- +1
自身免疫性胃炎的内镜下典型特征,这篇文章说清了
原创 徐俊荣 医学界消化肝病频道
仅供医学专业人士阅读参考
图文并茂,干货满满,快收藏~
撰文 | 徐俊荣
自身免疫性胃炎(autoimmunie gastritis,AIG)是一种以胃底、胃体萎缩为特征的器官特异性自身免疫病。自身免疫性胃炎主要影响泌酸胃黏膜,以胃底、胃体萎缩为其特征性改变。
由于AIG患者体内存在抗壁细胞抗体和或抗内因子抗体,会通过自身免疫反应破坏胃体壁细胞,导致胃酸分泌减少,反馈性引起胃窦G细胞分泌胃泌素增加,进而导致胃体肠嗜铬样细胞增生,甚至进展为Ⅰ型神经内分泌瘤和腺癌。胃酸分泌减少以及内因子抗体的存在,会影响维生素B12和Fe2+的吸收,导致缺铁性贫血和恶性贫血。
自身免疫性胃炎临床上并不算罕见,但确诊率很低,只有2%左右。误诊或漏诊的原因与AIG临床表现不特异,内镜医生对该疾病的内镜下表现认识不足等因素有关。胃镜检查在AIG的诊断方面发挥着重要的作用,要想提高AIG的确诊率,就得要掌握此类患者的内镜下特征。
近期,国外学者发表了一些关于自身免疫性胃炎内镜下表现的综述,让我们来一起学习一下AIG有哪些典型的内镜下表现。
01
自身免疫性胃炎的白光下内镜表现
1
胃底和胃体
众所周知,AIG典型的内镜下表现是严重的萎缩性胃炎,萎缩的区域主要位于胃体和胃底,而胃窦没有萎缩或者仅有轻微的萎缩(图1)。因其与常规的萎缩性胃炎特点相反,这种内镜特征被称为逆向萎缩(reverse atrophy)。
A B C图1 AIG典型的内镜下逆向萎缩A.胃窦B.胃体C.胃底
这种内镜下逆向萎缩性胃炎的另一个特点就是,在大范围胃体腺萎缩的背景下,一些残存的正常泌酸黏膜在内镜下呈隆起样改变,表现为扁平隆起,广泛型隆起,假性息肉样隆起和岛状改变几种类型(图2)。
A B图2残存泌酸黏膜的内镜下表现。A.假性息肉型隆起;B.广泛型隆起
与普通的萎缩性胃炎相比,AIG更容易伴发增生性息肉。日本学者Terao等研究发现,21.2%的AIG患者内镜下可观察到增生性息肉(图3)。最近的研究发现,AIG患者的胃底和胃体常常附着一些黄白色粘稠的粘液,用水不易冲除(图4)。
图3 AIG患者内镜下的增生性息肉
图4 AIG患者胃底和胃体附着的粘液2
胃窦
根据正常幽门腺粘膜的范围和色调,将AIG的胃窦粘膜分为五种类型:整个胃窦区域正常;大约一半的胃窦区域正常;仅邻近幽门的区域正常;整个区域变色;整个区域发红。此外,多中心研究发现白光下胃窦黏膜可以表现出片状红斑、环形波纹状图案等改变(图5)。
A B图5胃窦的环形波纹状图案A.白光下的环形波纹B.亚甲蓝染色后的环形波纹
02
放大染色内镜下自身免疫性胃炎的表现
1
微小的白色突起
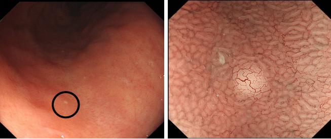
在分化型的胃癌患者的病变边界可以观察到的白色球状隆起(white globe appearance,WGA)也可见于AIG患者,这种内镜下特征在AIG患者中被命名为散在的微小的白色突起(scattered minute whitish protrusions)(图6)。日本学者研究发现,32.0%的AIG患者的胃体小弯存在有这种白色突起。
A B图6 AIG患者内镜下的白色突起A.AIG患者胃体小弯的白色突起B.放大染色内镜可见白色隆起表面有上皮毛细血管网
2
脱皮征
日本学者还发现,59%的AIG患者放大染色内镜下可见胃小凹周边的毛细血管网结构存在,但小凹内的腺管开口消失,他们将这种特殊的内镜下表现命名为脱皮征(cast-off skin appearance,CSA,图7)。
A B图7 AIG患者内镜下的脱皮征
A.AIG患者胃体小弯显著萎缩B.放大染色内镜可见萎缩区域存在脱皮征(多角形的血管网中央缺乏腺体开口)
03
早期自身免疫性胃炎的内镜下表现
上述AIG的胃镜特征都是已经发生明显萎缩后AIG的内镜下表现,在胃体黏膜发生萎缩之前的内镜下特征报道的较少。有学者认为,胃体黏膜水肿、呈马赛克样改变可能是出现萎缩之前的早期AIG的典型内镜下特征(图8)。仍需进一步的研究来确定马赛克样改变能否提示早期自身免疫性胃炎。
图8早期AIG的典型内镜下特征(胃体黏膜水肿呈马赛克样改变)04
自身免疫性胃炎合并神经内分泌瘤的内镜下表现
自身免疫性胃炎的胃酸分泌减少会反馈性引起胃窦G细胞分泌胃泌素增加,进而导致胃体肠嗜铬样细胞增生,甚至可进展为Ⅰ型神经内分泌瘤和腺癌。AIG合并神经内分泌瘤的内镜下特征是胃体可见多发扁平隆起,通常直径小于10 mm。肿瘤的色泽轻度发黄或发红,表面可见血管扩张(图9)。
A B图9 AIG合并神经内分泌瘤的内镜下特征
A.胃体黏膜皱襞消失,可见多发红色息肉样隆起B.肿瘤轻度隆起,表面发红,胃小凹增大,血管扩张
总之,自身免疫性胃炎患者内镜下有一些特殊的表现,掌握了这些特征有助于我们内镜医生识别这种疾病,避免漏诊。但是,仍需进一步的研究来验证这些镜下表现对于诊断自身免疫性胃炎的灵敏度和特异度。
注:文中部分图片引自参考文献2和参考文献3.
医生站网页版上线啦
扫描下方二维码或点击阅读原文
无需下载便可浏览更多消化肝病科资讯
������
参考文献:
[1]靳蕊,张文,李景南.自身免疫性胃炎的研究进展.中华消化杂志,2021,41(Z1):66-70.
[2]Kishino M,Nonaka K.Endoscopic Features of Autoimmune Gastritis:Focus on Typical Images and Early Images.J Clin Med.2022;11(12):3523.
[3]Kamada T,Maruyama Y,Monobe Y,Haruma K.Endoscopic features and clinical importance of autoimmune gastritis.Dig Endosc.2022;34(4):700-713.
[4]Terao S,Suzuki S,Yaita H,et al.Multicenter study of autoimmune gastritis in Japan:Clinical and endoscopic characteristics.Dig Endosc.2020;32(3):364-372.
责任编辑:文嘉欣
- End -
*"医学界"力求所发表内容专业、可靠,但不对内容的准确性做出承诺;请相关各方在采用或以此作为决策依据时另行核查。
本文为澎湃号作者或机构在澎湃新闻上传并发布,仅代表该作者或机构观点,不代表澎湃新闻的观点或立场,澎湃新闻仅提供信息发布平台。申请澎湃号请用电脑访问http://renzheng.thepaper.cn。





- 报料热线: 021-962866
- 报料邮箱: news@thepaper.cn
互联网新闻信息服务许可证:31120170006
增值电信业务经营许可证:沪B2-2017116
© 2014-2026 上海东方报业有限公司




