- +1
癌症免疫疗法最新研究:叶丽林/唐忠辉/孙倍成教授等发现全新肿瘤记忆性T细胞
原创 转网 转化医学网

本文为转化医学网原创,转载请注明出处
作者:Jevin
导读:最近的研究表明,全身性肿瘤反应性CD8 T细胞可能对PD-1 / PD-L1免疫疗法有反应。在这里,研究人员使用多个临床前肿瘤模型,发现肿瘤引流淋巴结(TdLNs)中的肿瘤特异性CD8细胞亚群在功能上没有耗竭,而是表现出规范的记忆特征。TdLN 衍生的肿瘤特异性记忆细胞在肿瘤发生的早期建立了记忆相关的表观遗传程序。更重要的是,钛白对接二磷酸腺苷酸酐断续器细胞在过继转移后表现出优异的抗肿瘤治疗效果,并被表征为PD-1/PD-L1阻断的真正反应者。这些发现表明断续器可以利用细胞来增强抗肿瘤免疫治疗。
2022年10月7日,陆军军医大学全军免疫学研究所叶丽林团队与中山大学中山医学院唐忠辉团队及南京大学鼓楼医院孙倍成团队合作在线发表了研究论文,该研究使用多个临床前肿瘤模型,发现肿瘤引流淋巴结(TdLNs)中的肿瘤特异性CD8+ T细胞子集没有功能衰竭,但表现出典型的记忆特征。研究发现可以响应免疫治疗的全新肿瘤记忆性T细胞。

https://www.cell.com/cell/fulltext/S0092-8674(22)01192-8
PD-1 ICB疗法的局限性
01
近十年来,基于PD-1,一种全新的免疫疗法——PD-1免疫检查点阻断疗法(ICB)正在改变癌症治疗的现状。PD-1 ICB的工作原理是通过单克隆抗体阻断PD-1介导的抑制性信号,从而在一定程度上逆转CD8+T细胞耗竭,控制肿瘤进展。
尽管该疗法在系列癌症治疗中取得了较好的效果,但仍然面临很大的挑战。首先,一些恶性程度较高的癌肿,如胰腺癌、脑胶质瘤、三阴性乳腺癌等,几乎不响应ICB,即使在响应的肿瘤类型里,病人的总体响应率较低,并且,在开始响应的病人里,治疗后期大多会出现耐药抵抗,只有极少数病人可长期获益并达到临床治愈。尽管如此,相比于靶向其它免疫检查点分子或抑制性信号,PD-1 ICB仍显现出最优疗效。可以预测,在目前及未来一段时间, PD-1 ICB仍将是肿瘤免疫治疗的重要基石,而进一步提升PD-1 ICB的响应人群及临床治愈潜力则在很大程度上将依赖于对PD-1 ICB作用机制的更深入理解。
Tpex细胞是否直接介导PD-1 ICB的抗肿瘤效应
02
CD8+T细胞耗竭是机体免疫系统无法有效清除慢性病毒感染及恶性肿瘤的关键原因。相较于急性感染或者疫苗免疫情形下诱导形成的记忆性CD8+T细胞, 耗竭的CD8+T细胞表面持续表达包括PD-1在内的免疫检查点分子,其增殖潜力、效应及杀伤功能等都较为低下,且易于凋亡。耗竭T细胞在领域内也一度被称为“僵尸” (Zombie) 细胞。
然而,耗竭前体细胞(Tpex)的发现打破了将耗竭T细胞作为“Zombie”细胞的固有印象,并立即成为T细胞耗竭领域的研究热点。后续更多的临床研究表明:此细胞亚群与PD-1 ICB疗效相关。基于这些研究,领域内的普遍观点认为,位于肿瘤组织微环境(TME)内的Tpex细胞直接介导了PD-1 ICB的抗肿瘤效应,但是此观点缺乏直接的实验性证据。另外,新的研究表明,响应PD-1免疫检查点治疗的细胞来源于肿瘤组织外部新补充的CD8+ T细胞克隆,其可能来自于PD-1 ICB作用后的系统性的,而不是TME局部性的CD8+T细胞应答。

TdLN-TTSM真正响应PD1 ICB细胞亚群
03
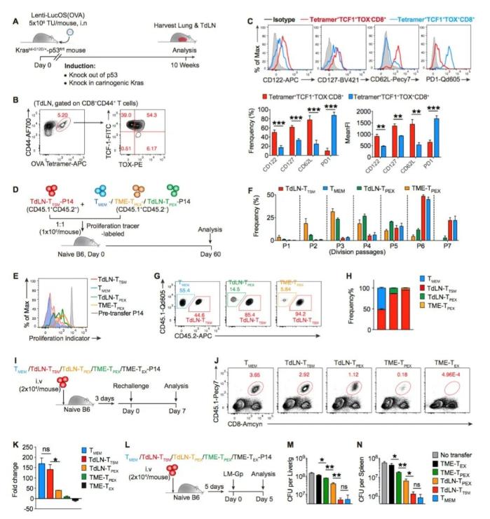
研究人员利用多种移植瘤及原位肿瘤诱导模型,首先检测了引流淋巴结内的肿瘤特异性CD8+ T细胞,发现一定比例细胞高表达TCF-1,低表达PD-1, 但不表达耗竭特异性的转录因子TOX。重要的是,该细胞群(TOX-PD-1loTCF-1+)严格符合经典免疫记忆特征:不依赖于抗原的长期存活;再次遇到抗原,迅速大幅扩增,并分化为功能性的效应细胞;提供长期的免疫保护。基于典型的记忆性特征和特殊组织定位,他们将其命名为肿瘤引流淋巴结抗原特异性记忆CD8+ T细胞,即TdLN-TTSM。
随后,研究人员通过高通量测序分析,发现在单细胞层面,TdLN-TTSM细胞转录特征更接近经典记忆细胞,而与耗竭T细胞差异较大。此外,CD8+T细胞在进入耗竭状态后,其基因组会在耗竭相关分子区域的表观遗传层面发生一些不可逆的改变。通过分析TdLN-TTSM, TdLN-Tpex的ATAC-seq测序数据,他们发现肿瘤引流淋巴结及慢性病毒感染来源的Tpex细胞以及脱离慢性病毒感染环境的Tex细胞(Recovery Tex)均在Pdcd1、Tox等基因多个位点存在不同程度的染色质开放,然而这些位点在TdLN-TTSM细胞中处于关闭状态, 进一步证明这一特定细胞亚群不是耗竭T细胞。研究人员通过一系列肿瘤移植实验和淋巴结切除实验,发现PD-1/PD-L1 ICB处理后,肿瘤组织内扩增的抗原特异性CD8+ T细胞主要来源于TdLN-TTSM,而不是肿瘤中已经浸润的、耗竭的Tex及Tpex细胞。并且,无论在 PD-1/PD-L1 ICB治疗前或治疗中,去除此细胞亚群均导致PD-L1阻断抗体介导的免疫治疗失效,而回输TdLN-TTSM细胞则可以恢复此作用,进一步验证了TdLN-TTSM真正响应了PD1 ICB的细胞亚群。

参考资料:
https://www.cell.com/cell/fulltext/S0092-8674(22)01192-8
注:本文旨在介绍医学研究进展,不能作为治疗方案参考。如需获得健康指导,请至正规医院就诊。
本文为澎湃号作者或机构在澎湃新闻上传并发布,仅代表该作者或机构观点,不代表澎湃新闻的观点或立场,澎湃新闻仅提供信息发布平台。申请澎湃号请用电脑访问http://renzheng.thepaper.cn。





- 报料热线: 021-962866
- 报料邮箱: news@thepaper.cn
互联网新闻信息服务许可证:31120170006
增值电信业务经营许可证:沪B2-2017116
© 2014-2026 上海东方报业有限公司




