- +1
患上“公主病”,7岁女孩胃中取出3斤重胃石
原创 柚子 医学界儿科频道
仅供医学专业人士阅读参考
非常形似……
7岁的小怡因持续1个月的腹痛而至医院就诊,医生在CT检查中发现,孩子的胃里竟有一长约20cm的钢丝球样硬块。由于庞大的异物影响,小怡的胃明显扩张,这也是导致她腹痛的主要原因。
医生通过手术,从小怡的胃里取出了重达3斤的胃石。据家长回忆,孩子从小就有吃头发、碎屑、橡皮等异物的习惯,最终小怡确诊为“长发公主综合征”。
胃石症是由于摄入了某些不易消化的植物、毛发或矿物质,导致其在胃内凝结成异物。在少数情况下,胃石中的毛发可延伸至整个小肠到盲肠,取出来的胃石像格林童话中“长发公主”的辫子一样,这种胃石症被命名为“长发公主综合征”,又称拉庞泽尔氏综合征。该病于1968年首次报道,多发生在小女孩身上。爱吃头发造成的“黑暗童话”
与美好的名字不同,长发公主综合征的患儿往往长期被这种“癖好”导致的疼痛折磨。由于头发的特性,患儿吞食头发后,既不能被胃液消化,也不易通过幽门而被排出体外,而是黏附在胃壁上。当胃内毛发增多后,便与食物一同相互缠绕形成毛发胃石。
从患儿胃中取出的毛发胃石,形状似“长发公主”的辫子[1]毛发胃石并不会随着时间而被消化,而是持续于毛发和其他不易消化的食物结合,变得越来越大,从而导致肠胃梗阻,异物反复局部摩擦还会引起炎症、溃疡、穿孔等一系列并发症。常见的并发症有胃出口梗阻、梗阻性黄疸、消化道出血、急性胰腺炎、小肠梗阻、腹膜炎等[2]。
早期症状不明显,
可通过消化道检查帮助诊断
长发公主综合征可通过患者病史、症状及体格检查辅助诊断。
▌ 病史
大多患儿有特殊的进食史,临床医生在问诊需注重病史的询问。
▌ 临床症状
患儿早期可无明显症状,当胃石增大到一定程度时,患者最常见的症状包括腹痛、恶心、呕吐、早饱、厌食和体重减轻等非特异性症状[3]。
1.腹痛
胃石对胃黏膜造成机械性损伤,导致腹胀腹痛,形成溃疡和穿孔者,腹痛症状加重。
2.厌食、体重减轻
长期食用毛发者,其胃内大量毛发形成筛网,阻碍胃内容物排空。随着胃内毛发石的体积增大,食欲和胃肠正常功能逐渐受到影响,患儿可明显出现食欲减退和体重消瘦。
3.脱发
有些患者会拔自己的头发,表现出“脱发”的症状。
▌ 体格检查
患儿上腹部有压痛,体形瘦者和结石较大者可扪及活动且有压痛的肿块。病情严重者常合并肠梗阻,表现为腹胀,肠鸣音活跃亢进,有呕吐伴肛门排气排便停止。
除以上方式,还可通过辅助检查,如消化内镜、B超、钡餐、CT检查来帮助确诊[4]。
1.胃镜
是诊断胃石的重要手段。在胃镜下不仅可以清楚地看到胃石的形状及大小,同时还可以观察到胃壁有无损伤,并且还可以进行内镜下相关治疗。
2.钡餐
钡剂入胃有分流现象,胃内巨大充盈缺损,推动可有侧性运动,吞钡6小时后,仍可见少量钡剂黏附在团块表面,但此法不适用于存在明显肠梗阻的患者。
3.B超
可见到胃内有强回声团块影。
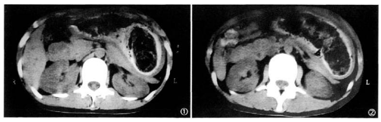
箭头所指为胃石[5]。4.CT
CT平扫,可见胃底及胃体内长团状混杂密度影。
平扫示胃底及胃体内长团状混杂密度影,边缘不光滑,与胃壁间见高密度造影剂,团块内部为低密度,CT值53Hu[6]。如何治疗?
治疗方法可分为非手术治疗和手术治疗,方式的选择与胃石的大小、硬度、成分以及患者的意愿有关。
一般<2cm的胃石可采用胃镜下注入或口服果胶酶、碳酸氢钠、纤维素酶等将胃石溶解,适用于胃石形成时间短,体积较小,同时给予胃肠动力药物促进排出。
对于毛发石形成时间较长、胃巨大毛发石(直径≥4cm),多采取内镜下活检钳、圈套器或高频电切刀直接碎石。出现严重并发症且经非手术治疗失败的患者,应尽快经外科开腹手术取出。
目前,有关该病的发病机制尚不清楚。作为异食癖的一种,长发公主综合征可能与体内缺乏某种微量元素或肠道寄生虫导致营养成分不平衡,也可能和精神疾病有关。因此,如不解决心理障碍,即使手术取出胃石后,仍有很大几率复发。这要求家长在日常生活中多关心孩子的状况,如发现孩子有异食癖,应及时制止和纠正,并予以心理开导,以免导致该疾病的发生。
参考文献:
[1]Rabie ME,Arishi AR,Khan A,Ageely H,Seif El-Nasr GA,Fagihi M.Rapunzel syndrome:the unsuspected culprit.World J Gastroenterol.2008 Feb 21;14(7):1141-3.doi:10.3748/wjg.14.1141.PMID:18286701;PMCID:PMC2689422.
[2]王秀成,张广珍,赵艳华.综合治疗胃石临床分析[J].河北医药,2012,34(12):1856-1857.DOI:10.3969/j.issn.1002-7386.2012.12.058.
[3]Naik S.Gupta V。Rangole A,et a1.Rapunzel syndrome reviewed and redefined[J].Digestive Surgery,2007,24(3):157-161.
[4]张阳,吕宜光.胃石症的病因及诊治进展[J].现代医学,2020,48(7):925-930.DOI:10.3969/j.issn.1671-7562.2020.07.029.
[5]梁君佐.胃石症1例的超声所见[J].中国超声医学杂志,2004,20(6):437.DOI:10.3969/j.issn.1002-0101.2004.06.025.
[6]姚斯元,马玉超.CT诊断胃巨大毛发结石1例[J].中国医学影像学杂志,2008,16(4):319.DOI:10.3969/j.issn.1005-5185.2008.04.034.
本文来源:医学界儿科频道
本文作者:柚子
责任编辑:CiCi
推荐阅读
医学界力求其发表内容在审核通过时的准确可靠,但并不对已发表内容的适时性,以及所引用资料(如有)的准确性和完整性等作出任何承诺和保证,亦不承担因该些内容已过时、所引用资料可能的不准确或不完整等情况引起的任何责任。请相关各方在采用或者以此作为决策依据时另行核查。
版权申明
原标题:《患上“公主病”,7岁女孩胃中取出3斤重胃石》
本文为澎湃号作者或机构在澎湃新闻上传并发布,仅代表该作者或机构观点,不代表澎湃新闻的观点或立场,澎湃新闻仅提供信息发布平台。申请澎湃号请用电脑访问http://renzheng.thepaper.cn。





- 报料热线: 021-962866
- 报料邮箱: news@thepaper.cn
互联网新闻信息服务许可证:31120170006
增值电信业务经营许可证:沪B2-2017116
© 2014-2026 上海东方报业有限公司




