- +1
流感、结核、哮喘如何鉴别诊断?一文理清
原创 杨欣 医学界呼吸频道
,*仅供医学专业人士阅读参考
涨知识时刻
撰文 | 杨欣
冬去春来,又到了传染病和过敏性疾病的高发季节,不少患者都出现咳嗽症状。尽管咳嗽被认为是人体的防御性神经反射,有利于廓清气道。但是,病理状态下的咳嗽,尤其是频繁咳嗽者,可导致血压升高、气胸等并发症;通常需要医学干预。
咳嗽的病因复杂,流感、哮喘、肺结核患者常伴有咳嗽。值此“世界防治结核病日”到来之际,明确咳嗽患者病因,鉴别这3种疾病至关重要,一起来学习吧。
本文思维导图高清原图扫描下方二维码查看置顶文章或点击本文末尾“查看原文”获取本文思维导图高清原图,本文要点一目了然!
咳嗽的常见病因
急性咳嗽(<3周)的病因:感冒、急/慢性支气管炎、哮喘、支气管扩张症等;
亚急性咳嗽(3-8周)病因:肺炎、肺结核(PTB)等;
慢性咳嗽病因(>8周)[1]:咳嗽变异性哮喘(CVA)、嗜酸粒细胞性支气管炎(EB)、变应性咳嗽(AC)、上气道咳嗽综合征(UACS)、鼻后滴流综合征(PNDS)、胃食管反流性咳嗽(GERC)等。
流感VS肺结核VS哮喘
(一)流感
流感的传染性强、波及范围广,据世界卫生组织(WHO)报道,全球每年流感的患病率为5%-15%,其中重症流感达500万例[2]。流行性感冒(流感)是流感病毒引起的急性呼吸道传染病,国内以甲、乙型流感病毒感染多见。流感多表现为高热、肌肉酸痛、咽喉痛、干咳,完善流感病毒核酸或抗原检测后即可确诊。
近期,甲流横行,人群普遍易感。甲流病例通常在几天内恢复正常,病程最长者不超过2周[3]。需要注意的是,儿童、老年人、存在慢性呼吸系统疾病、肿瘤、免疫抑制者易发展成重症流感病例,如出现支气管炎、肺炎等并发症。
识别重症流感,以下关键点应熟知[4]:
持续高热>3d,伴有剧烈咳嗽,咳脓痰、血痰,或胸痛;
呼吸频率快、呼吸困难、口唇紫绀;
反应迟钝、嗜睡、躁动等神志改变或出现惊厥;
严重呕吐、腹泻,出现脱水;
合并肺炎;
原有基础疾病明显加重;
需住院治疗者。
对于易进展为重症流感病例者,一旦有流感的临床表现或确诊者,应在48h内给予奥司他韦等抗流感病毒药物以提高临床治愈率、降低病死率。
(二)肺结核
我国每年新发结核病约84万例,占全球新发病例的8.4%。我国与印度、印度尼西亚等30个国家被WHO定义为结核病高负担国家。咳嗽、咳痰2周以上或咯血是PTB常见呼吸道症状。临床上,PTB以干咳或咳少许黏痰为主要表现;若肺部有结核空洞者,咳痰量增加。
临床常用检查手段[7]:
胸部X线(或CT);
痰涂片后抗酸杆菌镜检(至少检测2次);
痰培养(确诊PTB的“金标准”,但耗时长、结核分枝杆菌通常需要培养2-8周);
结核菌素皮肤试验(TST,其结果为阳性的临床价值低于阴性者);
λ-干扰素释放试验(IGRA,正逐步取代TST成为检测潜伏期结核的首选方法);
结核菌核酸检测;
支气管镜检查(包括镜下刷检、病理活检、获取肺泡灌洗液送检等);
肺穿刺。
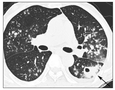
其中,胸部X线(或CT)在诊断PTB具有重要的临床价值。据循证依据,PTB患者感染灶好发于肺上叶尖后段、下叶背段及后基底段,其胸部X线(或CT)可见浸润、干酪样纤维钙化灶或空洞。典型的PTB病例如图1[8]所示。
图1 PTB病例值得注意的是,支气管内膜结核(EBTB)属于特殊的PTB,且10%-20%的EBTB者胸部X线无明显异常(见图2)[9],容易出现结核病漏诊。
图2 胸部X线正常的EBTB病例有趣的是,EBTB患者常伴有慢性咳嗽、气促等症状,与哮喘临床表现颇为相似。PTB很少合并哮喘发病,因结核感染可诱导Th1免疫反应,且抑制了以Th2反应为特征的哮喘相关炎症过程[10]。因此,对于以慢性咳嗽、气促为主诉的患者,辨别结核病和哮喘的诊断至关重要。若慢性咳嗽、气促者按照CVA治疗后效果不佳,需怀疑EBTB可能。已知胸部X线对分辨EBTB与哮喘的应用价值不高,可执行支气管舒张(或激发试验)、气管镜检查(含镜下刷检、送检肺泡灌洗液培养等)用于两者的鉴别。
表1 鉴别EBTB与CVA
(三)哮喘
国内一研究证实20岁以上人群哮喘的患病率为4.2%[5]。当患者具有哮喘样典型临床症状或体征,以及满足1条可变气流受限的客观检查,即可诊断哮喘[6]。
典型临床症状或体征:
1.反复发作性喘息、气促,伴或不伴胸闷、咳嗽,常与接触变应原、冷空气、上呼吸道感染有关;
2.哮喘发作时,患者肺部可闻及散在或弥漫性哮鸣音,呼气相延长;
3.上述症状和体征在临床治疗后可缓解,部分哮喘患者可自行缓解。
可变气流受限的客观检查:
1.支气管舒张试验:吸入支气管扩张剂后,FEV1增加>12%,且FEV1绝对值增加>200ml;
2.支气管激发试验:当患者吸入乙酰胆碱或组胺后FEV1至少下降20%,则为阳性;提示患者存在气道高反应性;
3.呼气流量峰值(PEF):平均每日PEF昼夜变异率>10%或PEF周变异率>20%。
患者在接触变应原、冷空气后发作的喘息、气促,是哮喘常见的临床变现。不同的是,部分患者无喘息、气促,仅表现为慢性咳嗽,且夜间咳嗽明显,需警惕咳嗽变异性哮喘(CVA)。
小结
本文概述了咳嗽的常见病因,重点阐述了流感、哮喘、PTB这3个疾病的临床特征,包括咳嗽的病程、性质和咳痰量的差异,以及鉴别诊断等内容。值此传染病及过敏疾病高发季节,期望本文能为咳嗽查因提供部分参考。
参考文献
[1]中华医学会呼吸病学分会哮喘学组. 咳嗽的诊断与治疗指南(2021)[J]. 中华结核和呼吸杂志, 2022, 45(1):34.
[2] Cauldwell AV, Long JS, Moncorgé O, et al. Viral determinantsof influenza a virus host range. J Gen Virol 2014;95:1193-210.
[3]Gasparini R, Amicizia D, Lai PL, Bragazzi NL, Panatto D. Compounds with anti-influenza activity: present and future of strategies for the optimal treatment and management of influenza. Part I: Influenza life-cycle and currently available drugs. J Prev Med Hyg. 2014 Sep;55(3):69-85.
[4]国家卫生健康委办公厅,国家中医药管理局办公室.流行性感冒诊疗方案(2020年版)
[5]Huang K, Yang T, Xu J, et al. Prevalence, risk factors, andmanagement of asthma in China: a nationalcross-sectional study [J]. Lancet, 2019, 394(10196):407-418.
[6]中华医学会呼吸病学分会哮喘学组.支气管哮喘防治指南(2020年版)[J].中华结核和呼吸杂志, 2020, 43(12): 1023-1048.
[7]中华医学会. 肺结核基层诊疗指南(2018年)[J]. 中华全科医师杂志, 2019, 18(008):709-717.
[8] Kim J, Lee IJ, Kim JH. CT findings of pulmonary tuberculosis and tuberculous pleurisy in diabetes mellitus patients. Diagn Interv Radiol. 2017 Mar-Apr;23(2):112-117.
[9] Nguyen-Ho L, Nguyen-Tiet A, Chang YS. Asthma and pulmonary tuberculosis: misdiagnosis or coexistence. Respirol Case Rep. 2021 Jun 3;9(7):e00797.
[10]Koh YI, Choi IS. Asthma in pulmonary tuberculosis. Allergy. 2001 Aug;56(8):788-9.
责任编辑:砍树
*"医学界"力求所发表内容专业、可靠,但不对内容的准确性做出承诺;请相关各方在采用或以此作为决策依据时另行核查。
原标题:《咳咳咳!流感、结核、哮喘如何鉴别诊断?一文理清》
本文为澎湃号作者或机构在澎湃新闻上传并发布,仅代表该作者或机构观点,不代表澎湃新闻的观点或立场,澎湃新闻仅提供信息发布平台。申请澎湃号请用电脑访问http://renzheng.thepaper.cn。





- 报料热线: 021-962866
- 报料邮箱: news@thepaper.cn
互联网新闻信息服务许可证:31120170006
增值电信业务经营许可证:沪B2-2017116
© 2014-2026 上海东方报业有限公司




