- +1
Nature子刊:西湖大学贾洁敏团队发现神经元调控大脑血流新路径——类突触连接
原创 生物世界
撰文丨王聪编辑丨王多鱼
排版丨水成文
血液供应为大脑中的神经计算提供动力,计算活动的波动会在几秒内引起局部脑血流量(CBF)的相应变化,这也称为神经血管耦合(NVC)。异常的NVC与脑部疾病有关,但我们对NVC的理解仍然不足。
已有130年历史的代谢假说解释了NVC,但这一假说现在越来越有争议,细胞类型特异性和神经递质介导的机制最近成为调节CBF的主要机制。然而,这种神经信使递送特异性的分子和细胞机制仍然很大程度上是未知的。识别向可收缩的小动脉平滑肌细胞(aSMC)的递送策略尤为重要,因为它们可以强有力地和快速地改变CBF。
局部突触和突触活动被认为通过血管活性因子的合成和扩散驱动血管扩张。血管活性因子是指可以影响血管直径和张力的物质,例如一氧化氮(NO)、前列腺素E2(PGE2)和EET。但越来越多的证据表明这一过程是有争议的。例如,血管经常对周围组织几乎没有引起神经活动的刺激做出反应;当光遗传学激活抑制性GABA能神经元时,脑血流量持续增加,而净神经活动减少。这些发现表明,神经信使向血管细胞的递送策略比以前认为的要更为复杂。
除了局部扩散策略外,与aSMC密切相关的血管周围神经末梢的证据长期以来一直表明,神经-血管界面之间的突触样传输可能也对脑内血流的调节起作用。但这种递送机制一直是一个备受争议的话题,在教科书和文献中被低估,主要原因是普遍认为星形胶质细胞终足(astrocytic endfeet)完全隔离了血管系统。因此,经典的血管活性神经递质,例如血清素、乙酰胆碱、多巴胺和神经肽Y,被认为是通过扩散和穿过终足后与aSMC表达的受体结合。这些神经递质是否通过突触样传输介导神经血管耦合(NVC)仍有待确定。
2024年1月2日,西湖大学生命科学学院贾洁敏团队在神经科学顶级期刊 Nature Neuroscience 上发表了题为:Synaptic-like transmission between neural axons and arteriolar smooth muscle cells drives cerebral neurovascular coupling 的研究论文。
该研究发现了一座横架在神经元与血管之间的“新桥梁”——类突触连接(NsMJ)——通过它,谷氨酸能神经元可以直接作用于动脉血管平滑肌细胞,导致动脉舒张,诱发大脑功能性充血。这一发现是对现有脑血流调控机制的进一步完善和补充,也是对实现脑血流快速和精准调控的一个全新认知,为临床上有效治疗缺血性低灌注损伤提供了潜在策略
基于电子显微镜的最新研究揭示了星形胶质细胞终足(astrocytic endfeet)上覆盖着毛细血管的周细胞区域的缝隙,表明轴突可能与周细胞有物理接触。周细胞和aSMC具有相同的胚胎起源,并被统称为壁细胞。如果轴突末端能够通过终足缝隙,它们就可能形成神经-小动脉平滑肌细胞接头(NsMJ),就像骨骼神经肌肉接头一样。随着当前大规模组织的连续切片扫描电子显微镜(SBF-SEM)的应用,这一假设可以直接得到验证。大量研究表明,神经递质谷氨酸在神经活动期间对脑血流量的调节中发挥重要作用。虽然谷氨酸受体中间细胞,例如中间神经元、星形胶质细胞和锥体神经元,已被证明通过释放一氧化氮、花生四烯酸衍生物和前列腺素来调节或部分调节神经血管耦合(NVC),但尚未考虑谷氨酸直接作用于aSMC并放松小动脉的可能性。
最近的研究表明,中枢神经系统的内皮细胞中表达的功能性GluN1介导了NVC。小鼠和人类单细胞RNA测序(RNA-seq)研究报告,大脑aSMC和内皮细胞表达类似水平的Grin1 mRNA,并且aSMC在脑细胞中具有第二高的Grin1 mRNA丰度水平,尽管仍远低于神经元。这表明aSMC本身可能具有谷氨酸感知能力,而是否谷氨酸能轴突属于一种血管周围神经末梢仍有待确定。
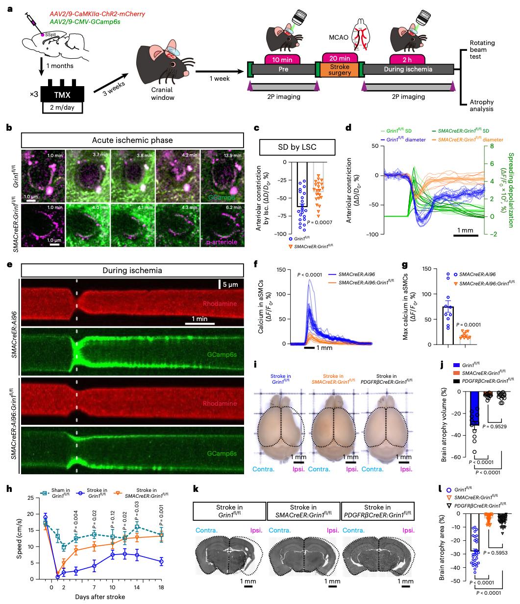
急性缺血性卒中由于过度谷氨酸释放而产生兴奋毒性,并产生扩散去极化(SD),导致随后的小动脉收缩。然而,过度谷氨酸引起的aSMC中NMDA受体的过度激活并没有直接与SD后的小动脉收缩相关。此外,在兴奋毒性期间特异性阻断血管NMDA受体激活是否可以缓解SD引起的血管收缩完全未知。收缩性aSMC依赖于胞内Ca2+振荡来控制血管运动活动。如果aSMC表达Ca2+通透性NMDA受体,研究团队推测过多的谷氨酸可能破坏aSMC的Ca2+稳态,这可能与SD期间aSMC收缩行为有关,从而扩大梗死面积。
在这项研究中,贾洁敏团队结合多种前沿技术,证实了半个多世纪前提出的突触样传输假说。
首先,使用大体积三维扫描电镜和光电联合技术和RNA-seq,克服了电子显微镜的吞吐量问题,并明确识别了不同类型的NsMJ超微结构和aSMC表达的多功能神经递质受体。
其次,使用胶体金电子显微镜,证明了小鼠、猴子和人类aSMC中存在NMDA受体。
第三,体外和体内功能性钙成像和全细胞膜片钳记录揭示了这些NMDA受体的功能,根据谷氨酸水平产生生理和病理结果。
第四,单轴突光遗传学和自然感觉输入验证了谷氨酸能轴突NsMJ(Glu-NsMJ)传输在介导NVC方面至少与PGE2扩散一样重要。
最后,具有aSMC特异性NMDA受体干扰的小鼠在缺血性卒中后表现出减弱的血管收缩和改善的结局。
神经元与动脉血管平滑肌细胞之间形成一种“类突触”(NsMJ)总的来说,这项研究在小鼠中证实了证明单个谷氨酸能轴突通过类突触——神经-小动脉平滑肌细胞接头(NsMJ)之间的突触样传输扩张其神经支配的小动脉。突触前亲子键对突触后树突和小动脉平滑肌细胞(aSMC)进行双向神经支配,其中包括低水平的谷氨酸NMDA受体亚单位1(Grin1)。通过aSMC特异性敲除GluN1来中断NsMJ传输,减少了光遗传学和胡须刺激引起的小鼠大脑功能性充血。值得注意的是,aSMCs中缺少GluN1亚基通过防止缺血诱导的扩散去极化引起的小动脉收缩期间aSMC中的Ca2+过载,减少了脑缺血后的脑萎缩。
在aSMC中基因干扰GluN1,促进缺血性卒中后的功能恢复这项研究结果揭示了大脑中神经元与动脉血管平滑肌细胞之间存在的“类突触”(NsMJ)。该研究从超微结构组成、分子富集特性、体外和体内的功能体现,以及疾病发生发展等方面,对这种类突触信息传递进行了深入探讨。这些发现为深入理解大脑的血供机制提供了新视角,并为开发针对此类连接的脑卒中治疗策略提供了新思路。
贾洁敏团队合影西湖大学生命科学学院特聘研究员贾洁敏为论文通讯作者,西湖大学2017级博士研究生张冬冬为本文第一作者,博士研究生阮家宇为第二作者。
贾洁敏实验室(Jia lab)诚挚欢迎博士后(2位)加盟,优先考虑主观能动性强、电生理学背景或病毒学背景的博士,用现代生物学技术细致研究脑血管生物学,力求精准调控局部脑血流;招聘科研助理(2位),优先考虑责任心强、具有转基因小鼠动物管理经验或者生信分析背景的本科生、硕士生或博士生。
联系Email:jiajiemin@westlake.edu.cn
论文链接:
https://www.nature.com/articles/s41593-023-01515-0
本文为澎湃号作者或机构在澎湃新闻上传并发布,仅代表该作者或机构观点,不代表澎湃新闻的观点或立场,澎湃新闻仅提供信息发布平台。申请澎湃号请用电脑访问http://renzheng.thepaper.cn。





- 报料热线: 021-962866
- 报料邮箱: news@thepaper.cn
互联网新闻信息服务许可证:31120170006
增值电信业务经营许可证:沪B2-2017116
© 2014-2026 上海东方报业有限公司




