- +1
急性卒中CT神经灌注影像学表现
原创 赵喜同学 XI区
计算机断层扫描(CT)、CT血管造影(CTA)和CT灌注成像(CTP)的成像评估对于急诊科怀疑脑血管损伤的患者至关重要。快速和清晰地确定急性卒中和其鉴别诊断的特征成像发现对于每位放射科医师都必不可少。不同的病因可能模拟急性卒中的临床表现,因此了解和迅速识别卒中的模拟疾病是非常重要的。正确诊断和迅速开始适当治疗需要快速和明确的指导。本综述描述了CTP中急性卒中或其他急性神经疾病的临床表现的最常见影像发现。因此,这些图表的知识至关重要,并且应该在放射科医师的培训和继续教育中加以探讨。
1 介绍
在急诊科,对脑血管疾病,特别是缺血性脑卒中的准确影像学解释至关重要。除CT平扫(NECT)外,CT灌注(CTP)和CT血管成像(CTA),或两者的结合,是疑似急性卒中时最常用的成像方式。磁共振成像(MRI)需要更多的时间,成本效益较低,而且并不适用于每一位患者(例如,不适合使用某些类型的心脏起搏器的患者或无法镇静的患者)。相比之下,CT是用于神经科急诊的一线成像方式,因为其广泛的可用性和对急性颅内疾病(如出血或脑卒中)的采集速度。即使在小儿患者中,自动灌注成像也是可行的,并能帮助识别受益于取栓术的患者。
具体来说,CTP产生的容积数据可以充分、快速区分急性缺血性卒中的缺血核心和半影。它还有助于快速检测外周动脉分支闭塞引起的任何灌注障碍,这在CTA上可能难以发现。目前,越来越多的CTP数据的自动甚至半自动后处理算法能够快速分析生成的灌注图,而无需专门的技术或手工后处理。技术隐患包括运动伪影、信噪比差或动静脉输入功能不理想是最常见的问题。每个放射科医生都必须了解它们以及这种方式的局限性。
DEFUSE 3和EXTEND试验提供了证据,证明灌注成像可以应用于急性缺血性卒中患者关于再灌注治疗的分流,而不是传统意义上的 "时间窗 "来进行治疗决策。然而,不同的实体可以模拟急性缺血性卒中的临床症状,因此,对这些病变的识别对每个放射科医生都很重要。快速、明确地分配病理征象和影像学结果是正确诊断的基础。因此,对典型结果和误区的认识对放射科医生做出准确和及时的治疗建议决定至关重要。这篇综述描述了CTP中最常见的影像学检查结果,具有急性神经系统疾病的临床症状。
2 技术
灌注成像的目的是描述毛细血管水平的微观流动。它可以通过静脉注射不穿越血脑屏障的造影剂来进行。随后,快速的连续成像可以观察到造影剂在血管系统的穿越效应。其基本机制是中心容积定理。
给予造影剂后,脑实质的衰减增加与参考动脉和参考静脉进行比较。为了获得动脉输入功能(AIF)和静脉输出功能(VOF),必须由用户手动或用自动或半自动软件定义一个动脉和静脉感兴趣区(ROI)。与扫描平面正交的大血管-如大脑前动脉(ACA)和上矢状窦的背侧部分-有助于最大限度地减少部分容积效应。
脑血容量(CBV)、脑血流量(CBF)、平均通过时间(MTT)和Tmax通常被评估。详细来说,CBV代表成像体素内的血液体积,包括组织和血管内的血液(正常范围为4-5 mL/100 g)。相反,CBF代表单位时间内通过体素的血液总量(灰质的正常范围是50-60 mL/100 g/min,白质的正常范围是20-30 mL/100 g/min)。CBF是由CBV除以MTT的比率来定义的。
半影和不可逆损伤的阈值取决于低灌注的时间和受影响脑实质的体积。早期的一项调查使用了一系列正电子发射断层扫描(PET)研究,在卒中发生后5-18小时,提出半影的阈值约为20 mL/100 g/min,并记录了神经系统的恢复程度可能与最终逃脱梗死的半影体积成比例。在这个时间间隔内,CBF的不可逆损伤的阈值约为8 mL/100 g/min。
此外,Tmax可能是最重要的参数。它反映了造影剂到达近端大动脉和脑实质的每个体细胞之间的时间延迟。它是通过去卷积AIF来计算。在里程碑式的临床试验中,它被用于定义脑实质的低灌注。一些研究确定了Tmax >6s作为预测脑实质组织的阈值。用来确定从取栓术中获益的患者的目标资料包括缺血核心体积(Tmax>6s)<70 mL和严重延迟体积(Tmax >10s)<100 mL。如果血管闭塞的患者符合这些标准,那么取栓术似乎有可能带来好处。表1给出了这些参数的其他概述。
表1 CTP中不同参数的概述
MTT被定义为造影剂的所有分子在脑容积内的平均(平均)通过时间,以秒为单位测量。一个由脑卒中成像专家组成的大型国际共识小组推荐的最小组织覆盖范围为4-8cm。通常,CTP后处理采用最大斜率(MS)或去卷积(DC)方法的一个变种,对基于体素的时间衰减曲线进行建模。MS的计算是基于每个体素受动脉血流和组织本身影响的曲线下的面积。在这种情况下,许多因素可以改变动脉血流的时间轮廓(例如,低心输出量、颈动脉狭窄或与注射有关的特征)。DC模型可以细分为奇异值分解(SVD)、延迟和色散校正的奇异值DC(dd-SVD)以及贝叶斯方法。具体来说,dd-SVD或贝叶斯估计模型产生的动脉延迟时间与SVD模型得出的Tmax相反。使用不同的模型会导致基于DC算法的核心区和半影区的测量变化。
计算模型以及参数卡的优势和劣势在不同的供应商之间有所不同。灌注图可以在短时间内通过配备适当软件的工作站手动生成;另外,也有半自动或全自动的方法。除此以外,临床上常用的软件是灌注和弥散的快速处理(RAPID)软件,它可用于评估基于MRI的灌注和CTP扫描。RAPID软件已被用于一些里程碑式的研究,并已被美国食品和药物管理局(FDA)批准。本文中的灌注图是用syngo.via(VB40B版本)应用程序 "syngo Volume Perfusion CT Neuro"(Siemens Healthineers, Erlangen, Germany; https://www.siemens-healthineers.com/de-ch/computed-tomography/options-upgrades/clinical-applications/syngo-volume-perfusion-ct-neuro, accessed on 25 January 2023)生成。这项工作的所有扫描及其评估都是用西门子SOMATOM Definition AS+或西门子SOMATOM Edge Plus CT扫描仪进行的,扫描长度可达90 mm(Siemens Healthineers, Erlangen, Germany)。
CTP阈值对于确定灌注未受影响的正常未受影响的组织、梗死核心和半影是必要的,也是对不同区段所获结果的量化。Wintermark等人的研究表明,与正常对侧组织相比,MTT升高至少145%是界定危险组织的最佳手段。然而,Kamalian等人表明,精确的阈值变化很大,特别是取决于后处理技术。文献的现状尚未得到确凿的澄清。
灌注图可以从CBF、CBV和MTT值的彩色编码表示中得出。通过结合这些参数以及其他衍生因素,如Tmax和TTP,可以获得超出直接从CTA估计的详细和空间分辨率的灌注指标。因此,TTP 可以替代 Tmax,以避免 AIF的选择问题。在急性缺血性卒中中,梗死区的典型特征是MTT延长并伴有CBV和CBF下降。根据 Monro-Kellie 学说,颅内压的每一次变化都可能导致脑组织质量、CBV 和 CBF 的变化。半影区通常表现为MTT和TTP的延长,因为CBV正常到增加时血流较慢。在自我调节机制持续存在的情况下,CBV可以因为血管扩张而增加,试图保持CBF恒定。在有标志的梗死区,这种自动调节机制已经丧失。
缺血性卒中可引起血管性水肿和灰白质分化的丧失(GWD),这是NECT的一个典型标志。通过半自动化过程,甚至可以从NECT成像中计算出半定量的Alberta Stroke Program Early CT Score (ASPECTS),它代表了用于大脑中动脉(MCA)闭塞患者的10分地形CT扫描评分。在决定静脉溶栓时,ASPECT已经被证明是相关的,当时的方法还仅限于3小时的时间窗。当时,ASPECTS≤7被定义为假定患者功能依赖的阈值。
甚至脑外病变也会引起脑内灌注的变化。例如,根据补偿机制,颈内动脉近端慢性狭窄可导致MTT和TTP延长,CBV和CBF下降。另外,在发作活动的急性期,CBF和CBV的增加可以作为对代谢需求增加的血管扩张反应的标志。表2显示了不同病变及其特征性成像结果的概况。
表2 不同病变的概述及其特征性的成像结果。↓减少,↑增加,-无变化。
3 影像学检查结果CTP的典型影像学表现可细分为缺血性卒中和非卒中性疾病。非卒中疾病可包括不同的实体,包括代谢(如低血糖)、血管(如血管炎或血管痉挛)、肿瘤(如转移)、感染(如脑脓肿)和炎症(如脑膜炎)。急性缺血性卒中的其他重要鉴别诊断是其他神经系统疾病,如偏头痛或癫痫发作。
3.1 急性幕上型卒中
目前的一项荟萃分析显示,CTP在检测急性缺血性卒中方面比NECT更准确,与CTA相似。在这项荟萃分析中,CTP对急性缺血性卒中的集合敏感性为82%,特异性为96%。在这种情况下,梗死的范围和大小(如通过弥散加权MRI测量)可以影响CTP的敏感性和特异性。Hana等人发现,当梗死面积超过3 cm2时,CTP的敏感性更高(90% vs. 29%,P < 0.001)。据此,美国国立卫生研究院卒中量表(NIHSS)平均分为8.3分的患者,CTP的敏感性高于NIHSS评分为4.4分的一组(100% vs. 42.6%)。
Tan等人的研究表明,CTA源图像在检测闭塞部位方面比CTP表现更好(敏感性,94.6%;特异性,100.0% vs. 敏感性,88.2%;特异性,95.3%);然而,灌注图在预测最终梗死的解剖分布方面更有优势(敏感性,80. 4%;特异性96.8%;vs. 敏感性72.0%;特异性98.4%);但必须考虑到该研究中55名患者中有48名是在MCA区域内发生的梗死。然而,尽管CTA在检测高度脑动脉狭窄方面有优势,但CTP在检测脑缺血和梗塞组织方面有更高的特异性,两者结合可对急性卒中进行准确评估。在MRI和CT成像的直接比较中,无论液体衰减反转恢复(FLAIR)的分界线如何,CTP的MTT图在预测MRI的弥散受限方面有较高的特异性(91.8%),但敏感性较差(40.0%)。尽管如此,关于急性卒中的再灌注治疗,MRI和CTA/CTP联合检查可以得出相当的治疗决策。
然而,CTP对急性腔隙性卒中(约50%的假阴性病例)和梗死面积在3cm2以下的皮质和皮质下小卒中的诊断作用有限。血管造影室的平扫CT(FD-CT)成像可以呈现锥束CT图像,在急性卒中的介入神经放射学中具有额外价值。急性缺血性卒中患者的侧枝状态是良好预后的重要指标。在这种情况下,灌注成像有可能同时评估局部灌注和侧支循环状态。
在急性缺血性卒中患者中,脑外膜侧枝血流有可能维持缺血区的血液供应。因此,侧枝状态可能与有利的结果相关。旁路能力可以用几种成像方式评估,包括CTA,它被用来根据血栓远端动脉的造影剂填充情况间接评估旁路状态。
图1、图2、图3和图4给出了急性幕上卒中的例子。图5是一个恶性右侧MCA梗死的随访检查。
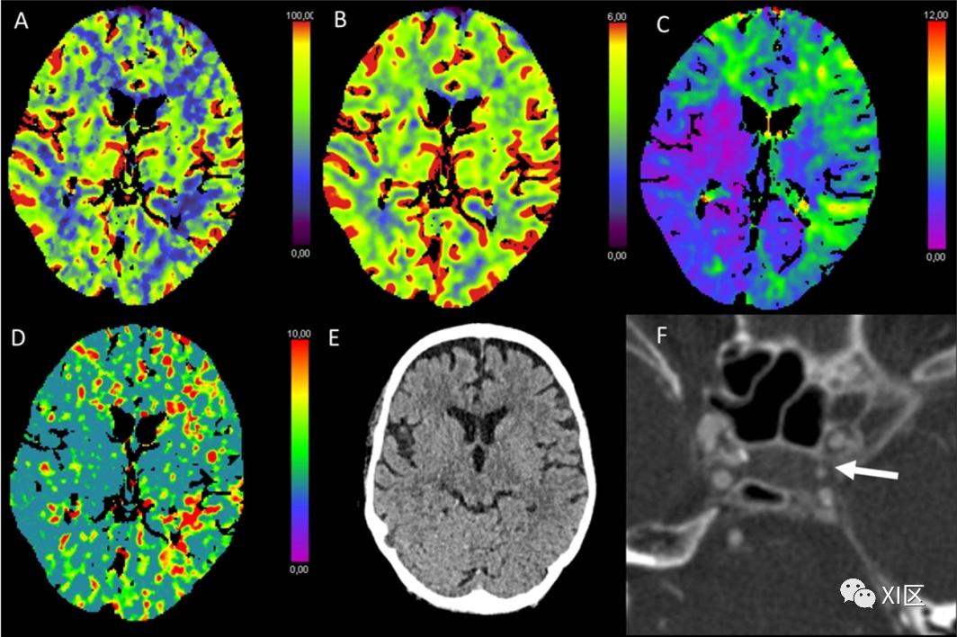
图1 脑部CTP产生的彩色编码图:(A)脑血流量量(CBF)[mL/100 g/min],(B)脑血容量(CBV)[mL/100 g],(C)Tmax [s],以及(D)平均通过时间(MTT)[s]。(E)CT平扫(NECT)和(F)动脉CT血管成像(CTA)。该患者接受了心导管检查,以关闭房间隔缺损。之后,该患者出现了左侧偏瘫。NECT显示灰白质分化略有减少。在右侧的大脑中动脉(MCA)区域,CBF和CBV降低,Tmax和MTT延长。CTA显示右侧颈内动脉远端闭塞。
图2 脑部CTP生成的彩色编码图:(A)脑血流量(CBF)[mL/100 g/min],(B)脑血容量(CBV)[mL/100 g],(C)Tmax [s],以及(D)平均通过时间(MTT)[s]。(E)NECT和(F)动脉CT血管成像(CTA)。该患者在经导管主动脉瓣植入术(TAVI)后出现了左侧的暗区。在NECT图像上,只有大脑皮层有轻微的低密度改变,右枕部皮层有轻微的脑肿胀。CTP显示该区域的CBF和CBV降低,Tmax和MTT延长。CTA图像上没有发现明显的血管闭塞。
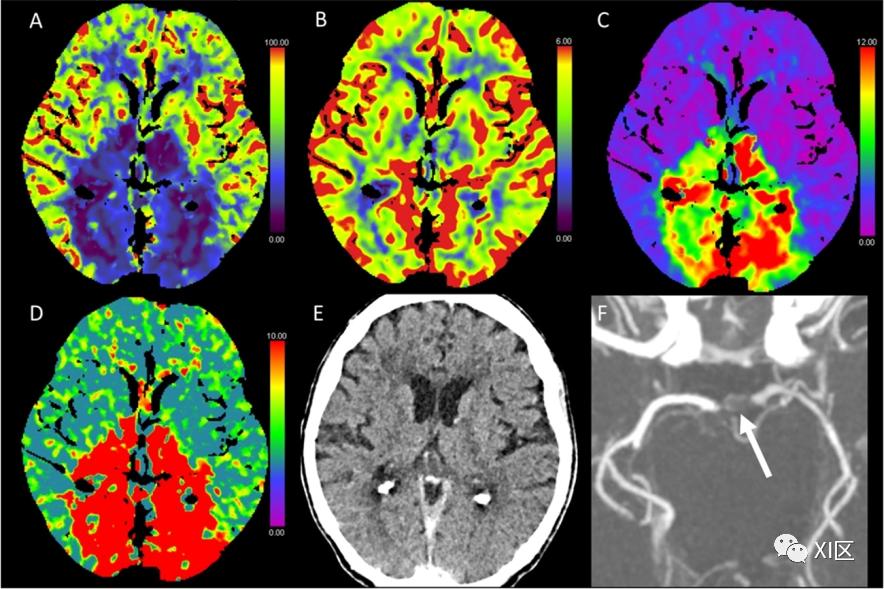
图3 脑部CTP生成的彩色编码图:(A)脑血流量(CBF)[mL/100 g/min],(B)脑血容量(CBV)[mL/100 g],(C)Tmax [s],以及(D)平均通过时间(MTT)[s]。(E)NECT和(F)动脉CT血管成像(CTA)最大密度投影(MIP)图像。该患者在经导管主动脉瓣植入术(TAVI)后出现异物感并昏迷。在NECT图像上,没有发现脑实质的缺血性改变。CTP发现CBF强烈降低,CBV正常,导致Tmax和MTT强烈延长,这与急性缺血事件相一致,表明有一个大的半影,没有环形的缺血核心。CTA显示基底动脉顶端有血栓性闭塞。
图4 脑部CTP产生的彩色编码图:(A)脑血流量(CBF)[mL/100 g/min],(B)脑血容量(CBV)[mL/100 g],(C)Tmax [s],以及(D)平均通过时间(MTT)[s]。(E)NECT和(F)动脉CT血管成像(CTA)。该患者表现为左侧面瘫、失语和右臂瘫痪。NECT显示左侧基底神经节区域开始出现低密度分界,并有轻微肿胀。CBF减少,CBV仅部分减少,Tmax和MTT部分延长,表明是急性梗塞。在CTA检查中,大脑中动脉(MCA)的下动脉主干出现闭塞,这解释了左侧颞叶的Tmax轻微延长。
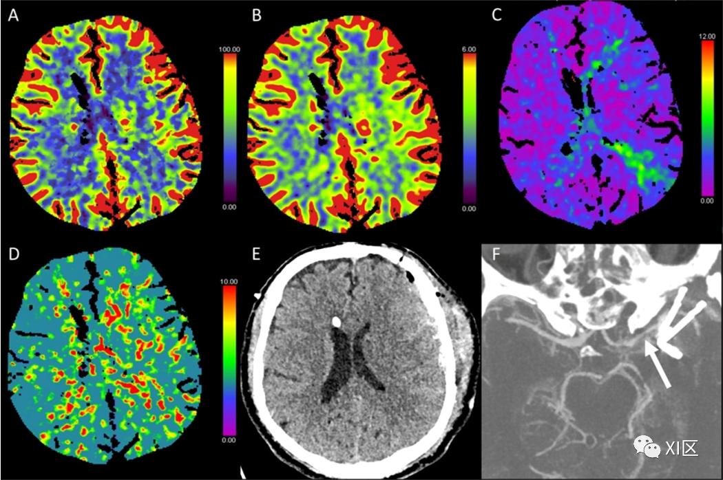
图5 脑部CTP产生的彩色编码图:(A)脑血流量(CBF)[mL/100 g/min],(B)脑血容量(CBV)[mL/100 g],(C)Tmax [s],以及(D)平均通过时间(MTT)[s]。(E)NECT和(F)动脉CT血管成像(CTA)。本检查是为治疗恶性右脑中动脉(MCA)梗塞而进行的右侧半身切除术后的随访。NECT显示右脑中动脉(MCA)区域内的低密度改变和脑部肿胀,灰白质分化消失,表明该区域有广泛的缺血分界。正如预期,CBF和CBV严重下降,Tmax和MTT延长。CTA显示梗死区的血管对比度降低和血管稀疏。3.2. 急性后颅窝梗塞
CTP的应用最常被描述为适用于幕上缺血性卒中的患者。最常见的是,CTP检查的重点是基底节水平,因为它包含了ACA、MCA和大脑后动脉(PCA)的代表性区域,而上面和下面的区域只扫描了几个较厚的层面。CTP扫描的覆盖范围有限,可能会导致忽视后颅窝梗死,尤其是当之前的神经系统检查和信息不一定能准确地指向这一血管区域时。
在这种情况下,必须考虑不同的方面。首先,后颅窝梗塞可能很小,在CTP上可能检测不到,因为聚焦于基底节的视野很小,尤其是老式CT扫描仪。第二,来自颞骨的线束硬化伪影可能会降低图像质量,尤其是脑干图像。第三,通过后颅窝的CTP切片的视野定位通常会导致晶状体的照射,增加白内障的确定性风险。尽管如此,此前关于后循环脑卒中的工作报告,使用CTP的敏感性为76.6%,特异性为92.4%。
然而,由于上述CTP在技术和解剖上的局限性,特别是在小面积梗死方面,MRI被认为优于CTP。患者可在急性期出现非特异性症状,如眩晕或恶心。图6和图7给出了急性后颅窝脑梗塞的例子以及CTP检测的困难。
图6 脑部CTP产生的彩色编码图:(A)脑血流量(CBF)[mL/100 g/min],(B)脑血容量(CBV)[mL/100 g],(C)Tmax [s],以及(D)平均通过时间(MTT)[s]。(E)NECT和(F)扩散加权磁共振成像(MRI)在第二天进行。该患者在经导管主动脉瓣植入术(TAVI)后出现了手臂肌阵挛(尤其是左侧)、嗜睡和高血压。在NECT图像上,看不到明显的分界线或脑部肿胀。在CTP图上,左小脑半球的CBF降低,CBV正常,Tmax正常至轻微延长,MTT明显延长,表明后颅窝内有急性梗塞。然而,CTA上没有发现血管闭塞。与CTP的发现相反,第二天进行的MRI扫描显示左侧小脑半球有小的弥散限制,右侧有较大的弥散限制,表明双侧半球急性缺血性损伤。
图7 脑部CTP产生的彩色编码图:(A)脑血流量(CBF)[mL/100 g/min],(B)脑血容量(CBV)[mL/100 g],(C)Tmax [s],以及(D)平均通过时间(MTT)[s]。(E)NECT和(F)动脉CT血管成像(CTA)。该患者在经导管主动脉瓣植入术(TAVI)后出现了视力模糊、运动失语和吞咽困难。在NECT图像上,右侧小脑上半球有轻微的低密度改变和肿胀,表明有急性梗塞。在CTP图上,CBF和CBV降低,Tmax和MTT延长。CTA显示右侧小脑上动脉缺失,在左侧部位是双倍的。这表明是完全闭塞,特别是考虑到该血管的增生非常罕见。3.3 全身缺氧缺血性损伤/脑死亡
心脏骤停是一个众所周知的全脑缺血的原因。在这方面,CTP已被应用于确认整体缺氧缺血性损伤或脑死亡后,在一些研究中证明了脑实质灌注的缺失。根据Monro-Kellie假说,颅内压升高会导致脑灌注减少,最后停止。毛细血管水平是脑循环停止的第一个地方,可以通过CTP观察到。可以观察到颅内动脉和静脉没有出现强化的情况。
在这种情况下,脑循环停止的最早迹象是大脑内深静脉和大脑大静脉没有强化。这一发现在CTA中诊断脑循环停滞的敏感性为98-100%。脑动脉环对比度缺失是脑循环停滞的一个不太敏感的指标,然而显示的敏感性为86-100%。
在文献中,CTA和CTP之间的相互矛盾的结果被描述为高达15%,CTA有时显示一些持续的颅内血流,而CTP显示脑灌注完全缺失。图8提供了一个例子。
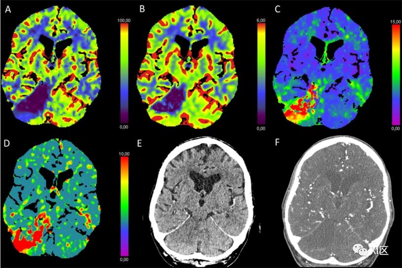
图8 脑部CTP产生的彩色编码图:(A)脑血流量(CBF)[mL/100 g/min],(B)脑血容量(CBV)[mL/100 g],(C)Tmax [s],以及(D)平均通过时间(MTT)[s]。(E)NECT和(F)动脉CT血管成像(CTA)。除了颅骨骨折和蛛网膜下腔出血外,NECT显示大脑普遍肿胀,灰白质分化消失,脑脊液空间因普遍脑水肿而严重减少。根据CTP,没有检测到CBF或CBV。在CTA上,颅内动脉的造影剂仍然可见,但在静脉中几乎无法识别。CTP的时间衰减曲线显示,这并不是技术故障或方法问题的结果:动脉曲线有规律的增加(红线),但静脉曲线有一个平台(蓝线),很可能是由于缺乏实质的脑灌注(右半球:亮绿线;左半球:深绿线)。建议结合CTP和CTA,可以减少假阴性结果的数量(特别是单独使用CTA时)。造影剂停滞可能影响CBF和CBV图的ROI测量,所有的定量分析都应仔细评估。
3.4 脑血管解剖学变化
Willisii动脉环经常出现解剖学变化,在影像学解释中必须考虑到这一点。后交通动脉(PCA)的变化可导致灌注成像得出的血流动力学参数的不对称性。在每个病例中,必须与CTA上的个别解剖学考虑相关联。特别是,如果胎儿的PCA存在于一侧,可能会导致不对称,这是有问题的。颅外颈动脉和颅内近端颈动脉狭窄,即使没有脑缺血,也可能导致狭窄动脉供血区域的血流动力学上的MTT值延长。图9显示了一个脑血管解剖学变化的例子。
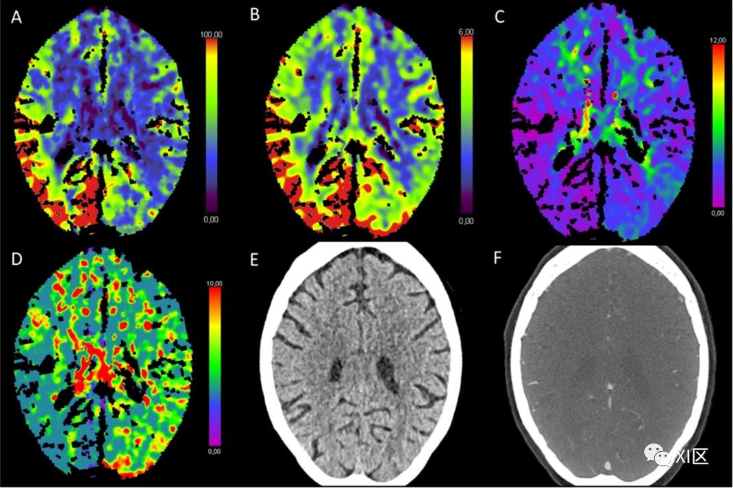
图9 脑部CTP产生的彩色编码图:(A)脑血流量(CBF)[mL/100 g/min],(B)脑血容量(CBV)[mL/100 g],(C)Tmax [s],以及(D)平均通过时间(MTT)[s]。(E)NECT和(F)动脉CT血管成像(CTA)。左侧大脑半球和右侧额叶的CBF略微减少,CBV正常,Tmax和MTT延长,表明该区域的血液供应延迟。在NECT上没有看到缺血性的分界。在CTA上发现左侧颈内动脉海绵段的高度狭窄(箭头)和大脑前动脉(ACA)的A1段增生。该患者表现为右侧偏瘫,持续数小时。3.5 伴有分水岭/边界区梗塞的低血压性脑梗塞(HCI)
边界区梗塞占所有梗塞的10%-12%,是缺血性病变的一个重要亚群,通常可以通过其典型位置来识别或更好地描述。血管闭塞、狭窄或心输出量急剧减少引起的脑灌注压降低导致这种边界区梗塞。可以区分两个亚型:灰白质交界处皮质的边界区梗塞,通常是在两个远端动脉区域汇合处的主要动脉区域之间,以及穿刺动脉之间的深层白质梗塞。
在CTP图上,通常在受损区域的CBV有轻微甚至明显的增加,CBF减少或维持,这是通过侧支循环进行血流补偿的间接标志。在MTT图上最容易发现灌注障碍。图10中显示了一个例子。
图10 脑部CTP产生的彩色编码图:(A)脑血流量(CBF)[mL/100 g/min],(B)脑血容量(CBV)[mL/100 g],(C)Tmax [s],以及(D)平均通过时间(MTT)[s]。(E)NECT和(F)动脉CT血管成像(CTA)。该患者接受了左侧颈动脉取栓术,并新出现了右臂瘫痪。在NECT上,没有发现任何变化。CTP图显示CBF下降,CBV仅轻微下降,左半球顶枕部边界区的Tmax和MTT延长,表明分水岭区的灌注受限。在CTA上,手术部位内发现颈动脉有血栓沉积(白色箭头),导致约50%的血管狭窄。因此,由于临床上发现有瘫痪现象,患者立即接受了更换血管补片的修复手术。3.6 血管痉挛
大脑血管痉挛是创伤性或非创伤性蛛网膜下腔出血患者的常见并发症。血管痉挛可引起延迟性脑缺血(DCI),并伴有神经系统和认知能力的障碍。除了CTA和DSA,当灌注图被目测评估时,从CTP得出的定量参数可能足以识别血管痉挛。在这种情况下,血管痉挛通常会导致低灌注模式,与MTT和TTP的增加有关。相反,CBF和CBV可能正常、增加或减少,取决于血管痉挛的严重程度。血管痉挛的程度可能与灌注缺失相关。Voldby等人发现,严重的弥漫性血管痉挛,定义为动脉口径减少超过50%,与区域CBF的明显减少有关。Hattingen等人的研究表明,区域CBV随着血管痉挛程度的增加而减少,并与区域CBF的减少相关。在有血管痉挛的地区,区域CBV缺乏增加以维持CBF,这表明脑自动调节功能的丧失。
总的来说,根据一项荟萃分析,在动脉瘤性蛛网膜下腔出血的情况下,CTA和CTP对血管痉挛检测的诊断准确性最高。CTA检测血管痉挛的灵敏度和特异性的总体范围分别为63%-98%和90%-98%。同样,CTP的敏感性和特异性的总体报告范围分别为58%-95%和86%-100%。该研究没有分析CTA和CTP组合的敏感性和特异性。图11中给出了一个血管痉挛的例子。
图11 脑部CTP产生的彩色编码图:(A)脑血流量(CBF)[mL/100 g/min],(B)脑血容量(CBV)[mL/100 g],(C)Tmax [s],以及(D)平均通过时间(MTT)[s]。(E)NECT和(F)动脉CT血管成像(CTA)最大密度投影(MIP)图像。该患者接受了左侧大脑中动脉(MCA)近端动脉瘤破裂的切除手术,6天后出现失语和嗜睡。在NECT上看到的蛛网膜下腔出血和左侧的轻微脑水肿,已经从早期的影像检查中得知。CTA显示左侧MCA变窄(白色箭头),表明有血管痉挛。CTP显示左半球CBF/CBV不匹配,左半球边界区的Tmax略有延长。3.7 偏头痛
偏头痛和丛集性头痛都会影响血管的行为以及脑灌注:脑动脉可以改变其直径并直接影响脑灌注。偏头痛可导致对氧气和葡萄糖的需求增加,随之而来的是局域脑灌注的增加。
在偏头痛的急性先兆期和无先兆偏头痛的发作期,患者可以在CTP图上显示低灌注,因此可以错误地认为是缺血事件。Olesen等人描述了先兆期CBF的初始降低,随后头痛时CBF从异常低值变为异常高值。
在Floery等人的研究中,70%的病人发现灌注异常。他们推测,如果存在偏头痛先兆,经常会观察到灌注异常。在所有病例中,患者都是在偏头痛先兆期接受检查的,当时登记的是没有头痛的神经功能障碍,没有发现灌注过度。一些已发表的研究报告了高灌注;但是,只在症状发生后6-24小时的头痛阶段。
3.8 过度灌注(Luxury Perfusion)
过度灌注是指脑组织代谢率和需氧量过高的脑血流量状态,CBV和CBF几乎正常或略有增加。据报道,到缺血性卒中后48小时,多达三分之一的患者会出现这种情况。在静脉或血管内再灌注治疗的患者中,其发生率(48%)高于未接受治疗的患者(16%)。在慢性情况下,狭窄或闭塞的脑血管再灌注后的患者也会出现脑过度灌注。过度灌注指的是在脑血管自动调节功能丧失的情况下,CBF超过氧气需求的情况,梗塞组织无营养性流动。另一种理论是基于自由基的损害,自由基可引起血管扩张或增加脑血管的通透性。第三,讨论了由于血管成形术、支架置入或动脉内膜切除术导致的颈动脉体的气压感受器崩溃。
有几种与脑过度灌注有关的并发症,如脑水肿、癫痫发作或出血,可在临床上或通过影像学检测。由于过度灌注可能在早期阶段被逆转,所以早期诊断很重要。特别是水肿是可逆的,但如果出现出血性转变,预后会变差,因为高达30%的病人至少仍有部分残疾,死亡率高达50%。颅性高血压的管理包括血压监测和降压药。降压治疗的持续时间尚不清楚,关于这些患者的目标血压也没有明确的指南。总之,文献中建议谨慎监测血压至少1个月,以恢复脑自律调节。
3.9 静脉血栓
急性脑深静脉窦血栓形成是一种罕见的脑卒中。由于它的临床表现多种多样,确立正确的诊断很有挑战性。年轻女性更为常见,可能与怀孕或使用激素避孕药有关。最近,也有人认为脑静脉窦血栓形成与Ad26.COV2.S疫苗接种后血小板减少有关。静脉血栓可以引起静脉充血梗塞,有或没有出血成分。在脑静脉血栓患者中,随访影像学中没有脑卒中的证据,发现MTT增加而CBV保持不变。然而,由于静脉系统无法排出受影响的脑实质,CBV可能增加。最重要的CTP衍生的影像学线索是异常MTT和CBV相对于静脉血管区域的分布,以及与CTA扫描中的静脉进行必要的比较。
Doege等人使用基于MRI的灌注成像,并将灌注缺失与弥散加权图像上的变化进行比较。研究认为,在CBV没有变化的情况下,MTT的增加可能表明可逆的实质变化,类似于半影区。Gupta等人的研究表明,病变核心区和周边区的相对CBV的数值范围相似。在他们的研究中,ROC分析提出了相对CBF>60.5%、相对CBV>75.5%和rMTT<148.5%的最佳阈值。
Mokin等人的结果表明,CBV和CBF值可能被证明有助于区分局灶性可逆变化(如血管性水肿)和梗塞引起的不可逆变化。具体来说,CBV和CBF降低,MTT在病变的核心和外围都延长了。使用MRI的研究表明,由水肿或梗塞引起的局灶性改变只在25-50%的受影响患者中发现。基于CT和MRI的静脉造影检查都适用于评估急性静脉血栓的诊断。特别是在MRI上,静脉血栓的模拟物可以是血流间隙、解剖学上的变异以及作为填充缺陷出现的大块蛛网膜颗粒。
3.10 发作后卒中模拟病(Postictal Stroke Mimics)
癫痫发作的临床表现是多变的,有时很难与缺血性卒中相区别。由于癫痫活动,可以识别不同的影像学结果:发作期、发作后或发作间期可以区分不同的结果,有时甚至相反。发作期CTP通常表现为MTT下降,CBF和CBV增加,与高血压状态一致。然而,在发作后阶段,灌注模式可与缺血性卒中重叠,包括低灌注。Van Cauwenberge等人的研究表明,发作后患者在早期CTP上既可以表现为正常灌注(64%)、低灌注(21%)或高灌注(14%)。结果显示,CTP可以区分高灌注的发作性卒中模拟病患者和急性缺血性卒中,但不能区分显示灌注模式与缺血性卒中重叠的发作后患者。通常情况下,与癫痫发作有关的灌注改变并不对应于动脉血管区域,因此,与脑卒中的区分应该是可能的。此外,对9名患者的研究表明,与癫痫发作有关的异常往往涉及皮质灰质,而白质大多不受影响。图12给出了一个发作后卒中模拟病的例子。
图12 脑部CTP产生的彩色编码图:(A)脑血流量(CBF)[mL/100 g/min],(B)脑血容量(CBV)[mL/100 g],(C)Tmax [s],以及(D)平均通过时间(MTT)[s]。(E)NECT和(F)动脉CT血管成像(CTA)。这名已知有癫痫病的患者因左侧偏瘫而被转诊到医院。在NECT和CTA上没有发现任何变化。右侧枕叶和顶叶的CBF和CBV增加,Tmax和MTT降低,并有所述的临床表现,这表明有抽搐事件。3.11 技术隐患
运动伪影、信噪比差或动脉和静脉输入功能不理想被描述为CTP最常见的技术陷阱。每个放射科医生都必须意识到这些问题和该模式的局限性。根据我们的临床经验,大多数缺陷已经被具有血管识别或运动校正等功能的自动后处理软件工具解决了。然而,有时也需要进行额外的人工后处理。图13概述了一个技术问题的例子,这个问题已经通过事后的人工修正得到解决。
图13 (A,B):不同时间点同一位置的大脑CTP。(C)自动后处理软件生成的CTP的最大密度投影(MIP),(D)手动后处理生成的CTP的MIP。(E-H):由自动后处理软件生成的CTP的彩色编码图:(E)脑血流量(CBF)[mL/100 g/min],(F)脑血容量(CBV)[mL/100 g],(G)平均通过时间(MTT)[s],和(H)Tmax [s]。(I-M):通过手动后处理从CTP生成的彩色编码图:(I)CBF[mL/100 g/min],(K)CBV[mL/100 g],(L)MTT[s],和(M)Tmax [s]。由于严重的运动伪影(B),自动后处理软件算法产生的灌注图在这个示例性的病人案例中不能用于诊断目的。在人工后处理步骤中,排除了有运动伪影的成像时间点。结果人工生成的灌注图(I-M)是可用的,显示出正常的脑灌注。4 结论
在急诊放射科,有许多疾病可以模拟急性卒中。疾病的范围很广,有些情况很容易诊断,而有些病例则很有挑战性。在CTP中对这些病变的印象深刻的影像学发现是很重要的。我们介绍了几个急性卒中的病例,其模仿者,以及他们的典型表现。因此,对这些图像的了解对放射科医生来说至关重要,在培训和进一步教育中也应涉及。这篇图解性综述应该有助于放射科医生对脑部病变的诊断和评估。放射科医生应了解不同的可用成像方式,它们的优势、局限性和潜在的陷阱。
更多干货,关注XI区!
文献原文:Haggenmüller B, Kreiser K, Sollmann N, Huber M, Vogele D, Schmidt SA, Beer M, Schmitz B, Ozpeynirci Y, Rosskopf J, Kloth C. Pictorial Review on Imaging Findings in Cerebral CTP in Patients with Acute Stroke and Its Mimics: A Primer for General Radiologists. Diagnostics (Basel). 2023 Jan 26;13(3):447. doi: 10.3390/diagnostics13030447.
仅供专业人士交流目的,不用于商业用途。
2023年3月24日
本文为澎湃号作者或机构在澎湃新闻上传并发布,仅代表该作者或机构观点,不代表澎湃新闻的观点或立场,澎湃新闻仅提供信息发布平台。申请澎湃号请用电脑访问http://renzheng.thepaper.cn。





- 报料热线: 021-962866
- 报料邮箱: news@thepaper.cn
互联网新闻信息服务许可证:31120170006
增值电信业务经营许可证:沪B2-2017116
© 2014-2026 上海东方报业有限公司




