- +1
大脑如何在孤独中迷失与重塑?
原创 Marta Zaraska
诺伊迈尔第三科考站(Neumayer III)位于南极洲气候严酷的埃克斯特伦冰架边缘附近,每当冬季来临,室外气温可降至零下50摄氏度以下,风力可达每小时100公里以上,其间无人能在站内随意进出。科考站的与世隔绝是站内气象、大气和地球物理实验必不可少的一部分,实验由站内为数不多的科学家进行,他们在冬季维持科考站的正常运行,同时忍受着冰冷刺骨的孤独。几年前,该科考站也成了研究孤独本身的场所。德国的一个科研团队试图弄清社交隔离和环境的单调,是否会对在南极长期停留者的大脑产生影响。在诺伊迈尔第三科考站工作14个月的八名探险者,同意在任务前后接受大脑扫描,并允许研究者在他们考察站工作期间监测他们的大脑化学变化和认知表现。(该研究有第九名参与者,但因身体原因未进行脑扫描。)
正如研究人员于2019年发表该研究结果时所描述的一样[1],经历过社交隔离的探险者前额叶皮层(prefrontal cortex)体积相比对照组有所减少。前额叶位于额头后部,是大脑中最前端的区域,主要负责做决策和解决问题。此外,研究还发现探险者维持大脑中神经细胞发育和生存的蛋白质,即脑源性神经营养因子(neurotrophic factor)水平也相对较低,这种情况自团队从南极洲返回后还持续了至少一个半月。
尽管目前仍不能确定其中有多少纯粹是由社交隔离造成的,但这些研究结果与近期的另一些研究结果所示一致:长期孤独会以使情况进一步恶化的方式显著改变着大脑。
- Kofash -神经科学表明,孤独并不一定是由缺乏接触他人的机会,或害怕社交互动造成的;相反,我们大脑神经环路的改变和行为的变化可能将我们困在“第二十二条军规”一般的窘境中:尽管我们渴望与他人建立联系,但我们眼中的他人却是不可靠、具有批判性和不友善的,于是我们选择与他们保持距离,并有意或无意地将与他人建立联系的潜在机会拒之门外。
孤独作为一种完全主观的感受可能不易成为实证研究的对象,不过社交隔离(social isolation),这个与孤独相关的条件,即衡量一个人人际关系多少的客观标准却是可量化的。尽管研究人员开发出加州大学洛杉矶分校孤独量表(UCLA Loneliness Scale)[2]等工具帮助评估个人孤独感的深度,但孤独体验依然需要自陈。
从这类研究中不难看出,孤独对身心的影响在全球范围内都是深远的。疫情爆发前的一项调查显示[3],22%的美国人和23%的英国人表示他们总是或经常感到孤独。截至2020年10月,36%的美国人称自己“严重孤独”[4]。
但孤独不光带来糟糕的心情,还危害着我们的健康:它可能导致高血压[5]、中风和心脏病[6],还可以使二型糖尿病的风险增加一倍[7],并使痴呆症的可能性增高40%[8],这也导致长期孤独者的死亡风险比感到不那么孤独的人高出83%[9]。
组织和政府常试图通过鼓励人们更多地外出以及建立兴趣爱好俱乐部、社区花园和手工艺团体的方式来缓解孤独,然而正如神经科学所揭示的那样,摆脱孤独并不总是那么简单。
实验在遥远的诺伊迈尔第三科考站进行,该实验研究了参与者在南极洲被隔离14个月后大脑的变化。—
Stefan Christmann/Alfred-Wegener-Institute
孤独是被偏见
放大的拒绝信号
几年前,当来自德国和以色列的神经科学家着手研究孤独时,他们曾期待发现孤独与社交焦虑具有相似的神经基础——均涉及杏仁核(amygdala)。杏仁核是大脑的“恐惧中心”[10],当我们面对让我们恐惧的事物时,杏仁核就会变得活跃,不论我们恐惧的对象是蛇还是他人。“我们曾以为,既然社交焦虑与杏仁核活动的增加有关,那么我们在孤独者的大脑中也应该能观察到这一现象。” 研究团队的一员、德国波恩大学的博士生利贝茨(Jana Lieberz)[11]说。
然而,该研究团队于2022年发表的一项研究中显示[12],尽管威胁性社会情景使社交焦虑者的杏仁核更加活跃,但它对孤独者却没有相同的影响。此外,社交焦虑者的大脑奖励系统活性降低,而孤独者的大脑却并非如此。
“社交焦虑的核心特质在孤独者身上并不明显”,利贝茨说。研究结果表明,仅仅通过建议孤独者多出去社交来缓解孤独(类似于用暴露的方式来治疗蛇恐惧症[13])常常是无效的,因为它没有直指孤独产生的核心原因。近期的一项元分析也证实[14],仅仅增加孤独者的潜在交友机会,并不会消除主观孤独感。
德国波恩大学的博士生利贝茨(Jana Lieberz)是研究孤独的神经基础团队的成员。令她惊讶的是,社交焦虑的核心特质在孤独者身上并不明显。—
Courtesy of Jana Lieberz
孤独的问题似乎在于,它使我们的思维带有偏见。行为研究发现[15],孤独者在120毫秒内就可以识别例如被拒绝的场景图像等负面社会信号,该速度比对人际关系满意的人快两倍,还不到眨眼时间的一半。孤独的人倾向于与陌生人保持更远的距离[16],更少地信任他人[17],也讨厌身体接触[18]。
这可能是孤独者的情绪常处于“螺旋式下降”状态的原因,麦吉尔大学同时拥有神经科学和机器学习背景的跨学科研究员达尼洛·比兹多克(Danilo Bzdok)[19]说:“孤独者倾向于带着消极的滤镜去看待他们接收到的任何信息,不论是面部表情、短信还是其他的事物,而这将他们进一步推入孤独的深渊。”
麦吉尔大学的研究员达尼洛·比兹多克领导了一些关于孤独感对人脑影响的大型研究,这些研究来自庞大的英国生物银行生物医学数据库。—
Owen Egan
孤独是默认网络中的异常
比兹多克和他的同事们,完成了迄今为止规模最大的一次对人类大脑中孤独特征的搜寻,本次研究的参与者比之前任何研究的参与者都要多约100倍。该研究的数据来自英国生物样本库(UK Biobank)[20],其中包括约4万名英国居民的大脑扫描图以及有关他们社会隔离程度和孤独体验的信息。
该研究2020年刊登于《自然-通讯》[21],其结果揭示了孤独感与当我们精神上处于待命状态时保持活跃的大脑默认网络(default network)密切相关。尽管研究表明默认网络中的活动消耗了大脑的大部分能量,“直到20年前我们都还不知道这一网络系统的存在。”比兹多克说。
比兹多克和他的团队发现长期孤独者的默认网络中某些区域的灰质体积不仅更大,而且他们的默认网络与大脑其他区域的连接也更紧密。此外,默认网络似乎参与了人类演化出的例如语言、预测未来和因果推理等独特能力的运用。更笼统地说,当我们想到他人时[22],包括当我们分析他们的意图时就会激活默认网络。
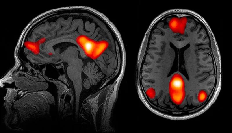
人脑的功能磁共振成像揭示了与默认网络相关的一些区域——当我们想到他人时最活跃的神经中枢区域。—
John Graner,Terrence Oakes,Louis French and Gerard Riedy
心理学家早就发现,孤独的人往往会做社会互动的白日梦,容易怀念过去的社交事件,甚至拟人化他们的宠物[23],例如,与猫交谈。有关默认网络连接的研究,为该心理学发现提供了神经成像方面的证据,比兹多克说:“想要在心理上完成幻想需要默认网络做出相应的配合。”
尽管孤独感可以丰富想象中的社交生活,它同时也降低了现实生活中社交活动的吸引力。比兹多克和他的同事在2021年的研究中[24]发现了对该现象的潜在解释,该研究同样基于英国生物库提供的大量数据。他们分别研究了以“每天或几乎每天缺乏可以倾诉的对象”为衡量标准下社会孤立的人和社会支持不足的人,他们发现所有这些个体的眶额叶皮层(orbitofrontal cortex),即处理奖励相关的大脑区域,与社会支持正常的人相比更小。
去年,一项基于1300多名日本志愿者数据的大型大脑成像研究表明[25],更深的孤独感与处理视觉注意力的大脑区域内更强的功能性连接有关。这一发现支持了之前眼球追踪研究得出的结论,即孤独的人往往过度关注不愉快的社交暗示[26],例如被他人忽视。
-Padlet -孤独是深植于内心的渴望
尽管孤独的人可能认为遇见他人是不适且不值得的,但他们依然渴望与他人建立联系。因其研究而被冠以“孤独博士”称号的芝加哥大学神经科学家卡乔波(John Cacioppo)猜测,就像饥饿一样,孤独是一种演化出的适应方式[27],它示意我们生活中的某些方面脱离了正轨。就像饥饿会促使我们主动寻找食物,孤独也会让我们主动寻求与他人连接[28]。对于我们生活在非洲大草原上的祖先们来说,生存可能取决于与集体的联系,因此由孤独感引发的社交冲动或许曾经是生死攸关的事。
近期的脑成像数据为“孤独深植于我们的精神世界中”这一想法提供了支持。在一项研究中[29],剑桥大学的神经科学助理研究员托莫娃(Livia Tomova)[30]和她的同事要求40名实验参与者禁食10小时,而后在参与者们观看诱人食物图片时扫描了他们的大脑。随后,这群参与者又在没有手机,没有电子邮件,甚至没有小说作为人际交往替代品的环境中独处10小时,然后在他们浏览一群欢乐伙伴的照片期间,托莫娃和同事们再次扫描了他们的大脑。当研究人员对比参与者两次大脑扫描结果时,他们发现饥饿时和孤独时的大脑激活模式非常相似。
在托莫娃看来,该实验结果指出了有关孤独的重要事实:仅仅10个小时没有社会接触就足以引发本质上与被剥夺食物相同的神经信号,“这凸显了我们与他人建立联系的是基本需求。” 她说。
已故神经科学家卡乔波(John Cacioppo)认为孤独是一种演化出的适应方式。正如饥饿感驱使我们进食一样,孤独感也可能驱使我们寻求社会交往。—
Robert Kozloff
更大的大脑
连接更多的朋友
近期的研究结果似乎也为“社会大脑假说”提供了支持,该进化理论假说认为忙碌的社交生活与更大的大脑相关。这个想法源自于有关大脑如何在演化中改变的理论,但生活经历也可以直接导致大脑大小的差异。一般来说,生活在更大的社会群体[31]中或与更多的伴侣分享笼子[32]的人工饲养非人类灵长类动物的大脑更大。具体来说,他们的前额叶皮层中有更多的灰质[32]。
研究表明,人类在这方面也没有太大区别。2022年的一项研究发现[33],老年孤独者大脑的部分区域经常出现萎缩,包括负责处理情绪的丘脑(thalamus)和记忆中心海马体(hippocampus)。该研究的作者认为这些变化可以帮助解释孤独感和痴呆症之间的联系。
当然,所有这些发现都包含一个“鸡与蛋”的问题:究竟是大脑的差异使我们容易感到孤独,还是孤独让大脑重新连接和萎缩?比兹多克认为我们目前无法解决这个谜题,但他相信二者都有可能是因。
灵长类动物研究和诺伊迈尔第三极地科考站实验的结果表明,生活经历和社会环境可以强有力地影响个体的大脑结构,进一步巩固孤独对大脑造成的影响。而双胞胎研究结果同时发现,孤独部分是由遗传决定的[34]:约50%的孤独体验差异可以用遗传差异来解释。
长期处于孤独中的人不会因为先天或后天的因素被永久地困在孤独中,研究显示认知疗法可以训练人们认识到他们的行为和思维模式如何阻止自己获得被他们所珍视的联系,进而有效减轻孤独感。比这更有效的孤独感和社交隔离干涉措施(在未来)也是有可能出现的。
以最近的一项研究为例[35],利贝茨和她的同事研究了人们参与信任游戏时的脑部活动,在孤独者的大脑扫描中,一个脑部区域远不如社交者活跃。那个脑区即岛叶,当我们检查直觉时,它往往会激活。利贝茨解释说“这可能是孤独的人难以信任他人的原因——他们不能信赖自己的直觉。”因此,促进信任建立的干预措施可能成为解决孤独问题的一部分。
- mirkapan -另一个想法是促进社交同步。研究表明,人们在多大程度上喜欢和信任他人[36]的关键在于双方行为和反应之间的匹配程度。社交同步可以像在对话中用微笑回应或者使用镜像肢体语言一样简单,也可以像在唱诗班中唱歌或成为赛艇队的一员一样复杂。在一年前发表的一项研究中[37],丽贝茨和她的同事发现孤独者很难与他人建立社交同步,这种不和谐导致他们大脑中负责观察行为的区域进入超速状态。指导孤独者参与他人的行动可能是另一个需要考虑的干预措施。尽管它本身并不能治愈孤独,“但它可能是一个起点。”利贝茨说。
就算其他一切都不管用,也可能会有新的药物疗法。在瑞士的一项实验中[38],志愿者在服用由迷幻蘑菇中提取出的精神活性化合物赛洛西宾(psilocybin)后报告社交排斥感减少,他们的大脑扫描图也显示大脑处理痛苦社交体验的区域活性有所降低。
虽然认知行为疗法、促进信任和社交同步,甚至摄入迷幻蘑菇等干预措施都可以帮助治疗慢性孤独,但短暂的孤独感很可能永远是人类体验中无伤大雅的一部分,托莫娃说。
她将孤独与压力类比:孤独是令人不快的,但它不一定是消极的。她说:“它为身体提供能量以便我们应对挑战。只有当孤独感发展成长期慢性时,它才会变得有害,因为我们的身体不应该一直处于这种状态,这时我们的适应机制最终会走向崩溃。”
后记
崎滨:通过阅读、写作和绘画等表达内心情感,也是一种缓解孤独感的方式啊。
参考文献
[1] https://www.nejm.org/doi/10.1056/NEJMc1904905
[2] https://sparqtools.org/mobility-measure/ucla-loneliness-scale-version-3/
[3] https://www.kff.org/report-section/loneliness-and-social-isolation-in-the-united-states-the-united-kingdom-and-japan-an-international-survey-introduction/
[4] https://mcc.gse.harvard.edu/reports/loneliness-in-america
[5] https://psycnet.apa.org/doiLanding?doi=10.1037/0882-7974.21.1.152
[6] https://heart.bmj.com/content/102/13/1009
[7] https://link.springer.com/article/10.1007/s00125-022-05791-6
[8] https://academic.oup.com/psychsocgerontology/article/75/7/1414/5133324
[9] https://www.cambridge.org/core/journals/international-psychogeriatrics/article/abs/situational-versus-chronic-loneliness-as-risk-factors-for-allcause-mortality/9A0B94A0548C9D1CF29A051494394927
[10] https://www.nature.com/articles/nature.2013.12350
[11] https://www.dirk-scheele.org/team/
[12] https://www.jneurosci.org/content/42/12/2570
[13] https://www.sciencedirect.com/science/article/abs/pii/000579677590008X?via%3Dihub
[14] https://link.springer.com/article/10.1007/s00127-021-02191-w
[15] https://www.tandfonline.com/doi/full/10.1080/17588928.2015.1070136
[16] https://onlinelibrary.wiley.com/doi/10.1002/advs.202102076
[17] https://guilfordjournals.com/doi/10.1521/jscp.1994.13.2.152
[18] https://academic.oup.com/scan/article/17/1/142/6461393
[19] https://www.mcgill.ca/bbme/danilo-bzdok
[20] https://www.ukbiobank.ac.uk/learn-more-about-uk-biobank
[21] https://www.nature.com/articles/s41467-020-20039-w
[22] https://academic.oup.com/cercor/article/24/8/1979/466213
[23] https://guilfordjournals.com/doi/10.1521/soco.2008.26.2.143
[24] https://academic.oup.com/cercor/article/31/10/4612/6274997
[25] https://www.nature.com/articles/s41598-022-11724-5
[26] https://link.springer.com/article/10.1007/s10802-009-9361-x
[27] https://academic.oup.com/abm/article/40/2/218/4569527
[28] https://www.quantamagazine.org/new-evidence-for-the-necessity-of-loneliness-20160510/
[29] https://www.nature.com/articles/s41593-020-00742-z
[30] https://www.neuroscience.cam.ac.uk/directory/profile.php?LiviaTomova
[31] https://linkinghub.elsevier.com/retrieve/pii/S1090513820300799
[32] https://www.science.org/doi/10.1126/science.1210027
[33] https://royalsocietypublishing.org/doi/10.1098/rspb.2017.2708
[34] https://link.springer.com/article/10.1007/s10519-005-6040-8
[35] https://onlinelibrary.wiley.com/doi/10.1002/advs.202102076
[36] https://www.annualreviews.org/doi/10.1146/annurev-psych-113011-143754
[37] https://academic.oup.com/cercor/article/33/2/385/6537595
[38] https://www.pnas.org/doi/full/10.1073/pnas.1524187113
作者:Marta Zaraska | 译者:阿米锅巴
审校:崎滨 | 编辑:M.W.
封面:Kouzou Sakai | 排版:盐
原文:
https://www.quantamagazine.org/how-loneliness-reshapes-the-brain-20230228/

本文为澎湃号作者或机构在澎湃新闻上传并发布,仅代表该作者或机构观点,不代表澎湃新闻的观点或立场,澎湃新闻仅提供信息发布平台。申请澎湃号请用电脑访问http://renzheng.thepaper.cn。





- 报料热线: 021-962866
- 报料邮箱: news@thepaper.cn
互联网新闻信息服务许可证:31120170006
增值电信业务经营许可证:沪B2-2017116
© 2014-2026 上海东方报业有限公司




