- +1
紧急!福州一小伙吐血晕倒!
近日
哈尔滨一男子因一口闷冰镇红茶
导致贲门撕裂大吐血
冲上热搜
让不少将冰饮
当作夏日“救星”的人慌了神……
无独有偶,这阵子联勤保障部队第九〇〇医院
也接诊了数名类似情况的病例
大量喝冰啤后小伙吐血晕倒
“医生,救命啊,快救救我的朋友......”
就在前些天
29岁的福州小伙小李
被一群朋友送进
联勤保障部队第九〇〇医院
急诊医学科
送来时小李嘴角和衣服上沾满血迹
面色苍白,手脚冰凉,意识模糊
朋友们都快急哭了
原来,因为天气实在太热,这些日子,小李和同事们把下班后一起喝冰镇的饮料、啤酒变成了生活标配。事发当天,小李和朋友们照例相约喝冰啤酒解暑,没想到畅饮之后突感上腹不适,踉跄走到洗手间,趴在洗手台大吐,吐了几口后发现水池内有大量鲜红的血。随后,小李两眼一黑倒在地上。
小李身强力壮,平时身体状况良好,朋友们见他晕倒,立刻慌了,赶紧将人送至第九〇〇医院急诊。所幸来得还算及时,急诊医学科给予紧急补液、输血等抢救治疗后,小李的血压总算稳住了。

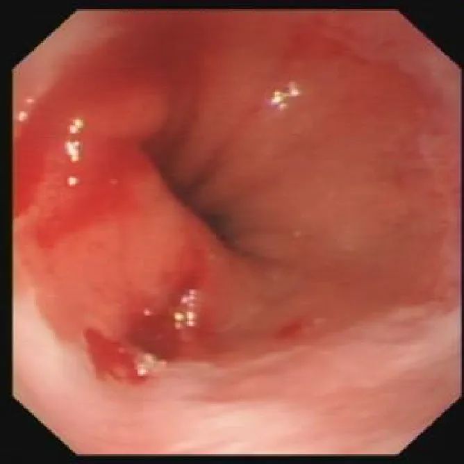
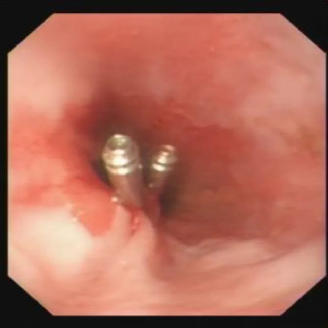
贲门口黏膜撕裂伴活动性渗血
内镜下止血夹夹闭创面止血经消化内科住院总医师詹红丽及二线江传燊医生紧急会诊,小李得做急诊胃镜检查并止血。医生们将胃镜伸入小李食管内,胃镜显示,小李食管和胃内大量积血,让医生护士们的心都悬了起来。
还好,经过冲洗及吸除积血,导致出血的罪魁祸首展现在胃镜视野中:小李的贲门撕开了一个口子,还在往外渗血。于是,医生们通过胃镜准确地在出血处上了3个止血夹,伤口被闭合,出血停止了。经过大半夜的折腾,小李终于转危为安,朋友们也松了口气。
近期,消化道出血患者增多
和“冰”有关
据第九〇〇医院急诊医学科
和消化内科统计
近期消化道出血、患急性胃肠炎等
病人明显增多
究其原因
与大家的心头之好——
冰饮料啤酒、冰西瓜水果、凉拌菜
脱不了关系
“这些不仅是夏日炎炎的解暑利器,也有可能成为夏日杀手哦!”消化内科王雯主任介绍,冰镇的水、饮料、啤酒、水果、冰激凌等大量快速进入消化道后,可能导致胃肠黏膜血管收缩,平滑肌强烈痉挛,让患者出现剧烈呕吐,而频繁的剧烈呕吐或任何引起腹内压骤然升高的情况均可能导致食管下段、食管胃连接处或胃黏膜撕裂(亦称Mallory-Weiss综合征),从而引起上消化道出血。

据介绍,过量喝冰镇啤酒或饮料,会使人体胃肠道温度骤降,血管迅速收缩,血流量减少,造成生理功能失调,还会对消化道黏膜产生机械和物理损伤,引起胃黏膜损害,导致消化功能紊乱或出血。进食大量较甜饮料水果,会导致胃酸分泌增加,从而引起胃或十二指肠溃疡、胃食管反流等。冰镇的水果和饮料甜度高,还会损害胃黏膜屏障,从而导致溃疡大出血,这种情况若得不到及时救治,可能会有生命危险。
此外,夏季进食一些隔夜菜、冷饮及冰箱内存放了好几天的水果,尤其是海鲜类食物,还会大大提高急性肠胃炎的发病几率。
王雯主任提醒
预防消化道出血,要做到以下几点
规律生活作息,避免太甜太冰饮食。不管天气多热,还是要吃一些温热的食物,就算是要喝冷饮之类的,一定不要喝得太急,减慢进食速度。
避免暴饮暴食、用力排便等增加腹压的行为,出现剧烈呕吐、咳嗽时应尽快设法缓解。
避免使用催吐等方法排出胃内容物或者减肥。
出现呕吐、呕血、腹泻等情况时应及时就医。
原标题:《紧急!福州一小伙吐血晕倒!》
本文为澎湃号作者或机构在澎湃新闻上传并发布,仅代表该作者或机构观点,不代表澎湃新闻的观点或立场,澎湃新闻仅提供信息发布平台。申请澎湃号请用电脑访问http://renzheng.thepaper.cn。





- 报料热线: 021-962866
- 报料邮箱: news@thepaper.cn
互联网新闻信息服务许可证:31120170006
增值电信业务经营许可证:沪B2-2017116
© 2014-2026 上海东方报业有限公司




