- +1
中年男子患帕金森病数年,植入脑起搏器后直言“重夺身体控制权”
40多岁的患者陈生(化名)被帕金森病折磨数年,行动迟缓、肢体僵硬、常发震颤。
近日,在上海交通大学医学院附属仁济医院,陈生接受了最新型国产3.0T磁共振兼容脑起搏器植入手术,他坦言:“感觉自己的人生好像一键重启了,不仅能够重夺身体控制权,还能无障碍地接受全身磁共振扫描,为日后就医检查需求带来便利。”
10月17日,上海交通大学医学院附属仁济医院神经外科主任医师周洪语透露,陈生得的是早发型帕金森病,经充分评估后,其团队为他植入国产新型脑起搏器,即3.0T磁共振兼容脑起搏器。
“脑起搏器疗法,是将电极植入到大脑深部神经核团,通过电刺激调节神经环路的异常电活动,缓解运动障碍症状,使患者恢复活动能力。”周洪语表示,脑起搏器经过多次更新迭代,传统脑起搏器使用期限为20年,并容易受到磁场的干扰而发生风险,故而被禁止在开机状态下接受高场强3.0T磁共振扫描。过去,植入脑起搏器的患者仅可接受局限的1.5T磁共振扫描,同时必须关掉脑起搏器。
“考虑到这名患者还年轻,未来也许还要接受磁共振检查,尤其是3.0T磁共振检查的机会较多,长达30年预期使用期限的国产新型脑起搏器更适合他。”周洪语介绍。
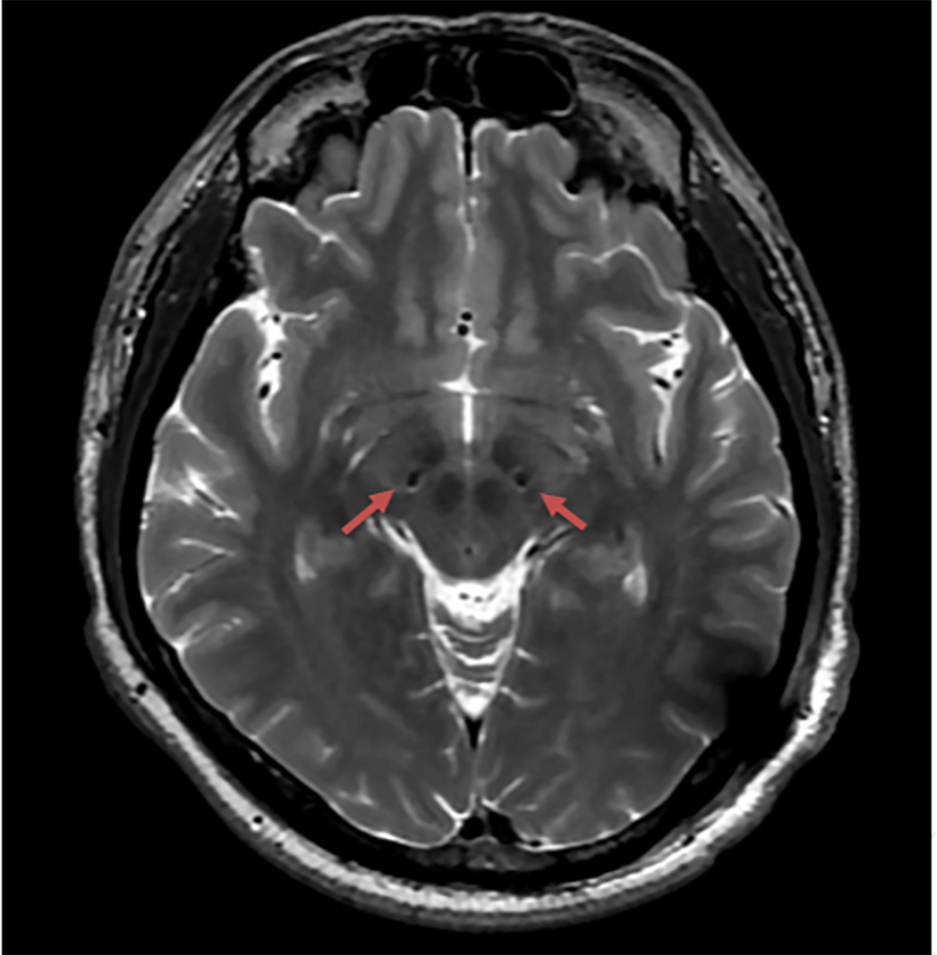
在手术中,周洪语带领的神经外科功能团队和影像科、麻醉科专家密切配合,电极精准植入患者体内。术后复查,电极位置精准。

患者术后复查,提示电极位置精准。 上海交通大学医学院附属仁济医院 供图
周洪语表示,脑起搏器国产化以后,治疗成本会下降。除此以外,国产化设备可以更“智能”,术后调机可以通过互联网连接,在家就可以完成。
针对哪些人更适合接受脑起搏器治疗?周洪语解释称,主要是原发性帕金森病,或者遗传性帕金森病、各种基因型帕金森病,对复方左旋多巴反应良好者,当药物疗效已显著减退,或出现明显的运动并发症影响患者的生命质量,以及存在药物无法控制的震颤患者等,可以尝试脑起搏器治疗。而除了除帕金森病以外,脑起搏器设备在临床上目前还可用于肌张力障碍、特发性震颤、耐药性癫痫、顽固性疼痛、难治性抑郁症等疾病治疗。





- 报料热线: 021-962866
- 报料邮箱: news@thepaper.cn
互联网新闻信息服务许可证:31120170006
增值电信业务经营许可证:沪B2-2017116
© 2014-2026 上海东方报业有限公司




