- +1
吃的安心、睡的安心——如何合理使用唑吡坦?
原创 宋苏琪 上海物质成瘾诊疗中心
唑吡坦是一种短效的催眠镇定药。起效快,不影响正常睡眠结构,能够延长非快速眼动睡眠的Ⅱ期,加深慢波睡眠,提高睡眠效率及睡眠质量,对快速眼动睡眠相的影响轻微。药物残留效应不明显,故不易影响白天的工作和学习。
什么是唑吡坦成瘾?长期、大量服用唑吡坦,停药时会出现与药物作用相反的表现,如失眠、双手震颤、心慌、恶心、呕吐、腹泻等症状,甚至出现心理上的焦虑状态,因此为了避免躯体和心理上不适的感觉发生,患者会继续使用唑吡坦,为了追求唑吡坦带来的欣快感,逐渐增加剂量。继而出现了药物依赖,即成瘾。在这一过程中,患者起初使用唑吡坦的目的是改善睡眠,但在药物使用的过程中,未按医嘱服药,一方面追求药物带来的欣快体验(即正强化),另一方面为了减少停药后的不愉快体验(即负强化),只有不断增加药物剂量才能获得原来的生理效应,这就是耐受性的增加。耐受性增加和戒断症状的出现说明已经产生了药物成瘾的核心特征。
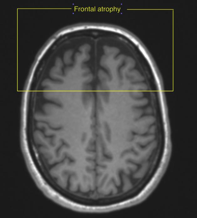
超剂量使用时为什么会有欣快的感觉?目前机制未名,研究者推测在高剂量时不仅仅激活了GABA-A受体的α1亚基(负责镇静),同时激活了GABA-A受体的α2亚基(负责改善焦虑),从而使人感到欣快、舒适。研究还发现唑吡坦成瘾者的大脑核磁共振扫描下额叶是萎缩的(黄色方框框起来的部分)。额叶负责记忆、判断、分析、推理等高级认知功能,研究发现这些患者在滥用后会出现注意力不集中、记忆力下降、执行能力下降,导致工作和学习能力下降。还有研究显示服用唑吡坦后出现了梦游、呓语以及遗忘。
怎样合理使用唑吡坦?根据既往的研究,唑吡坦总体来说,是一个安全有效的药物,相较于传统的镇静催眠剂,不良反应少,也不易产生依赖,但这些研究是基于治疗剂量范围内(最高10mg/晚)。因此,在使用药物时要遵从医嘱,唑吡坦的使用疗程应尽可能短,最短为数天,最长不超过4周,不建议长期使用。应该选择最低有效剂量,即能够达到促眠效果又不至于过度镇静,不应超剂量使用。无需每天服药,而在真正需要时使用。如,因旅行出现的短暂性失眠,治疗时间为2~5天;因生活中的应激事件而出现的失眠,治疗2~3周。短期使用的患者无需逐渐停药。长期大量使用的患者应该在医生指导下逐渐减量,避免突然停药。突然停药会出现失眠、坐立难安、手抖、肌肉紧张,甚至癫痫发作,严重的可能会出现抑郁情绪,增加自杀的风险。
哪些情况容易出现唑吡坦成瘾?a) 不遵医嘱服药。唑吡坦是处方药物,必须医生开具处方才可以得到,医生在用药前会评估用药者的状况,用药过程中会根据患者对药物的反应进行调整。但有些人未听从医生的建议,轻信亲戚朋友,药物成瘾后,采用隐瞒、欺骗的手段在不同的医院开具药物,甚至在网络上非法获取药物。
b) 既往药物滥用史。如酒精、烟草、药物、毒品的滥用史,这些情况的人使用唑吡坦成瘾的风险比普通人高。
c) 个性因素。研究发现唑吡坦成瘾的人性格更为内向,容易出现焦虑、紧张情绪,情绪的稳定性差,自我调节功能差,容易冲动,习惯采用负性的情绪、认知方式去应对生活中的变化。
d) 老年人。老年人因为伴发更多的躯体疾病,容易出现慢性疼痛,主诉有失眠、焦虑、心情低落的人群占比更高。因此,镇静催眠药在老年人群中的使用率是明显增高的,但老年人由于器官功能的衰退,药物代谢减慢,容易造成药物的蓄积,增加了成瘾的风险。
童年创伤史。童年时期遭受不良生活事件会在人格形成的时期弱化心理功能的建设,而弱化的心理功能在面对应激事件时不能依靠内在力去恢复,转而去外部滥用物质去寻求心灵的慰藉。
服用安眠药无效怎么办?如果在应用安眠药物后未取得满意的助眠效果,需要重新评估失眠的症状。一些人的失眠并非是由于睡眠困难,更多的是因为担心睡眠不够或者睡眠质量不高。这种担心、焦虑的情绪会对睡眠造成影响,造成短暂的失眠。一些过度的睡眠行为如为睡眠做过多的准备,可能使这种短暂的失眠向慢性的失眠转化。还有一些睡眠相关疾病如呼吸暂停综合征、不宁腿综合征、睡眠节律障碍需要睡眠仪器监测,采用针对原发疾病的专业治疗,单纯服用安眠药不能获得良好的效果。
参考文献:
1. Sab M,Kashef H,Gironi C,etc.Zolpidem stimulant effect:Induced mania case report and systematic review of cases[J].Prog Neuropsychopharmacol Biol Psychiatry. 2019;94:109643.
2.熊娜娜,骆蕾,孙伟,等.Z类药物滥用和依赖风险的研究进展[J].中国药物依赖性杂志,2020,29(06):401-405+429.
作者介绍
宋苏琪,安徽医科大学附属巢湖医院精神科主治医师,上海市精神卫生中心物质依赖专项进修第二期学员
HAPPY WEEKEND · HAPPY WEEKEND
阅读原文本文为澎湃号作者或机构在澎湃新闻上传并发布,仅代表该作者或机构观点,不代表澎湃新闻的观点或立场,澎湃新闻仅提供信息发布平台。申请澎湃号请用电脑访问http://renzheng.thepaper.cn。





- 报料热线: 021-962866
- 报料邮箱: news@thepaper.cn
互联网新闻信息服务许可证:31120170006
增值电信业务经营许可证:沪B2-2017116
© 2014-2026 上海东方报业有限公司




