- +1
最新进展,上海交通大学研究发现促进肿瘤进展的潜在机理
原创 转网


本文为转化医学网原创,转载请注明出处
作者:Sophia
导读:尽管 N1-甲基腺苷(m1A)RNA 修饰是 RNA 代谢的重要调节因子,但 m1A修饰在致癌中的作用仍然是个谜。
12月20日,上海交通大学柴佩韦、范先群及贾仁兵共同通讯在Nucleic Acids Research 上在线发表题为“Histone lactylation-boosted ALKBH3 potentiates tumor progression and diminished promyelocytic leukemia protein nuclear condensates by m1A demethylation of SP100A”的研究论文,该研究结果表明,ALKBH3依赖性的m1A去甲基化对于PML核体的形成至关重要,从而提供了一种新的治疗策略,其中“靶向m1A重编程策略”对肿瘤治疗是有效的。

https://doi.org/10.1093/nar/gkad1193
研究背景
01
RNA修饰被多种酶修饰或去除,这些修饰在基本的分子机制中发挥作用。N1-甲基腺苷 (m1A) RNA 修饰的精确时间和空间调控对于表观基因组稳态至关重要。重要的是,m1A RNA 甲基化阻断了 Watson-Crick 界面,从而影响了 RNA 二级结构和蛋白质-RNA 相互作用,这在 tRNA、rRNA、mRNA 和线粒体 RNA 中观察到。动态 m1A 甲基化由甲基转移酶(写入器:TRMT6、TRMT61A、TRMT61B 和 TRMT10C)、去甲基化酶(橡皮擦:ALKBH1 和 ALKBH3)和 RNA 结合蛋白(读取器:YTHDF)介导。迄今为止,新出现的证据表明,动态 m1A 甲基化在生物过程中起着至关重要的作用,包括基因表达、RNA 稳定性和翻译功效。例如,ALKBH3介导的m1A去甲基化对于Aurora A表达至关重要,Aurora A调节哺乳动物细胞中的纤毛生成。
值得注意的是,m1A甲基化参与多种癌症的致癌作用,包括胃肠道癌、口腔鳞状细胞癌、宫颈癌和霍奇金淋巴瘤。此外,异常的m1A甲基化会触发多种致癌事件,包括代谢重编程、胶原蛋白产生和tRNA衍生小RNA的产生。值得注意的是,m1A 去甲基化酶 ALKBH3 的表达增加在许多癌症中经常观察到,并加速恶性增殖和侵袭。值得注意的是,几项全基因组筛选研究已经证明了超过 ∼500 个显著的 m1A 结合位点;然而,这些m1A甲基化修饰在致癌作用中的潜在功能仍然知之甚少。
研究进展
02
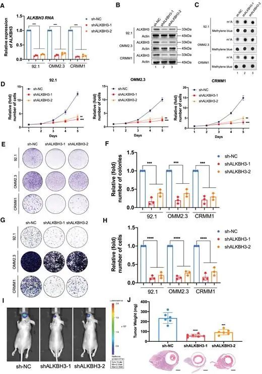
为了探索 ALKBH3 的致癌功能,我们使用两个单独的 shRNA 沉默 ALKBH3 表达(图 2A 和 B)。一致地,在ALKBH3缺陷细胞中观察到m1A水平显著增加(图2C)。此外,ALKBH3沉默导致所有测试的眼部黑色素瘤细胞的细胞生长(图2D)和集落形成能力(图2E和F)显著减弱。此外,敲低ALKBH3导致迁移能力降低,如Transwell测定所证明的那样(图2G和H)。这些数据支持这样一个事实,即 ALKBH3 是眼部黑色素瘤体外恶性增殖和转移的必要致癌因子。为了评估它们在体内的肿瘤形成能力,我们将对照和ALKBH3沉默的92.1黑色素瘤细胞(荧光素酶标记)注射到裸鼠中,并在原位异种移植模型中监测肿瘤生长。生物发光成像显示,ALKBH3缺陷的眼部黑色素瘤细胞的信号强度弱于对照细胞(图2I)。此外,ALKBH3沉默组中异种移植物的平均重量下降了约80%(图2J)。综上所述,这些实验表明,ALKBH3在眼部黑色素瘤的体外和体内肿瘤发生中起致癌作用。

ALKBH3 在体外和体内加速眼部黑色素瘤的肿瘤发生
研究结论
03
本研究,我们发现组蛋白乳酸化通过去除SP100A的m1A甲基化,增强ALKBH3表达,同时减弱肿瘤抑制性早幼粒细胞白血病蛋白(PML)凝聚物的形成,促进癌症的恶性转化。首先,由于组蛋白乳酸化水平过高,ALKBH3 在高危眼部黑色素瘤中特异性上调,指的是 m1A 低甲基化状态。此外,多组学分析随后确定 PML 小体的核心成分 SP100A 是 ALKBH3 的下游候选靶点。在治疗上,ALKBH3 的沉默在体外和体内均对黑色素瘤表现出有效的治疗效果,这可以通过 SP100A 的耗竭来逆转。从机制上讲,我们发现 YTHDF1 负责识别 m1A 甲基化的 SP100A 转录本,从而提高其 RNA 稳定性和翻译功效。

总而言之,我们最初证明了m1A修饰是肿瘤抑制基因表达所必需的,扩展了目前对肿瘤进展过程中动态m1A功能的理解。此外,我们的结果表明,乳酸化驱动的 ALKBH3 对于 PML 核凝合物的形成至关重要,这架架我们对 m1A 修饰、代谢重编程和相分离事件的知识桥梁。
参考资料:
https://doi.org/10.1093/nar/gkad1193
注:本文旨在介绍医学研究进展,不能作为治疗方案参考。如需获得健康指导,请至正规医院就诊。
本文为澎湃号作者或机构在澎湃新闻上传并发布,仅代表该作者或机构观点,不代表澎湃新闻的观点或立场,澎湃新闻仅提供信息发布平台。申请澎湃号请用电脑访问http://renzheng.thepaper.cn。





- 报料热线: 021-962866
- 报料邮箱: news@thepaper.cn
互联网新闻信息服务许可证:31120170006
增值电信业务经营许可证:沪B2-2017116
© 2014-2025 上海东方报业有限公司




