- +1
6岁女孩身患两种罕见病
▼
今天是第16个国际罕见病日,我国罕见病患者约有2000万人。事实上,一个群体的数量无论是多是少,当疾病落于个体身上时,对本人及其家庭而言,都意味着疼痛的伤害和精神、经济上的负担。
6岁的小羽与7岁的思思,都是罕见病患者。让人揪心的是,小羽还患上了两种罕见病。
◎ 目前,全球确认的罕见病超7000种,约80%为遗传性疾病,约50%发病于儿童期。/图:quanjing01
忧心忡忡的父母
小羽的染色体检查结果显示她是女孩,但出生时发现她外阴模糊、性别难辨,阴蒂肥大似“丁丁”,阴唇肥厚像“蛋蛋”,看上去有点像男孩。她妈妈回忆说:“孩子出生后吃奶一直不好,总是频繁呕吐,体重也不见长。”小羽的各种异常表现,让父母忧心忡忡。
夫妻俩于是带着女儿去到中山大学孙逸仙纪念医院就诊。通过实验室检查及遗传学检测,发现小羽患上的是一种罕见病——先天性肾上腺皮质增生症:21羟化酶缺乏症(失盐型),这是先天性肾上腺皮质增生症(CAH)中最危险的一种。
疾病不仅导致小羽在出生后出现喂养困难、体重不增长,还出现高钾低钠、代谢性酸中毒等严重并发症,一度严重到休克状态。
该院儿科神经内分泌专科主任梁立阳教授介绍说,CAH是常染色体隐性遗传病,是由于皮质激素合成过程中所需酶的先天缺陷所致,在新生儿中发病率为2万分之一到1万6千分之一,属于罕见病。一系列的激素分泌紊乱,会使患者出现女性男性化、男性性早熟等轻重不等症状。
◎ 图:ruijing此外,CAH可分为单纯男性化型、失盐型、非经典型,可表现为低血钠、高血钾、循环衰竭、失盐危象,可发生于出生后数周内,危及生命。随着年龄增长,患儿还会出现性早熟等表现。
梁立阳教授团队为小羽实施了补液、补盐、纠正酸中毒等抢救治疗,帮助她渡过过“生死关”。在两岁时,小羽在该院小儿外科接受了外阴整形手术,此后,她进入到使用糖皮质激素和盐皮质激素长期替代治疗的阶段。
在长期规律治疗随访的过程中,梁立阳发现,虽然小羽的各项指标控制良好,但身高增长却越来越缓慢,年生长速度不足5厘米,呈衰减性生长趋势。团队仔细复盘了6年来的治疗方案,判断小羽极有可能出现了更为复杂的情况,于是为她安排了生长激素激发试验等检查,发现为完全性生长激素缺乏症。
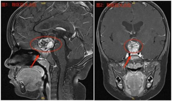
进一步经过头颅影像学检查后,他们终于找到了导致小羽不长高的另一个“凶手”——脑部鞍区有一个巨大占位。
原来,小羽还患上了另一种罕见病。
◎ 检查显示,小羽的鞍区有一个巨大占位。/医院供图02
面对两种罕见病侵袭
为了明确小羽这个颅内占位的性质,制定下一步治疗计划,梁立阳召集了包括儿科神经内分泌专科、儿科肿瘤专科、放射科、肿瘤放疗专科、神经外科、分子诊断中心及护理团队在内的多学科会诊团队,对小羽的病例资料进行讨论,初步考虑占位的性质为颅咽管瘤,需要手术切除治疗。对此,多学科会诊团队制定了术前、术中、术后的激素替代治疗、液体维持、电解质监测、手术切除方式等详细方案。
颅咽管瘤是生长于脑部鞍区的一种上皮原性良性肿瘤,发病率为0.5-2/100万人。虽然颅咽管瘤是良性肿瘤,但它的生长方式却与恶性肿瘤相似,增大的肿瘤会挤压或压迫垂体、垂体柄等部位,破坏正常垂体结构,引起垂体内分泌功能障碍。
此外,巨大的肿瘤还会压迫视交叉、引起脑积水等。手术切除是治疗颅咽管瘤的首选方法。
去年年底,受疫情影响,小羽在其他医院接受了手术,颅咽管瘤被顺利切除。
术后小羽再次回到中山大学孙逸仙纪念医院进行随访治疗,目前已经恢复正常生活。如果术后一年小羽的颅咽管瘤没有复发,梁立阳的团队还将进一步对她进行生长激素替代治疗,以保证她的身体正常生长发育。
身患两种罕见病的小羽,才6岁已经承受过了许多磨难。梁立阳教授解析说:“CAH遇上颅咽管瘤,这是目前国际上尚无报道的复杂情况,患者不仅要面对皮质激素替代治疗的问题,还需要面对麻醉、手术等应激状态,以及术后垂体多激素缺乏等复杂情况。”
“只有借助医院的综合实力,通过内分泌、肿瘤、神经内科、神经外科、护理等多学科的团队协助,才能帮助患者选择合理的治疗方案,让她渡过难关。”梁立阳说。
◎ 中山大学孙逸仙纪念医院多学科会诊团队在研讨病情。 /医院供图03
一场发热后,男孩变了另外一个人
跟小羽一样,另一位罕见病患者思思也是儿童。
7岁的思思自幼体质不错,但一场普通的发热过后,他走路的时候像鸭子一样一摇一摆的。到中山大学孙逸仙纪念医院儿科就诊后,思思被诊断患有一种罕见病——X连锁肾上腺脑白质营养不良(X-ALD)。
X连锁肾上腺脑白质营养不良是罕见病中较为常见的一种,会引起神经系统和肾上腺一系列问题,可导致听觉和视觉功能损害、智力减退、行为异常、运动障碍等诸多症状。
这是一种遗传性罕见病,由于X染色体上(Xq28)ABCD1基因突变导致过氧化物酶体功能异常,从而导致脂代谢异常,使大量极长链脂肪酸沉积于大脑白质和肾上腺。
据思思的父母回忆,去年12月份儿子突然出现发热,体温一度去到38.5摄氏度,吃了退热药后逐渐退烧。但自那之后,思思的精神状态比较差,并开始出现走路不稳的情况。
此外,思思也像变了一个人,表情总是比较淡漠,不像以前那样活泼爱笑了。父母起初以为只是生病导致孩子状态不佳而已,但一个多月过去后,他的症状还是没有好转,于是赶紧带孩子来医院求医。
该院儿科神经内分泌专科副教授何展文解析说:“X-ALD这种病临床表现多样。典型X-ALD患者会出现中枢神经系统损害和肾上腺皮质功能低下两类症状。临床表现为中枢神经系统功能损害时,主要是视听觉功能损害、认知功能及肢体运动功能障碍。伴有肾上腺皮质功能减退时,表现为全身皮肤黝黑,尤其是口唇、乳头、手掌皮肤皱折处为甚。两者症状可同时出现或相继出现,少数患者可单独出现。”
“虽然本病较为罕见,目前尚无根治方法,但患者若能尽早诊断、积极干预,就可以尽量延缓病情的进展,提高生活质量和生存率。”何展文介绍,X-ALD的治疗手段包括饮食调节、肾上腺皮质激素替代治疗、异基因造血干细胞移植、对症及康复治疗等。
“像思思这样的儿童脑型X-ALD患者,可尝试异基因造血干细胞移植治疗,在早期可阻止疾病进展,改善患者生存结果。目前国际上已有X-ALD患者在接受移植后追踪随访20年仍存活。”何展文说。
◎ 何展文医生在为思思进行神经系统查体。 /医院供图针对思思的病情,中山大学孙逸仙纪念医院小儿神经团队及内分泌团队指导思思调整饮食结构,限制富含极长链脂肪酸的食物摄入,进行营养神经及运动康复治疗,同时着手准备异基因造血干细胞移植的相关事项,并动态观察和评估肾上腺功能的变化。
经过一系列干预治疗,思思目前病情稳定。
(文中小羽与思思为化名)
通讯员|张阳 黄睿 刘祖霖 周小琳
RECOMMEND
原标题:《6岁女孩身患两种罕见病》
本文为澎湃号作者或机构在澎湃新闻上传并发布,仅代表该作者或机构观点,不代表澎湃新闻的观点或立场,澎湃新闻仅提供信息发布平台。申请澎湃号请用电脑访问http://renzheng.thepaper.cn。





- 报料热线: 021-962866
- 报料邮箱: news@thepaper.cn
互联网新闻信息服务许可证:31120170006
增值电信业务经营许可证:沪B2-2017116
© 2014-2026 上海东方报业有限公司




