- +1
如何通过影像进行卒中分型?一文理清
原创 郭艳娇 医学界神经病学频道
*仅供医学专业人士阅读参考
脑梗病因分型和发病机制,垒实基础
撰文 | 郭艳娇
脑梗死又称缺血性卒中,是指脑部血液循环障碍,缺血、缺氧所致的局限性脑组织的缺血性坏死或软化。同样都是脑梗死,原因不同,治疗原则也不完全相同,疾病转归也不同。因此,脑梗死的病因分型及发病机制对缺血性脑卒中的临床治疗选择及预后判断有重要意义。
病因分型
TOAST分型:1993年由美国学者制定,被国际广泛认可,其发布具有划时代的意义。首次传递了一个重要信号,即缺血性卒中不是一个病,而是一个综合征。其次,强调了辅助检查的重要性,奠定了不同的卒中亚型将采取完全不同的二级预防策略。
图1[1] TOAST分型该分型曾风靡一时,该分型中没有发病机制分型,大动脉粥样硬化型过于严格,小动脉闭塞型过于宽松,当严格按照TOAST分型评估时会发现临床中不明原因的分型过多。介于以上这些缺点,多国学者提出了本国的改良版脑梗死病因分型。
表1缺血性卒中病因分型的主要类型
CISS分型:是2011年由我国的王拥军教授联合高山教授等学者牵头提出的,对TOAST分型的缺点进行了改良,并在大动脉粥样硬化型病因中提出了发病机制分型,该分型中没有小动脉闭塞型,而是穿支动脉疾病,两者是完全不同的。
图2[2] CISS分型
图3 缺血性卒中病因分型[3]一、CISS分型中病因为大动脉粥样硬化的发病机制包括:载体动脉(斑块或血栓)阻塞穿支动脉、动脉-动脉栓塞、低灌注/栓子清除率下降以及混合机制。
(1)载体动脉(斑块或血栓)阻塞穿支动脉
穿支动脉分布区的急性孤立梗死灶,载体动脉存在斑块或任何程度狭窄的证据。例如,发生在基底节区的急性孤立梗死灶,在同侧MCA分布区不存在其它急性梗死病灶;或者在脑桥发生的急性孤立梗死灶,而在基底动脉供血区内不存在其他急性梗死病灶。该急性孤立梗死灶推断是甶载体动脉的斑块突出后堵塞了穿支动脉的血流所致。
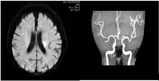
图4 左侧基底节区急性孤立性梗死灶,同侧MCA狭窄(图源 作者提供)
图5 脑梗死发病机制示意图[3](2)动脉-动脉栓塞
影像学上显示在粥样硬化的颅内外大动脉分布区内的皮层小的梗死灶或单发的区域性梗死灶。在该病变血管分布区内不存在与之相关的分水岭区梗死。如果病灶为多发,或者虽为单一梗死病灶但在TCD上发现微栓子信号,则该诊断可以明确。但是,即使皮层梗死病灶为单发或者虽有流域性梗死,但TCD未发现微栓子信号也可以诊断动脉-动脉栓塞。
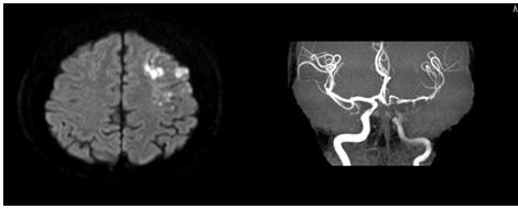
图6 左侧MCA供血区皮层多发急性梗死灶,左侧MCA无严重狭窄,左侧ICA末端重度狭窄(图源 作者提供)
图7 脑梗死发病机制示意图[3](3)低灌注/栓子清除下降
此类机制的梗死病灶仅位于分水岭区。在病变血管分布区内没有急性皮层梗死灶或区域性梗死灶。与临床症状相对应的颅内或颅外血管狭窄程度通常> 70%,伴有或不伴有低灌注或侧支代偿不好的证据。
图8 左侧MCA狭窄基础上低灌注/栓子清除率下降所致分水岭梗死(图源 作者提供)(4)混合机制
上述2种或2种以上机制同时存在。
二、心源性
急性多发梗死灶,双侧前循环/前后循环;有心源性卒中证据;无相应颅内外大动脉粥样硬化证据;无其他病因(血管炎、凝血异常、肿瘤栓塞等);如排除主动脉弓粥样硬化,为肯定的心源性,如不能排除,为可能的心源性。
表2 潜在的心脏栓塞源 (源自 唐伟教授教授《如何通过影像进行急性缺血性脑卒中TOAST分型》)

图9 头部MRI示左侧额叶、双侧顶叶多发急性脑梗死病灶,MRA正常;经食道超声提示卵圆孔未闭(图源 作者提供)
图10 桥脑、双侧小脑半球多发急性脑梗死灶,结合患者房颤病史,考虑为心源性栓子堵塞基底动脉的终末端,引起双侧大脑后动脉和小脑上动脉梗死的基底动脉尖综合征(图源 作者提供)三、穿支动脉病变——粥样硬化/小动脉纤维玻璃样变导致的穿支动脉区孤立梗死灶
只要是与临床症状吻合的发生在穿支动脉区的急性孤立梗死灶,不考虑梗死灶大小,载体动脉无粥样硬化斑块或任何程度狭窄。
图11 左侧基底节区急性脑梗死,左侧MCA无明显狭窄,考虑为穿支动脉病变(图源 作者提供)
图12 桥脑偏右侧急性梗死灶,基底动脉无严重狭窄,考虑为旁正中支病变(图源 作者提供)
图13 脑梗死发病机制示意图[3]四、其他病因
血管性相关疾病:脑动脉夹层、烟雾病;感染性疾病:脑膜炎、巨细胞病毒;
遗传性疾病:遗传性易栓症;血液系统疾病:红细胞增多症;血管炎:SLE 、白塞病等……
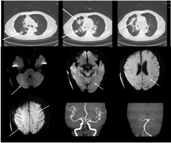
图14 胸部CT示右肺多发占位性病变;头部MRI示双侧额顶叶、左侧颞枕叶及右侧小脑多发脑梗死;MRA示左侧大脑后动脉P1远端重度狭窄或闭塞(图源 作者提供)头部核磁提示三流域(双侧前循环和后循环)均存在DWI高信号的急性多发小灶性脑梗死,病灶呈播散性而非单一动脉供血区,显然用左侧大脑后动脉狭窄不能解释。特鲁索综合征:恶性肿瘤病史+D二聚体升高+三个或三个以上血管供血区急性脑梗死+头颈部责任血管无明显狭窄。
五、原因不明
未发现能解释本次缺血性卒中的病因
多病因共存:发现两种以上病因,难以确定哪一种与本次卒中有关;
无确定病因:未发现确定的病因,或有可疑病因但证据不够强,需更深入检查;
检查欠缺:常规血管影响或心脏检查都未能完成,难以确定病因。
两种分型区别:
两种分型的区别主要在哪几个方面?
↓↓↓ 扫描下方二维码,点击置顶文章 ↓↓↓
参考文献:
[1] Adamas HP,et al. Stroke. 1993;24(1):35-41.
[2] Gao S. et al. Front Neurol. 2011;2:6.[2]
[3] 唐伟教授课程《如何通过影像进行急性缺血性脑卒中TOAST分型》
责任编辑丨织星
* "医学界"力求所发表内容专业、可靠,但不对内容的准确性做出承诺;请相关各方在采用或以此作为决策依据时另行核查。
本文为澎湃号作者或机构在澎湃新闻上传并发布,仅代表该作者或机构观点,不代表澎湃新闻的观点或立场,澎湃新闻仅提供信息发布平台。申请澎湃号请用电脑访问http://renzheng.thepaper.cn。





- 报料热线: 021-962866
- 报料邮箱: news@thepaper.cn
互联网新闻信息服务许可证:31120170006
增值电信业务经营许可证:沪B2-2017116
© 2014-2026 上海东方报业有限公司




