- +1
肘关节疼痛?这个检查可以帮您明确诊断
原创 超声医学科 复旦大学附属华山医院订阅号
肘关节疼痛
最常见的是
“网球肘”和“高尔夫球肘”
这两种疾病
是不是只和运动有关呢?
其实,并不是这样的哦
网球肘,即肱骨外上髁炎,因为在网球运动员中多发,所以也被称为“网球肘”,常表现为肘关节外侧疼痛,并向前臂外侧和腕关节放射,是由于反复扭伤、反复强力伸腕以及抓握击球用力不当造成的,球拍及拍柄的尺寸不合适也容易受伤。当然,肌肉力量及耐力的下降、前臂肌肉弹性不足、日常活动的变化、年龄增长及女性激素水平失衡亦可出现。
超声在网球肘的作用是啥呢?肘关节疼痛能做超声检查吗?答案是肯定的。
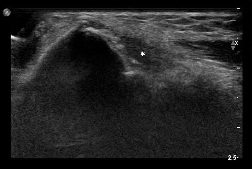
典型网球肘的超声表现为:肱骨外上髁处伸肌总腱增厚,止点处可见钙化,内部分布欠均匀,纤维纹理局部中断,内部血流信号增多,严重者存在积液。
在超声图像中,具体的表现为可以看到患者的伸肌总腱增厚,回声减低(*标记处)。
大部分网球肘通过非手术疗法就可以取得良好的效果。出现不适症状后,患臂应多休息,必要时用石膏或夹板固定,使肌肉保持在放松的位置,热敷、物理治疗或按摩等方法能使症状减轻,肾上腺皮质激素加普鲁卡因局部封闭也有一定效果。少数疼痛严重、保守治疗无效,或反复发作的患者,可采取手术治疗。什么是高尔夫球肘?
高尔夫球肘,即肱骨内上髁炎,凡能使前臂外旋和屈腕的反复动作均易发生此病。与网球肘不同,高尔夫球肘多见于青壮年体力劳动者,其发病率也比网球肘少得多。
高尔夫球肘是由于反复或过度肘外翻、外旋活动引起的,多见于高尔夫运动员或业余选手,羽毛球、棒球、田径投掷项目选手以及过度使用肘关节的人群等。高尔夫球肘常表现为肘内侧疼痛或酸痛不适,重复损伤动作时,疼痛加重,休息后疼痛减轻;会出现肘关节活动受限,特别是用力握拳、提物等活动时,疼痛明显;并可能伴有局部肿胀。
同样的,超声在高尔夫球肘的诊断中也有着重要的作用。
与网球肘不同的是,高尔夫球肘表现为肱骨内上髁屈肌总腱增厚,回声欠均匀,血流信号增多。
在超声图像上,我们可以看到患者的屈肌总腱增厚,回声减低,如下图所示。(标记处)
高尔夫球肘的治疗方法也与网球肘类似,受伤后,首先要考虑非手术治疗,包括一段时间的休息、停止刺激运动、夜间康复等。药物治疗主要为使用非甾类抗炎药,如双氯芬酸,可以促进炎症吸收;在肱骨内上髁局部注射糖皮质激素、利多卡因、维生素B12、复方倍他米松注射液,可以缓解疼痛,加速炎症的吸收,促进康复。对经久不愈反复发作的顽固性肱骨内上髁炎,开放手术是可靠的治疗方法。
若您感觉到肘关节内侧与外侧的疼痛,并且找不到原因,可以来华山医院超声医学科就诊。专家介绍
蔡叶华超声医学科
副主任医师
点击预约
副主任医师,2003年加入复旦大学附属华山医院超声医学科工作至今,2018年起兼任复旦大学附属静安区中心医院超声诊断科副主任。中国国家紧急救援队成员,参与了2015年尼泊尔地震的国际救援任务,2018年赴以色列Rambam医疗中心进修肌骨超声。
诊疗专长
主要擅长浅表小器官的超声诊断、介入超声、肌骨神经以及运动损伤的超声诊断;多次承担上海市体育科研攻关与科技服务课题项目,多次参与F1世界方程式赛车上海站以及国际汽车耐力赛上海赛的赛事保障工作;长期为沪上多个专业运动队提供超声诊断服务。
专家门诊
每周四上午 专家门诊,3号楼3楼
每周五全天 特需门诊,门诊7楼
文丨超声医学科 邵洁
审核丨超声医学科 丁红
总 院上海静安区华山路493号
电话 021-52889999
虹桥院区
▪ 上海闵行区金光路958号
或北青公路1600号
▪ 电话 021-54601999
宝山院区
▪ 上海宝山区陆翔路108号
或镜泊湖路518号
▪ 电话 021-66895999
浦东院区
▪ 上海浦东新区红枫路525号
▪ 电话 021-38719999
江苏路分部
▪ 上海长宁区江苏路796号
▪ 电话 021-52889305
原标题:《肘关节疼痛?这个检查可以帮您明确诊断》
本文为澎湃号作者或机构在澎湃新闻上传并发布,仅代表该作者或机构观点,不代表澎湃新闻的观点或立场,澎湃新闻仅提供信息发布平台。申请澎湃号请用电脑访问http://renzheng.thepaper.cn。





- 报料热线: 021-962866
- 报料邮箱: news@thepaper.cn
互联网新闻信息服务许可证:31120170006
增值电信业务经营许可证:沪B2-2017116
© 2014-2026 上海东方报业有限公司




