- +1
疑难眼底病基因诊断与治疗取得新进展!复旦附属眼耳鼻喉科医院医生团队实现突破
1月22日,记者从复旦大学附属眼耳鼻喉科医院获悉,67岁的患者马先生接受年龄相关黄斑变性基因治疗已经满一个月的时间了,经过综合研判治疗后一个月数次随访和相关检查,该院的徐格致教授发现,马先生的视网膜膜下积液有部分吸收并出现其他好转的组织学迹象,视功能也有所改善,视力从治疗前的20个阅读字母数提高到27个(EDTRS矫正视力表检查),没有出现任何局部与全身副作用。
▲徐格致教授为马先生复诊
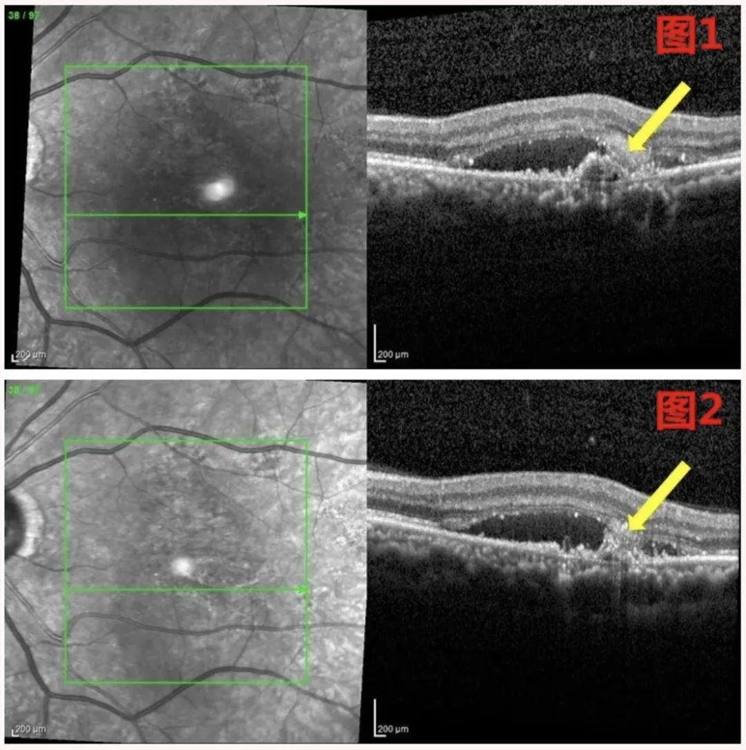
▲注:与治疗后第3周(图1)相比,治疗后第4周(图2)黄斑区渗出减少,细胞病变较前减轻(黄色箭头)
这意味着该院徐格致教授团队在疑难眼底病基因诊断与治疗上取得重要进展:年龄相关黄斑变性有可能实现安全有效且作用时间长久的基因治疗。这为今后难治性年龄相关黄斑变性患者提供了新的治疗选择,也为探索其他疑难眼病基因治疗提供了有益的借鉴。
据悉,年龄相关黄斑变性,又称老年黄斑变性,是老年人常见的一种不可逆致盲性眼病, 以黄斑区脉络膜新生血管形成为特征,如果不及时治疗,会因出血而导致中心视力严重受损,甚至失明。目前常规治疗是为患者眼内注射抗新生血管生长因子,但需要定期反复注射。
为探索对年龄相关黄斑变性等疑难眼底病患者持续安全有效的治疗方法,经过详尽的临床前研究和医院伦理委员会的严格审查同意,并在国家卫健委医学研究登记备案信息系统备案,眼耳鼻喉科医院徐格致教授、洪佳旭副教授团队和上海交通大学系统生物医学研究院蔡宇伽教授团队合作,于2021年12月22日对入组第一例临床试验的马先生进行了基于IDLV基因工程技术生产的抗新生血管药物治疗。相关基因治疗药物来自于GMP级细胞和基因治疗生产车间单位,并经严格生产质量控制。研究团队期望通过这种技术可以使得机体自身不间断产生“治疗药物”,达到治疗的“一劳永逸”。现在,初步结果表明了年龄相关黄斑变性的基因治疗可能是安全、有效且作用时间长久的方法。
▲徐格致教授为马先生进行手术治疗
这是复旦大学附属眼耳鼻喉科医院眼科借助基因工程技术,开展的第二种疑难眼病的基因治疗。洪佳旭副教授和蔡宇伽教授团队,早在2018年就开始合作探索顽固性病毒角膜炎的相关治疗并取得创新突破,相关成果和操作技术于2021年在国际顶尖学术期刊《自然-生物医学工程》(Nature Biomedical Engineering)和《自然-生物技术》(Nature Biotechnology)杂志上接连发表,已开展相关临床应用研究。
来 源
央视新闻客户端
文 字
王殿甲
责 编
汪祯仪
原标题:《疑难眼底病基因诊断与治疗取得新进展!复旦附属眼耳鼻喉科医院医生团队实现突破》
本文为澎湃号作者或机构在澎湃新闻上传并发布,仅代表该作者或机构观点,不代表澎湃新闻的观点或立场,澎湃新闻仅提供信息发布平台。申请澎湃号请用电脑访问http://renzheng.thepaper.cn。





- 报料热线: 021-962866
- 报料邮箱: news@thepaper.cn
互联网新闻信息服务许可证:31120170006
增值电信业务经营许可证:沪B2-2017116
© 2014-2026 上海东方报业有限公司




