- +1
为啥好好的门牙长着长着就歪了
原创 管牙管脸的 南先森
突击检查,
谁现在正在稍息。
不是这里,
嘴里。
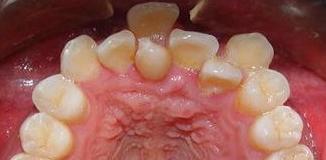
其他牙齿都还行,但是这个门牙龇出来的情况,挺常见。拍个视频聊得挺走心,评论重点全在门牙上了,你说气人不。

当然也有像这位博主这样想开了是最好,
但大多数人还是很介意「门牙稍息」的。
自卑、不敢笑、不好看……这些词常与表现过于突出的门牙相伴。

有没有想过,为啥好好的门牙长着长着就歪了呢?不会是因为脸太小,没地方长了吧��
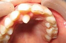
一、可能是多生牙一般我们的恒牙是28~32颗,乳牙20颗,额外长的牙就是多生牙。
有的埋在骨头里,也有长出来的。

如果多生牙不仅长了,还占了正常牙的地儿,被挤走的正常牙就只好自寻出路了,靠近嘴唇这侧还挺宽敞,那就往这里长吧,小歪牙就出现了。
在婴幼儿期,家长要多注意,如果发现额外牙,及时看医生。换牙时期也更要注意孩子牙齿变化,不干预的话多生牙可能影响恒牙萌出或造成牙齿畸形。
二、门牙外伤磕到过或门牙龋坏没有及时处理
小时候可能乳牙磕到了甚至直接磕掉了,但家长也没当回事,反正还会长新牙。
其实乳恒牙的替换是有自己的节奏的,一旦被打破,可能就会出意外。如果乳牙因为外伤或龋坏等过早脱落了,间隙丧失,旁边的牙齿可能往空着的位置倒,等恒牙终于长出来,位置已被占了,间隙不够就会拥挤不齐。
还有个造成牙齿不齐的情况就是乳牙还没掉,恒牙就长出来了。又要点名咱们家长了,要留意换牙时的时间和规律,并且孩子牙外伤和乳牙龋坏都不能不当回事哦~
三、爱吃手看起来有点萌其实危害大生活中的一些不良习惯也是会导致牙齿不齐的。
比如宝宝换牙时,总喜欢用舌头去舔牙,可能就把牙齿舔歪了,不过这个不太好发现,毕竟是宝宝嘴里的活动,可以提前告诉小朋友如果发现了及时制止。
还有的宝宝会有咬东西的习惯,家长一看「哎呀宝宝自己玩儿的挺好挺安静,吃会儿就吃会儿吧!给ta洗干净手让ta吃个够」这一吃个痛快,时间长了就可能会导致牙齿长歪。
发现没有,很多所谓的「门牙稍息的多多少少都和咱们小时候挂钩,如果当时能够及时发现尽早干预。基本上都是一些很快很好解决的小问题,当然也可能是遗传啊智齿啊牙弓狭窄等造成门牙歪斜。成年后,当初的小问题就变成需要花更多钱更多时间的大问题了,甚至可能需要拔牙解决。不如早点儿行动,现在多和你的牙医朋友南先森聊天,未来就少一个因为「稍息牙」不敢张嘴笑的大朋友~
本文为澎湃号作者或机构在澎湃新闻上传并发布,仅代表该作者或机构观点,不代表澎湃新闻的观点或立场,澎湃新闻仅提供信息发布平台。申请澎湃号请用电脑访问http://renzheng.thepaper.cn。





- 报料热线: 021-962866
- 报料邮箱: news@thepaper.cn
互联网新闻信息服务许可证:31120170006
增值电信业务经营许可证:沪B2-2017116
© 2014-2026 上海东方报业有限公司




