- +1
成年人涂氟和窝沟封闭到底有用没?
原创 管牙管脸的 南先森

看到这个大牙龋坏没?从不太当回事小黑线到最后一步,
治疗起来可能就是三位数到五位数¥了。
有没有在刷卡的时候想过,
「如果当初做了窝沟封闭是不是就不用受这罪了?」
你不是第一个这样想的大人。
还有那种本来是带孩子来看牙,孩子听没听进去牙医讲得不知道,反正家长是真听进去了
「我自己小时候没做过这些预防,现在没少吃坏牙的苦,所以我对自己和宝宝的牙齿健康很重视,这个窝沟封闭看起来预防效果不错,要不我也顺便做个?」
一、先说说为啥小朋友要做新长出来的牙咬合面上的窝沟通常比较深,尤其第一恒磨牙牙面有大小不一的窝沟、点隙,这些地方极易藏污纳垢 。
有时牙刷都刷不到,这些残留在窝沟的食物残渣发酵 ,滋生细菌 ,逐渐损坏牙体,最终导致窝沟龋齿产生。
窝沟封闭后的乳牙或恒牙相当于多了一层保护屏障,有效降低食物残渣、细菌等进入窝沟,是预防乳牙龋的主要方法之一(大致过程↓)。
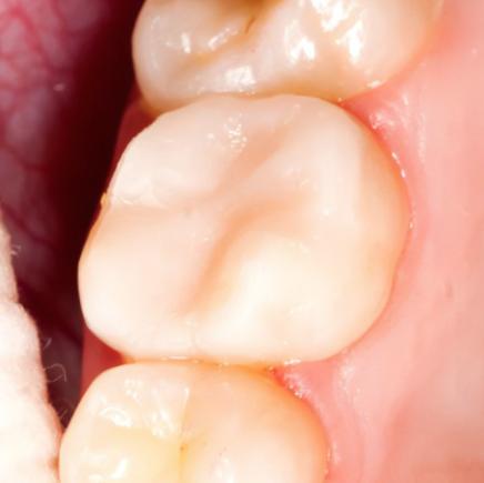
二、为啥说大人没必要做了牙齿萌出 4 年后,窝沟点隙该矿化的已经矿化、该“自闭”的已经“自闭”,靠外部力量去封闭的意义已经不大了。
要么被岁月磨平(左)要么已经补过(右),哪里还有需要封闭的部分嘛↓

即使是年龄适合(3~4、6~7、11~12岁左右),但孩子没有深的沟裂点隙,自洁作用挺好,也可以不做。当然如果你是即使成年了窝沟还是很深并且也没做过填充的牙,适合的话也可以做。
其实防龋办法有很多种,窝沟封闭只是其中一种。咱们成人用含氟牙膏正确刷牙,用牙线清理牙缝,定期洗牙看牙医基本预防就够了。三、那涂氟是儿童专用吗?
一般成年人,也是没有每年定期涂氟的必要,除非你去口腔检查时医生发现你的情况需要涂氟。
儿童倒是有需要定期凃氟,但这个定期涂氟也没有 日常清洁重要 ,大家重点不要偏了哦,顺便说一句,孩子涂氟后4小时内不建议进食饮水~
涂氟和窝沟封闭都是儿童防龋的常规操作,主要是小朋友的牙齿组织结构,矿化程度等各种因素,有涂氟的必要。一般成年人都忙着跟牙周病啊牙龈退缩作斗争呢,还是来学下守住牙龈的情况下怎么刷牙吧��
南先森致力于牙齿保健、正颌整形知识的普及与传播,也不定期分享杂七杂八,希望大家牙齿健康、颜值在线、忠于内心、疏于表演。如果凑巧你也是个有趣的人,那就扫码关注我吧
本文为澎湃号作者或机构在澎湃新闻上传并发布,仅代表该作者或机构观点,不代表澎湃新闻的观点或立场,澎湃新闻仅提供信息发布平台。申请澎湃号请用电脑访问http://renzheng.thepaper.cn。





- 报料热线: 021-962866
- 报料邮箱: news@thepaper.cn
互联网新闻信息服务许可证:31120170006
增值电信业务经营许可证:沪B2-2017116
© 2014-2026 上海东方报业有限公司




