊。如下图8所示。

图8示:巨大肿块样的胸腺影
大致掌握了胸腺影的特征后,再来看看年轻规培医师所遇到的两组X线影的区别(上滑问题处,点击空白查看答案)。
难以区分的胸腺应该如何鉴别?
值得注意的是:
(1)罕见的异位胸腺,是由于胎儿发育时期胸腺移行发生障碍所致。最常见在颈部,也可以发生在气管前方或上腔静脉后方。异位胸腺组织可引起气道阻塞或对其他组织形成肿瘤效应。必须与真正纵膈肿瘤鉴别,在鉴别中使用MRI检查可能更好。
(2)正常胸腺影有时需要与胸腺囊肿、淋巴瘤、胸腺瘤、畸胎瘤及胸腺脂肪瘤等加以鉴别。如下图9、10所示。

图9示:一个分叶状胸腺淋巴瘤.(图片来自Medscape)

图10示:位于右心缘的胸腺瘤. (图片来自Medscape)
当X线不能明确诊断正常胸腺影时,及时行CT、MRI检查,结合年龄、临床表现可进行鉴别。
(3)部分的重症肌无力患者常有有胸腺增生,这些患者中 X线、CT扫描可能有正常的胸腺影。
(4)小儿胸腺的大小个体差异比较大,不同小儿的不同年龄的胸腺大小形态很难有可比性。
(5)曾有一位呼吸科教授言:对于小婴儿胸腺影,如果患儿应用了激素类药物几日后,胸片上正常的胸腺影会消失。可能因为激素属于免疫抑制剂的缘故。我们没有刻意去求证过,但此也可以作为一种鉴别方法。
(本文得到放射科医师孙刚、郭秀虎两位同仁的帮助指导,并表示感谢。)
本文来源:医学界儿科频道
本文作者:张光成
责任编辑:CiCi
推荐阅读
医学界力求其发表内容在审核通过时的准确可靠,但并不对已发表内容的适时性,以及所引用资料(如有)的准确性和完整性等作出任何承诺和保证,亦不承担因该些内容已过时、所引用资料可能的不准确或不完整等情况引起的任何责任。请相关各方在采用或者以此作为决策依据时另行核查。
版权申明
原标题:《这几组患儿胸片,是肺炎?还是正常影像?规培医师懵了》
本文为澎湃号作者或机构在澎湃新闻上传并发布,仅代表该作者或机构观点,不代表澎湃新闻的观点或立场,澎湃新闻仅提供信息发布平台。申请澎湃号请用电脑访问http://renzheng.thepaper.cn。





- 报料热线: 021-962866
- 报料邮箱: news@thepaper.cn
互联网新闻信息服务许可证:31120170006
增值电信业务经营许可证:沪B2-2017116
© 2014-2026 上海东方报业有限公司




