- +1
心脏肿瘤的影像学表现
原创 赵喜同学
心脏肿瘤尽管极为罕见,但却是心脏肿瘤学实践的重要组成部分,其诊断和管理至关重要。肿瘤包括一系列广泛的病变和/或肿块,可分为肿瘤性和非肿瘤性病变。肿瘤病变又可分为原发性肿瘤和继发性肿瘤。高达 90% 的原发性心脏肿瘤(PCT)是良性的,可能起源于心包或心肌。临床诊断的原发性心脏肿瘤发病率约为 1380/1亿。与 PCT 相比,继发性心脏肿瘤的发病率要高出 22 至 132 倍,而且顾名思义是恶性肿瘤。这些病变的良性或恶性分类是预后的重要预测指标;然而,任何心脏肿瘤,即使组织学上是良性的,也会因其大小和在心脏内的位置不同而对血流动力学或心律失常产生重大影响。
在过去十年中,PCT 的发病率明显增加。这一增长的部分原因可能是成像技术的进步,多模态成像技术更加普及和便捷。多模态成像通常是帮助确定 PCT 病因的必要手段。在进行开放性活检之前,有助于确定诊断的几个因素包括肿块位置、成像特征和发病年龄。
临床表现
心脏肿瘤可能无症状,也可能是在对看似无关的问题或体征进行评估时偶然发现。症状通常与心脏部位有关,但有些肿瘤可能会产生全身症状。一般来说,肿瘤可能以以下三种方式中的一种出现:
1.全身症状:体质性症状(发热、关节痛、体重减轻、乏力)和副肿瘤综合征(PCTs)。
2.心脏:肿块效应干扰心肌功能或血流,导致心律失常,干扰心脏瓣膜导致反流,或心包积液伴或不伴心包填塞。典型症状包括呼吸困难、胸部不适、晕厥前或晕厥。
3.栓塞:肿瘤引起的肺和/或全身血栓栓塞现象。
诊断方法
临床环境可提供重要的诊断线索,帮助确定心脏肿块或病变的病因。例如,心肌血栓很可能与心房颤动等心律失常或左心室心尖梗死伴心尖运动减弱或丧失运动能力有关,而赘生物则可能见于伴有发热、菌血症和异常炎症指标的原发性瓣膜病或人工瓣膜病患者。不过,如果心脏肿块是肿瘤,通常可以通过考虑以下 4 个因素来确定其病因:
1. 患者发病时的年龄;例如,横纹肌瘤和纤维瘤是儿童最常见的良性心脏肿瘤。
2. 流行病学可能性和临床可能性;例如,一名 70 岁的老人最近发生了前壁心肌梗死,超声心动图显示其左心室心尖呈金字塔形,并伴有心脏肿块,那么他很可能患有心内血栓。
3. 肿瘤位置(图 1)。
图 1 按解剖位置划分的心脏肿块亚型分布概要不同亚型心脏肿块的最典型位置。然而,许多心脏肿瘤可发生在任何腔室。
表 1 心血管磁共振成像对常见心脏肿块的典型无创组织特征描述
LGE 增强
T1 加权成像
T2 加权成像
恶性肿瘤
血管肉瘤
++
↑ / ←→ / ↓
↑ / ←→ / ↓
横纹肌肉瘤
+++
←→
↑↑↑
未分化肉瘤
++
←→
↑↑↑
淋巴瘤
-/+
←→
←→
转移∗
++
↓↓
↑↑
良性肿瘤
肌瘤
++
←→
↑↑
脂肪瘤
-
↑↑
↑↑
纤维瘤
++++
←→
↓
横纹肌瘤
-/+
←→
←→/↑
非肿瘤性肿块
血栓
-
↓ / ↑
↓ / ↑
囊肿
-
↓↓
↑↑
由于组织成分的改变,所有肿瘤都可能出现非典型表现。T1 和 T2 加权成像信号强度是相对于心肌而言的。
↓ = 低;←→ = 等信号;↑ = 高;- = 无摄取;+ = 少量晚期钆增强(LGE)摄取;++ = 异质 LGE 摄取;+++ = 同质 LGE 摄取;++++ = 过度增强;CMR = 心血管磁共振。
∗转移性黑色素瘤具有高 T1 加权和低 T2 加权信号强度。
使用这种方法,并结合临床数据,通常无需进行经皮或开放式手术活检,就能得出准确的诊断和治疗策略。
心脏肿瘤多模式成像的患病率和诊断方法示意图首次发现心脏肿块时的诊断方法。3D = 三维;CT = 计算机断层扫描;TEE = 经食道超声心动图;UEA = 超声增强剂。
多模态成像在明确诊断中的作用
初步评估的目的是确定是否存在心脏肿瘤、病变在心脏结构中的位置,并在可能的情况下确定肿瘤是良性还是恶性。这些信息对于计划进一步的评估和治疗至关重要。虽然获取组织病理学标本是诊断的金标准,但在许多情况下,多模态成像可能能够确定心脏肿块的病因。
二维经胸超声心动图
二维经胸超声心动图(TTE)因其广泛使用,通常是首选的影像诊断方法。其优点还包括无辐射、成本低和便携性。TTE 可以评估肿瘤的大小、位置、移动性和心包受累情况。此外,TTE 还具有良好的空间分辨率,有助于了解肿块对血液动力学的影响(如继发于肿块的血管或瓣膜阻塞)。超声心动图也是对小的高移动性肿块(<1 cm)或瓣膜上的肿块进行成像的最佳成像方式。
TTE 的局限性包括声窗较差,尤其是肥胖患者和慢性肺部疾病患者,以及缺乏组织特征描述的潜力。此外,如果肿块出现在标准成像视野之外(如上腔静脉、下腔静脉或肺血管分支),超声心动图可能无法分辨肿块的范围和来源。
先进的超声心动图技术
经食道超声心动图(TEE)常用于怀疑瓣膜病变的患者,尤其是心房肿块或移动性瓣膜病变患者。为了更好地确定心脏肿瘤的大小、形态、附着部位、延伸范围和血流动力学影响,也有必要进行 TEE 检查。当与实时三维超声心动图(RT3DE)结合使用时,TEE 能更准确地评估肿块的解剖关系、大小和形状,从而为评估心脏内肿块提供更多价值。
超声心动图中超声增强剂(UEA)的使用是评估心肌灌注的重要工具,也可用于评估心脏肿块的相对灌注。它能更好地确定腔内结构和评估血管性。心脏肿块的灌注差异有助于区分血管性和非血管性肿瘤或血栓,因为不同病理类型的灌注存在质和量的差异。例如,恶性肿瘤由于异常新生血管形成而具有高血管性,因此比邻近的心肌增强更强。与此相反,良性肿瘤(肌瘤)通常供血不足,因此肉眼观察灌注较低,定量灌注也低于周围心肌。血栓是无血管的,因此不会通过 UEA 超声心动图进行灌注;因此,UEA 超声心动图灌注成像可帮助早期识别血栓,并指导后续诊断和/或治疗策略。
心血管磁共振成像
一旦怀疑有心脏肿块(一般是在 TTE 之后),患者可能会被转诊进行 CMR,以进一步评估肿块。该技术可对肿块及其可能涉及的心腔和心包进行全面的多平面无创评估。由于它还能提供有关心外结构及其周围解剖结构的信息,因此在制定手术计划时往往非常有用。
CMR 可评估的特征包括形态、尺寸、位置、延伸、均匀性、周围组织是否存在浸润,以及有助于组织病理学定性的信号特征(脂肪浸润、坏死、出血、钙化、血管等)。应进行带或不带脂肪饱和的 T1 加权黑血成像、对比前 T2 加权成像、静息一过灌注(评估血管性)、早期钆成像(尤其有助于诊断血栓)和晚期钆增强成像。T1 和 T2 映射是 CMR 的最新发展,可即时定量检测心肌异常,而非传统的定性评估。
与超声心动图相比,CMR 的主要局限性在于其较低的时间分辨率;因此,CMR 通常不适用于评估瓣膜病变。其他缺点包括采集时间长(30 分钟至 1 小时)、与超声心动图相比可用性有限、无法在血流动力学不稳定的患者中进行、禁忌症包括幽闭恐惧症和老一代心脏设备。
心脏计算机断层扫描
心脏计算机断层扫描(CT)已成为评估心脏肿块的一种越来越常用的方式,尤其是在其他成像方式无法诊断或有禁忌的情况下。心脏CT具有各向同性的高空间和时间分辨率、多平面图像重建能力和快速采集时间,在许多患者中可替代 CMR。心电门控最大程度地减少了运动相关的伪影,并能更精确地划分病变边缘及与组织平面的关系,这对手术规划尤为重要。与其他心脏成像模式相比,CT 最适合评估钙化肿块、胸部和肺部组织及相应血管结构的整体评估,以及排除阻塞性冠状动脉疾病或邻近或导致冠状动脉阻塞的肿块,这可能有助于手术规划。心脏 CT 还可用于肿瘤分期,因为它能发现疑似恶性肿瘤的转移灶。
CT 的缺点包括辐射暴露、造影剂诱发肾病的风险较小、与磁共振成像相比软组织和时间分辨率有限。
正电子发射断层扫描
正电子发射断层扫描(PET)利用氟脱氧葡萄糖(18F-FDG)对肿瘤的代谢活动进行准确评估。FDG-PET 有助于对恶性肿瘤进行分期,同时还能发现潜在的心肌和心包受累情况。它还有助于评估癌症治疗的早期反应,制定放射治疗计划,优化活检位置。
肿瘤摄取 FDG 的程度有助于区分良性肿瘤和恶性肿瘤;这通常基于最大标准化摄取值评估。在一项对 20 名接受PET/MR 扫描的患者进行的研究中,18F-FDG-PET 扫描在区分恶性心脏肿块和良性心脏肿块方面的敏感性为 100%,特异性为 92%。局限性包括需要进行饮食准备,尤其是心内肿瘤患者和接受过放射线照射的患者。
PCT
PCT 简介
PCT 主要分为三类:良性、恶性和生物行为不确定的中间型。后者是2015年世界卫生组织分类的新特征。良性病因包括所有原发性肿瘤中的大部分(大于 90%),而恶性病因则小于 10%,仅有 1%属于中间类型。
良性 PCT
大多数 PCT 都是良性的,包括黏液瘤、横纹肌瘤、乳头状纤维母细胞瘤、纤维瘤、血管瘤、脂肪瘤和平滑肌瘤(表 2)。迄今为止,黏液瘤是最主要的病理亚型。非黏液瘤亚型多见于儿童和青少年,报道较少。良性肿瘤预后良好,30 天死亡率仅为 1%。良性 PCT 通常更常见于老年妇女,根据其大小和位置,良性 PCT 表现出多种症状。不过,13.3% 到 27.7% 的病例发生在无症状的人身上,而且是偶然发现。
表 2 良性心脏肿瘤的组织病理学、活检作用和手术作用
肿瘤
组织病理学
活检的作用
手术的作用
黏液瘤
纺锤形或星状细胞、假性血管结构、黏液基质、出血。可出现萎缩性钙化
通常不需要
建议完全切除,以防止栓塞并发症
脂肪瘤
成熟的脂肪细胞,偶尔在外围夹杂肌细胞
通常不需要
大多数病例不需要;症状严重的病例可考虑切除
纤维瘤
成纤维细胞和胶原束,一些弹力纤维,钙化常见
通常不需要
有严重症状的病例可以考虑
横纹肌瘤
蜘蛛细胞(空泡状增大的心肌细胞,由于含有大量糖原,细胞质清晰)
通常不需要
通常不需要,因为会自发消退;有严重症状的病例可以考虑
乳头状弹力纤维瘤
心内膜包裹着含有粘多糖和弹性蛋白的无血管胶原核心
通常不需要
建议用于左侧大面积病变,以降低栓塞并发症的风险
良性 PCT 的分类
心脏黏液瘤 这是最常见的良性 PCT,通常发生在左心房,超声心动图最容易观察到。黏液瘤可伴有栓塞症状。完全手术切除可获得最佳临床效果。
心黏液瘤(图 2)是最常见的 PCT,据信来源于间充质细胞前体。它们形成腔内肿块,最常见于左心房,通过柄与卵圆窝相连,但也可能出现在儿童的右心房。其他解剖学来源包括心房游离壁和二尖瓣瓣叶;但这些来源的可能性较小。有 7% 的患者在就诊时被发现患有心脏黏液瘤,与卡尼综合征(一种多发性肿瘤和皮损综合征)有关联。确诊时的平均年龄为 50 岁,约 70% 的患者为女性。
图 2 黏液瘤53 岁男性,左心房黏液瘤,曾出现栓塞事件。(A)经胸超声心动图检查发现附着在房间隔上的巨大移动肿块(白色箭头)。(B)心脏CT中看到的表面光滑的低衰减、轮廓清晰的肿块(黑箭头)。C)CMR晚期钆成像中左心房肿块的异质摄取(白箭头)。
黏液瘤从形态上分为息肉状和乳头状。前者较大时可能会出现阻塞症状,听诊时偶尔会听到 "肿瘤噗噗 "声。相反,乳头状黏液瘤往往会引起栓塞。在这两种变体中,也有报道称存在疲劳、发热和体重减轻等体征。
在超声心动图检查中,心脏黏液瘤通常表现为一个移动的肿块,通过一个柄附着在心内膜表面,通常从卵圆窝产生。RT3DE 可通过裁剪功能和仔细使用数字分析来剖析病灶,从而帮助进行梗阻分析和肿块异质性分析。可能需要进行 TEE 检查,以更好地观察植入部位,并确定是否有可能扩展到肺静脉或腔静脉。在心脏 CT 上,黏液瘤通常表现为腔内低衰减肿块,表面光滑或略带绒毛。约 14% 的患者可见钙化,右侧病变更常见。动脉期造影剂强化通常不存在,但在较长的时间延迟下进行的检查中可发现异质强化。电影图像的重建有助于评估病变的移动性和附着情况;但这往往并不可靠,尤其是对于茎干较短的肿瘤。在 CMR 上,T1 和 T2 加权图像上通常会出现异质外观,这是由于黏液瘤的成分所致,黏液瘤往往含有不同数量的黏液组织、出血组织、骨化组织和坏死组织。延迟强化通常是斑片状的。在稳态自由进动序列上,二尖瓣或三尖瓣在舒张期脱垂可能提示有蒂病变的附着点。
切除术需要进行组织学诊断,但主要是为了预防重大并发症。手术切除的死亡率低,远期疗效好。建议每年用 TTE 进行至少 4 年的随访,因为大约有 10%-15%的肿瘤会复发,最常见的是在原肿瘤部位复发。
脂肪瘤 脂肪瘤的发病率略低,由于通常无症状,大多是偶然发现的。在使用额外的脂肪饱和预脉冲时,CMR 对脂肪瘤的观察效果最佳。只有症状严重的病例才建议手术切除。
脂肪瘤(图 3)是第二大最常见的原发性心脏良性肿瘤(8% 至 12%),最常见于中老年人。大约 50%的脂肪瘤起源于心内膜下层,另一半起源于心外膜下层或心肌层并长入心包囊。它们通常没有症状,但可能会导致心律失常或瓣膜功能障碍。心外膜下脂肪瘤可压迫冠状动脉,导致缺血性胸痛。
图 3 脂肪瘤65 岁男性,偶然发现心脏肿块。(A)经胸超声心动图长轴切面上的卵圆形肿块(白色箭头)。(B)CMR 稳态自由进动(SSFP)序列显示,左心室基底前隐窝处的包块(白色箭头)呈环状,未造成任何左心室流出道梗阻。(C)CMR 脂肪-水抑制成像显示肿块(白色箭头)信号完全被抑制。
在 TTE 上,脂肪瘤多为宽基底、不活动、无蒂、边界清楚的肿块。脂肪瘤呈均质性,无钙化迹象,在腔内呈高回声,但在心包内呈低回声。心脏 CT 可显示位于心腔、心肌或心包内的脂肪衰减均匀、不增强的肿块。在 CMR 的 T1 加权成像上,脂肪瘤相对于心肌具有特征性的均匀高信号强度,在应用额外的脂肪饱和预脉冲时,这种信号强度会被明显抑制。在 T2 成像中,脂肪瘤呈高信号;在脂肪饱和成像中,脂肪瘤呈明显的低信号。使用造影剂后,脂肪瘤不会出现灌注。除症状严重的病例外,一般不需要手术切除。
乳头状弹力纤维瘤 乳头状弹力纤维瘤比较罕见,通常出现在瓣膜的下游侧。它们在超声心动图上最容易被发现,并可能出现栓塞并发症。手术切除适用于左侧大肿瘤。
乳头状弹力纤维瘤(图 4)更为罕见,占所有 PCT 的 11.5%。它由胶原纤维和弹性纤维组成,有内皮覆盖和短结缔组织蒂。它们出现在主动脉瓣和二尖瓣的瓣膜心内膜上,其次是三尖瓣和心内膜,占所有瓣膜肿瘤的 75%。与赘生物不同,弹力纤维瘤通常出现在瓣膜下游(二尖瓣的左心室侧、主动脉瓣的主动脉侧),通常不会引起瓣膜功能障碍。患者通常为中年人,并伴有栓塞并发症,尤其是脑血栓;这与肿瘤偏爱左侧瓣膜有关。
图 4 乳头状弹力纤维瘤78 岁女性,乳头状弹力纤维瘤,伴有栓塞事件。(A)长轴放大视图,可见一个小型独立移动结构(白色箭头)附着在主动脉瓣上。(B和C)心脏CT显示左右瓣叶之间的高密度肿块(白色箭头),呈叶状乳头状。
乳头状弹力纤维瘤的超声心动图特征是体积小、可独立运动并附着于心内膜表面。在超声心动图上,乳头状弹力纤维瘤的边界可能会出现轻微的条纹或闪烁,这是由于乳头状弹力纤维瘤的指状投影导致瘤体与血液交界处的振动所致。与 TTE 相比,TEE 对乳头状弹力纤维瘤的鉴别更为敏感,因为这些肿瘤通常较小,这加强了 TEE 在栓塞事件评估中的作用。偶尔,在心电门控心脏 CT 上,它们表现为瓣膜表面出现的局灶性低衰减肿块。在 CMR 的 T1 加权成像上,弹力纤维瘤表现为等信号。在T2加权成像中,纤维母细胞瘤由于纤维含量高而呈现低信号,在其他病例中也可能表现为高信号。
对于较大(≥1 cm)的左侧乳头状弹力纤维瘤,如果患者被认为是合适的手术人选且风险较低,或在因其他心血管疾病进行心脏手术时,建议进行手术切除。这大大降低了中风的风险。右侧乳头状弹力纤维瘤通常采取保守治疗,除非其伴有明显的血流动力学阻塞或矛盾性栓塞风险(如心内分流)。如果由于手术风险高或患者偏好而不进行手术,则可考虑使用抗血小板药物治疗,尽管支持数据有限。
横纹肌瘤 横纹肌瘤多见于儿童,可发生于任何心腔。它们可伴有心律失常和心力衰竭症状。横纹肌瘤通常会自发消退,因此建议进行连续超声心动图随访。
横纹肌瘤(图 5)是最常见的小儿 PCT,通常在婴儿出生后第一年发病。这些肿瘤在 90% 的患者中为多发,通常累及心房和心室,在心脏左右两侧的分布相同。横纹肌瘤与结节性硬化症的关系已得到证实。横纹肌瘤具有心律失常性,可出现心悸和晕厥症状。导致血流受阻的腔隙突出可能会导致心力衰竭症状。
图 5 横纹肌瘤产前诊断为多发性心脏横纹肌瘤的新生儿的超声心动图,该新生儿随后被诊断为结节性硬化症。大的心脏肿块向右心室壁侧面、后方和前方延伸,但无右心室流出道梗阻的证据。
在 TTE 上,这些肿块可能表现为圆形(多发)小结节或心腔内有蒂的肿块。偶尔会出现心肌包埋,表现为分叶的均质和高回声肿块,通常比周围心肌更亮。心脏 CT 通常会显示具有均匀低衰减和腔内扩展的膜内病变。多发性肿块和结节性硬化的其他特征可将横纹肌瘤与纤维瘤区分开来。在 CMR 的 T1 加权成像中,横纹肌瘤可表现为等信号,而在 T2 加权成像中,与心肌相比,横纹肌瘤往往表现为高信号。横纹肌瘤没有延迟钆增强表现。
横纹肌瘤通常会自发消退;因此,连续的超声心动图随访是关键,而且通常已经足够。手术通常只适用于有顽固性心律失常或心力衰竭的患者。
纤维瘤 纤维瘤在婴儿中更为常见,通常位于心室,可伴有更广泛的综合征。在 CT 上,纤维瘤最好表现为均匀的肿块,中央有钙化。由于存在心脏性猝死的风险,建议进行手术切除。
心脏纤维瘤是婴儿中第二常见的 PCT。它们由大小不一的成纤维细胞和胶原纤维组成,中央有钙化。它们常见于心室心肌,通常位于左心室游离壁或室间隔,通常可模拟肥厚型心肌病。它们也可能与家族性腺瘤性息肉病和戈林综合征有关,在这种情况下,心房起源更为常见。虽然组织学上是良性的,但患者可能会继发室性心律失常和猝死,因为传导通路受到干扰。大肿瘤也会导致呼吸困难。
在 TTE 上,它们通常表现为心肌内明显的界限清楚、无收缩、实性的高回声肿块,中央有钙化。其大小通常在 1 到 10 厘米之间。心脏 CT 通常显示心肌内均质性低衰减肿块,偶见中央钙化,边缘不一,几乎无增强。在 CMR 的 T1 加权成像上,纤维瘤与肌肉相比呈等信号。在 T2 加权成像上,纤维瘤与其他肿瘤不同,呈均匀低信号,通常在钆的作用下显示极少或无增强。
由于致命性心律失常和猝死的风险增加,再加上这些肿瘤不会自发消退(与横纹肌瘤不同),因此无论有无症状,都建议进行手术切除。
心脏副神经节瘤 心脏副神经节瘤是一种罕见的神经内分泌肿瘤,通常位于左心房。PET 成像呈阳性。建议进行手术切除,术前进行药物优化以防止儿茶酚胺激增。
心脏副神经节瘤(图 6)是一种异常罕见的肿瘤,起源于与大动脉、冠状动脉或心房有关的副神经节细胞。它通常位于左心房(55%),其次是房间隔(16%)和心脏前表面(10%)。它们可以是分泌性肿瘤,也可以是非分泌性肿瘤。前者会产生内源性儿茶酚胺,导致交感神经过度放电,从而引起一系列症状(如心悸、潮红和震颤)。与其他心脏肿瘤一样,患者也可能出现呼吸困难和心绞痛症状,这与心腔或冠状动脉受压有关。
图 6 心脏副神经节瘤72 岁男性,心脏副神经节瘤,表现为潮红和心悸。(A)心脏 CT 显示,右心房上隔侧有一圆形异型肿块,造影剂摄取(白色箭头),右上肺静脉明显受压。肿块血管丰富,由右冠状动脉分支供应。(B)CMR(白色箭头)上的 SSFP 成像出现异质性。(C) 氟脱氧葡萄糖正电子发射断层扫描(FDG-PET)CT 上的右心房肿块(白色箭头)。
在超声心动图上,副神经节瘤通常表现为具有宽基底的回声性肿块。在心脏 CT 上,副神经节瘤表现为异质肿块,在平扫中呈低密度,在增强成像中呈明显强化。在 CMR 上,它们通常在 T2 加权图像上显示高信号强度(50)。正电子发射计算机断层成像(PET)预计也会呈阳性。明确诊断仍需组织病理学检查。
对于分泌型心脏副神经节瘤,术前必须使用α-受体阻滞剂进行药物优化,然后使用β-受体阻滞剂,以避免手术过程中出现血流动力学变化。有症状的心脏副神经管瘤的最终治疗方法是手术。然而,由于这些肿瘤血管丰富,往往会累及冠状动脉,因此手术切除往往比较困难。
恶性 PCT
恶性PCT简介
恶性肿瘤(表3)极为罕见,仅占PCT的5%至6%。肉瘤最为常见(64.8%),其次是淋巴瘤(27%)和间皮瘤(8%)。肿块生长迅速、局部浸润、有滋养血管、出血或坏死、累及一个以上心腔和心包积液都是提示恶性肿瘤的特征。然而,没有一种特征既敏感又特异。与良性心脏肿瘤一样,临床表现也会有所不同,但通常与肿瘤的位置有关。
表 3 恶性心脏肿瘤的组织病理学、活检作用和手术作用
肿瘤
组织病理学
活检的作用
手术的作用
血管肉瘤
高血管化、心肌浸润、多形性、坏死和有丝分裂
可能的话,通常需要完全手术切除
手术切除/剥离以改善症状
平滑肌肉瘤
常出现核钝化的紧密纺锤形细胞束、坏死区域和上皮样区域
通常需要,如果可能
完全手术切除,如果可能
手术切除/剥离以改善症状
横纹肌肉瘤
胚胎型,横纹肌母细胞含有大量糖原,Desmin表达、肌红蛋白和肌原蛋白
通常需要,如有可能
完全手术切除,如有可能
手术切除/剥离以改善症状
骨肉瘤
组织学上异型,多数由纺锤形细胞病变或恶性纤维组织细胞瘤组成,纺锤形区域有骨肉瘤和软骨肉瘤的微小病灶
通常需要,如有可能
完全手术切除(如有可能
手术切除/剥离以改善症状
未分化肉瘤
由未分化的丰满纺锤形细胞组成,具有频繁的有丝分裂活动和(通常)核多形性
通常需要,如果可能
完全手术切除(如果可能
手术切除/剥离以改善症状
原发性心脏淋巴瘤
弥漫性大 B 细胞淋巴瘤是最常见的亚型,但也有伯基特淋巴瘤、低级别 B 细胞淋巴瘤和 T 细胞淋巴瘤的描述
需要
不需要手术
间皮瘤
上皮样(丰满、圆形)、肉瘤样(纺锤形)或两者兼而有之
心包活检或心包液分析
如果可能,完全手术切除
心包切除术以缓解收缩
转移
主要取决于原发肿瘤
通常需要在原发肿瘤部位
仅在有症状的病例中进行手术切除
一般来说,确诊为恶性原发肿瘤的患者生存率较低。一项回顾性研究,对 747 名恶性原发肿瘤患者进行了分析,结果显示,从确诊时算起,1 个月的生存率为 81.2%,12 个月的生存率为 45.3%,60 个月的生存率为 11.5%。与未接受手术治疗的患者相比,接受手术治疗或手术联合化疗和/或放疗的患者疗效更好,这也承认了选择偏倚的风险。死亡率的最大风险因素是高龄、较高的合并症指数和存在转移灶。
恶性原发性肿瘤的类别
原发性心脏肉瘤 心脏肉瘤占所有恶性原发性肿瘤的三分之二以上。与心外软组织肉瘤相比,心脏肉瘤多见于 40 多岁的年轻患者,预后较差,5 年生存率仅为 14%。
原发性心脏肉瘤的组织病理学亚型包括血管肉瘤、平滑肌肉瘤、脂肪肉瘤、横纹肌肉瘤、滑膜肉瘤、肌纤维肉瘤和未分化多形性肉瘤。血管肉瘤是最常见的分化型肉瘤,其次是平滑肌肉瘤。
血管肉瘤 血管肉瘤是一种侵袭性肉瘤,通常起源于右心房,发病时极易发生转移。完全手术切除可获得最佳的远期疗效;然而,由于解剖学因素和转移扩散,完全手术切除很少能实现。
血管肉瘤(图 7)是一种侵袭性很强的肿瘤,由形状不规则的血管通道组成,内衬为无弹性上皮细胞,并伴有大面积坏死和出血。这种肿瘤好发于男性,发病高峰出现在人的第四个十年。约 75% 的病例源于右心房,通常充满心房,然后浸润到心包、三尖瓣、右心室和右冠状动脉。47% 至 89% 的患者会发生转移,最常见的是转移到肺部,但也会转移到骨骼、结肠和大脑。患者通常表现为右心衰竭症状、血心包引起的气短以及继发于室上性心律失常的心悸。
图 7 血管肉瘤58 岁男性,因咯血出现心脏血管肉瘤伴肺部转移。(A)超声心动图显示右心房有异型不规则肿块(白色箭头)。(B)肿块累及右心房(黑箭头),增强心脏 CT 显示肿块呈异质型,并伴有散在的非增强坏死区。右侧胸腔积液。(C)累及右心房的巨大肿块(白色箭头),跨越组织边界(浸润右心房并进入心包间隙和心外脂肪)。肿块血管丰富,CMR 晚期增强成像可见出血和坏死成分。(D)正电子发射计算机断层扫描(PET CT)显示右心房有不规则的高代谢活动区(白色箭头)。
在 TTE 上,血管肉瘤通常表现为右心房的回声结节状或分叶状肿块,伴有心包积液或直接心包扩展。心脏 CT 可评估肿瘤负荷和血管情况。肿瘤大体出血,由于散在的非强化坏死区,外观往往不均匀。确诊时,肿瘤侵犯邻近结构的情况很常见,很容易观察到心包积液和胸腔积液。当肿瘤侵入心包时,由于肿瘤细胞的分布和排列,心包通常会呈 "片状 "增厚,这与横纹肌肉瘤的结节状外观形成鲜明对比。在 CMR 的 T1 加权成像中,它们表现为等信号病变,伴有多个高强度结节区,通常被描述为 "菜花 "外观。肿瘤的晚期钆增强特征表现为异质性增强,可能会出现一个没有增强的大坏死核心。当肿瘤侵犯心包时,由于沿肿瘤突出的血管呈钆强化,通常被描述为 "太阳射线 "外观。
心脏血管肉瘤的预后特别差,不手术切除的平均生存期为 3.8±2.5 个月。没有明确的预后因素。阴性边缘切除术可获得最佳的长期预后,但往往因解剖学因素而无法实施。新辅助化疗结合手术切除可能会带来一些生存优势。然而,由于大多数有关心脏血管肉瘤的文献都是基于临床病例或单个机构的研究,因此并不存在标准化的治疗算法。
平滑肌肉瘤 平滑肌肉瘤(图 8)很罕见,但具有高度侵袭性。通常只有在肿瘤发展到晚期时才会出现症状。完全切除和辅助化疗或放疗可略微改善预后。
图 8 心旁平滑肌肉瘤因胸痛就诊的 42 岁男性,心包旁平滑肌肉瘤。(A)心旁肿块(白色箭头)紧邻左室心尖,在 CMR 的 SSFP 成像中,该肿块似乎位于心包外部,但与心包紧密粘连。(B)CMR 显示心包旁肿块(白色箭头)无后期钆增强。(C)CMR 脂肪-水抑制成像信号强度增高。
平滑肌肉瘤占所有心脏肉瘤的 8%-9%,是一种罕见且侵袭性极强的心脏肉瘤,文献报道不超过 200 例。这些肿瘤通常出现在左心房后部,表现为无梗肿块,外观呈粘液状。这种肿瘤也见于所有其他心腔。组织学上,肿瘤由紧密的纺锤形细胞束组成,细胞核钝化并有坏死区域,有丝分裂像和上皮样区域经常出现。
临床表现取决于肿瘤的位置和大小,但在晚期之前通常没有症状。浸润心肌的肿瘤常伴有心律失常。其他不太常见的表现包括静脉和主动脉内血栓形成。在心脏 CT 上,平滑肌肉瘤表现为不规则的分叶状低度肿块,并伴有心包积液。它们通常侵犯二尖瓣和肺静脉,表现为充盈缺损。也可能出现萎缩性钙化。
原发性心脏平滑肌肉瘤的预后较差,据报道,自诊断之时起,未经治疗的平均存活时间为 6 个月。尽管远处转移的发生率很高,但手术切除能充分缓解症状并提供姑息治疗。有报道称,少数病例仅接受姑息化疗或手术后接受姑息化疗,生存期为 10 至 18 个月。
横纹肌肉瘤 横纹肌肉瘤是最常见的儿科恶性肿瘤,常累及瓣膜。这些肿瘤表现出与心脏受侵或阻塞有关的症状,需要结合手术、化疗和放疗进行治疗。预后不佳。
横纹肌肉瘤是横纹肌的恶性肿瘤,占心脏肉瘤的4%至7%,仍是最常见的小儿心脏恶性肿瘤。这些肿瘤起源于心肌,有累及瓣膜的倾向,且不偏向于心腔。它们通常体积较大,具有侵袭性,直径大于 10 厘米,通常为胚胎型,横纹肌母细胞含有丰富的糖原,并有Desmin表达、肌红蛋白和肌原蛋白。它们通常表现出与心脏侵犯或梗阻有关的症状。由于横纹肌肉瘤在临床表现前生长速度较快,因此很难治疗,而且往往很快致命。
心脏 CT 可显示心腔内平滑或不规则的低衰减肿块。在 CMR 上,它们在 T1 加权图像上呈等信号,在 T2 加权图像上呈高信号,通常表现为均匀的对比度增强,在某些情况下,由于中心坏死而出现低信号区。CT和CMR成像可清晰显示心外扩展。横纹肌肉瘤的阻塞性肺动脉转移被描述为明显的高密度。
横纹肌肉瘤的标准疗法是手术、化疗和放疗相结合,这种方法是在过去几十年中通过一系列大规模试验发展起来的。完全手术切除仍然是一个重要的预后因素;然而,由于该肿瘤的侵袭性,46%的患者会出现转移性疾病。因此,综合治疗方法中最重要的组成部分是全身化疗。长春新碱、双环霉素和环磷酰胺是治疗横纹肌肉瘤的标准方案。对于手术和化疗后仍有微小或大面积残留病灶的患者,可通过放射治疗实现局部控制。遗憾的是,尽管接受了治疗,但大多数原发性心脏横纹肌肉瘤患者的存活期都不足一年。
骨肉瘤 骨肉瘤极为罕见,主要发生在左心房,表现为心律失常和心力衰竭症状。这种肿瘤在 CT 上最好表现为带有致密矿化的低衰减肿块。如有可能,应通过手术切除治疗。
原发性心脏骨肉瘤极为罕见,占所有心脏肉瘤的 3% 至 9%。它们由成片的非典型纺锤形或卵圆形细胞组成,混杂着类骨、骨或软骨物质。它们可能主要是成骨细胞,但仍具有软骨或成纤维细胞分化的潜能。
转移性骨肉瘤通常发生在右心房,而原发性心脏骨肉瘤与之不同,大多数情况下发生在左心房。它们具有高度侵袭性,经常浸润邻近心肌,导致心律失常和心室功能受损。它们经常会浸润到心包,导致心包积液。
在超声心动图上,心脏骨肉瘤常表现为不对称的内部回声。据报道,心脏骨肉瘤的特征性 CT 表现为低衰减肿块,伴有致密矿化。骨肉瘤常伴有致密钙化并形成结石块,或在早期钙化极少。锝-99 MDP(亚甲基二膦酸盐)单光子发射 CT 因其在骨骼系统成像方面的独有优势,也可用于检测骨源性骨肉瘤和骨转移。
由于骨肉瘤的侵袭、大小、部位和附着,大多数病例无法完全切除,因此预后不佳。位于左心房、无坏死和完全手术切除与较高的存活率有关。
未分化肉瘤 未分化肉瘤没有特定的组织学形态,具有侵袭性,常发生在左心房。大多数患者表现为肺充血。尽管进行了手术和姑息化疗,但预后不良。
无特定组织学形态、超微结构特征或特定免疫组化结果的肉瘤被视为未分化肉瘤,占肉瘤的比例小于 24%。未分化高级别多形性肉瘤(以前称为多形性恶性纤维组织细胞瘤)的平均发病年龄为 44 岁,男女发病率相同。它们主要发生在左心房,具有典型的浸润性和弥漫性心壁受累特征。在彻底取样和明智使用辅助诊断技术后,未分化胸膜肉瘤是一种排除性诊断。肿瘤的临床表现多种多样,但最常见的是肺充血。与血管肉瘤类似,它们在 CMR 上可能表现为局灶性或浸润性肿块,伴有坏死和出血。然而,与血管肉瘤通常出现在右心房不同,未分化肉瘤偏爱左心房(81%)。这是一种侵袭性极强的癌症,预后极差。手术和姑息化疗是主要的治疗手段。
原发性心脏淋巴瘤 原发性心脏淋巴瘤主要是侵袭性 B 细胞淋巴瘤,多见于免疫力低下的人群。这些肿瘤好发于心脏右侧,可出现非特异性症状,包括体征。治疗方法是化疗和免疫治疗。
免疫功能正常患者的原发性心脏淋巴瘤(图 9)是一种不常见的恶性肿瘤,占 PCT 的 1.3%,而心外淋巴瘤的心脏转移则更为常见(约 25% 的淋巴瘤患者心脏受累)。几乎所有原发性心脏淋巴瘤都是侵袭性 B 细胞淋巴瘤,在艾滋病患者和接受过移植的患者中,继发于与 Epstein-Barr 病毒有关的淋巴组织增生性疾病的发病率越来越高。确诊时的平均年龄为 63 岁。最常累及心脏右侧,尤其是右心房,但任何心腔均可受累。病变常为多发。
图 9 原发性心脏淋巴瘤72 岁女性,原发性心脏淋巴瘤,表现为呼吸急促和外周水肿加重。(A)心脏肿块(白色箭头)在 CMR 上显示斑片状异质性晚期钆增强。(B)治疗前的 FDG PET/CT。肿块(白色箭头)内 FDG 摄取增加,取代了右心房并延伸至右心室。(C) 治疗后的FDG PET/CT 。右心房心脏肿块(白色箭头)完全代谢清除。
原发性心脏淋巴瘤的症状无特异性。可表现为心律紊乱,包括心脏传导阻滞、晕厥发作,甚至局限性心肌病。全身不适(发热、寒战、出汗和体重减轻)、胸痛和呼吸困难也很常见。约 20% 的患者可能在出现其他症状之前就出现急性心力衰竭。
在超声心动图上,这些肿瘤可表现为均匀的浸润性肿块,导致室壁增厚和限制性生理学改变,也可表现为侵入心腔的结节性肿块,好发于右心室(尤其是右心房)。房室沟也会受到影响,包绕右冠状动脉,心包也会出现渗出或包绕。心脏 CT 可显示大的局灶性肿块、弥漫性软组织浸润或多发结节伴异质强化。纵隔淋巴结病也可能出现。在 CMR 上,组织在 T1 加权成像上呈等信号,但有些病例报告有低信号病变。在T2加权成像上,病灶因弥漫性水肿而轻度高信号。也可观察到提示中心坏死的散在低信号区。18F-FDG PET 通过 18F-FDG 的摄取强度提供病变中细胞代谢和增殖程度的信息,18F-FDG 的摄取强度与病变的恶性程度成正比。18F-FDG PET 还可在化疗结束后进行,以评估最终的治疗反应。
可通过分析心包积液、心内膜活检组织或手术标本确诊。治疗主要采用蒽环类化疗和单克隆抗CD20抗体利妥昔单抗。化疗的总体反应率为 79% 至 87%,但复发率高达 55%,复发部位通常在心外结节外。多模式治疗还可包括自体干细胞移植。心脏淋巴瘤的临床病程通常具有侵袭性。原发性心脏淋巴瘤患者的预后很差。超过60%的患者在确诊后2个月内死亡。预后较差的因素包括免疫状态、左心室受累、心外疾病和心律失常。
间皮瘤 间皮瘤很罕见,大多数情况下来自心包。它通常表现为心包积液,伴有或不伴有心包填塞。这是一种侵袭性很强的疾病,预后极差,通常只能进行姑息治疗。
在原发性恶性心包肿瘤中,间皮瘤占大多数,它们来自心包间皮细胞层。据推测,间皮瘤与石棉接触有关,但明确的因果关系尚未确定。这种肿瘤非常罕见,占所有间皮瘤的 2%以下。根据定义,间皮瘤必须没有胸膜受累或大部分肿瘤位于心包腔内。
在原发性心包间皮瘤患者中,男性患者占多数,中位年龄为 46 岁,主要集中在 50 至 70 岁之间。临床症状和体征与肿瘤的积聚密切相关,因此可包括胸痛、呼吸困难、全身症状(如体重减轻、发热和盗汗)、心律失常以及面部、足部或低肢水肿。
超声心动图通常显示心包积液和包裹心脏的肿瘤;可能看不到不连续的肿块。CMR 和 CT 显示多个增强和凝聚的心包肿块包裹心包间隙。PET/CT 成像与功能和解剖成像数据的联合注册提高了 FDG 摄取增加区域的定位和分期的准确性。这对监测疾病管理的效率和后续治疗的方向非常有价值。
确诊需要进行显微镜评估。可通过心包穿刺术获得细胞学样本,但通常不能揭示病变,只能发现出血和/或炎症的线索。因此需要进行组织病理学分析。组织样本可通过开放活检、心包切除术或肿块切除术获得。从组织学角度来看,间皮瘤可以是上皮性的、肉瘤性的或双相的。
原发性心包间皮瘤是一种侵袭性很强的疾病,由于发病晚、诊断不确定、难以完全切除和对治疗反应差,预后均为阴性。心包间皮瘤患者确诊后的中位生存期为 6 个月。目前还没有确定标准的治疗策略,但通常采用手术加或不加化疗的方法。在手术方面,由于心肌浸润范围广且侵犯邻近结构,因此很难实现完全切除;不过,局部肿块和完全切除的病例可望获得长期生存。姑息性手术和心包切除术是最常用的缓解方法,而开立心包窗则有助于灌注化疗。
继发性心脏肿瘤
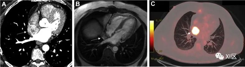
心脏转移瘤(图 10)比 PCT 常见 20 到 40 倍。多达 12% 的肿瘤患者在尸检时发现心脏或心包有转移灶,但大多数患者在临床上没有症状。黑色素瘤最容易累及心脏,而胸腔癌(包括乳腺癌、肺癌和食管癌)是最常见的心脏转移癌。恶性肿瘤通过四种途径中的一种到达心脏,包括血行、淋巴、经静脉扩散或直接侵犯。此外,转移途径在很大程度上决定了靶组织。例如,通过淋巴管扩散的肿块通常会播散到心包或心外膜。
图 10 继发性心脏肿瘤48 岁男性,因急性前心肌梗死出现非小细胞肺癌心脏转移。(A)心脏 CT 显示右心中叶有坏死肿块(白色箭头),并侵入心包。(B)CMR静息灌注显示,软组织肿块内有大面积灌注缺损(白色箭头)。灌注缺损向下延伸至室间隔,很可能是最近发生的左前降支动脉梗塞。第一次灌注时,肿块没有增强(未显示)。(C)CMR 的晚期钆增强成像显示,肿块内有一个无血管核心(白色箭头),周围为高信号增强。
任何已知患有恶性肿瘤并出现新的心血管体征或症状的患者都应怀疑心脏受累。心包受累可能导致心包积液和心包填塞。心肌转移可导致传导障碍,引发心律失常,而心律失常可能对标准抗心律失常药物产生耐药性。心肌被肿瘤细胞取代可能最终导致心力衰竭。腔内肿块会阻碍血流并导致瓣膜功能障碍。多发性肿块或结节是典型的转移,但也有弥漫性浸润。
超声心动图应作为初步诊断检查,以评估是否存在心脏转移性疾病。在 CMR 上,大多数继发性心脏恶性肿瘤在 T1 加权成像上表现为低信号,而在 T2 加权成像上表现为高信号。一个明显的例外是转移性黑色素瘤,由于黑色素的顺磁性 T1 缩短效应,它在 T1 加权成像上表现为高信号。通过 CMR 发现心脏转移灶,即使是孤立的转移灶,其预后也与 IV 期癌症相似。FDG-PET/CT 成像常用于评估转移病灶。在大多数心外组织中,FDG-avid 病灶的划分相对简单。但在心脏转移瘤中,这项任务更具挑战性。心肌的代谢活性很高,其 FDG 摄取与肿瘤相似。患者应在 FDG PET 成像前做好充分的饮食准备。
治疗方法因人而异,主要针对原发肿瘤。除了特定情况,通常不建议切除肿瘤:1)腔内转移瘤导致严重血流动力学并发症,进而发展为心脏失代偿的患者;或2)原发肿瘤得到控制且预后良好的单发心脏疾病患者。
结 论
心脏肿瘤虽然罕见,但即使是良性肿瘤,也可能导致严重的并发症,如心内膜阻塞和致命性心律失常。影像学检查在疑似肿瘤的评估中起着核心作用,随着多模态影像学检查的普及,我们能更好地准确分辨心脏肿块,以提供最佳的医疗管理。影像学检查不仅有助于确定可能的病因,还能规划进一步诊断检查的方法,并指导内科、外科或两者的治疗。
更多干货,关注XI区!
编译整理自:Tyebally S, Chen D, Bhattacharyya S, Mughrabi A, Hussain Z, Manisty C, Westwood M, Ghosh AK, Guha A. Cardiac Tumors: JACC CardioOncology State-of-the-Art Review. JACC CardioOncol. 2020 Jun 16;2(2):293-311. doi: 10.1016/j.jaccao.2020.05.009. 仅供专业人士交流目的,不用于商业用途。
2023年11月20日
如果你觉得写得还不错,请分享、在看和打赏!
原标题:《心脏肿瘤的影像学表现》
本文为澎湃号作者或机构在澎湃新闻上传并发布,仅代表该作者或机构观点,不代表澎湃新闻的观点或立场,澎湃新闻仅提供信息发布平台。申请澎湃号请用电脑访问http://renzheng.thepaper.cn。





- 报料热线: 021-962866
- 报料邮箱: news@thepaper.cn
互联网新闻信息服务许可证:31120170006
增值电信业务经营许可证:沪B2-2017116
© 2014-2026 上海东方报业有限公司




