- +1
万癌之王——胰腺癌
原创 李景泽 东方内镜
万癌之王
——胰腺癌
李景泽
江阿姨最近觉得食欲不佳,夜深人静的时候上腹部隐隐不适。
一开始,江阿姨以为是老胃病又发了,吃了1个月的胃药,症状不见好转,反而人变瘦了。
有天早上对着镜子洗漱,突然发现皮肤怎么有点黄,于是赶紧去医院检查。
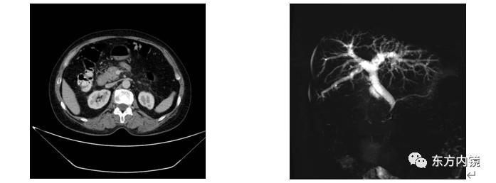
医院给她查了肝功能发现胆红素比正常升高了好几倍(85.5umol/L),肿瘤标志物CA-199明显升高(331.3ng/ml),进一步做CT发现胰腺头部略增大,隐约有异常回声占位,磁共振(MRCP)发现胆总管已经有轻度扩张。
(CT及MRCP)为了明确诊断,给江阿姨做了超声内镜,在胰腺头部发现了一个2-3cm的低回声占位,超声穿刺明确诊断为胰腺癌。
(超声内镜检查及穿刺图像)外科完善检查后没有发现远处转移,及时做了手术治疗,江阿姨恢复了1个月安全出院了,术后病理提示胰腺中分化导管腺癌。
(术后切除的胰腺组织及病理)今天,李景泽医生就给大家介绍一下
这种老年人并不少见的疾病
胰腺癌!
胰腺癌(pancreatic cancer)是一种较为常见的消化系统肿瘤,恶性程度极高。发病位置半数以上位于胰腺头颈部,大多起源于胰腺腺管上皮。其发病率和死亡率近年来明显上升。5年生存率<1%,是预后最差的恶性肿瘤之一。本病发病率男性高于女性,绝经后妇女的发病率与男性相仿。
胰腺癌位列我国人群恶性肿瘤死亡率的第7位,全球范围内均呈快速上升趋势。
一、病因胰腺癌的病因尚不十分清楚。
其发生与吸烟、饮酒、高脂肪和高蛋白饮食、过量饮用咖啡、环境污染及遗传因素有关;
近年来发现糖尿病人群中胰腺癌的发病率明显高于普通人群;
慢性胰腺炎病人与胰腺癌的发病存在一定关系。
另外还有许多因素可能与此病的发生有一定关系,如职业、环境(长期接触某些化学物质如F-萘酸胺、联苯胺等)、地理位置等。
二、临床症状胰腺癌临床表现取决于癌的部位、病程早晚、有无转移以及邻近器官累及的情况。
其临床特点是病程短、病情发展快和迅速恶化。
最多见的是上腹部饱胀不适、疼痛。
(1)腹痛
疼痛是胰腺癌的主要症状,不管癌位于胰腺头部或体尾部均有疼痛。主要位于中腹或左上腹、右上腹部疼痛,易与其他疾病相混淆。
(2)黄疸
黄疸是胰腺癌,特别是胰头癌的重要症状。
黄疸属于梗阻性,伴有小便深黄、皮肤巩膜发黄及陶土样大便,是由于胆总管下端受侵犯或被压所致。
黄疸为进行性,虽可以有轻微波动,但不可能完全消退。
有些胰腺癌病人晚期出现黄疸是由于肝转移所致。
(3)消化道症状
最多见的为食欲不振,其次有恶心、呕吐,可有腹泻或便秘甚至黑便。
胰腺癌也可发生上消化道出血,表现为呕血、黑便,往往因为脾静脉或门静脉因肿瘤侵犯而栓塞,继发门静脉高压引起食管胃底静脉曲张破裂出血所致。
(4)消瘦、乏力
常在初期即有消瘦、乏力。
(5)腹部包块
腹部包块系癌肿本身发展的结果,由于胰腺位置位于腹部深处,如已摸到肿块,多属晚期。
(6)症状性糖尿病
少数病人起病的最初表现为糖尿病的症状,以至伴随的消瘦和体重下降被误为是糖尿病的表现,而不去考虑胰腺癌。
也可表现为长期患糖尿病的病人近来病情加重,说明有可能在原有糖尿病的基础上又发生了胰腺癌。
(7)血栓性静脉炎
晚期胰腺癌患者出现游走性血栓性静脉炎或动脉血栓形成。
(8)精神症状
部分胰腺癌患者可表现焦虑、急躁、抑郁、个性改变等精神症状。
(9)腹水
一般出现在胰腺癌的晚期,多为癌的腹膜浸润、扩散所致。
(10)其他
患者有胆道梗阻合并感染时,可有寒战、高热。
部分患者尚可有小关节红、肿、痛、热、关节周围皮下脂肪坏死及原因不明的睾丸痛等。
锁骨上、腋下或腹股沟淋巴结也可因胰腺癌转移而肿大发硬。
三、辅助检查(1)血液生化:早期无特异性血生化改变,肿瘤阻塞胆管可引起血胆红素升高,伴有谷丙转氨酶,谷草转氨酶等酶学改变。胰腺癌患者中有40%出现血糖升高和糖耐量异常。
(2)血液肿瘤标志物:胰腺癌血清中CEA、CA19-9升高。
(3)B超:是胰腺癌影响诊断的首选方法。其特点是操作简便、无损伤、无放射性,但易受胃、肠道内气体、体型等影响。
(4)增强CT检查:是目前检查胰腺最佳的无创性影像检查方法,主要用于胰腺癌的诊断和分期。
(5)增强磁共振及磁共振胰胆管成像(MRCP)检查:安全性高,但不作为诊断胰腺癌的首选方法,MRCP对胆道有无梗阻及梗阻部位、梗阻原因具有明显优势。
(6)超声内镜:超声内镜是对胰腺、胆总管下段局部诊断重要的手段之一,目前在诊断早期胰腺癌中越来越重要,应用越来越广泛。
近年来,通过高频探头通过内镜孔道紧贴胃十二指肠壁来检查胰腺,大大提高了对早期胰腺癌的诊断率,最小可检查出直径仅5mm且其他方法无法检出的胰腺肿块。
超声内镜还可以探测肿瘤浸润的深度、范围及淋巴结转移情况;同时,我们可以通过超声内镜做穿刺来取病理以微创手段确诊是否为胰腺癌。
四、治疗胰腺癌的治疗主要包括手术治疗、放射治疗、化学治疗以及介入治疗等。
综合治疗是胰腺癌治疗的基础,对每一个病例需采取个体化处理的原则,以其最大幅度的根治、控制肿瘤,减少并发症和改善生活质量。
(1)外科手术治疗
手术切除是胰腺癌患者获得最好效果的治疗方法,然而,超过80%的胰腺癌患者因病期较晚而失去手术机会。
(胰十二指肠切除术)(2)化学治疗:
化学治疗的目的是延长生存期和提高生活质量,常用化疗药物为吉西他滨。
(3)介入治疗:
对于不能手术切除的局部晚期胰腺癌、伴有远处转移、疼痛、黄疸、出血等可以采取介入治疗。
其中最常用内镜(ERCP)治疗梗阻性黄疸,超声内镜下局部注射(CPN)治疗顽固性疼痛。
ERCP:胰腺癌经常会引起胆总管引流不畅,从而造成阻塞性黄疸,对于这些患者,经内镜逆行性胰胆管造影术(ERCP)是一种适宜的治疗选择。
在内镜下放置塑料引流管或者金属支架于胆总管下段狭窄段,撑开狭窄段后,使胆汁引流通畅,解决黄疸,提高生活质量。
(ERCP技术解除梗阻性黄疸)CPN:胰腺癌引起的癌性疼痛,不可避免的需要使用止痛药,后期止痛药也不能缓解,应用超声内镜下腹腔神经丛阻断术能够有效地解除晚期癌肿的疼痛,使大部分患者生活质量明显提高。
我院采用的纵轴式超声内镜止痛疗法:是在超声内镜的引导下,用一根细小的穿刺针,将无水酒精注入相应的腹腔神经丛,阻断腹腔脏器的痛觉神经,从而起到止痛效果。
该方法定位准确,注射路径短,对临近组织的损伤极小,并发症和痛苦少。
(CPN示意图)(4)生物治疗
生物治疗包括免疫与分子治疗。
随着免疫与分子生物学研究的飞速发展,像胰腺癌这样的难治肿瘤,一直在尝试一些全新的方法来治疗,作为综合治疗的一部分。
(5)对症支持治疗
胰腺癌晚期,需要加强营养支持,改善营养状况。
因胰腺外分泌功能不全,可服用胰酶制剂以帮助消化;血糖控制不好的可用应用胰岛素来治疗。
(部分图片来源于网络)本文为澎湃号作者或机构在澎湃新闻上传并发布,仅代表该作者或机构观点,不代表澎湃新闻的观点或立场,澎湃新闻仅提供信息发布平台。申请澎湃号请用电脑访问http://renzheng.thepaper.cn。





- 报料热线: 021-962866
- 报料邮箱: news@thepaper.cn
互联网新闻信息服务许可证:31120170006
增值电信业务经营许可证:沪B2-2017116
© 2014-2026 上海东方报业有限公司




