- +1
头颅CT太难读?教你成为读片小能手
*仅供医学专业人士阅读参考
简明而又详细,快快收藏!
一
说说头颅CT的那三个窗
人体各组织结构不同,对X线衰减各异,形成不同的CT值,因此可以利用不同CT值来鉴别组织的性质。
空气对X线的吸收为0,故空气的CT值为-1000;骨组织的X线衰减是水的2-4倍,CT值为+1000;水的CT值为0。
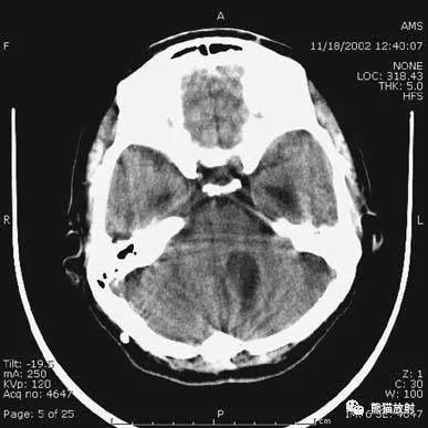
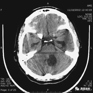
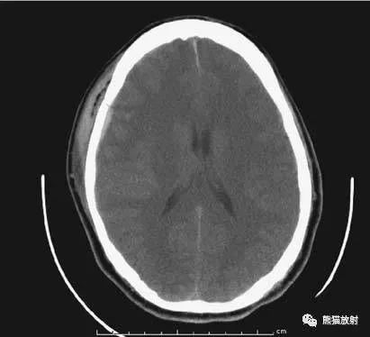
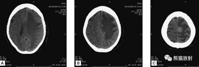
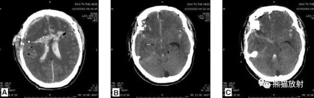
颅脑CT常用的三个窗(图A-C):图A:骨窗(the bone window)。
图B:脑窗(the brain window)。
图C:血窗(the blood window)。
图A:骨窗;主要用于明确骨折、窦腔病变、颅内积气。
图B:脑窗;可清晰显示灰白质,可发现中风的早期征象或其他导致脑水肿等表现的病变。
图C:血窗;更利于显示硬膜下或颅内出血。本例表现:骨窗示:右顶骨骨折;三个窗均示:软组织水肿并皮下积气;血窗:少量硬膜下血肿。
二
应注意的常见伪影
射线硬化伪影Beam-hardening artefact
常见于颅脑基底部及后颅窝。


容积平均伪影Volume-averaging artifact
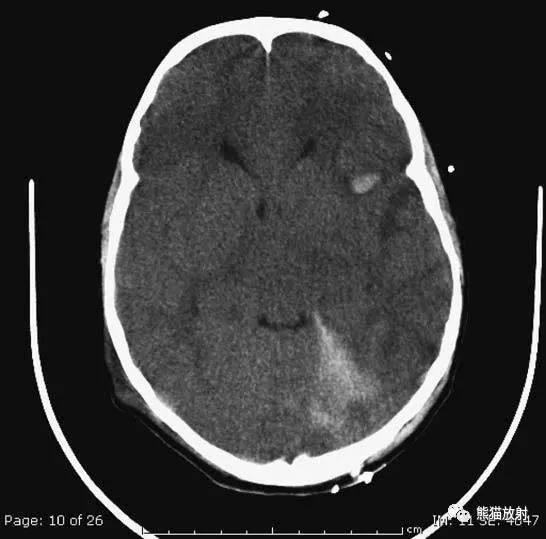
层厚较大时,可导致血液密度表现,在脑基底部较典型,易发生在眼眶上方额叶。
本例表现:四脑室囊性病变导致梗阻性脑积水。
三
颅脑断层常用基线
Reid基线(REL):
为外耳道中点至眶下缘的连线。头部横断层标本的制作多以此线为准,冠状断层标本的制作基线与此线垂直。
眶耳线(OML)或眦耳线(CML):
为外耳道中点与外眦的连线。颅脑轴位扫描(横断层扫描)多以此线为基线。
上眶耳线(SML):
为外耳道中点与眶上缘中点的连线,经该线的平面约与颅底平面一致,有利于显示颅后窝结构及减少颅骨伪影。
四正常解剖
1、颅底层面眦耳线层面
颅前窝底部:眼眶、眼球、筛窦、蝶窦、前床突等。
颅中窝:前界——蝶骨;后界——颞骨岩部(岩骨);内缘——海绵窦及垂体窝;外缘——颞骨,窝内为颞叶,其内侧为海马回。
颅后窝:前缘——岩骨;后缘——枕骨;鞍背后方——脑桥前池,向两侧延伸为脑桥小脑角池。
第四脑室:位于颅后窝中线上,后面紧邻小脑蚓部,其两侧为小脑扁桃体。
延髓、脑桥:位于第四脑室前。
2、鞍上池层面颅前窝:颞叶。
鞍上池:在垂体窝上方,位于两侧颅中窝之间,前界为颞叶直回,侧方位颞叶海马,呈五角星形或六角星形。其前角连于纵裂池,两外侧角连于外侧裂池,两后外侧角延续于环池,第六个角位于后缘中间,是角间池。鞍上池边缘为大脑动脉环,池内前部常可见“V”字形视交叉。
颅后窝:四脑室或四叠体池。

3、第三脑室下部层面显示侧脑室前角的下部:
前方——额叶;外侧——尾状核头部;后方中线处——第三脑室,其两侧连接丘脑。
颅后窝:
“Y”字形或“V”字形的小脑幕,幕下结构在内侧(小脑上蚓部),幕上结构在外侧(枕叶)。
四叠体池:
位于小脑蚓部前方。

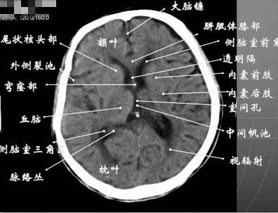
4、第三脑室上部层面基底核、丘脑。
内囊前脚(前肢);尾状核和豆状核之间。
内囊膝部和后脚(后肢):位于豆状核(由外侧的壳核和内侧的苍白球组成)及丘脑之间。
壳核的外侧:外囊、屏状核、最外囊、岛叶(脑岛)。
四叠体池:两侧枕叶之间,池内有松果体,向前与第三脑室连接。

基底节(基底核):埋藏在两侧大脑半球深部的灰质核团,是组成锥体外系的主要结构。
基底节区:概念不清。可能包括:基底节、黑质、红核、及其周围白质区域。
内囊:位于丘脑、尾状核、豆状核之间的白质区,是由上、下行的传导束密集而成。分为三部分:前肢、膝部、后肢。膝部有皮质脑干束;后肢有皮质脊髓束、丘脑皮质束、听辐射和视辐射。
外囊:是位于屏状核和豆状核之间的白质带,主要由岛叶发出的皮质被盖纤维组成。
5、侧脑室体部层面
由额、颞、枕叶构成,两侧侧脑室体部之间为透明隔,外侧为尾状核和体部。侧脑室后角(枕角)可不对称,室内可见脉络丛钙化。中线处可见大脑纵裂池和大脑镰。
6、侧脑室上部层面内侧壁侧脑室体部被胼胝体分开,侧脑室体部的外方为顶叶,顶枕沟及中央沟将大脑为为额、顶、枕叶。
7、大脑皮质下部层面(半卵圆中心层面)在胼胝体和侧脑室上方,大脑镰自前向后贯穿中线。白质部分为半卵圆中心,额叶范围缩小,顶叶所占比例扩大,枕叶基本消失。
半卵圆中心:位于胼胝体上方,由左右大脑半球髓质形成的有髓纤维,对称位于大脑镰两侧区域。
8、大脑皮质上部层面(半卵圆区上部层面)已近颅顶,大脑镰清晰可见,其旁的脑灰质和脑沟十分清楚。顶叶较小,额叶较小。
放射冠:是内囊到大脑皮质间的放射状纤维白质。
五急诊影像示例
1、颅骨骨折
▲额骨骨折:左侧额窦内外侧壁骨折。
▲左侧颞骨骨折。
2、硬膜外血肿
▲硬膜外血肿、颅内积气(提示骨折)。
▲硬膜外血肿(凸透镜样;可有或无颅骨骨折)。
3、硬膜下血肿
▲右侧硬膜下血肿(急性-高密度,慢性-低密度);
右侧大脑水肿,中线结构移位。
▲(小脑幕下)硬膜下血肿。
▲(大脑镰左侧)硬膜下血肿:
可见轻度占位效应。
▲左侧硬膜下血肿:
呈等密度,有占位效应,中线结构移位。
▲双侧亚急性硬膜下血肿:
左侧可见急性出血,双侧占位效应平衡,
中线结构无移位。
▲双侧等密度硬膜下血肿。
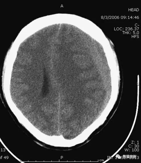
4、蛛网膜下腔出血
▲外伤性蛛网膜下腔出血:
脑沟、脑池内可见高密度影。
▲额叶及颞叶脑挫伤:
脑出血并周围水肿,可随时间扩大,
导致占位效应及脑疝。
由于受周围骨质影响,脑基底部挫伤容易遗漏。
▲头部枪伤:
可见子弹轨迹,穿越大脑中线,
其毁灭性后果导致:
侧脑室积血,蛛网膜下腔出血,
脑积水(侧脑室颞角扩大),
小脑幕疝(脑干周围基底池消失或不对称)
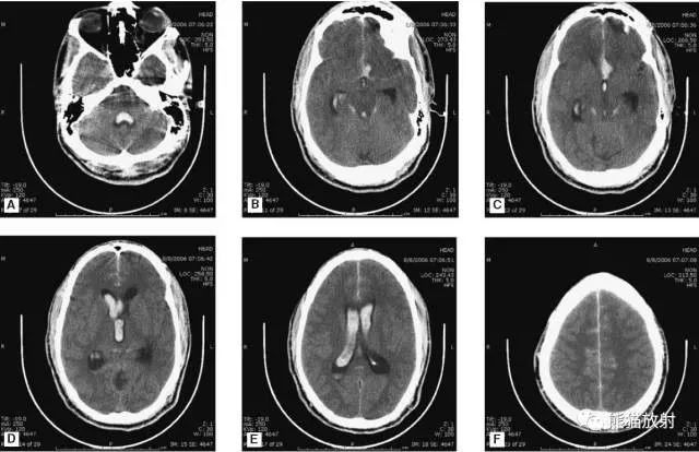
▲动脉瘤破裂导致蛛网膜下腔出血、
脑室积血、非交通性脑积水
与外伤性蛛网膜下腔出血不同,动脉瘤破裂导致的SAH常不累及大脑凸面,而位于基底池附近。脑动脉瘤常位于鞍上池的Willis环血管。
A:四脑室积血;
B:中脑导水管、环池、右侧侧脑室颞角积血,前交通动脉处(动脉瘤好发位置)出血密度较高;
C:三脑室积血;
D-F:侧脑室积血,蛛网膜下腔出血(血液代替了脑脊液)。
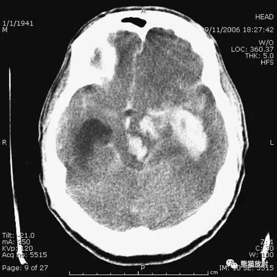
5、高血压性脑出血
高血压性脑出血:自发性出血;
继发于长期高血压及慢性血管病;
常见于基底节区、丘脑、脑桥、小脑。
A:占位效应,相邻脑沟、脑池消失;
F:脑出血破入四脑室。
▲钩回疝:
是当代偿机制不能适应占位性病变时的结果。
基底节区大量高血压性脑出血,破入脑室及蛛网膜下腔,周围水肿,脑干周围空间消失;脑干出血、脑积水。
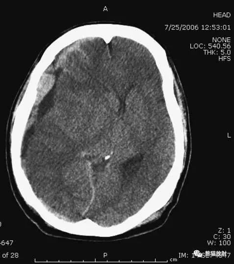
6、脑梗死
缺血性脑卒中早期:脑水肿,灰白质分界模糊,脑沟消失;
中期:病变区域密度减低;
晚期:脑实质体积缩小。
A:陈旧性脑梗死,右枕叶体积缩小;
B:左枕叶急性脑梗死,灰白质分界模糊,脑沟消失;
另一患者:
C、D:亚急性期脑梗死,低密度,无明显占位效应。
▲左侧大脑中动脉供血区脑梗死(亚急性期):
低密度,轻度水肿。
缺血性脑卒中发作2-4天时,占位效应最明显。
7、脑积水
▲脑积水,并脑室分流。
8、占位性病变
▲急诊患者的症状大多由于病变的占位效应所引起。能引起脑水肿及占位效应的病变有:原发肿瘤或转移瘤,血管畸形,炎性病变(弓形虫、脑脓肿)。
本例:肿瘤密度较高,邻近大脑镰,周围可见大片低密度水肿区。
本文部分内容整理自熊猫放射、医学界神经病学频道、北京地坛医院杜志刚主任在医生站讲授的精彩课程《头颅CT基本知识与常见疾病》,完整版内容请登录医生站观看。
本文首发丨医学界神经病学频道
本文整理丨毛栗子君、Dorothy
责任编辑丨陆离先生 向宇
版权声明
本文原创,转载请联系授权
-End-
本文为澎湃号作者或机构在澎湃新闻上传并发布,仅代表该作者或机构观点,不代表澎湃新闻的观点或立场,澎湃新闻仅提供信息发布平台。申请澎湃号请用电脑访问http://renzheng.thepaper.cn。





- 报料热线: 021-962866
- 报料邮箱: news@thepaper.cn
互联网新闻信息服务许可证:31120170006
增值电信业务经营许可证:沪B2-2017116
© 2014-2026 上海东方报业有限公司




