- +1
【新希望】恶性肿瘤复发如何抉择?化疗联合免疫治疗的新尝试
原创 放疗科 复旦大学附属眼耳鼻喉科医院
15年后肿瘤再发如晴天霹雳J先生今年47岁,出现右侧鼻塞、牙龈肿痛、牙齿脱落等症状后,多次自己口服消炎药稍有缓解。但没过多久,症状又出现且有加重趋势,前来我院就诊。
事实上,15年前J先生就因患左上颌窦癌在外院治疗;经过规范的放射治疗+手术,他战胜了癌症,恢复了正常生活,重返工作岗位。
上颌窦图示医生再三叮嘱要J先生要定期返院复查,头几年他也按时回医院复查,每次都得到来自医生“一切正常”的好消息。渐渐地,他就放松了警惕,再也没有复查过。

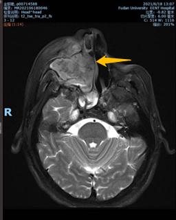
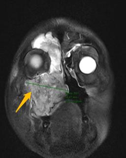
磁共振(MRI)检查结果图示而这次因身体不适来院就诊的结果,对J先生而言犹如晴天霹雳。磁共振显示右侧上颌窦充满了肿瘤组织,肿瘤还向周围结构扩展,侵犯了筛窦、眼眶底部、牙槽、硬腭、软腭、翼腭窝、面颊部皮肤,已丧失了彻底手术切除的机会。
划重点!
恶性肿瘤治疗后都存在复发或转移的风险,这种风险在治疗后的前五年,尤其是前三年概率较高,80%复发和转移发生在前三年,但仍有一定概率发生在以后的生命历程中。因此医生要求患者在治疗后的第一年,每2-3月复查,以后每3月复查一次,3年后每半年复查,5年后每年复查至终生。
突破成规 另辟蹊径
按照常规,这种情况下通常是实施姑息放疗或放化疗,如肿瘤退缩至可手术的范围时再行局部根治性切除手术,同时也存在放疗后仍无法手术的可能。
而此时坐在医生面前的J先生,15年前因为左侧上颌窦癌已切去了左侧上颌骨,左侧面部因缺乏骨质支撑而塌陷;左侧硬腭(口腔的“天花板”)缺失,进食时需佩戴牙托。
面对这样的病情,主诊医生王胜资教授的心情异常沉重:即使放疗后肿瘤缩小了,但如再切去右侧面部上颌骨和硬腭,他将失去面部的支撑骨,并失去另一半硬腭,治疗后如何走出家门面对今后的生活?今后如何进食?如何在控制肿瘤和保证生活质量之间取得最大平衡?只有突破成规才能闯出一条生路!
将病情和治疗新进展与患者及家属充分沟通后,医生和患者及家属达成了一致的想法,愿意先采用化疗联合免疫治疗的方法一试,其间密切跟踪右侧上颌窦肿瘤退缩情况。患者的充分信任和医生的努力换来了可喜的结果:一个疗程治疗后,患者的右半边头痛即得到了缓解,面部肿胀开始消退。两个疗程后行鼻腔鼻窦磁共振检查,肿瘤完全退缩。

继续乘胜追击!目前患者已完成6疗程的化疗和9疗程的PD-1抑制剂免疫治疗,正在继续免疫治疗维持中,患者鼻塞、牙痛、头痛等症状已完全缓解,生活基本正常。最新的磁共振显示,局部肿瘤已被完全控制!划重点!
肿瘤复发不等于穷途末路,不应坐以待毙,而应调整好心态,尽快到正规的专科就诊,以免延误病情;切记越早治疗,效果越好!
多学科团队协同合作 患者拥有新希望
鼻腔鼻窦鳞癌是头颈部肿瘤中较为少见的肿瘤类型,整体预后较差;除了传统的手术治疗、放疗和化疗,新兴的免疫治疗、分子靶向治疗等方法为鼻腔鼻窦鳞癌患者带来了更多的治疗选择和治愈希望;虽然免疫治疗已在鼻咽癌的治疗中取得了20-30%的有效率,但在鼻腔鼻窦鳞癌的应用尚证据不足,仍处在临床研究阶段。
肿瘤MDT模式将免疫治疗与传统疗法结合的综合治疗并不是简单地将各种现有的手段排列组合,而是要摸索出能够达到最高协同作用的“治疗配方”,选择最恰当的介入时机,这需要外科、放疗科、肿瘤内科、病理科、影像科等多学科的成员共同参与,相互协作。
J先生的治疗经历为许多处于治疗困境的患者带来了新的希望,我们也期待免疫治疗在鼻腔鼻窦癌中的研究有新的突破,惠及更多患者。
划重点!
免疫治疗虽然给鼻腔鼻窦癌患者的治疗带来了新的治疗希望,但仍处于探索阶段,不能盲目用药!多学科团队模式实现了以病人为中心、以多学科专家组为依托的有机结合,保障患者得到规范、个体化的诊疗方案。
供稿 | 放疗科 王丽 李骥
审校 | 放疗科 王胜资 王孝深
编辑 | 党委宣传部 占倩
微信服务号
科普阅读、门诊预约、疾病咨询
您身边的医疗服务好帮手
微信订阅号
人文宣传、精神引领、学科前沿
五官科医疗资讯交流平台
喜欢的话请点击右下角的“好看”,推荐给朋友吧!
原标题:《【新希望】恶性肿瘤复发如何抉择?化疗联合免疫治疗的新尝试》
本文为澎湃号作者或机构在澎湃新闻上传并发布,仅代表该作者或机构观点,不代表澎湃新闻的观点或立场,澎湃新闻仅提供信息发布平台。申请澎湃号请用电脑访问http://renzheng.thepaper.cn。





- 报料热线: 021-962866
- 报料邮箱: news@thepaper.cn
互联网新闻信息服务许可证:31120170006
增值电信业务经营许可证:沪B2-2017116
© 2014-2026 上海东方报业有限公司




