- +1
儿医小课堂 76 | 这两个不良口腔习惯或导致孩子口面部发育异常
近期社交平台上某明星晒出自己孩子的照片后,引发了网友对于“腺样体面容”的讨论。当前,孩子的“颜值”越来越为家长所关注,在呼吸科门诊也经常会遇到家长,让医生看看自己的孩子是否存在“腺样体面容”。婴儿期后,持续的口腔不良习惯会明显影响孩子的面部发育、口腔功能、咬合关系以及面部美观。所谓的“腺样体面容”狭义的是指由于腺样体肥大造成的口面部发育异常,广义的就是家长口中对类似于“腺样体面容”的口面部发育异常的总称。
今天,我们就其中主要的两个可能导致口面部发育异常的不良口腔习惯——“非营养性吮吸”和“长期张口呼吸”。
非营养性吮吸
什么是非营养性吮吸?
非营养性吮吸行为主要是指吮吸安抚奶嘴、拇指或其他手指,这些行为在早期发育时期是正常的。不同人群中有70%-90%的婴儿可出现这种自我安抚行为。随着年龄的增长,吮吸手指或安抚奶嘴的频率有所下降。与吸吮安抚奶嘴相比,吮指行为更可能会持续到4-5岁,这时可能会带来一定的问题。如果持续到恒牙萌出期,非营养性吮吸可能会导致错牙合畸形。
非营养性吮吸对牙齿的影响
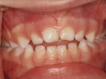
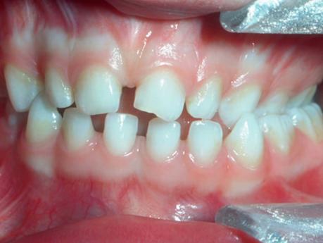
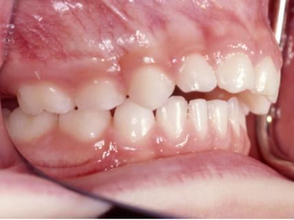
非营养性吮吸习惯可能与乳牙列和混合牙列的错牙合畸形患病率增加以及上前恒牙外伤的发生风险增加相关。可能会出现以下图片中的问题,包括前牙开牙合;后牙反牙合;深覆盖和上颌相对下颌过于前突的Ⅱ类错牙合。


左右滑动,查看更多如何干预
通常推荐在约2岁时进行干预,以解决儿童的不良吮吸习惯,从而最大程度地降低其对牙齿的影响。家长们可以尝试采取以下措施,同时建议咨询儿童口腔及发育行为儿科专家。
如果照护者的关注可能强化了吮吸拇指的习惯,则照料者应停止评论孩子的这一习惯;
处理孩子生活中可能的压力和焦虑来源;
尝试使用包含避免吮指的正性强化措施(如奖励贴纸)及负性强化措施(在手指上涂味道恶心的东西)。
长期张口呼吸
长期张口呼吸的原因是什么?
造成慢性口呼吸的原因包括慢性鼻塞/充血(如过敏性鼻炎)、腺样体肥大或解剖结构异常(如腭裂)等引起,也可能是一种获得性习惯。鼻炎和扁桃体腺样体肥大是主要原因,但是并不是唯一的原因,还有一些原因可能与习惯相关,甚至是未知的。
长期口呼吸对口面部的影响
长期口呼吸对口面部的主要影响包括:长而窄的面型、上颌弓缩窄、恒磨牙过度萌出以及下颌后下旋转。目前尚不清楚至少多长时间的口呼吸会引起相应的临床症状。长期口呼吸儿童牙颌面会发生以下改变:唇肌张力减退、唇外翻、上唇上翘、牙龈增生、前牙前突(龅牙)、上牙弓缩窄、腭盖高拱、下颌后缩、下颌角角度增大长脸、舌骨后下移位、舌根后坠变长等。扁桃体严重肥大阻塞口咽腔的患儿,会不自觉的出现下颌前伸、抬头和脖子前伸。如何干预
若儿童存在容易促发口呼吸的呼吸或解剖学问题,则宜尽早积极治疗,可以在呼吸科或耳鼻喉科就诊咨询。
儿童口腔不良习惯会影响口面部的发育,造成口面部畸形。对于主要是由于非营养性吮吸造成的儿童,建议尽早儿童口腔专科和发育行为儿科就诊,早期及时进行干预。对于存在长期张口呼吸的儿童,务必尽早进行鼻炎,腺样体和扁桃体方面的检查,并进行相关干预,以期尽早解除阻塞,恢复正常鼻呼吸模式,避免影响口面部的发育。
原标题:《儿医小课堂 76 | 这两个不良口腔习惯或导致孩子口面部发育异常》
本文为澎湃号作者或机构在澎湃新闻上传并发布,仅代表该作者或机构观点,不代表澎湃新闻的观点或立场,澎湃新闻仅提供信息发布平台。申请澎湃号请用电脑访问http://renzheng.thepaper.cn。





- 报料热线: 021-962866
- 报料邮箱: news@thepaper.cn
互联网新闻信息服务许可证:31120170006
增值电信业务经营许可证:沪B2-2017116
© 2014-2026 上海东方报业有限公司




