- +1
皮肤感染了HPV长出小肉粒,小心会传染
原创 希川小明 皮肤科杨希川教授
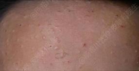
先给大家看一张图
会不会疑惑这是脂肪粒?
还是汗管瘤?
其实都不是
这是扁平疣
啥是扁平疣?
扁平疣是一种常见的皮肤疾病,好发于青少年,几乎50%的人在一生中都与它“打过交道”。
它是由人乳头状瘤病毒感染引起的,说到人乳头状瘤病毒你可能不熟悉,但它的简称——HPV你应该听过。
HPV家族庞大,有100多号成员,喜欢攻击人的上皮细胞。根据凶残程度不同,他们的致癌性也不尽相同。
▶皮肤高危型:HPV-5、8、14、17、20、36、38,主要与疣状表皮发育不良有关。
▶黏膜高危型:HPV-16、18、30、31、33、35、39、45,主要与宫颈癌、直肠癌、口腔癌、扁桃体癌等有关。
▶可能具有致癌性的:HPV-26、53、66等。
而引起扁平疣的HPV主要为HPV-3或10,也有少数是HPV-28、29和41,这几种均为低危类型,一般不会发生癌变。
但也有特殊情况,假如从小全身泛发性扁平疣,就要注意了,这可能是由高危型HPV-5、8引起的感染,为疣状表皮发育不良,有较高的癌变率。
小心扁平疣会传染
扁平疣多发生在面部、手背及前臂等地方,表现为大小不等的扁平丘疹,轻微隆起,摸起来表面滑滑的,呈现出圆形、椭圆形或多角形等形状,且界线较为清楚。
在最初发病时,皮损发展和增多较快,因为扁平疣的疣体中有大量活跃的病毒。
一般没有自觉症状,比如疼痛不适等,但少数有轻微瘙痒。当局部被搔抓时,疣体表面和正常皮肤会产生轻微的破损,这时病毒很容易被接种到正常皮肤上而产生新的疣体。重点是,扁平疣是具有传染性的!疣体在患处进行扩张,当患者有意无意地搔抓患处,结果发现疣体越来越多,甚至沿抓痕呈串珠状排列或密集成片,如下图。
所以扁平疣患者尽量不要搔抓发病部位,以免加重自己的病情。
对生活造成的影响
● 伤“面子”
因扁平疣专在皮肤暴露部位发病,尤其喜欢出现在面部,手部,且皮损模样有碍观瞻,很伤“面子”,这也就影响了患者正常的生活交往与工作。
● 引发传染
扁平疣具有一定的接触传染性,不仅仅会出现自身传染,还可通过密切接触传染家人和朋友,这就威胁到了患者周围人的健康。
如何治疗扁平疣
扁平疣可持续发病多年,但多数患者是可以自愈的,甚至是突然消失,不留瘢痕,所以患了扁平疣不用过于焦虑。在所有病毒疣中,扁平疣是自发缓解率最高的。
如果突然出现发红、发痒往往是要消退的前兆。
尽管扁平疣大多数会自然消退,但具体到每个患者无法确定多久能消退,而且有传染性,又影响美观,最好还是及时治疗。
① 如果是皮损数量不多,可以冷冻或激光治疗,也可以外用咪喹莫特乳膏、维a酸软膏、他扎罗汀乳膏等,假如这些外用药无效,可以使用5%5-FU乳膏,非常有效,但易留色素沉着。
② 如果皮损数量多,可以考虑光动力治疗。严重者可配合口服维甲酸类药物。
与粟丘疹、汗管瘤如何区别
如果文章开头的图你判断错了,没关系,毕竟咱也不是专业医生,因为这三者确实令很多人分辨不清。
● 粟丘疹
就是大家通常所说的“脂肪粒”,呈白色或淡黄色,针头或米粒大小的圆顶状丘疹。实际是真皮浅部小的表皮样囊肿,和脂肪没有关系。
一般不需要治疗,如果影响美观,可以让医生用针或手术刀进行挑除,也可以做激光或电凝治疗。
● 汗管瘤
表现为肤色、红色或棕褐色小丘疹,多发于眼睑及额部皮肤,且女性比男性更常见。

(图为汗管瘤)此病为良性,一般不影响健康,如果影响外观,同样可考虑电凝或激光治疗。
看到这里你还是分辨不清,那就去医院交给医生诊治吧。一般来说,通过临床是可以直接判断的,除非遇到特殊病例则可进行活检病理确诊。
〔参考文献〕[1]司衍升,王守仁."扁平疣的治疗进展."中国临床医药研究杂志 .(2003):58-59.
〔免责声明〕
本文数据更新于2022年11月17日
由「皮肤科杨希川教授」原创,旨在为读者进行科普
科普内容不能代替医生诊治意见,仅供参考
如有皮肤问题,请及时咨询医生
部分图片来源网络,如有侵权请联系删除
封面设计:blurrr
本文为澎湃号作者或机构在澎湃新闻上传并发布,仅代表该作者或机构观点,不代表澎湃新闻的观点或立场,澎湃新闻仅提供信息发布平台。申请澎湃号请用电脑访问http://renzheng.thepaper.cn。





- 报料热线: 021-962866
- 报料邮箱: news@thepaper.cn
互联网新闻信息服务许可证:31120170006
增值电信业务经营许可证:沪B2-2017116
© 2014-2026 上海东方报业有限公司




