- +1
重症肺炎抗感染治疗不佳,几番探寻,原来是肺里面的“油脂”在捣乱
原创 王慧 李君杰 周灵
*仅供医学专业人士阅读参考
瑞金呼吸探案室,带您剖析呼吸经典病例!53岁女性患者,亚急性起病,吸入缝纫机油后出现反复发热咳嗽喘闷,胸部多肺叶团块状浸润影,双下肺为主,内可见支气管充气征,肺组织实变明显。快速进展出现急性呼吸衰竭,对于该患者如何进行诊断和鉴别诊断,是否考虑吸入性肺炎?还是机化性肺炎?
病例简介
▌一般情况:
患者,女性,56岁,因发热咳嗽喘闷近1月,于2022年9月14日收治入院。
▌现病史:
患者有脊髓灰质炎病史,平日说话含糊不清,进食流质时有呛咳。否认其他慢性病史。患者2022年8月中下旬误饮入缝纫机油1口(约10ml),当时自行催吐,两日后开始出现发热咳嗽,先后至农村卫生院、省医院予抗感染治疗,但气促进行性加重,期间出现发热,体温最高39℃,遂至安徽某某医院就诊,入院时查胸部CT见多肺叶团块状浸润影,双下肺为主,内可见支气管充气征,肺组织实变明显,诊断为重症肺炎收入RICU。
住院期间予以两次支气管镜肺泡灌洗,病原学方面未见明显异常。行B超引导下肺穿刺活检并送病理及病原学检查,病理回报:肺符合炎性病变,肺泡腔内见大片炎性渗出坏死物,伴多量中性粒细胞及泡沫细胞浸润,周围肺泡上皮轻度不典型增生。
当地考虑吸入性肺炎,予高流量吸氧,美罗培南联合莫西沙星抗感染,甲强龙40mg qd*2d、40mg bid*3d、80mg q12h*3d,后逐渐减量至40mg q12h维持抗炎治疗,辅以化痰、雾化吸入、扩张支气管、抗凝、营养支持等对症处理。患者治疗后氧合指数较前好转,仍需较高呼吸支持,并且仍有发热伴喘闷,患者家属要求转上级医院进一步诊治。
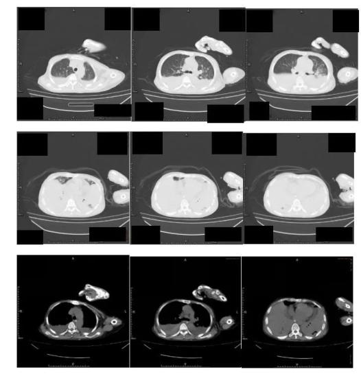
2022年9月14日至我院就诊,查胸部CT(图1):两肺炎症伴实变,两肺多发小结节,拟炎性病变;两侧胸腔积液。纵膈淋巴结增大。心脏增大,心包积液,贫血改变。血气分析(吸氧10L/min):pH 7.51,氧分压 8.68kpa,二氧化碳分压 5.44kpa,标准碳酸氢根 31.1mmol/L、标准剩余碱 7.9mmol/L。
图1 胸部CT(2022.9.14)血常规:WBC 18.89x109/L,N 94.7%,L 3.3%,RBC 2.91x1012/L,Hb 79g/L,PLT 353x109/L,CRP 102mg/L。现患者为求进一步诊治收入我科。
▌体格检查:
体温:37.8℃,脉搏:91次/分,呼吸:20次,血压:109/68mmHg。
氧饱和度98%(高流量吸氧,流速60L/min氧浓度60%)神清,精神萎,口唇无紫绀,两上肺呼吸音粗,两下肺呼吸音明显降低,未及干湿啰音。心率91次/分,律齐,各瓣膜未及病理性杂音。腹软,无压痛,无反跳痛,肝脾肋下未触及。双下肢无水肿。NS(-)。
▌辅助检查:
2022-9-6(院外检查)肺灌洗液多量中性细胞,少量上皮细胞,未见载脂巨噬细胞及恶性细胞。
肿瘤标志物(院外检查)CEA 5.15ng/ml↑,Cyfra21-1 6.84ng/ml↑,Ca125 69.9U/ml↑,铁蛋白794.5ng/ml↑,AFP、Ca199、CA153、CA724、ProGRP、SCC、CA50、CA242正常。
2022-9-11(院外检查)肺组织mNGS:人疱疹病毒4型(EB病毒)序列数2。
2022-9-12(院外检查)肺特殊染色结果:PAS(-),AFB(抗酸)(-),GMS(-)。
2022-9-15(院外检查)肺组织活检病理:肺符合炎性病变,肺泡腔内见大片炎性渗出坏死物,伴多量中性粒细胞及泡沫细胞浸润,周围肺泡上皮轻度不典型增生。
2022-9-14(瑞金医院)血气分析:酸碱度(PHT)7.46↑二氧化碳分压(PCO2T)48↑mmHg氧分压(PO2T)57↓mmHg氧饱和度(SO2)89.6↓%(吸氧:10L/min)。
DIC:Fg 3.7g/L,D-二聚体定量3.52mg/L,纤维蛋白降解产物10.8 mg/L。
血常规:WBC 18.89x109/L,N 94.7%,L 3.3%,RBC 2.91x1012/L,Hb 79g/L,PLT 353x109/L,CRP 102mg/L。
生化:前白蛋白82mg/L,天门冬氨酸氨基转移酶52IU/L,总蛋白59g/L,白蛋白33g/L,肌酐32μmol/L,尿酸59μmol/L,LDH 337IU/L,肌酸激酶19 IU/L。
心脏彩超示:少量心包积液。
胸及部上下腹部CT:两肺炎症、伴实变,两肺多发小结节,拟炎性病变;两侧胸腔积液。纵隔淋巴结增大。心脏增大,心包积液,贫血改变。胰腺体尾部形态饱满、周围脂肪间隙模糊,急性胰腺炎待排;肝S4段稍低密度结节;副脾;腹腔积液。膀胱导尿管置管中;盆腔积液;结直肠较多内容物。两侧髋部软组织水肿。
诊疗过程
入院后进一步完善相关检查,感染指标PCT、G试验、CMVIgM和DNA、呼吸道九联检,军团菌、支原体、衣原体抗体阴性,痰涂片及细菌、真菌培养均阴性,免疫指标提示:CD3绝对计数292↓个/μl,CD4绝对计数228↓个/μl,CD8绝对计数63↓个/μl,C-反应蛋白125.17↑mg/L,βD-1,3葡聚糖(真菌)阴性。
外院广谱抗生素抗感染治疗效果欠佳,结合患者上述现病史、体征及实验室检查结果,首先考虑脂质性肺炎,予以甲强龙80mg,q12h抗炎、克赛预防性抗凝,哌拉西林他唑巴坦+SMZ预防治疗及对症支持治疗。
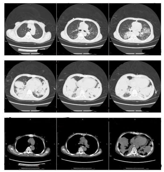
9月21日患者尿液浑浊,絮状物增多,尿培养回报白假丝酵母菌,予以加用大扶康抗真菌治疗;9月23日(图2)复查胸部CT部分较前好转,氧合有好转,吸氧浓度下降至50%左右,低热有反复,咳嗽、咳痰不明显。
图2 胸部CT(2022.9.23)9月25日因痰培养为耐药鲍曼不动杆菌,根据药敏改哌拉西林他唑巴坦为头孢哌酮舒巴坦、米诺环素、多黏菌素抗感染,9月30日因CMV DNA定量>103IU/mL,加用更昔洛韦抗病毒;10月7日因再次发热,痰涂片找到阳性球菌,加用万古霉素抗感染及对症支持治疗。
后患者症状好转,10月8日(图3)复查CT较入院时实变明显有吸收好转,仍有两肺渗出,考虑实变基础上继发感染,但患者无发热,呼吸道症状不明显,鼻导管吸氧,吸氧3L/min呼吸平稳,血象稳定,PCT正常,转至康复医院继续治疗。
图3 胸部CT(2022.10.8)讨论
脂质性肺炎是一种由于类脂物质在肺内集聚引起的非常见疾病。外源性脂质性肺炎,吸入的油或脂肪进入呼吸道后,难以通过纤毛黏液机制清除;动物油在气道内可引起强烈的炎症;植物油和矿物油一般不会引起即时炎症反应,长期吸入会导致异物反应;镜下见含脂物质积聚肺泡内,可见被巨噬细胞吞噬,巨噬细胞吞噬的异物型反应,肺泡和组织间隙充血、炎性细胞浸润及纤维化。
脂质性肺炎主要分为内源性和外源性两种,内源性脂质性肺炎由于慢性肺部感染/疾病(支气管扩张、肺脓肿、硬皮病、尘肺纤维化、放射性肺炎等)并发症,肺肿瘤阻塞、脂质代谢异常导致,外源性脂质性肺炎由于吸入或误吸动物性、植物性、矿物性油脂。
外源性脂质性肺炎比较少见,诊断基于以下3个重要因素:
接触油或脂肪的病史,有吸入和/或被吸入的风险;
放射学特征性发现;
痰、肺泡灌洗液、组织病理学标,本存在富含脂质的巨噬细胞。
吸入的油或脂肪有:凡士林、矿物油泻药、油性滴鼻剂、牛奶、罂粟子油等。含脂物质到达肺泡时发生外源性脂质性肺炎,临床表现呈非特异性,容易与其他类型的肺炎相混淆。
根据吸入油或脂肪的类型、数量、频率和时间长短分为两类:急剧、短暂、大量吸入油或脂肪,或因意外误吸而急性引起的急性外源性脂质性肺炎;长期、反复、低剂量吸入油或脂肪可导致慢性外源性脂质性肺炎。急性外源性脂质性肺炎非常罕见,如喷火表演时口含汽油、柴油或液体石蜡,不慎吸入肺内所致。
若吸入量少,可表现无症状或症状轻微;若短期内大量吸入,或稠厚油性物质吸入气道后可阻塞气道,在短时间内引起发热、咳嗽、咳痰;有报告称,在意外吸入煤油的几个小时后,可出现发热、咳嗽和胸膜炎性胸痛等感染性肺炎症状;严重时可出现类似于急性呼吸窘迫综合征的呼吸困难症状。
胸部影像学检查表现为肺部感染等非特异性表现。慢性外源性脂质性肺炎,则通常是由于长期反复吸入,导致油或脂肪在肺泡内聚集,并引起巨噬细胞吞噬的异物反应,患者可能会出现咳嗽、胸痛、咯血、间歇性发热或白细胞增多,合并肺间质纤维化时可出现呼吸困难,此外少见的有胸腔积液、气胸等。
迄今为止,外源性脂质性肺炎的治疗方法未得到很好的研究,为能建立标准的治疗方案,现有的治疗经验来源于已发表的病例报告:即避免吸入含脂物质,使用抗生素、糖皮质激素、肺泡灌洗,外源性脂质性肺炎常合并细菌感染,应合理使用抗生素治疗。
有病例报道证明,用含有乳化剂的肺泡液行分段肺泡灌洗,不仅可以直径清除脂质,而且能减轻肺泡浸润,肺泡灌洗液中可见炎细胞、巨噬细胞吞噬脂质,故使用糖皮质激素用于外源性脂质性肺炎。
但是,糖皮质激素的功效主要取决于炎性反应轻重程度,可静脉给予甲泼尼龙,并酌情调整剂量,当患者病情改善时停止抗生素,并口服糖皮质激素持续数周,逐渐减量直至停用。
临床对于糖皮质激素的使用仍然存在争议,部分学者认为糖皮质激素能抑制肺泡和系统性炎症反应,降低血管通透性,减少渗出,还能促进肺泡表面活性物质的合成,减轻后期肺纤维化及肺容量的丧失,故在吸入早期即可使用。
此外也有免疫球蛋白治疗取得成功的案例。部分学者发现早期行支气管镜肺泡灌洗可有效清除积存在肺泡内的脂质物质,减轻对炎性反应刺激以及肺泡细胞的持续性损伤,改善肺功能。
该患者有误服缝纫机油的病史,有误吸风险,入院前在外院治疗后症状无明显好转,且需要较高呼吸支持,为求进一步诊治,转入我院,入院结合病史考虑脂质性肺炎,当时病原学均为阴性,故给予患者大剂量激素治疗,虽然距离误服缝纫机油已经约4周,但复查胸部CT提示实变仍有部分吸收好转。
该患者入院3周后出现继发肺部感染(鲍曼不动杆菌和巨细胞病毒、真菌),予以积极有效的抗感染、抗病毒、抗真菌治疗,再次复查胸部CT有进一步的吸收好转。
更多呼吸经典病例?
快来“医生站APP”瞧一瞧��
专家简介
冯耘上海交通大学医学院附属瑞金医院
冯耘医学博士后
上海交通大学医学院附属瑞金医院主任医师
硕士研究生导师
上海交通大学医学院副研究员
美国杜克大学访问学者
全国老年医学会呼吸分会呼吸危重症学术委员会委员
上海市医学会呼吸分会青年委员会委员兼秘书
上海市医学会呼吸分会重症学组副组长
曾获得上海市人才培养计划,上海市优秀专科医师及上海交通大学医学院九龙医学奖
获得两项国家自然基金资助,以第一作者及通讯作者发表相关SCI文章30余篇,第一完成人专利2项,参与编写专业书籍3本。
专家简介
周灵上海交通大学医学院附属瑞金医院
周灵医学博士在读
上海交通大学医学院附属瑞金医院主治医师
主要研究方向是肺恶性肿瘤的精准化治疗;
上海市抗癌协会会员;
上海市康复医学会会员;
发表相关SCI文章6篇,参与专利1项,参与编写专业书籍2本
专家简介
李君杰上海交通大学医学院附属瑞金医院
李君杰医学博士
上海交通大学医学院附属瑞金医院主治医师
2017级PCCM学员
美国匹兹堡大学访问学者
主持国自然青年基金1项,以第一作者发表相关SCI论文7篇
专家简介
王慧长沙市第四医院
王慧医学硕士
长沙市第四医院(湖南师范大学附属长沙医院)副主任医师
毕业于中南大学湘雅医学院
2022级上海交通大学医学院附属瑞金医院PCCM-RICU单修学员
中国医师协会呼吸医师分会首届青年委员
发表中文核心期刊论文数篇
本文首发:医学界呼吸频道
本文作者:王慧 李君杰 周灵 冯耘
责任编辑:彭建萍 戴戴
版权申明
本文原创 欢迎转发朋友圈
- End -
本文为澎湃号作者或机构在澎湃新闻上传并发布,仅代表该作者或机构观点,不代表澎湃新闻的观点或立场,澎湃新闻仅提供信息发布平台。申请澎湃号请用电脑访问http://renzheng.thepaper.cn。





- 报料热线: 021-962866
- 报料邮箱: news@thepaper.cn
互联网新闻信息服务许可证:31120170006
增值电信业务经营许可证:沪B2-2017116
© 2014-2026 上海东方报业有限公司




