- +1
静脉系统血栓形成、海绵状血管畸形……一文理清静脉系统病变
原创 白衣松鼠 医学界神经病学频道
*仅供医学专业人士阅读参考
基本功夯实
在上一篇文章中,我们探讨了,这一篇,我们以静脉系统血栓形成、海绵状血管畸形、动静脉瘘和动静脉畸形为例来,谈一谈发病率相对较低但同样不应忽视的静脉及动静脉系统病变。
1
静脉系统血栓形成
颅内静脉系统血栓形成(CVST)是指由多种病因引起的以脑静脉回流受阻,常伴有脑脊液吸收障碍导致颅内高压为特征的特殊类型脑血管病。
(1)流行病学特点:静脉窦血栓可发生于各年龄组,多无高血压、糖尿病等动脉粥样硬化疾病病史,产褥期女性高发。病程多为亚急性(2-30天)或慢性(30天以上)。
(2)病变部位及病因:病变部位可以原发于脑内浅静脉、深静脉或静脉窦,其中深静脉血栓以大脑大静脉及大脑内静脉为主,单纯浅静脉血栓也比较少见,多同时合并静脉窦血栓。多数患者同时累及多个静脉窦,其中以上矢状窦为主,横窦、乙状窦及直窦血栓也比较常见。
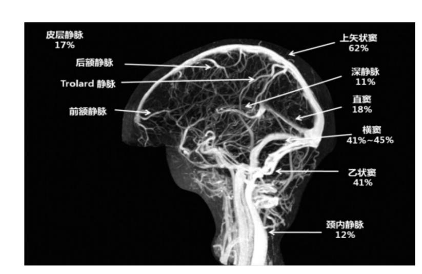
图1 MRV提示静脉系统结构及静脉血栓形成发病率(3)临床表现:约90%患者出现头痛,40%患者伴有痫性发作,围生期比例甚至高达76%。患者多出现单侧或双侧,甚至是左右交替出现神经功能缺损。20%患者入院时出现意识障碍,为预后不良的强烈预测因素。
因此,对于急性或者反复发生的头痛、视物模糊、视盘水肿等颅高压表现、意识障碍或者精神障碍、痫性发作、一侧肢体无力及感觉障碍、失语、偏盲等均因考虑静脉系统血栓的可能,具体临床表现主要取决于受累部位、性质、范围等。
①上矢状窦血栓:急性或亚急性起病,多为非炎性,主要为婴幼儿、产褥期妇女及老年患者。早期可出现颅内压增高表现,如头痛、呕吐、视盘水肿,甚至是意识障碍。如累及皮质静脉,可以出现局灶性或全身性癫痫、运动及感觉障碍等。
②海绵窦血栓形成:多为炎性,继发于鼻窦炎、鼻旁及面部感染,多为急性起病,由于动眼、滑车、外展及三叉神经眼支走行于该区域,受累会出现相应的症状,如患侧眼睑下垂、眼球各项活动受限甚至固定、瞳孔散大、对光反射消失、三叉神经眼支分布区感觉减退、角膜反射消失等。也可累及视神经,出现视力障碍。由于眶内静脉回流受阻还可出现眶内软组织、眼睑、眼结膜及前额部皮肤水肿、眼球突出等。
③横窦、乙状窦血栓形成:多为炎性,继发于化脓性中耳炎、乳突炎。血栓向远端延伸,累及上矢状窦或直窦;向对侧延伸,形成双侧横窦、乙状窦血栓。血栓向近端延伸,导致颈静脉血栓形成。
④直窦血栓形成:多为非炎性,病情进展快,迅速累及大脑大静脉及基底静脉,导致小脑、脑干、丘脑等深部结构受损。通常为无感染征象高热、意识障碍、颅内高压、癫痫发作、脑疝等,疾病进展迅速,预后差。
⑤单纯皮质静脉血栓形成:多为皮质局部水肿或出血,导致局灶性神经功能障碍,相对少见。
(4)影像学检查:
①CT平扫
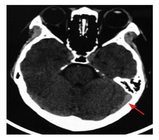
I.直接征象:静脉窦内三角形或条带状高密度影。当血栓位于大脑皮层浅静脉,可见条带状高密度影,即为“束带征”(图2)。当血栓位于上矢状窦后部,表现为圆点或者三角状高密度影,即为“三角征”(图3)。
图2 CT提示左侧横窦高密度影,即束带征
图3 CT平扫提示上矢状窦类圆形高密度影,即三角征II.间接征象:包括脑水肿、脑梗死或颅内出血等。
②MR平扫:可显示脑静脉窦及是指受累情况,根据血栓形成距离检查时间间隔,血栓的信号强度不同。
I.直接征象:根据下表不同时期,可能出现不同的MRI表现
表1 静脉血栓形成不同时期的MRI信号强度表现

图4 上矢状窦亚急性血栓MRI T1[A]及T2均提示上矢状窦内异常高信号II.间接征象:同CT平扫相比,MR平扫可以更好的显示脑水肿或者脑梗死,表现为非动脉分布区局灶性或弥漫性斑片状T1低信号、T2高信号。
图5 MRI T1序列显示双侧丘脑长T1信号[A],长T2信号、混杂短T2信号,T2*提示双侧丘脑病灶合并内部出血[C,D],MRV提示深静脉不显影[E,F],考虑为深静脉血栓合并双侧丘脑水肿并出血③CTV、MRV、DSA
对于高度怀疑静脉血栓但CT及MRI平扫仍阴性患者,应尽早行CTV或MRV辅助诊断。若仍不能确定,可行DSA进一步明确诊断。
(5)实验室诊断
D-二聚体可以用于辅助诊断。静脉血栓形成患者腰穿压力多增高,>300cmH2O患者多预后不良。
(6)治疗:
①病因治疗:积极寻找静脉系统血栓的病因,控制感染源,治疗结缔组织疾病、免疫疾病等。怀疑感染性血栓可使用多种抗生素联合或使用广谱抗生素,疗程多2-3个月,或局部症状消失后继续用药2-4周,以控制感染、防止复发。
②抗凝治疗:
I.急性期治疗:对于无抗凝禁忌患者建议尽早进行抗凝治疗,急性期可使用低分子肝素,通常为180 AxaIU/kg/24 h,皮下注射2次/d,疗程可持续1-4周。少量出血和颅内压增高不是抗凝治疗绝对禁忌证。
II.急性期抗凝后,可以重复使用口服抗凝药(如华法林)和肝素3-6天,待INR达到2-3后撤销肝素使用,并根据检测指标调整华法林用量。
III.抗凝治疗时间:对于发作2次以上或者有严重遗传性血栓形成倾向的患者,考虑长期抗凝治疗;原发性或轻度遗传性血栓形成倾向患者,考虑抗凝6-12个月;对于有可迅速控制的危险因素,如妊娠、口服避孕药患者,抗凝治疗3个月。
③溶栓治疗:
I.系统性静脉溶栓:通过静脉滴注尿激酶或rt-PA,使静脉窦再通。但前提是需要有足够剂量的溶栓剂进入窦内与血栓接触。若静脉窦内血栓已经完全闭塞,则溶栓效果不佳。目前没有系统性静脉溶栓的充分证据,需要严格排除颅内出血或者大面积出血性梗死及脑疝风险的患者。
II.静脉窦接触性溶栓:微导管通过股静脉置入血栓内,缓慢持续泵入尿激酶溶栓操作,通常使用尿激酶50-150万U/天,静脉点滴3-7天,每天2-4次,需要根据临床症状及影像学复查决定用药时间。对于充分抗凝仍病情进展的患者,可考虑静脉接触溶栓治疗。
III.动脉溶栓:可以溶解深静脉或者小静脉等血栓,经股动脉或者颈动脉穿刺缓慢注射尿激酶。
IV.机械碎栓及支架成形术:若患者抗凝治疗后仍发生临床恶化等内科治疗效果不佳,可考虑上述介入治疗措施。
④抗癫痫治疗:首次癫痫发作伴有脑实质损害时,应尽早使用抗癫痫药物控制痫性发作,常用药物包括丙戊酸钠、卡马西平等,建议治疗1年作用
不伴有脑实质损害时,早期使用抗癫痫药物可能有益,但预防性使用抗癫痫药物并无益处。
⑤降颅压治疗:对于严重颅高压患者采用脱水降颅压治疗,伴有进展性视力降低患者应该紧急处理,必要时可以手术治疗。
2
动静脉畸形
脑动静脉畸形(bAVMs)是一种先天性中枢神经系统血管发育异常导致的疾病,主要病理特征是动脉与静脉之间没有正常毛细血管床,动脉与静脉直接相通。
(1)临床特点:动静脉畸形是青少年脑出血的重要原因,也可发生于成年人群。主要表现为出血性卒中、癫痫发作及进展性神经功能缺损。
(2)遗传性出血性毛细血管扩张症(HTT):是一种常染色体显性遗传病,多可伴发具有临床意义的动静脉畸形,多见于脑、肺、胃肠道或肝脏。ENG、ACVRL1及SMAD4可能为其致病基因。患者最常见的症状为反复发作的鼻出血,此外还可能出现脑出血、胃肠道出血、咯血等。
(3)出血风险评估:患者发生出血的风险约为3%,具体与畸形部位及临床特征相关。畸形位于深部或者脑干、具有出血病史、仅通过深静脉引流、合并动脉瘤的患者出血风险较高。
(4)影像学检查:CR和MRI平扫可以提供一些信息,如CT上可能出现代表畸形血管团的密度增高区等,诊断的金标准为DSA。
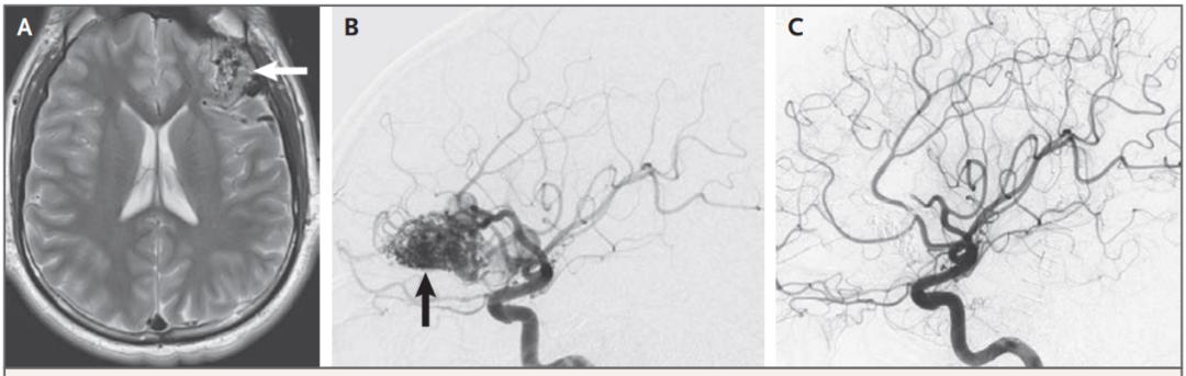
图6 体检发现22岁无症状动静脉畸形患者[A]MRI提示左侧额叶[B]患者左侧大脑中动脉由静脉供血[C]术后造影显示无畸形血管团残留(5)治疗:手术治疗是唯一完全消除畸形血管团和动静脉分流的方案,可根据具体情况选择手术切除、立体定向放射治疗(SRS)或血管内栓塞等。未破裂动静脉畸形患者也可选择保守治疗。
(6)风险评估:Spetzler–Martin评分可用于对于动静脉畸形患者的手术风险进行评估,低分级患者术后风险显著低于高分险患者
表2 Spetzler–Martin脑动静脉畸形评分
3海绵状血管畸形
海绵状血管畸形(CM)又称海绵状血管瘤,是一种众多薄壁组成的海绵状异常血管团,形似肿瘤,切面呈海马状。由于其内没有正常的脑组织,刘内血流缓慢,容易形成血栓机化及钙化。同时由于血管壁缺少肌层和弹力层,因此有自发性反复出血的倾向。
(1)流行病学特点:海绵状血管畸形目前没有明确的病因,散发病例可能与放射线、外伤、颅内感染等有关,家族性病例与基因突变有关,包括CCM1、CCM2、CCM3等。
(2)临床特点:颅内海绵状血管畸形最常见临床表现为癫痫、脑内出血,也可以出现局灶性的神经功能缺损。
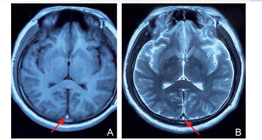
(3)影像学检查:首选的检查方法为MRI,建议包括GRE及SWI序列,以显示微小病灶和可能存在的发育性畸形。
图7 A:T2加权MRI提示右枕叶单发海绵状血管畸形;B:梯度回波T2加权成像提示多发海绵状血管畸形(4)治疗:无症状患者一般建议采取保守治疗,多发的无症状患者也不建议进行外科处理。对于症状性、有出血史且位于浅部手术易于切除的患者,建议积极手术处理,尤其是位于非功能区的患者。症状性深部病灶建议结合并且具体考虑。
4
硬脑膜动静脉瘘
硬脑膜动静脉瘘(DAVF)是硬脑膜及其附属静脉窦、大脑镰和小脑幕发生的动静脉直接交通的一类血管性疾病,其成因不明,可能与外伤、感染或静脉窦血栓形成有关。各种原因引起的静脉区域压力升高,静脉回流受阻,动静脉短路开放和血管改造、重塑,均可导致动静脉间交通支的病理性开放扩张形成DAVF。
(1)临床表现:患者多出现头痛、搏动性耳鸣,听诊可出现血管杂音,为吹风样与心跳同步,压迫颈动脉可以使杂音减弱。患者可出现偏瘫、语言障碍、癫痫等局部脑组织充血水肿所致中枢神经系统功能障碍。约20%患者可以合并蛛网膜下腔出血。也可出现脊髓功能障碍。
(2)诊断:选择性血管造影是确诊的唯一有效手段。
(3)治疗:发病早期、症状较轻可以选择保守治疗。对于伴有占位效应或合并颅内血肿,有破裂可能的患者,建议选择手术治疗或者血管内治疗。
参考文献:
[1]周立新,倪俊,朱以诚等.脑静脉血栓的影像诊断[J].中国卒中杂志,2014,(10):838-845
[2]杜彦瑶,许若梅,王效春等.脑静脉窦血栓形成的影像学诊断及预后评估[J].中华放射学杂志,2020,54(4):380-384.
[3]静脉和静脉窦血栓形成诊治的多中心专家共识组.颅内静脉和静脉窦血栓形成诊治的中国专家共识[J].中华内科杂志,2013,52(12):1088-1091.
[4]中华医学会神经病学分会脑血管病学组卒中诊治指南编写组.中国颅内静脉系统血栓形成诊断和治疗指南[J].中华神经科杂志,2012,45(11):818-823.
[5]籍灵超,贾婧杰,张静等.遗传性出血性毛细血管扩张症诊断和治疗国际指南[J].中国医学文摘(耳鼻咽喉科学),2014,29(1):40-55.
[6]Wanke I,Rüfenacht DA.The Dural AV-Fistula(DAVF),the Most Frequent Acquired Vascular Malformation of the Central Nervous System(CNS)[J].Clin Neuroradiol,2015,Suppl 2:325-32
[7]中国研究型医院学会神经再生与修复专委会脑血管病学组.中枢神经系统海绵状血管瘤的诊断和治疗:专家观点和规范推荐,中国血液流变学杂志,2020,30(1):1-7.
[8]Lawton MT,Rutledge WC,Kim H,Stapf C,Whitehead KJ,Li DY,Krings T,terBrugge K,Kondziolka D,Morgan MK,Moon K,Spetzler RF.Brain arteriovenous malformations[J].Nat Rev Dis Primers,2015,1:15008.
[9]Solomon RA,Connolly ES Jr.Arteriovenous Malformations of the Brain[J].N Engl J Med,2017,376(19):1859-1866.
[10]Colin P.Derdeyn,Gregory J.Zipfel,Felipe C.Albuquerque,et al.脑动静脉畸形的处理美国心脏协会/美国卒中协会对医疗卫生专业人员发布的科学声明[J].国际脑血管病杂志.2017,25(8):684-708
本文首发:医学界神经病学频道
本文作者:白衣松鼠
审核专家:李土明 副主任医师
责任编辑:陆离先生
医学界力求其发表内容在审核通过时的准确可靠,但并不对已发表内容的适时性,以及所引用资料(如有)的准确性和完整性等作出任何承诺和保证,亦不承担因该些内容已过时、所引用资料可能的不准确或不完整等情况引起的任何责任。请相关各方在采用或者以此作为决策依据时另行核查。
原标题:《静脉系统血栓形成、海绵状血管畸形……一文理清静脉系统病变》
本文为澎湃号作者或机构在澎湃新闻上传并发布,仅代表该作者或机构观点,不代表澎湃新闻的观点或立场,澎湃新闻仅提供信息发布平台。申请澎湃号请用电脑访问http://renzheng.thepaper.cn。





- 报料热线: 021-962866
- 报料邮箱: news@thepaper.cn
互联网新闻信息服务许可证:31120170006
增值电信业务经营许可证:沪B2-2017116
© 2014-2026 上海东方报业有限公司




