- +1
这种心律失常易致猝死,90%的医生可能没见过
原创 杨利国 医学界心血管频道 收录于合集 #临床心经验 76个
*仅供医学专业人士阅读参考
涨知识时刻
2012年Laurent等首次在JACC报道了一种新的常染色体显性遗传性疾病“多源性异位浦肯野相关早搏(MEPPC)”[1]。然而,之后的10年期间,该病仅陆续有少量个案报道,目前无共识更无指南可供参考。
什么是MEPPC
MEPPC目前被定义为包括起源于浦肯野组织的多源性室性心律失常、室上性心律失常和心律失常诱导的扩张型心肌病及倾向于发生心源性猝死的综合征[1-3]。理解以上定义之前,需注意浦肯野细胞在心脏的分布:窦房结、结间束、房室结、希浦氏系统。
病因
没错,MEPPC又是一种由SCN5A介导的遗传性心脏离子通道病。
事实上,SCN5A编码的Nav1.5电压门控钠通道α亚基的致病性变异与原发性心律失常综合征相关,包括许多我们熟知的疾病,如3型长QT综合征(Nav1.5功能增强)、Brugada综合征(Nav1.5功能丧失)、早发性心房颤动(Nav1.5功能丧失/增强),原发性心脏传导疾病(Nav1.5功能丧失)、扩张型心肌病(Nav1.5功能丧失/增强)和重叠综合征(即在同一患者和/或家庭中观察到1种以上疾病的临床特征)[4,5]。
到目前为止,发现7种MEPPC致病SCN5A功能增强的变异(p.Ala204Glu-SCN5A[3],p.Gly213Asp-SCN5A,p.Arg222-Glu-SCN5A,p.Arg225Pro-SCN5A,p.Leu828Phe-SCN5A,p.Met1851Val-SCN5A和p.Gln419Pro-SCN5A)[5]。
临床表现
主要是与快速性心律失常、扩张型心肌病相关的表现,如可有心悸、气短、头晕、晕厥等非特异性症状,部分猝死,查体亦是如此。
确诊为MEPPC的年龄各不相同,但通常在30岁之前,发病比例无性别差异,心律失常(多源性室性早搏、心房颤动)常常首发出现[6]。MEPPC的大量不稳定的异位交界性和室性早搏是特征性的,具有左/右束支传导阻滞样形态和尖锐的类本位曲折,表明其起源于传导系统,多源性室性心律失常可以是单发室性早搏、室性早搏连发或非持续性室性心动过速[7]。
然而,尚无MEPPC的室性心律失常的体表心电图明确定义,少数进行浦肯野超兴奋性相关的研究,将浦肯野超兴奋性定义为:假定室性早搏起源于浦肯野纤维,室性早搏偶联间期≤400 ms,明显的初始QRS偏转和QRS持续时间≤140 ms,室性早搏负荷为≥5个/小时[8]。这或许对MEPPC的室性心律失常的体表心电图判读有一定参考价值。
MEPPC中观察到的高室性早搏负荷可能会引起痛苦的症状并导致室性早搏诱导的扩张型心肌病[5]。定位于Nav1.5的电压传感区的致病SCN5A变异体似乎会导致3型长QT和MEPPC重叠表型,从而导致更恶性的临床病程[7]。
SCN5A功能增强的变异似乎会导致一系列与静息和运动时浦肯野细胞超兴奋性相关的疾病。典型的MEPPC在静息状态下更加容易出现上述心律失常,而非典型MEPPC则运动诱导更易出现[5]。
处理方案
对于任何原因不明的频繁多源室性早搏的年轻患者来说,考虑MEPPC的诊断至关重要。排除其他原因(如结构性心脏病、药物等),确定观察到的室性早搏的来源,获取详细的家族史,以及在适当情况下进行包括SCN5A的基因检测,必要时I类抗心律失常药试验性治疗,可以帮助确定或排除MEPPC的诊断[5]。
有关电生理检查的必要性和时机,尚未见有文献报道提及。但体表心电图、动态心电图、心脏彩超、心脏核磁等检查也是必要的。需考虑的鉴别诊断包括缺血性心肌病、病毒性心肌炎、洋地黄中毒、遗传性心肌病(如核纤层蛋白病)和原发性心律失常综合征(如儿茶酚胺敏感性多形性室性心动过速)、短偶联间期的室性早搏和尖端扭转型室性心动过速等[7]。
钠通道阻断是SCN5A疾病减轻室性早搏负担的首选治疗方法。对于MEPPC的治疗,目前的经验是总体上I类抗心律失常药物氟卡尼疗效可能更好,其次是奎尼丁。此外,胺碘酮也可以考虑使用,但在复极储备减小的情况下可能会发生不良反应[7]。
在某些情况下可以推荐皮下除颤器。不建议进行导管消融治疗,因为有多个起源点,且消融后仍可能出现新发的起源点。MEPPC患者对标准抗心力衰竭治疗反应较差。氟卡尼等治疗可降低房性心律失常和室性心律失常负荷,改善心力衰竭[9]。
病例110
一位孕妇,频发室性早搏,除外其他器质性心脏病,查SCN5A基因c的第6外显子发生了功能增益突变,665G>A(p.Arg222Gln,R222Q)。MEPPC综合征的临床诊断得到进一步支持。
在妊娠36周时,她出现呼吸困难,室性早搏负荷进一步增加,射血分数为20%。服用氟卡尼4个月后,心电图显示清晰的窦性活动,室性早搏明显减少,射血分数为50%,氟卡尼耐受性良好。

图1 患者的心电图:(A)显示多源性室性早搏,QRS宽度较窄,呈重复模式(箭头),窦性搏动罕见(箭头);(B)氟卡尼治疗后显示明确的窦性心律
图2 电生理学研究显示,室性早搏起源于后间隔左心室面,之前有不同的浦肯野电位(箭头)
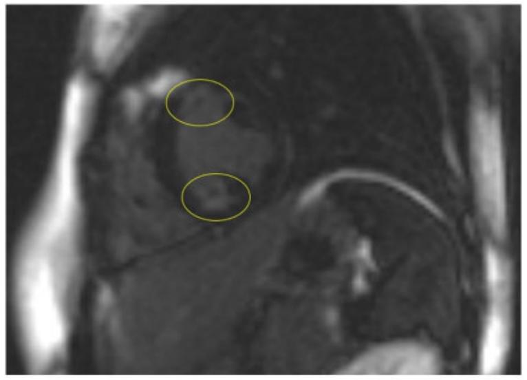
图3 经钆增强的心脏磁共振显示心内膜下纤维化区域(黄色圆圈)病例211
这是我国北京医院施海峰教授团队2022年发表在JACC:Clinical Electrophysiology杂志的一个病例。
20岁男性,劳力性呼吸困难,因室性早搏曾行两次射频消融治疗均未成功,室性早搏负荷65%,心脏彩超:全心扩大,射血分数20%,常规抗心律失常治疗效果欠佳。基因检测SCN5A变异:c.2440C>T,p.R814W。最终诊断MEPPC。经氟卡尼治疗4周后,心律失常近乎消失,射血分数回升为40%。
图3 12导联心电图显示,患者入院时,交界性搏动与起源于整个浦肯野纤维网的多源性心室搏动或室性心动过速形成竞争的持续紊乱的心律
图4分别将四极导管置于希氏束区域、PentaRay高密度标测导管置于左前分支区域进行标测。
第1个搏动为交界性搏动(HV=50毫秒),顺向传导至左前分支(P最早/PEN3-4–QRS间期=12毫秒)。
第2个搏动表现出宽QRS波(124毫秒),电轴指向左上,呈右束支传导阻滞+左前分支传导阻滞形态。希氏束电位埋藏于QRS波中,P最早/PEN11-12–QRS间期=-29毫秒,所以这种异位搏动起源于左后分支的中部。
第3、4、5、6、7和9个搏动,均类似右束支传导阻滞+左后分支传导阻滞的形态(QRS波时限为141-170毫秒);HV间期均为负值,每次收缩前,左前分支区域的浦肯野电位均领先于希氏束电位,这表明在左前分支不同部位起源的异位电活动逆向激活希氏束。
第8个搏动,QRS波非常宽(188毫秒),电轴指向左上,呈左束支传导阻滞形态;看不到希氏束电位(埋藏在QRS之中或之后),P最早/PEN3-4-QRS间期为-82毫秒,这意味着该激动来源于右束支远端。
图5 全外显子测序显示SCN5A中的杂合子c.2440C>T错义变异导致p.Arg814Trp(p.R814W)氨基酸替换小
结
1.MEPPC是一种可以导致猝死的疾病,早期诊断和治疗至关重要。
2.不明原因的多源性浦肯野相关早搏的年轻健康患者,需注意MEPPC可能。
3.MEPPC主要是以I类抗心律失常药物治疗,尤其是氟卡尼。不建议进行导管消融治疗。
更多心血管临床实用知识?
快来“医生站APP”瞧一瞧��
参考资料:
[1]Laurent G,Saal S,Amarouch MY,et al.Multifocal ectopic Purkinje-related premature contractions:a new SCN5A-related cardiac channelopathy.J Am Coll Cardiol.2012;60(2):144-156.doi:10.1016/j.jacc.2012.02.052
[2]Doisne N,Waldmann V,Redheuil A,et al.A novel gain-of-function mutation in SCN5A responsible for multifocal ectopic Purkinje-related premature contractions.Hum Mutat.2020;41(4):850-859.doi:10.1002/humu.23981
[3]Lieve KV,Verkerk AO,Podliesna S,et al.Gain-of-function mutation in SCN5A causes ventricular arrhythmias and early onset atrial fibrillation.Int J Cardiol.2017;236:187-193.doi:10.1016/j.ijcard.2017.01.113
[4]Giudicessi JR,Ackerman MJ.Determinants of incomplete penetrance and variable expressivity in heritable cardiac arrhythmia syndromes.Transl Res.2013;161(1):1-14.doi:10.1016/j.trsl.2012.08.005
[5]Gao X,Ye D,Zhou W,Tester DJ,Ackerman MJ,Giudicessi JR.A novel functional variant residing outside the SCN5A-encoded Nav1.5 voltage-sensing domain causes multifocal ectopic Purkinje-related premature contractions.HeartRhythm Case Rep.2021;8(1):54-59.Published 2021 Nov 9.doi:10.1016/j.hrcr.2021.11.002
[6]Elliott PM.Multifocal ectopic Purkinje-related premature contractions:Sorting the wheat from the chaff.Int J Cardiol.2018;257:218-219.doi:10.1016/j.ijcard.2018.01.024
[7]Ter Bekke RMA,David M,Krapels IPC,Crijns HJGM,Volders PGA.Beauty and the beat:A complicated case of multifocal ectopic Purkinje-related premature contractions.HeartRhythm Case Rep.2018;4(9):429-433.Published 2018 Jun 22.doi:10.1016/j.hrcr.2018.05.010
[8]Barake W,Giudicessi JR,Asirvatham SJ,Ackerman MJ.Purkinje system hyperexcitability and ventricular arrhythmia risk in type 3 long QT syndrome.Heart Rhythm.2020;17(10):1768-1776.doi:10.1016/j.hrthm.2020.05.019
[9]Calloe K,Geryk M,Freude K,et al.The G213D variant in Nav1.5 alters sodium current and causes an arrhythmogenic phenotype resulting in a multifocal ectopic Purkinje-related premature contraction phenotype in human-induced pluripotent stem cell-derived cardiomyocytes[published online ahead of print,2022 Jun 21].Europace.2022;euac090.doi:10.1093/europace/euac090
[10]Leventopoulos G,Perperis A,Karelas D,Almpanis G.You cannot ablate the Lernaean Hydra:SCN5A mutation in a patient with multifocal ectopic Purkinje-related premature contractions syndrome treated with Flecainide and an implant of a subcutaneous defibrillator-a case report.Eur Heart J Case Rep.2021;5(4):ytab158.Published 2021 Apr 30.doi:10.1093/ehjcr/ytab158
本文来源:医学界心血管频道
本文作者:杨利国 山西省人民医院心内科
本文审核:赵洁慧
责任编辑:彭建萍
版权申明
本文原创 欢迎转发朋友圈
- End -
本文为澎湃号作者或机构在澎湃新闻上传并发布,仅代表该作者或机构观点,不代表澎湃新闻的观点或立场,澎湃新闻仅提供信息发布平台。申请澎湃号请用电脑访问http://renzheng.thepaper.cn。





- 报料热线: 021-962866
- 报料邮箱: news@thepaper.cn
互联网新闻信息服务许可证:31120170006
增值电信业务经营许可证:沪B2-2017116
© 2014-2026 上海东方报业有限公司




