- +1
中山大学研究发现贝伐珠单抗治疗直肠癌产生耐药性的潜在机理
原创 转网 转化医学网

本文为转化医学网原创,转载请注明出处作者:Sophia
导读:贝伐珠单抗在转移性结直肠癌(CRC)的一线和二线治疗中起重要作用。诱导缺氧和肿瘤对缺氧的反应在确定抗血管生成治疗的疗效方面起着重要作用,而它们之间的联系尚不清楚。
8月24日,中山大学潘志忠,林俊忠和彭健宏共同通讯在《Autophagy》在线发表题为“Tumor-derived lactate promotes resistance to bevacizumab treatment by facilitating autophagy enhancer protein RUBCNL expression through histone H3 lysine 18 lactylation (H3K18la) in colorectal cancer”的研究论文,该研究发现CRC肿瘤环境中积累了乳酸,并充当了组蛋白乳酰化的底物,这一过程在缺氧条件下通过细胞增强的糖酵解进一步诱导。
https://www.tandfonline.com/doi/full/10.1080/15548627.2023.2249762研究背景
01
结直肠癌(CRC)是全球第三大最常见的恶性肿瘤,占所有癌症死亡人数的近8.5%。复发和远处转移仍然是CRC患者治疗失败和死亡的主要原因。诊断时,20%-30%的患者患有同步肝转移,50%-75%的CRC患者发生肝转移。据估计,70-80% 的晚期结直肠癌病例最初被定义为不可切除,其5年总生存率(OS)低于 10%。
目前,双联或三联化疗方案与靶向治疗(包括抗血管生成治疗)的应用已将反应率提高到60%-70%,增加了转移性结直肠癌患者的生存率。贝伐珠单抗,特异性靶向VEGFA(血管内皮生长因子A)以抑制VEGF(血管内皮生长因子)-VEGFR(血管内皮生长因子受体)信号传导,在转移性结直肠癌的一线和二线治疗中起着至关重要的作用。尽管抗血管生成治疗改善了转移性结直肠癌的临床结局,但大多数患者表现出内在或获得性耐药性,最终总体获益有限。因此,探索CRC细胞对抗血管生成治疗耐药的机制至关重要,这可能会改善转移性CRC的预后。
在实体瘤中,发现抗血管生成治疗引起的瘤内缺氧区域与治疗耐药有关。缺氧诱导癌细胞的代谢改变,作为对营养剥夺的适应性反应,这会影响抗血管生成治疗期间对缺氧诱导细胞死亡的易感性。增强糖酵解是缺氧期间最关键的代谢改变之一,导致癌症泌乳增生,与多种细胞过程有关。乳酸是Warburg效应期间肿瘤环境中产生的丰富癌代谢物,作为一种新的表观遗传修饰触发组蛋白赖氨酸乳酰化,直接刺激染色质的基因转录。近年来,组蛋白乳酰化,特别是组蛋白H3赖氨酸18乳化(H3K18la)已被报道调节多种生物过程,例如肿瘤发生、进展、肿瘤免疫逃逸和癌症细胞代谢重编程。
研究进展
02
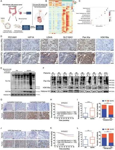
为了探索CRC细胞对贝伐珠单抗治疗耐药的机制,我们从新鲜的原发手术标本中收集了CRC组织标本,并建立了一个包含石蜡包埋肿瘤切片的生物库,提取了RNA,PDX,PDO等(图1A)。其中,接受一线贝伐珠单抗治疗的复发性或转移性肿瘤患者,其临床治疗反应与生物样本库的治疗评估相匹配(用贝伐珠单抗治疗的PDX和用二甲基草酰甘氨酸(DMOG)治疗的PDO,包括HIF脯氨酰羟化酶抑制剂,在常氧条件下稳定和积累细胞核中的HIF1A / HIF-1α(缺氧诱导因子1亚基α)蛋白,其可能模拟抗血管生成治疗引起的缺氧环境),并使用预保留的RNA进行转录组测序(图1B)。京都基因和基因组百科全书(KEGG)对贝伐珠单抗治疗的稳定疾病(SD)/进展性疾病(PD)与部分缓解(PR)的上调基因的分析显示糖酵解信号传导显著富集(图1C)。在TCGA数据库中,与乳酸产生和分泌相关的基因在CRC中高度表达并与VEGFA表达呈正相关,这表明贝伐珠单抗耐药可能与增强糖酵解和癌细胞的后续泌乳有关。
结直肠癌(CRC)对贝伐珠单抗治疗的耐药性表现出乳酸化水平升高,这与CRC患者的生存率低有关。为了进一步研究,在源自贝伐珠单抗耐药的PDX的石蜡包埋肿瘤切片中也发现了增强的糖酵解和泌乳生成(图1D)。有趣的是,与PR相比,贝伐珠单抗治疗SD / PD患者的乳酸化和H3K18la水平明显增加(图1D-E)。与来自3名随机I-III期CRC患者的匹配的相邻正常组织相比,乳酸化和H18K10la水平的增加进一步反映在新鲜的手术肿瘤组织中(图1F)。我们检查了CRC队列中的乳酸化和H3K18la水平及其可想象的临床意义。免疫组织化学(IHC)染色显示CRC组织中的乳酰化(图1G)和H3K18la(图1J)水平高于邻近正常组织,高水平的乳酸化(图1H,图S1E)和H3K18la(图1K,图S1F)与CRC患者的总生存期较短有关。此外,在SYSUCC队列中,基于临床反应评估,反应率与乳酸化水平(图1I)和H3K18la(图1L)呈负相关。这些临床数据表明,乳酸化和H3K18la水平升高可能会对贝伐珠单抗产生耐药性,并且与结直肠癌患者的低生存率有关。
研究意义
03
在这项研究中,我们发现,在细胞增强糖酵解和随后的泌乳作用的诱导下,组蛋白乳酸化水平在对贝伐珠单抗治疗耐药的CRC患者中上调。组蛋白乳酸化的抑制有效抑制了CRC肿瘤的发生,进展和缺氧存活。在机制上,组蛋白乳酸化促进了RUBCNL/Pacer(rubicon样自噬增强子)的转录,RUBCNL/Pacer通过与BECN1 / Beclin 1相互作用被认为是自噬体成熟的促进子,BECN1 / Beclin 1是该途径的主要组成部分之一。我们发现,在基于细胞的异种移植物、患者来源的异种移植物(PDX)和患者来源的原始体(PDO)模型中,抑制组蛋白乳酸化增强了CRC细胞对贝伐珠单抗治疗的敏感性。因此,我们的研究表明,抑制组蛋白乳酸化可能是提高贝伐珠单抗在CRC中临床疗效的新策略。
综上所述,在结直肠癌细胞中,需氧糖酵解诱导的高组蛋白乳酸化水平促进RUBCNL的转录,通过促进自噬体成熟增强自噬,有助于结直肠癌肿瘤发生和发展。当接受贝伐珠单抗时,缺氧癌细胞的糖酵解可能进一步增强,其次是更高水平的组蛋白乳酸化和RUBCNL被组蛋白乳酰化转录上调,这有助于结直肠癌细胞的存活和治疗耐药性。我们的研究表明,抑制组蛋白乳酸化可能是提高贝伐珠单抗在CRC中疗效的新策略,其在贝伐珠单抗耐药PDX和PDO中显示出显著的治疗效果。
参考资料:
https://www.tandfonline.com/doi/full/10.1080/15548627.2023.2249762
注:本文旨在介绍医学研究进展,不能作为治疗方案参考。如需获得健康指导,请至正规医院就诊。

原标题:《【Autophagy】最新!中山大学研究发现贝伐珠单抗治疗直肠癌产生耐药性的潜在机理》
本文为澎湃号作者或机构在澎湃新闻上传并发布,仅代表该作者或机构观点,不代表澎湃新闻的观点或立场,澎湃新闻仅提供信息发布平台。申请澎湃号请用电脑访问http://renzheng.thepaper.cn。





- 报料热线: 021-962866
- 报料邮箱: news@thepaper.cn
互联网新闻信息服务许可证:31120170006
增值电信业务经营许可证:沪B2-2017116
© 2014-2026 上海东方报业有限公司




