- +1
按摩后夹层,消失后为何仍然反复卒中?
原创 八孔的笛子整理 医学界神经病学频道 收录于话题 #湘雅神内病例秀 1个
*仅供医学专业人士阅读参考
这个病因您能精准诊断吗?今天为大家介绍一个青年卒中的病例,患者38岁,反复出现卒中,且每次卒中的部位不固定,到底是什么原因呢?先跟着中南大学湘雅医院冯洁医生回顾一下病例资料。
一、病史介绍
基本信息:男性,38岁,个体户
主诉:反复右侧肢体无力1年,再发并右肢麻木,视物模糊1周
现病史:
2020年10月(节选自当地市级三甲医院出院小结)
患者运动时感左颈咽疼痛,继而出现右侧肢体无力,仍可自行行走。当地医院头颅MRI提示:左侧额顶叶多发急性脑梗死。颅内MRA未见明显异常。颈部CTA提示左侧颈内动脉夹层。
诊断:
1、脑梗死 其他明确病因型
2、左侧颈内动脉夹层
3、高脂血症
治疗:利伐沙班抗凝、阿托伐他汀降脂治疗,症状完全缓解(就诊影像资料已丢失)
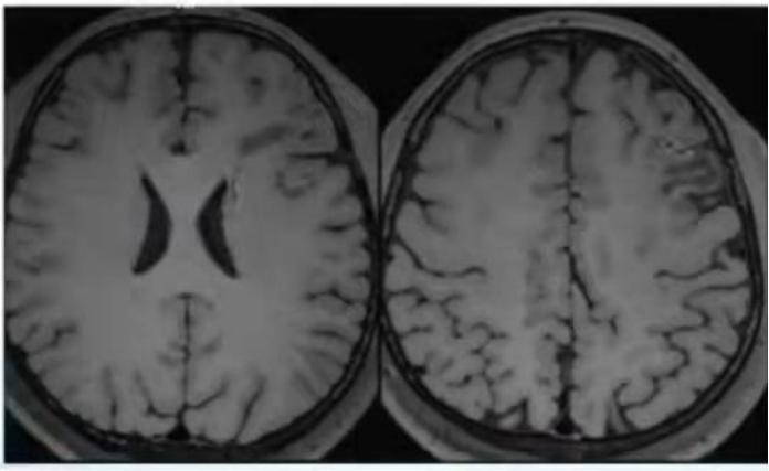
2021年1月复查头颅MRI提示:左侧额顶叶梗死病灶(见图1),DSA提示夹层已经消失(见图2)。
图1:头颅MRI平扫
图2:DSA患者抗凝效果佳,复查颈内动脉夹层消失后,改用了阿司匹林+阿托伐他汀二级预防。
2021年7-9月
1、发作性右侧肢体无力3次,持续时间数分钟,可自行缓解。
2、仍感左颈咽疼痛,向左侧偏头及按压时明显。
3、未予以重视。
2021年10月15日
打篮球时感头晕,视物模糊,右侧肢体麻木不灵活。
2021年10月当地市级三甲医院头颅MRI及头颈部MRA(图3、图4):
图3:头颅DWI序列+MRA
图4:颈部MRA头颅MRI提示:左侧枕叶、丘脑急性梗死。
头颅及颈部MRA提示未见明显异常狭窄及夹层。
2021年10月,当地市级三甲医院完善的其他检查项目:
三大常规正常。
肝肾功能、电解质、心肌酶、凝血功能、易栓症全套正常;血糖正常。
血脂全套:LDL-C 2.17mmol/l,余正常;同型半胱氨酸正常。
甲功五项、免疫全套、狼疮、风湿、血管炎三项、抗心磷脂抗体、抗中性粒细胞浆抗体、抗核小体抗体、ANA谱、轻链、维生素全套、C12正常;TSPOT、输血前四项正常。
颈部血管彩超:左侧颈内动脉中膜厚度增厚。
动态心电图:窦律,偶发房早。
心脏彩超提示:二尖瓣轻度返流。
TCD发泡试验:未见右向左分流。
肺部CT未见明显异常。
2021年10月当地市级三甲医院诊断如下:
▌诊断:
1、脑梗死原因不明型(左侧丘脑、枕叶、急性期)。
2、脑梗死其它明确原因型(左侧额顶叶,后遗症期),左侧颈内动脉夹层。
3、高脂血症。
治疗:阿司匹林+氯吡格雷双抗、阿托伐他汀40mg(强化降脂)。
2021年10月23日
为求进一步诊治遂来我院。发病以来,精神、食纳、睡眠可,体重减轻8斤(饮食+运动减肥)。
▌既往史:无高血压病,无糖尿病;有高脂血血症,使用阿托伐他汀治疗后好转;常感颈部及肩部不适,喜按摩。
个人史:间断抽烟10余年,2包/周,已戒烟1年。偶有饮酒。
婚育、家族史:无特殊。
▌体格检查:
T 36.3℃;BP 124/80mmHg;P 73次/分;R 20次/分。
神清,双肺呼吸音清,无明显干湿啰音,心律齐,无杂音,腹软、无压痛及反跳痛,肠鸣音正常。
▌专科情况:神清,语利,时间空间定向正常,双侧瞳孔等大等圆,直径3mm,对光反射灵敏,眼球运动到位,右侧同向性偏盲,鼻唇沟对称,双侧咽反射灵敏,伸舌居中,颈软,四肢肌力、肌张力正常,右侧偏身痛触觉稍差,双侧指鼻试验可,双侧跟、膝-胫准,双侧巴氏征阴性。
患者相关资料回顾如上,接下来,一起分析思考一下,造成如此现象的病因究竟是什么?
二、病情分析
▌ 分析:
青年男性,反复出现缺血性脑血管病事件,发病的时间流程图如下:
图5:患者脑血管病发病流程通过这个流程图可以发现患者的梗死累及前循环和后循环,并且均为左侧。
那么病因是什么呢?我们继续往下分析。
(1)青年卒中病因
图6:青年卒中病因▌ 分析该患者:
1、血管:患者存在左侧颈内动脉夹层。
2、血液:患者无危险因素。
3、心脏:患者存在左侧颈内动脉供血区域缺血/梗死+左侧大脑后动脉供血区域梗死,那么病变在主动脉弓及以下?
我们再看一下该患者的DSA及MRA:
图7:DSA和MRA备注(图中红色箭头所指为左侧胚胎型大脑后动脉)患者存在左侧胚胎型大脑后动脉,考虑责任血管为左侧颈内动脉。那么,该青年患者出现颈内动脉夹层的病因是什么呢?
(2)颈动脉夹层的病因
图8:颈部动脉夹层常见原因分析一下该患者夹层病因:患者喜欢运动,几次发病在运动时出现,患者有颈部按摩。
患者诉有咽颈痛,向左侧转头明显,治疗过程中请耳鼻喉科协助诊疗,并完善头颅CT三维重建,测量左侧茎突长度约36.6mm。
图9:头颅CT三维重建备注:图中的箭头所指为左侧茎突,红色圆圈所指为左侧茎突由这个病例,我们进一步了解一下茎突综合征。
▌ 茎突综合征:
由于茎突的长度过长、方位异常、形态异常和(或)茎突舌骨韧带骨化等因素,致使其与邻近的肌肉、血管、神经、黏膜相接触,可出现神经压迫、血管压迫,进而产生的咽部异物感、咽部疼痛感、耳痛、舌咽神经痛、头颈部疼痛和涎腺分泌增多等症状的总称。
图10A为正常茎突的解剖及周围组织的解剖关系图[1]
B为茎突综合征患者的茎突与周围组织的解剖关系图[1]
茎突周围的血管与神经:茎突周围的主要血管为颈内动脉、颈外动脉。颈内动脉走行于茎突后方,颈外动脉跨过茎突前方。颈动脉鞘有交感神经分布,颈动脉分叉处的颈动脉体及颈动脉窦为迷走神经及舌咽神经分布,与茎突关系密切的是舌咽神经。舌咽神经司鼻咽、口咽、扁桃体、软腭及舌部的感觉及运动。
因此,茎突发育异常或舌骨韧带骨化,导致茎突过长或生长方位、形态异常,会引起周围的神经、血管压迫,进而引起相关的症状。
三、小结:
1、动脉夹层是青年卒中的常见原因之一;
2、前后循环同时受累,不仅需考虑主动脉弓及心脏来源血栓,还需要警惕胚胎型大脑后动脉、永存三叉动脉等;
3、转头后出现神经功能缺损症状:前有茎突综合征后有猎人弓综合征,值得我们警惕。
本病例选自第七届中南大学湘雅医院神经内科青年医师病例报告会。
参考来源:
[1]Badhey A,Jategaonkar A,Kovacs A J A,et al.Eagle syndrome:a comprehensive review[J].Clinical neurology and neurosurgery,2017,159:34-38.
本文首发:医学界神经病学频道
本文整理:八孔的笛子
本文审核:李土明 副主任医师
责任编辑:陆离先生
本文为澎湃号作者或机构在澎湃新闻上传并发布,仅代表该作者或机构观点,不代表澎湃新闻的观点或立场,澎湃新闻仅提供信息发布平台。申请澎湃号请用电脑访问http://renzheng.thepaper.cn。





- 报料热线: 021-962866
- 报料邮箱: news@thepaper.cn
互联网新闻信息服务许可证:31120170006
增值电信业务经营许可证:沪B2-2017116
© 2014-2026 上海东方报业有限公司




