- +1
你需要掌握的双能量CT基本知识
原创 赵喜同学 XI区 收录于合集 #双能量 63个
长按识别下方二维码关注我大家好,欢迎大家访问XI区!
能进行双能量CT(DECT)检查的CT设备越来越多,配备DECT扫描仪的医院也越来越多,然而常规使用DECT的医疗机构却很少。
DECT以两种不同的能量扫描物体;根据在不同能量下获得的材料衰减系数的差异,它可用于执行材料分解,还可以识别常规单能CT扫描无法评估的材料特性。通过应用虚拟单能谱图或材料分解,可以提高检测病变的能力。有效的原子序数和电子密度分析可以揭示在常规CT扫描中难以评估的材料特性。
今天我们系统讲解一下双能CT的基本原理及其在日常临床实践中的应用。
X射线的产生和能谱
在CT中,球管发出X射线(图1a)。为了产生X射线束,从阴极发射的电子流被聚焦成窄束,轰击钨靶阳极上的一个小焦点。X射线束由光子组成,其能量具有很宽的连续性(keV;千电子伏);这些光束被称为“多色X射线(polychromatic x-rays)”,形成X射线光谱(图1b)。X射线光谱中光子能量的最大值与管电压千伏(kV)相匹配;如果管电压为120kV,光谱的最大能量为120keV(图2)。X射线光谱取决于管电压;图2显示了X射线管电压为70、80、100、120和140 kV时的X射线光谱)。
关于双能量CT的发展历程,参见:。
图1 当阴极发射的加速电子轰击钨靶阳极时,产生X射线束(a)。X射线束由光子组成,光子具有广泛的连续能量,形成X射线光谱(b)。
图2 X射线光谱随管电压的不同而变化。X射线光谱(keV)的最大值等于管电压千伏(kV)扫描和分析方法
双能CT基本原理
一般来说,一种材料在不同的能量下具有不同的CT值;这种差异的程度取决于材料的组成元素(图3)。材料的CT值与其线衰减系数有关,对于任何给定的材料都不唯一。即使在元素组成不同的情况下,材料也可能具有相似的CT值。
图3 一种材料在不同的能级上有不同的CT值。差异的程度取决于材料的元素组成在传统CT图像上,通常很难区分两种材料(例如钙和碘),因为它们的CT值有相当大的重叠。因此,传统CT产生的组织材料组成信息有限(图4)。在双能CT图像上,通过比较两种不同能量水平下的CT值,可以区分和量化具有不同元素成分的材料(图4)。
图4 在传统CT图像上,由于两种材料的CT值有相当大的重叠,通常无法区分。在双能CT扫描中,通过比较两种不同能量水平下的CT值,可以区分和量化具有不同元素成分的材料。双能CT扫描仪的类型
我们在市面上可以看到不同供应商生产的临床使用的扫描仪,应用了不同的双能量技术。kV快速切换、两次序列扫描和双源CT系统使用两条独立的X射线能量。通常,双能CT扫描的高低管电压通常设置70–100 kV和135–150 kV。一些供应商只使用一个X射线能量;在探测器(双层探测器系统)或球管输出(同源双光束系统)处,光束被分为低能光谱和高能光谱。
图5 不同双能量实现方法双能CT扫描的通用要求
对于精确的双能量分析,使用两种不同能量(电压)获取的图像应在时间和空间上匹配。
以下是双能CT扫描的常见要求:
高能和低能数据应同时采集或以较小的间隔采集。由于患者的运动、胃肠蠕动或对比剂的流动,时间间隔延长会导致两个数据集之间的空间不匹配。
两个数据之间的能量差应该很大。由于双能CT分析基于两种能量数据的X射线吸收对比度,因此能量差越小,对比度噪声比越低。
图像质量,尤其是低管电压和高管电压扫描的图像噪声水平,应该几乎相同。如果一次扫描的图像质量较差,最终图像的质量也会较差。对于低电压扫描,需要增加管电流。
这些要求越能满足,双能量分析的准确性就越好。
双能CT分析方法
双能量分析方法可分为基于图像数据域的分析和基于原始数据域的分析。双能扫描在重建高能和低能图像之前(基于原始数据的分析)或之后(基于图像的分析)进行后处理,以创建各种双能CT应用。
对于基于原始数据的分析(图6),高管电压和低管电压的X射线路径必须精确匹配。在通过材料分解直接处理材料原始数据(基物质对,如碘和水为参考材料)后,进行图像重建。人体被认为含有两种不同物质的混合物,每种物质的含量都是根据原始数据集计算出来的,可以获得比如碘基图和水基图,所有衰减与水不同的物质均有一部分会计算到碘基图中。
图6 基于原始数据的分析对于基于图像的分析(图7),只要两个重建图像在空间上匹配,高管电压和低管电压的X射线路径就不需要完全匹配。在重建高能和低能图像后,对双能数据进行处理,以创建各种双能CT应用。通过混合高能和低能图像(混合图像),可以获得不同管电压下的加权平均图像。碘图可以通过提取碘(物质分解)来创建;通过从加权平均图像中减去碘图,获得虚拟平扫图像。通常认为,基于图像空间的双能量实现方式不如基于原始数据的方法理想,但是实际临床应用中,两者是等效的。
图7 基于图像空间的分析选择基于原始数据域和基于图像域的分析取决于双能量CT硬件。目前,基于原始数据的分析用于快速管电压切换、两次序列扫描和双层探测器系统。双源CT扫描仪使用基于图像的分析。
关于不同双能量CT技术的实现方法,参见:。
单能量类图像
虚拟单能图像
使用单能量CT传输的多色X射线束由构成X射线光谱的多个能级的光子组成。VMI是模拟使用任意能量的单色X射线获得的CT图像。
在双能量处理中,特定体素内的线衰减系数(μ)可以用以下公式表示:
μ(E)=μ1(E)c1+μ2(E)c2,
其中,两种基物质(c1,c2)的质量密度通过材料分解估算,两种基物质的线衰减系数[μ1(E),μ2(E)]已知。特定能级(keV)下的CT值由以下公式定义:
CT值(E)=1000·[μ(E)−μ水(E)]/μ水(E),
其中μ水(E)是水的线衰减系数。使用这两个公式,可以得到任意能级(keV)下的CT值(图8)。
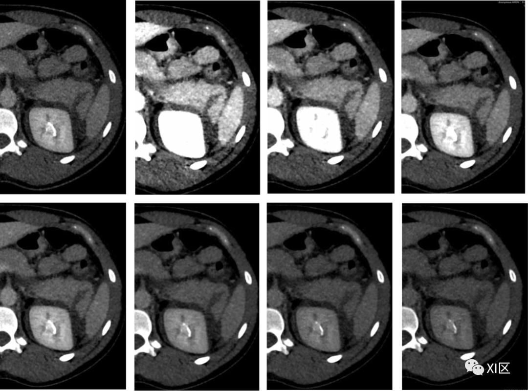
图8 25岁男性,胰腺尾部撕裂伤,在常规混合图像和40至100keV的VMI上显示。所有图像都具有相同的显示窗位(360HU)和相同的窗宽(160 HU)设置。虚拟单能谱图像(VMI)并不能等效于在某一个kV(如120kV)下采集的混合能量的数据,通常会受到患者体型和衰减的直接影响。VMIs上约65–70 keV的CT衰减值大约相当于120 kV下获得的单能量CT扫描的衰减。因此,该能量范围内的VMI通常被选为标准图像。
与在低管电压下进行的传统CT扫描一样,碘对比度随着VMI能级的降低而增加;这改善了增强病变的可视化。通过利用这一特性,双能CT扫描产生的40–50 keV的VMI允许对比剂剂量减少40–60%,这对肾功能不全患者尤其重要(图9)。由于某些VMIs上的图像噪声在较低keV设置下会增加,建议采用降噪技术,例如迭代重建。
图9 患有肝细胞癌的64岁女性。由于肾功能不全(eGFR,21ml/min/1.73 m2),动脉期CT图像是以低对比剂剂量(220mgI/kg)获得。在70keV的虚拟单色图像(a)上,肝脏病变的可视化不够充分,而在40keV图像(b)和碘图(c)上可以清楚地检测到。当VMI的能量水平增加(即高于80 keV)时,组织之间的对比度降低,导致金属伪影减少。尽管如此,为了克服密集材料(如金属夹、线圈和支架)产生的严重伪影,可以使用专用的金属伪影减少软件(图10)。
图10 显示了从左至右分别以70、90、130和190 keV提取的单色图像:放置在胫骨中的钛髓内钉(上图)和用于固定胫骨远端不愈合和胫距关节融合术的不锈钢钢板固定(下图)。髓内钛植入物的伪影较少,在较高能量下几乎没有观察到伪影减少。对于不锈钢植入物,每增加一个能量都会导致伪影减少。关于单能谱临床价值的更多内容,参见:。
能谱曲线
VMIs可用于在工作站上创建能谱曲线。通过在组织中设置感兴趣区域(ROI)并在VMI的每个单色能量(例如,从40到190 keV)下绘制ROI中的平均CT值,获得能谱曲线(图11)。由于曲线的形状随ROI组织中的平均衰减特征而变化,这有助于特定组织类型的表征,并有助于成分分析和获得鉴别诊断。
图11 通过在组织中设置感兴趣的区域并绘制每个单色能量下的平均CT值,可以获得能谱曲线。高原子序数材料的衰减,如碘在较低能量下增加(绿色),水在所有能量下的衰减为零(白色),脂肪在较低能量下的衰减降低(黄色)。软组织以及碘和骨等高原子序数材料的CT值在较低的能量下会增加。水在所有能量下的CT值为零;能量较低时,脂肪的CT值会降低(图11)。当特定组织的ROI曲线模式表明在较低keV下衰减降低时,应考虑存在脂肪。这一观察结果有助于诊断含脂肪疾病,例如富含脂质的斑块、肾上腺腺瘤、胆固醇息肉(图12)和血管平滑肌脂肪瘤。
图12 (左)69岁男子,患有1.5厘米的息肉。平扫CT图像上显示胆囊息肉。能谱曲线显示了在40到190 keV范围内观察到衰减值呈下降状,病理结果表明该病变为腺瘤性息肉。(右)48岁女性,患有1.6厘米的息肉。平扫CT图像上显示胆囊息肉。能谱曲线显示了在40到190 keV范围内衰减值呈上升状,病理结果表明病变是胆固醇息肉。材料分解
材料分解图像产生有关组织成分的定性和定量信息。临床实践中常用的材料分解图像,即碘图、虚拟平扫、水肿图以及脂肪含量图等。
碘图
使用三种物质分解,生成碘图,即从增强的双能CT图像中提取碘增强图像。碘图最常用于区分增强和非增强病变,改善了高血管和低血管肿块的可视化。
三物质分解算法能够生成肺血容量(PBV)图,该图表示碘在肺实质中的分布;它可以作为肺灌注的指标。PBV图和碘图有助于识别肺栓塞相关的灌注缺陷(图13)。此外,由于碘图显示肺结节的血供,有助于描述结节的特征(图14)。

图13 50岁男性,在远端胰腺切除术和脾切除术后第5天取出中心静脉导管后突然抱怨呼吸困难。A 术后第4天的胸部X光片显示中心静脉导管通过右颈内静脉的正常位置。B、C 术后第4天的腹部CT显示无栓塞病变的依赖性肺不张(B)。出现呼吸困难后的胸部CT图像(C)。右中肺动脉怀疑有多灶性空气(C中的箭头),这在之前的腹部CT中没有发现(B中的箭头),两个前肺都可以看到低衰减。D CT血管造影的融合图像和彩色编码碘图显示两肺前部的大灌注缺损,这可能是由肺空气栓塞引起的。
图14 78岁女性,右上下叶肺腺癌新发肺转移瘤表现为磨玻璃样阴影结节(部分为实性)。A、B 从双能CT获得的增强加权平均图像显示右肺中新形成的10 mm(A)和12 mm(B)大小的磨玻璃样阴影结节(箭头)。在RECIST 1.1版本中,磨玻璃样阴影结节是未明确定义的病变。因此,肿瘤反应被评估为稳定的疾病。C、D 这些结节在双能CT彩色编码碘增强图像上显示明显增强(C为58 HU,D为89 HU)(箭头)。因此,肿瘤反应被评估为进展性疾病。E、F 进一步随访CT扫描(双能CT扫描两个月后)的常规图像显示结节大小显著增加,出现内部新的空洞(箭头),提示空洞转移。肿瘤反应再次被确认为进展性疾病。碘图上病灶与实质的对比度更好,可以提高病灶的清晰度和病灶边缘的描绘,从而有助于可靠地识别小病灶或仅轻微强化的肿瘤。这些图像还有助于区分增强组织、非增强组织和伪增强组织。双能CT碘定量图像有助于估算组织中的碘浓度(mg/ml)。
在碘图上,胃和结肠肿瘤的可检测性得到了改善(图15),恶性和良性病变的鉴别也得到了改善。碘图像也适用于急腹症患者,如小肠缺血或胃肠道出血。它们增加肠壁低衰减段的显著性,从而潜在地改善缺血的早期检测。它们还可以帮助识别造影剂外渗的细微区域,以便准确定位胃肠道出血的来源。
图15 71岁男性患有升结肠癌。显示了动脉期70 keV(a)下的虚拟单色图像和碘图(b)。碘图比单色70keV图像更显眼。(c)PET-CT图像(肿瘤的最大标准化摄取值为6.1)增强双能量CT扫描对于血管内主动脉修复术(EVAR)后的内漏检测有价值。在较低能量下获得的VMI会增加血管对比度,而晕染和金属伪影会降低图像质量。另一方面,碘图在不增加晕影的情况下提高了内漏的显著性(图16)。
图16 血管内主动脉修复术后出现内漏。显示了混合(左)、硬斑块(右)图像。硬斑块图像内漏描绘(箭头)更直观。虚拟平扫图像
通过三种材料分解,从增强双能CT图像中减去碘成分,可以生成虚拟平扫(VNC)图像。这种VNC图像有助于区分钙化或高衰减物质与碘增强组织。当需要CT平扫时,VNC图像的采集可以避免更多辐射暴露。
然而,纹理粗糙和空间分辨率差会降低VNC图像的图像质量。当碘浓度非常高时,通常会观察到碘去除不完全。此外,在VNC重建过程中,微小且非高度衰减的钙化区域可能会丢失(图17)。
图17 77岁女性口服胃格拉芬。在平扫双能CT扫描后获得70keV(a)的虚拟单色图像和虚拟平扫图像(b)。在虚拟平扫图像(b)上,小肠中的碘被很好地去除。胃中的碘去除不完全(虚线圈),表明碘浓度非常高。在虚拟平扫重建过程中,主动脉壁上的钙化体积减小(箭头所示)骨髓图
在早期骨折患者中,水肿图有助于识别骨髓水肿(BME)(图18)。通过减少来自骨骼的钙信号,可以创建反映BME的图像。BME图像上的病变清楚地反映了骨髓中的水分含量;这些图像与脂肪抑制的T2加权图像有很高的相关性。在BME图像上诊断早期骨折所需的时间比磁共振成像所需的时间要短。
更多知识,参见:;。
图18 69岁男性T12和L1椎体上终板压缩性骨折。左:传统CT显示终板区骨髓密度与邻近椎体有明显增高;中:虚拟去钙图像显示与左图相比,椎体骨髓信号有相应改变,另外L4椎体上缘终板有额外信号增高,代表骨挫伤;右图:压脂图像显示T12、L1及L4椎体相应部位骨髓水肿。因此,传统灰阶CT忽略的一个额外新鲜骨折在虚拟去钙图像被正确检测。水肿图
双能CT扫描产生的水肿图像有助于检测急性缺血性脑卒中。
对于急性缺血性脑卒中的诊断和治疗,灰质水肿的检测至关重要;据报道,双能量CT扫描生成的水肿图非常有用。“X-map”是一种在平扫双能CT扫描中识别急性缺血性病变的应用,它使用三种物质分解创建了一个虚拟的灰质和水含量图。X-map上的病变清楚地反映了急性缺血性脑卒中引起的脑水肿的含水量。X-map和扩散加权图像上的结果之间有很好的相关性。该方法将有助于急性缺血性卒中患者早期制定治疗策略。
图19 急性缺血性脑卒中。(A-C)发病后3小时2分钟获得的混合、低千伏和高千伏图像显示左额叶出现早期症状(箭头)。在检测急性缺血性病变时,混合等同于高千伏,低千伏低于混合和高千伏。(D)发病后3小时2分钟获得的X-Map显示,与标准CT相比,左额叶的明确异常(箭头所示)。(E)发病3.5小时后获得的扩散加权MRI显示左额叶异常信号(箭头)。肝脂肪分数与肝纤维化评估
多材料分解算法有助于在双能量CT扫描上获取肝脏脂肪体积分数(FVF)。在脂肪图上以体积百分比表示。增强CT图像的脂肪图谱在VNC图像创建后获得。根据Hyodo等人的说法,平扫和增强双能CT图像上的肝脏FVF与使用MR波谱测定的FVF相当。该方法有望为非酒精性和酒精性脂肪肝等肝脂肪变性的诊断提供准确且可重复的结果。在临床环境中常规使用该方法之前,需要对其进行验证。
已经尝试使用双能CT数据来估计肝纤维化的程度。据报道,根据碘密度图像计算的细胞外体积分数(ECV)有助于估计肝纤维化的程度。此外,CT纹理分析,如不同能量水平下的灰度强度、偏度、峰度和熵,有助于诊断具有临床意义的肝纤维化。这些参数有望成为肝纤维化的生物标志物;然而,临床检查需要进一步的研究。
图20 26岁女性自身免疫性肝炎患者的图像。A、轴位延迟期肝脏双能CT(DECT)图像,在两个叶中都有感兴趣区域(ROI)。碘浓度在右叶分别为0.9、0.8和0.9 mg/mL,左叶分别为0.9、0.7和1 mg/mL。在腹主动脉中,碘浓度为2.4 mg/mL。肝脏右叶和左叶的标准化碘浓度分别为0.38和0.29。B、延迟期碘图显示肝脏中碘摄取不均匀。C、DECT能谱曲线。白线代表感兴趣区的CT值随能量变化的曲线。黄线是检查中测得的能谱曲线的斜率,为1.29 HU/keV。D、活检样本的显微照片(Masson三色染色;原始放大倍数,340)显示了METAVIR F3期纤维化。E、显微照片(天狼星红染色;原始放大倍数,340)显示胶原比例为6.7%。瞬态弹性成像显示肝脏硬度为13.5 kPa,横波弹性成像显示为13.4 kPa。有效原子序数和电子密度
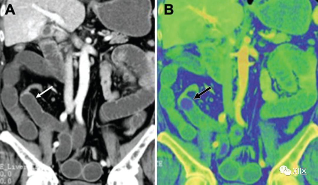
有效原子序数(Zeff)表示化合物或材料混合物的平均原子序数。另一方面,密度代表电子在另一个位置的概率。通过基于原始数据的双能分析计算出了高度精确的电子密度和有效原子序数,但其临床适用性需要进一步研究。
图21 60岁男子出现急性腹痛。腹部增强检查的后处理Rho/Z图清楚地显示了埋伏的异位胆囊结石(B 黑色箭头)。在70keV的图像上看不到胆结石,因为它与回肠远端周围液体的衰减相似(A)。基于双能CT的电子密度成像引起了放射肿瘤学家的兴趣。在放疗计划期间,传统CT扫描生成电子密度图,以确定靶组织中的剂量分布。然而,由于CT值不仅取决于电子密度,而且还取决于有效原子序数,因此CT值与组织的电子密度没有精确的相关性。据报道,双能量CT扫描获得的电子密度图比常规放疗计划方法获得的电子密度图更精确。
结 论
双能CT代表着未来的技术发展方向,双能CT技术可以识别常规单能CT图像无法评估的材料特性。尽早掌握双能CT的基本知识,熟悉各种双能CT应用及其局限性有助于准确解释CT表现,为患者提供更好的医疗服务。
更多干货,关注XI区!
参考文献:
Johnson TR. Dual-energy CT: general principles. AJR Am J Roentgenol. 2012 Nov;199(5 Suppl):S3-8.
Siegel MJ, Kaza RK, Bolus DN, Boll DT, Rofsky NM, De Cecco CN, Foley WD, Morgan DE, Schoepf UJ, Sahani DV, Shuman WP, Vrtiska TJ, Yeh BM, Berland LL. White Paper of the Society of Computed Body Tomography and Magnetic Resonance on Dual-Energy CT, Part 1: Technology and Terminology. J Comput Assist Tomogr. 2016 Nov/Dec;40(6):841-845.
Tatsugami F, Higaki T, Nakamura Y, Honda Y, Awai K. Dual-energy CT: minimal essentials for radiologists. Jpn J Radiol. 2022 Jan 4.
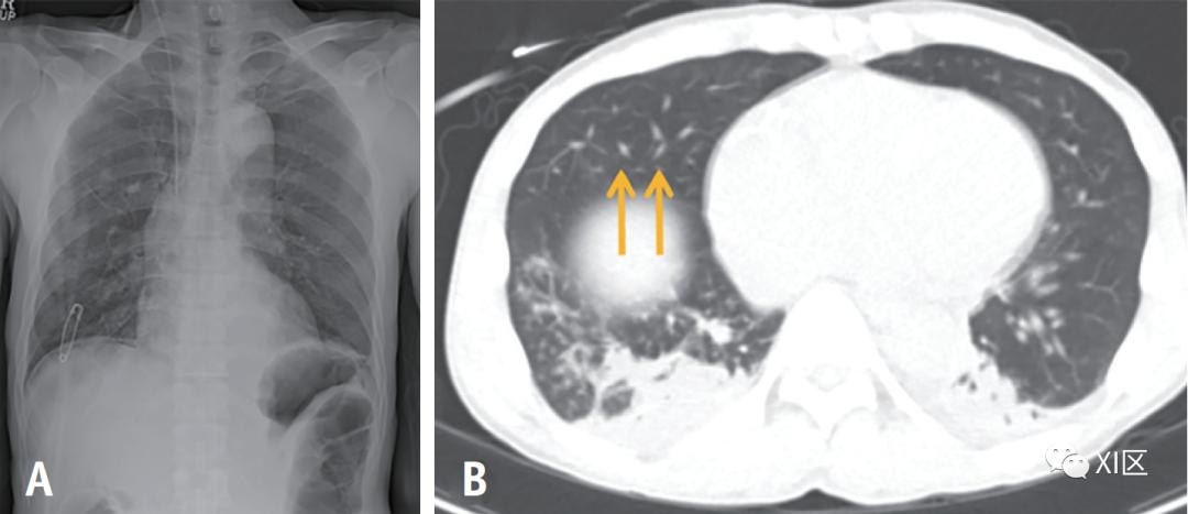
Sugrue G, Walsh JP, Zhang Y, Niu B, Macri F, Khasanova E, Metwally O, Murray N, Nicolaou S. Virtual monochromatic reconstructions of dual energy CT in abdominal trauma: optimization of energy level improves pancreas laceration conspicuity and diagnostic confidence. Emerg Radiol. 2021 Feb;28(1):1-7.
Wellenberg RHH, Donders JCE, Guitton TG, Streekstra GJ, Kloen P, Maas M. Interdisciplinary consensus of virtual monochromatic dual-energy CT images: is there discrepancy in preferred photon energy between surgeons and radiologists for the assessment of non-unions? Clin Radiol. 2020 Jun;75(6):448-456.
Yin SN, Chi J, Liu L, Ding N, Ji YD, Yuan JM. Dual-energy CT to differentiate gallbladder polyps: cholesterol versus adenomatous. Acta Radiol. 2021 Feb;62(2):147-154.
Hong YJ, Shim J, Lee SM, ImDJ, HurJ. Dual-Energy CT for Pulmonary Embolism: Current and Evolving ClinicalApplications. Korean J Radiol.2021 Sep;22(9):1555-1568.
Kim YN, Lee HY, Lee KS, Seo JB, Chung MJ, Ahn MJ, Park K, Kim TS, Yi CA. Dual-energy CT in patients treated with anti-angiogenic agents for non-small cell lung cancer: new method of monitoring tumor response? Korean J Radiol. 2012 Nov-Dec;13(6):702-10.
Kaup M, Wichmann JL, Scholtz JE, etal. Dual-Energy CT-based Display ofBone Marrow Edema in Osteoporotic Vertebral Compression Fractures: Impact onDiagnostic Accuracy of Radiologists with Varying Levels of Experience inCorrelation to MR Imaging. Radiology. 2016 Aug;280(2):510-9.
Noguchi K, Itoh T, Naruto N, Takashima S, Tanaka K, Kuroda S. A Novel Imaging Technique (X-Map) to Identify Acute Ischemic Lesions Using Noncontrast Dual-Energy Computed Tomography. J Stroke Cerebrovasc Dis. 2017 Jan;26(1):34-41.
Marri UK, Das P, Shalimar, Kalaivani M, Srivastava DN, Madhusudhan KS. Noninvasive Staging of Liver Fibrosis Using 5-Minute Delayed Dual-Energy CT: Comparison with US Elastography and Correlation with Histologic Findings. Radiology. 2021 Mar;298(3):600-608.
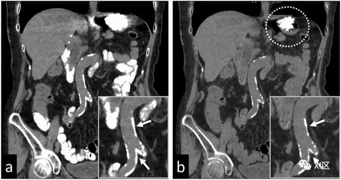
Liu P, Tan XZ. Dual-Energy CT of Gallstone Ileus. Radiology. 2020 Jun;295(3):516.
仅供专业人士交流目的,不用于商业用途。
2022年5月27日
如果你觉得写得还不错,请分享、在看和打赏!
原标题:《你需要掌握的双能量CT基本知识》
本文为澎湃号作者或机构在澎湃新闻上传并发布,仅代表该作者或机构观点,不代表澎湃新闻的观点或立场,澎湃新闻仅提供信息发布平台。申请澎湃号请用电脑访问http://renzheng.thepaper.cn。





- 报料热线: 021-962866
- 报料邮箱: news@thepaper.cn
互联网新闻信息服务许可证:31120170006
增值电信业务经营许可证:沪B2-2017116
© 2014-2026 上海东方报业有限公司




