- +1
浙江大学张军/谢鑫友揭示乳腺癌进展新机制
原创 转网 转化医学网
本文为转化医学网原创,转载请注明出处作者:Jerry
导读:细胞周期失调是乳腺癌的一个重要特征。
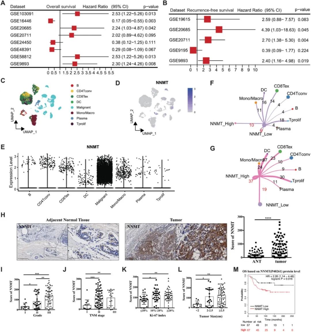
12月21日,浙江大学张军/谢鑫友团队在期刊《Advanced Science》上发表了题为“NNMT/1-MNA Promote Cell-Cycle Progression of Breast Cancer by Targeting UBC12/Cullin-1-Mediated Degradation of P27 Proteins”的研究论文,本研究中,烟酰胺n -甲基转移酶(NNMT)的代谢产物1-甲基烟酰胺(1-MNA)被确定为乳腺癌细胞周期进展的新驱动因素。1-MNA是一种具有生物活性的代谢物,通过加强类泛素化途径介导的p27降解促进乳腺癌进展。本研究揭示了NNMT酶活性与细胞周期进程之间的联系,表明1-MNA可能参与了肿瘤微环境的重塑。
https://onlinelibrary.wiley.com/doi/10.1002/advs.202305907研究背景
01
乳腺癌仍然是全世界妇女中最常诊断的癌症,是发达国家癌症相关死亡的第二大原因,仅次于肺癌。以肿瘤抑制因子失活、细胞周期蛋白和细胞周期蛋白依赖激酶(CDKs)异常激活为特征的细胞周期失调是乳腺癌的一个决定性特征。它表现为癌细胞不受控制的细胞增殖和异常的细胞周期进程。靶向细胞周期调节剂的药物,已被批准用于乳腺癌治疗。然而,尽管取得了这一重大进展,但疾病异质性、缺乏靶点特异性和剂量限制性毒性仍然构成了重大的临床障碍,限制了乳腺癌患者的总生存期。因此,全面了解细胞周期进程及其调控机制不仅阐明了乳腺癌复杂的生物学,而且揭示了潜在的治疗靶点。
代谢变化与细胞周期进程密切相关,因为这两个过程都需要各种信号和途径的协调,以确保产生足够的生物量和能量来进行细胞分裂。例如,癌基因MYC可以诱导参与糖酵解、谷氨酰胺解、核苷酸生物合成和脂肪酸合成的基因表达,并通过激活CDK和抑制CDK抑制剂(CKIs)促进细胞周期进入。另一方面,代谢过程也可以通过改变某些代谢物的水平来影响细胞周期的进程,这些代谢物作为细胞周期调节因子的信号分子或辅助因子。对乳腺癌中促进癌细胞最大限度生长和增殖的代谢途径和代谢物进行表征具有重要价值。
研究过程
02
前期研究表明,NNMT在乳腺癌中的异位表达不仅促进乳腺癌细胞的化疗耐药,还通过介导膜流动性参与TNBC的高转移。最近,研究人员报道,NNMT维持一个核心表观遗传程序,促进乳腺癌的转移定植。目前的研究表明,NNMT是乳腺癌细胞增殖和细胞周期进展的关键启动子,为NNMT在促进乳腺癌进展中的作用提供了额外的证据。
NNMT表达与乳腺癌进展呈正相关在本研究中,通过构建NNMT酶活性死亡突变体,研究人员证明了NNMT的n-甲基转移活性是其下调p27表达和由此导致的细胞周期进程所必需的。具体来说,1-MNA是通过降低p27蛋白半衰期而不是转录来降低p27表达的负责分子。最近,两篇论文报道了1-MNA对人巨噬细胞中T细胞表达IFN-γ和NLRP3炎性体活化的抑制作用。所有这些都推翻了之前的观点,即1-MNA是一种通过尿液排出的惰性代谢物。然而,1-MNA的作用机制和胞内靶点仍不清楚。
本研究中,研究人员发现1-MNA也对乳腺癌中p27蛋白的稳定性起作用。进一步探索发现,1-MNA刺激可通过提高UBC12蛋白水平,显著提高CRL1 E3泛素连接酶激活剂cullin-1类泛素化作用。与此相一致,证据表明,NNMT/1-MNA增强了其他三种cullins蛋白(cullin-2、3、4)的总体类化修饰水平,这三种蛋白也是众所周知的UBC12底物。这些发现证实了NNMT/1-MNA是乳腺癌类化修饰途径的正向上游调节因子。考虑到NNMT/1-MNA对UBC12蛋白水平的调节作用,NNMT/1-MNA可能参与了细胞内蛋白稳定性的调节。因此,研究人员认为NNMT/1-MNA在乳腺癌中的作用并不局限于细胞周期调节和肿瘤转移。
研究人员评估了UBC12在乳腺癌细胞中的蛋白质半衰期,发现UBC12是一种长寿命的细胞内蛋白,半衰期约为24小时。令人惊讶的是,UBC12蛋白结合HSC70并定位到溶酶体作为其注定的降解细胞器,这与一些长寿蛋白倾向于在溶酶体中被降解的概念是一致的。这是第一个证据,表明UBC12是一种长寿命的蛋白质,是溶酶体降解的目标。更重要的是,研究人员证明了NNMT/1-MNA诱导的UBC12表达增加是由于其稳定UBC12蛋白的作用,而不是增加UBC12 mRNA的转录。
在研究1-MNA在溶酶体中阻止UBC12降解的机制时,研究人员惊奇地发现UBC12可能是1-MNA的潜在结合靶点,这在SPR实验和IP-LC-MS/MS实验中都得到了证明。仅基于这一点,研究人员不能得出1-MNA与UBC12结合对于其稳定UBC12的作用是不可或缺的结论。但这项研究至少为研究1-MNA的功能机制提供了一条重要的线索。因此,阐明1-MNA与UBC12结合的生化特性,识别1-MNA其他潜在的细胞内蛋白靶点,将充分阐明1-MNA的生物学作用,为癌症治疗提供新的治疗选择。
基于这些结果,研究人员明确了NNMT/1-MNA是乳腺癌类化修饰途径的正向上游调节因子。
在乳腺癌细胞中,NNMT通过增强拟素化介导的p27降解来促进细胞周期进展,这部分反映了NNMT对拟素化通路激活的生物学作用。
研究结论
03
总的来说,研究人员证实了NNMT在乳腺癌细胞中的高表达有助于细胞周期进程、细胞增殖,并作为乳腺癌预后不良的因素。发现表明,表达NNMT的乳腺癌细胞可能通过将1-MNA释放到肿瘤微环境(TME)中,从而潜在地促进邻近NNMT阴性癌细胞的增殖。鉴于本研究的结果和之前报道的NNMT在乳腺癌中促进转移的作用,开发检测乳腺癌NNMT的诊断试剂盒和探索用于乳腺癌治疗目的的NNMT抑制剂是至关重要和重要的。
参考资料:
https://onlinelibrary.wiley.com/doi/10.1002/advs.202305907
注:本文旨在介绍医学研究进展,不能作为治疗方案参考。如需获得健康指导,请至正规医院就诊。

原标题:《肿瘤进展新驱动因素!浙江大学张军/谢鑫友揭示乳腺癌进展新机制》
本文为澎湃号作者或机构在澎湃新闻上传并发布,仅代表该作者或机构观点,不代表澎湃新闻的观点或立场,澎湃新闻仅提供信息发布平台。申请澎湃号请用电脑访问http://renzheng.thepaper.cn。





- 报料热线: 021-962866
- 报料邮箱: news@thepaper.cn
互联网新闻信息服务许可证:31120170006
增值电信业务经营许可证:沪B2-2017116
© 2014-2026 上海东方报业有限公司




