- +1
胸痛却冠脉造影正常,可能是得了这种病
原创 忘川 医学界心血管频道 收录于合集 #临床心经验 43个
*仅供医学专业人士阅读参考
冠脉微血管疾病(CMVD)将成为未来冠心病治疗的新突破点。46岁的王大妈因为胸痛、胸闷,到医院就诊,但胸片、心电图甚至冠状动脉(冠脉)造影结果均显示阴性。医生因此告诉王女士:“没什么大问题,不用担心。”甚至让王大妈先到身心科排除神经官能症或抑郁症等心理疾病。王大妈心里很不踏实,事实果真如此吗?王大妈真的“没问题”吗?
在回答这个问题之前,让我们先回顾一下对心绞痛病因的传统认识。你可能会说,“心绞痛,可不就是冠脉里长了斑块,造成血流受阻,最终引起心肌缺血症状吗?”的确,早在两个世纪前,机智的前辈们就认识到了这点。
也正因如此,长期以来,冠心病相关研究一直围绕心外膜下冠脉进行。冠脉造影成为了评价冠脉病变的“金标准”,若造影结果显示冠脉狭窄≥50%,则可诊断阻塞性病变;若狭窄<50%,诊断为非阻塞性病变,最终被打上“正常”的标签。
这部分“正常”的心绞痛患者,约占30%-60%。随着相关研究的不断深入,近年来,人们终于意识到,冠脉微循环可能影响了这些患者的症状和预后,而与冠脉微循环相关的疾病即为CMVD。
这些造影正常却有心肌缺血症状的患者,极大可能存在非阻塞性冠脉粥样硬化和微血管缺血,并最终导致主要心血管不良事件(MACE)发生率增加。他们并非“正常”!
冠脉微循环和CMVD是什么鬼东西?
冠脉包括三个节段:心外膜下冠脉、前小动脉、小动脉(如下图所示)。心外膜下冠脉,也就是传统认为的冠脉循环主要甚至唯一组成部分,只占整个冠脉循环很小的一部分。
由前小动脉、小动脉构成的冠脉微循环造成了冠脉循环80%的阻力。你以为的冠脉循环也许是下图(A)的样子,但实际的冠脉循环由心外膜下冠脉和冠脉微循环共同构成,长下图(B)这样。
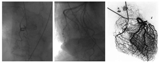
一般认为冠脉造影只能看到直径>0.4-0.5 mm的大血管。就像下面这张图的左边。
前小动脉和小动脉可以感知压力、流量、心肌代谢废物,进而自动调整心肌灌注。多种致病因素的作用下,冠脉前小动脉和小动脉的结构和(或)功能异常所致的劳力性心绞痛或心肌缺血客观证据的临床综合征,即为CMVD。当冠脉微循环障碍时,一样会出现严重的心肌缺血。你,还有什么理由不重视它呢?近半个世纪的CMVD探索之路
人们对CMVD的认识过程并非一帆风顺。
早在40多年前,医学文献中就首次出现关于CMVD的报道。Likoff等首次报道冠脉造影未发现冠脉狭窄但仍有典型心绞痛这一临床现象,当时对其具体的发病机制仍不清楚。1973年,Kemp HG 首次将此病命名为心脏X 综合征(syndrome X)。
1985年,Cannon RO 等认为其可能是微血管病变所致,将此病命名为微血管性心绞痛(microvascular angina,MVA)。2007年,Camici PG 将此病命名为微血管功能异常(microvascular dysfunction), 2013年ESC稳定性冠脉疾病治疗指南首次强调微血管病变在冠心病发病机制中的作用,正式将此病命名为微血管功能异常,并将其列入冠心病的临床类型,提出了初步的诊断和治疗建议。
2017年,我国发布了全球首部关于冠脉微血管疾病的专家共识,《冠脉微血管疾病诊断和治疗的中国专家共识》,提出微血管功能异常一词未能涵盖本病的微血管结构异常,因此建议命名为冠脉微血管病变。
CMVD的患病率,比你想象的高得多
尽管目前关于CMVD的流行病学研究仍十分有限,但已有的调查结果却非常“惊人”。
2012年欧洲一项包括11223例稳定型心绞痛患者的7.5 年随访研究显示,入院时近1/3的男性和2/3的女性患者冠脉造影未发现阻塞性冠脉疾病,但无论男性或女性,冠脉造影显示正常和非阻塞性冠脉病变患者的MACE和全因死亡率显著高于对照人群,研究者推测,CMVD 可能是导致这些患者不良预后的重要原因。
2014年发表的一项研究发现,在无冠心病病史和无正电子发射型计算机断层显像(PET)心肌灌注显像异常的405例男性和813例女性患者中,以PET测量的冠脉血流储备(CFR)<2作为判定标准, CMVD的发生率男性为51%,女性为54%, 且CFR<2 是不良心血管事件的独立预测因素。
关于CMVD,目前已知的情报
CMVD的发病机制目前尚不是特别清楚,其中微循环结构改变、功能改变(内皮功能异常、微血栓形成、微血管痉挛等)以及血管外机制(外部挤压、组织水肿、心脏舒张时间缩短)等均参与冠脉微循环功能障碍的发病。
冠脉微血管功能常通过检测冠脉微血管对血管扩张剂的反应来评估,常用的测量指标是冠脉微血管呈最大限度扩张时的冠脉血流量与基础状态下冠脉血流量的比值。目前常用的冠脉微血管功能评价的技术比较如下表所示:
表1 常用的冠脉微血管功能评价的技术比较
根据CMVD病因可分三类:不合并阻塞性冠脉疾病的CMVD;
合并阻塞性冠脉疾病的CMVD;
其他类型的CMVD。
在此主要介绍不合并阻塞性冠脉疾病的CMVD的诊治。不合并阻塞性冠脉疾病的CMVD又称为原发性微血管心绞痛,根据临床表现可分为原发性稳定型微血管心绞痛和原发性不稳定型微血管心绞痛。
原发性稳定型微血管心绞痛的治疗首先是控制危险因素如通过降压、调脂、血糖控制、减轻体质量、戒烟等改善冠脉微血管内皮功能。其次是抗心肌缺血药物治疗。一线治疗药物是β- 受体阻滞剂或钙离子拮抗剂,若不能耐受β-受体阻滞剂可应用窦房结起搏电流阻滞剂伊伐布雷定,改善冠脉微血管心绞痛症状。
原发性不稳定型微血管心绞痛的治疗目前推荐的有两种药物:
一是米贝拉地尔,属于T型钙离子通道阻滞剂,通过改善原发性不稳定型微血管心绞痛患者的心绞痛症状和冠脉微血管功能,可作为一线治疗。
二是法舒地尔,其分子结构为5-异喹啉磺酰胺衍生物,为Rho激酶抑制物,通过增加肌球蛋白轻链磷酸酶的活性扩张血管,降低内皮细胞的张力,维持冠脉内皮结构和功能的正常。
两种药物在少数微血管痉挛所致ST段上抬和心绞痛的患者中使用,可抑制乙酰胆碱诱发的微血管痉挛,减少心绞痛发作。
CMVD的研究瓶颈和未来展望
CMVD涉及患者人群广泛,并且会增加冠心病不良事件的发生风险,已经逐步被人们认识和关注,也将成为未来冠心病治疗的新突破点。
但同时,目前仍缺乏标准化、规范化的检测手段。因为CMVD只能通过血管活性药物负荷后测定冠状动脉血流、冠状动脉血流速度或者冠状动脉阻力进行间接评估,当CMVD病变范围小的时候可能未引起上述指标的变化,所以难以检测。这给冠心病的系统研究和综合防治带来极大的困难。
临床工作者应该关注和重视冠脉微循环及心肌缺血的联系,并逐步探索CMVD防治经验,以改善患者预后,降低不良事件的发生。
参考文献:
[1]. Lee, J.M., et al., Coronary Flow Reserve andMicrocirculatory Resistance in Patients With Intermediate Coronary Stenosis.Journal of the American College of Cardiology, 2016. 67(10): p. 1158-1169.
[2]. Taqueti, V.R. and M.F. Di Carli, CoronaryMicrovascular Disease Pathogenic Mechanisms and Therapeutic Options. Journalof the American College of Cardiology, 2018. 72(21): p. 2625-2641.
[3]. Herrmann, J., J.C. Kaski and A. Lerman,Coronary microvascular dysfunction in the clinical setting: from mystery toreality. Eur Heart J, 2012. 33(22): p. 2771-2782b.
[4]. Bairey Merz, C.N., et al., Ischemia and NoObstructive Coronary Artery Disease (INOCA). Circulation, 2017. 135(11): p.1075-1092.
[5]. 曹博涵与吴光哲, 冠状动脉微血管疾病的研究进展. 中国疗养医学, 2018. 27(10): 第1024-1028页.
[6]. 张运等, 冠状动脉微血管疾病诊断和治疗的中国专家共识. 中国循环杂志, 2017. 32(05): 第421-430页.
本文首发:医学界心血管频道
本文作者:忘川
责任编辑:袁雪晴 章丽
版权申明
本文原创,欢迎转发到朋友圈
- End -
本文为澎湃号作者或机构在澎湃新闻上传并发布,仅代表该作者或机构观点,不代表澎湃新闻的观点或立场,澎湃新闻仅提供信息发布平台。申请澎湃号请用电脑访问http://renzheng.thepaper.cn。





- 报料热线: 021-962866
- 报料邮箱: news@thepaper.cn
互联网新闻信息服务许可证:31120170006
增值电信业务经营许可证:沪B2-2017116
© 2014-2026 上海东方报业有限公司




