- +1
光子计数CT的基本原理与临床价值初探
原创 赵喜同学 XI区
长按识别下方二维码关注我
大家好,欢迎大家访问XI区!
计算机断层扫描(CT)是放射诊断的基础。随着技术的进步,CT的应用范围不断扩大,其中螺旋CT的引入,多排CT的快速发展,以及双源CT等新的系统概念,使得CT具有了独特的临床效益(参见XI区:)。在CT系统中,探测器技术是较为关键的技术之一。它将探测到的X射线信号转换为电信号,通过电子学设备将信号传输并储存至计算机中。
如今,CT已经成为最重要的临床工具。然而,目前的CT技术仍存在一些局限性。有限的空间分辨率阻碍了对冠状动脉等小血管的CTA检查。钙化斑块在CT图像中比实际大得多,冠状动脉狭窄常常被高估。冠状动脉钙化Agatston评分大于1000是无法解释的冠状动脉CTA最相关的独立预测因子。其他CTA,如用于手术计划的肾动脉CTA,以及肺部检查,如用于间质性肺疾病的CT扫描,也将受益于空间分辨率的提高。2017年,一个基于能量积分探测器的超高分辨率CT系统进入临床。该系统已在初步研究中进行了评估,但常规临床经验仍然有限(参见XI区:)。肥胖患者或超低剂量检查时,图像噪声过大、噪声条纹伪影和CT值漂移是当前CT设备的另一个主要缺点。它们是由测量系统的电子噪声引起,在低X射线通量下占主导地位。集成探测器电子元件的探测器显示出降低的电子噪声,并可能进一步降低辐射剂量。双能量CT作为一种除了提供形态学信息外还提供功能信息的技术,已成为一种提高CT临床价值的技术(参见XI区:)。
双能量CT利用了不同X射线能量下X射线衰减的材料特异性差异,并在临床上得到了广泛的应用(更多双能CT的临床应用参见XI区:):
材料鉴别,例如肾结石的特征或痛风(参见XI区:)的鉴别诊断
改善可视化,例如借助虚拟单色图像(VMIs)增强病灶和其他结构的对比度(参见XI区:)
定量,例如通过计算碘图,将局部碘摄取量作为肺栓塞患者局部灌注或腹部病变鉴别诊断的替代参数。
目前可通过双源CT、kV快速切换或双层探测器CT系统等获取双能量CT数据。然而,这些解决方案都有其固有的局限性(参见:)。
光子计数(Photon-counting)的概念从上世纪80年代提出以来,在弱光和微光的探测领域发挥了重要作用。随着X射线光子计数探测器技术的飞速发展,尤其是与之相应的高速处理电子学设备的进步,使得其探测短时间大计数成为可能,并为应用与X射线成像打下基础。
光子计数探测器是一种新的技术,它可以提供非常高的空间分辨率,无电子噪声和固有的多能量信息,从而克服现有CT探测器的上述局限性。10年前,光子计数探测器已经在实验室进行了评估。然而,这些早期系统中使用的探测器的性能不足以满足临床CT成像的要求,主要是因为它们不能承受医用CT的高X射线通量。最近在探测器材料合成和探测器电子设计方面取得的重大进展,使临床前全身光子计数CT原型的安装和进一步的临床应用成为可能。今天我们就聊一聊光子计数探测器CT的基本原理和早期的临床应用。
光子计数探测器简史
光子计数是检测X射线最直观的方法,如果没有技术挑战,光子计数探测器(PCD)从放射学一开始就应该是标准选择。早期,气体探测器很常见,盖革-米勒装置计算电离辐射的个体相互作用。诺贝尔奖授予的多丝正比室结合了光子计数和空间分辨率。这一发展是由基础物理研究推动的,但光子计数气体探测器曾在巴黎一家医院短暂用于成像。在核医学成像中,光子计数从一开始就用于Anger相机以及第一个PET系统。此时闪烁体(通常为NaI或CsI)将入射的伽马射线转换为可见光,由光敏设备检测。
对于X射线成像来说,光子计数的挑战要比核医学成像困难得多。光子的平均能量只有70keV左右,而SPECT为140keV,PET为511keV。此外, CT扫描的X射线注量率最高可达109/mm2/s,而对于核医学成像,它低至100/mm2/s,这对X射线成像的快速脉冲处理提出了更高的限制。
2011年,美国食品和药物管理局批准的第一个光子计数成像系统是Sectra微剂量乳房X射线摄影术。2007年,基于CdZnTe探测器在临床上对第一台全场光子计数CT原型进行了评估,尽管其计数率有限,但仍能产生高质量的材料特定图像。目前有很多个光子计数CT系统正在评估中。
2021年9月,美国食品药品监督管理局(FDA)批准了西门子医疗公司的新型光子计数CT扫描仪-NAEOTOMAlpha,并且肯定了这是该领域近十年来最大的技术进步。NAEOTOM Alpha也在2022年初正式获准进入创新医疗器械特别审查程序,即“绿色通道”。2023年10月,正式获得NMPA批准。NAEOTOMAlpha事目前唯一一个获批的全身光子计数CT系统。
光子计数CT基本原理
简要概述目前所有医学CT扫描仪中使用的固体闪烁探测器的特性,有助于了解光子计数CT探测器的特性及其临床影响。
固态闪烁探测器由边长为0.8–1 mm的单个探测器单元组成,由闪烁体(例如氧化钆或硫氧化钆GOS)制成,背面附有光电二极管,见图1。
图1 能量积分探测器示意图。a) 侧视图,b)俯视图。z方向是患者的纵轴方向。由闪烁体(如GOS)制成的探测器单元吸收X射线(红色箭头)并将其能量转换为可见光(橙色圆圈)。这种光由光电二极管探测并转换成电流。在透明层(例如,基于TiO2)中通过光学方式将单个探测单元分离,以防止光串扰(“死区”)。隔离层上方的准直器叶片抑制散射辐射。吸收的X射线在闪烁体中产生可见光,由光电二极管探测并转换成电流。闪烁光的强度和感应电流脉冲的振幅都与吸收的X射线光子的能量E成正比。在一次读数(投影)的测量时间内记录所有电流脉冲。这会产生探测器信号S
式中,D(E)是探测器的响应度,N(E)是一次读数期间吸收的X射线通量,Emax是X射线束的最大能量,见图2。
图2 对于GOS闪烁体探测器(黑线虚线)和CdTe光子计数探测器(蓝色虚线),探测器响应度D(E)作为X射线能量E的函数。33keV下的碘K-边界用一条垂线表示。与光子计数探测器相比,靠近碘K-边界上方的低能X射线对闪烁探测器的探测器信号的贡献较小。因此,在相同的管电压下,闪烁探测器的碘对比度低于光子计数探测器。低能量X射线光子携带了大部分的低对比度信息,比高能X射线光子对能量积分探测器信号的贡献小。这种能量加权降低了CT图像中的对比噪声比(CNR),特别是在使用碘造影剂的CT扫描中,因为在接近碘K-边界的33 keV的较低能量下X射线吸收最高。光电二极管的低级别模拟电信号被电子噪声扭曲,电子噪声在低X射线通量下变得比X射线光子的量子噪声(泊松噪声)更大,并且如果光通量进一步减小,则会导致图像噪声不成比例地增加和低密度组织(例如肺部)CT值漂移。这种噪声强烈增加和CT值漂移限制了CT中进一步降低辐射剂量的可能性。每个探测器单元都由光学透明层隔开,以防止光子串扰。它们的最小宽度约为0.1 mm,因为这个格栅的存在,探测器的几何剂量效率降低:吸收在格栅中的X射线光子即使穿过患者也不会对测量信号产生影响——从辐射剂量的角度来看,它们是浪费的剂量。目前的医学CT探测器探测单元的有效尺寸约为0.8×0.8 mm2至1×1mm2。假设在平面方向上的附加死区为0.2 mm,在z轴方向上为0.1 mm,则探测器元件的总面积为1.0×0.9 mm2至1.2×1.1 mm2。因此,几何剂量效率约为70-80%。大幅减小闪烁体的尺寸以提高空间分辨率,同时保持格栅的宽度不变,这将进一步降低几何效率——因此,将固态闪烁探测器的空间分辨率提高到目前的性能水平存在问题。
相对于传统的能量积分探测器,光子计数探测器具有很多优势。光子计数探测器由碲化镉(CdTe)、碲锌镉(CZT)或硅(Si)等半导体材料制成。根据材料的不同,探测器由1.4–30 mm厚的半导体层组成。由于CdTe和CZT基CT探测器的原子序数很高,薄层就足够了。硅的原子序数低,在与医学CT相关的X射线能量范围内吸收效率低,因此硅基探测器较厚。此外,硅基探测器的探测效率较低,对于高能量的X射线的能量分辨率较差,因此在DR和CT设备中不常使用。
本文主要介绍CdTe和CZT基光子计数探测器。在半导体层顶部的阴极和底部的像素化阳极电极之间施加高压(800–1000V),见图3。
图3 直接转换光子计数探测器示意图。a) 侧视图,b)俯视图。z方向是患者的纵轴方向。吸收在CdTe或CZT等半导体中的X射线(红色箭头)产生的电子-空穴对在阴极和像素化阳极之间的强电场中分离。探测器像素由像素化阳极和电场组成,两者之间没有格栅。为了抑制散射辐射,需要使用准直器叶片。与闪烁探测器不同,两个准直器叶片之间的每个“宏像素”可以划分为更小的子像素,因为没有“死区”,如左三个探测器单元所示。当然,像素化的阳极必须有相应的结构,这里没有显示。吸收的X射线产生的电子-空穴对在强电场中被分离。电子漂移到阳极并产生短电流脉冲(10-9s)。脉冲整形电路将其转换为半峰宽(FWMH)为10–15ns的电压脉冲;电压脉冲的脉冲高度与吸收的X射线光子的能量E成正比。一旦这些脉冲超过阈值,它们就会被计数,见图4。
图4 光子计数探测器中吸收X射线产生的电子在阳极处产生信号脉冲,脉冲高度与X射线能量成正比。脉冲一旦超过阈值T0(蓝色虚线,“计数”用蓝点表示)立即计数。T0的典型能量为25keV,远高于低振幅基线噪声。还显示了三个更高能量下的额外阈值(50 keV时的T1,75 keV时的T2,90 keV时的T3)-同时读出不同能量阈值下的计数(在本例中为4)提供光谱分辨率的探测器信号。光子计数探测器与固体闪烁探测器相比,有以下几个优点。
单个探测器单元由公共阴极和像素化阳极之间的强电场定义(图3),没有额外的分离层。光子计数探测器的几何剂量效率只会因为不可避免的抗散射准直器叶片或网格而降低。与固体闪烁探测器不同,由准直器叶片限制的每个“宏像素”可分为较小的子像素,这些子像素分别被读出以提高空间分辨率(见图3b)。在一次读数(投影)的测量时间内,一旦超过阈值能量T0,吸收的X射线产生的所有电流脉冲都将被计数。在用于医学CT的光子计数探测器中,T0约为20-25keV。低振幅基线噪声远低于此水平,不会触发计数-即使在低X射线通量下,信号中只存在X射线量子的统计泊松噪声。因此,在极低辐射剂量下的CT扫描或肥胖患者的CT扫描显示出比固体闪烁探测器相应的扫描更少的图像噪声、更少的条纹伪影和更稳定的CT值,并且辐射剂量降低可能会超过今天的限制。探测器响应度D(E)在30 keV到100 keV的X射线能量范围内是近似恒定的(见图2)–只要E超过T0,所有X射线光子对测量信号的贡献就相等,而不管其能量E。这会产生探测器信号S
在固体闪烁体探测器中,低能量X射线光子没有向下加权。因此,光子计数探测器可以提供改善CNR的CT图像,特别是在使用碘造影剂的CT扫描中。在更高级的读出模式中,引入几个在不同能量阈值下工作的计数器来进行能量判别,见图4。在物理上,不同的阈值通过输入脉冲高度比较器电路的不同电压实现。在图4的例子中,实现了4个不同的能量阈值T0、T1、T2和T3。在一次投射期间,计数器1计算能量超过T0的所有X射线脉冲,而计数器2同时计算能量超过T1的所有X射线脉冲,依此类推。光子计数探测器同时提供4个信号S0、S1、S2和S3,具有不同的低能量阈值T0、T1、T2和T3。
从这些原始数据重建的CT图像如图5所示。通过减去相邻的能量阈值较低的探测器信号,可以产生“能量箱”数据。例如,能量箱b0=S1–S0,包含在T1和T0之间的能量范围内检测到的所有X射线光子。同时读取不同能量箱中的CT数据,为任何CT扫描中的光谱分辨测量和材料鉴别打开了潜力。如今已建立的双能应用——主要基于分解成两种基本材料,如碘和水,或碘和钙——常规可行,虚拟单色图像、碘图或虚拟去钙图像可在诊断需要时计算出来。
两个以上阈值的数据采集可以在一定的前提下进行多材料分解。康普顿散射和光电效应是医用CT(30keV-150keV)中使用的唯一两种相互作用机制。它们对能量的依赖性与在这个能量范围内没有K-边界的所有元素都是相似的,这适用于人体内自然存在的所有元素。它们的X射线衰减μ(E)可以描述为
ρ是密度。第一项
描述了光电效应的衰减。Zeff是有效原子序数,k~3–4,n~3–3.5。第二项fKN(E)是Klein-Nishina对康普顿散射衰减的描述。fKN(E)对E的依赖性很弱,α和β是所有能量和Zeff的常数,区分水和碘等两种基础材料需要在不同的能量下进行两次测量。任何其他材料(如钙或铁)的能量依赖性衰减可由两种基本材料的线性组合来描述,见图6。
图6 上图:水、碘、钙、铁和钆的X射线衰减与X射线能量的关系。区分两种基础材料,例如水和碘,需要在两种不同的能量下进行测量。任何其他没有K-边界的材料(如钙或铁)的衰减可以用两种基本材料的线性组合来描述。只有在相关能量范围内添加第三个K边界元素,才能实现三种或更多种材料分解,在本例中为K-边界为55 keV的钆。底部:分解水和碘的X射线衰减为康普顿散射和光电效应。由于碘的高Z值,其衰减主要受光电效应的影响。在这种情况下,添加其他能量的进一步测量不会提供相关的新信息。如果在相关能量范围内有K-边界的材料,如钆,添加到两种基础材料中,情况会发生变化,见图6。对于K-边界材料,X射线衰减的能量依赖性不同,三种或更多能量的CT测量可用于三种材料的分解(两种基本材料加上K边界材料):
fK-edge(E)描述了K-edge元素的能量依赖性衰减。在三个或更多能量箱中使用CT数据进行的三个或更多材料分解将仅限于将K边界元素引入人体的临床场景,例如分离两个造影剂(例如碘和钆,或碘和铋)或其他重元素(例如钨,或金纳米粒子)。除了潜在的物质分解外,通过对不同能量箱的优化加权,可以进一步提高图像的CNR。为了重建图像而不只是添加能量箱数据,可以为低能量箱数据分配更高的权重,特别是在使用碘造影剂的CT扫描中。
与现有的双能量采集技术相比,光子计数探测器通常被认为能提供更好的能量分离和更少的光谱重叠。但不可避免的物理效应会降低光子计数探测器的能量分离。在像素边界附近被吸收的X射线产生的电流脉冲在相邻的探测器单元之间被分割(“电荷共享”“charge sharing”)。由于几个较低能量的撞击,会导致高能X射线光子的错误计数。Cd和Te的K-边界分别为26.7和31.8keV。以能量E入射的X射线可能会踢出探测器材料中的K层电子。空的K壳层立即被重新填充,K-壳层荧光能量EFluro处的特征X射线被释放,这些X射线被重新吸收并计数在探测器单元本身或相邻的探测器单元中(“K-逃逸”“K-escape”)。入射到主相互作用位置的X射线会损失能量EFluro,并以能量E-EFluro计数(探测器信号中产生的峰值称为“K-逃逸峰”“K-escape peak”)。总之,高能X射线光子在较低能量下再次被错误地计数,光谱分离和空间分辨率降低。电荷共享、荧光和K-逃逸如图7所示(硅基光子计数探测器不存在K-逃逸问题。然而,由于硅原子序数较低,大量入射的X射线光子不被吸收,而是一次或多次康普顿散射,每次沉积少量能量。康普顿相互作用降低了能量分离和空间分辨率)。
图7 像素边界电荷共享和K-逃逸引起的能量损失的示意图,这将导致X射线脉冲在错误能量下重复计数并减少光谱分离。EFluro是K壳层荧光X射线能量。图8示出了CdTe光子计数探测器的光谱响应[我们假设一个1.6mm厚的直接转换器与像素化阳极(单元尺寸250×250μm2)。在阴极和像素化阳极之间施加1000V的偏置电压。我们假设具有高斯整形特性的模拟前置放大器,导致FWHM平均25 ns脉冲持续时间的信号脉冲。考虑了亚像素边界处的荧光,K-逃逸,电荷扩散/色散和信号分裂,没有考虑脉冲堆积。假设钨阳极的CT典型X射线光谱具有0.9mm钛和3.5mm铝的标准预过滤]。图8作为电荷共享、荧光和K-逃逸对探测器信号的影响的定性说明,其无意提供关于特定CdTe/CZT探测器性能的定量信息。如果用多个能量阈值读出探测器,导致多个能量箱,那么低能量箱将包含错误的高能信息(因为高能撞击导致探测器在较低的X射线能量下响应,见图8)。对于包括电荷共享、荧光和K-逃逸在内的实际探测器模型,两个能量箱的光谱分离可能相当于优化预过滤的双kV扫描。
图8 左:CdTe光子计数探测器对入射单色100keV X射线束(黑色垂直线)的响应的定性图示。较低X射线能量下的探测器响应是由电荷共享,K-逃逸和荧光引起的。EFluro是探测器材料的K壳荧光X射线能量。100keV-EFluro处的峰是由X射线引起,该X射线弹出K电子,失去能量EFluro,然后在主相互作用位点被吸收(K-逃逸峰,参见图7)。EFluro的峰值是由K-壳荧光X射线的重吸收引起(也参见图7)。右:在给定的入射X射线能量E(keV)下,在CdTe光子计数探测器中测量脉冲幅度[keV当量]的概率(右边的色标表示概率)。图8左侧可以看作是在100keV下穿过该图的垂直切割,参见白线。增加探测器像素的大小改善了光谱分离,因为边界效应,如电荷共享和K-逃逸对探测器信号的贡献较小,见图9。
图9 实际光子计数探测器2个能量箱中记录的140 kV入射光谱(箱1:25–65 keV,蓝线;箱2:65–140 keV,绿线)的计算机模拟。虚线是入射X射线光谱。左:像素大小0.225×0.225 mm2。右:像素大小0.45×0.45 mm2。增加像素大小可以减少由电荷共享和其他效应(如K-逃逸)引起的低能量箱的特征“高能尾”。探测器像素的最大尺寸受到脉冲整形后有限宽度的限制(FWHM≥10ns)。医用CT在高X射线通量率下运行,高达109次/s/mm2——如果探测器像素太大,过多的X射线光子在时间上撞击得太近而无法单独登记。几个重叠的脉冲然后被计算为一次撞击,能量太高(“脉冲堆积”“pulse pile-up”),见图10。
图10 具有4个能量阈值的光子计数探测器中脉冲堆积的示意图(与图4中的情况相比)。由于比图4中更高的X射线通量率,一些信号脉冲重叠并且没有单独记录,而是在错误的能量阈值(“脉冲堆积”)处作为一次撞击(粉红色线)。探测器像素越大,可以在没有脉冲堆积的情况下记录的X射线通量率就越低。脉冲堆积导致探测器计数率非线性,最终导致探测器饱和。即使信号可以在饱和开始之前被线性化,也无法避免显著的量子损耗、图像噪声的增加和能量分辨力的降低。解决这个困境的一个方法是缩小探测器的像素尺寸——然而,更小的像素会导致更多的电荷共享和K-逃逸。在光子计数探测器的设计中,需要寻找最佳的探测单元尺寸以平衡脉冲堆积、电荷共享和K-逃逸。
光子计数探测器的另一个问题是在较高的X射线通量下计数率漂移。传感器材料中不均匀分布的晶体缺陷会导致电子和空穴的俘获,由此产生的空间电荷会改变单个探测器像素的电场分布。这会根据各个像素的“辐照历史”(“irradiation history” )改变信号脉冲的特性,并且在较高的通量率下可能导致图像中出现严重的环形伪影。
研究发现,即使使用高管电流的扫描,脉冲堆积的影响都可以忽略。目前商用的光子技术CT系统的最终图像质量基本不受上述因素的影响。
光子计数CT临床价值
光子计数CT是一种很有前途的医学CT系统。临床前的原型被用来评估光子计数CT在临床实践中的潜力和局限性。以下内容更专注于这些临床前装置,没有考虑其他更具实验性的解决方案、台式系统和光子计数微型CT系统。
硅基光子计数探测器首次被用于乳腺CT成像,但其范围很快就扩展到了其他应用领域。心脏样本的合成单能量、虚拟平扫和虚拟去钙图像可以通过具有8个能量箱的实验台式CT扫描仪获得。同时,有学者还提出了一个原型单源CT扫描仪,该扫描仪具有全视野硅基光子计数探测器,能够对患者进行扫描。与参考CT扫描仪的14 lp/cm相比,该系统提供了19 lp/cm的改进空间分辨率。
几个临床前原型CT系统配备了CdTe或CZT探测器。
基于具有8个能量通道的Medipix探测器的小口径光谱微型CT已经转化为大口径光子计数CT,能够在临床辐射剂量水平内获得人类的诊断光谱CT图像,但是,尚未发表进一步的结果。
基于CZT(Philips Healthcare,Haifa,Israel)的带光子计数探测器的临床前单源CT系统提供了168 mm的平面视野和2.5 mm的z轴覆盖,旋转时间为1s。探测器像素尺寸为0.5x0.5mm2。光子计数探测器有5个能量阈值。该系统通过模型和动物扫描进行评估,证明由于分辨率更高,对肺结构的评估得到了改善,并且改善了冠状动脉支架内腔和支架内再狭窄的可视化效果。多材料分解法可鉴别多种造影剂,具有多种潜在的临床应用价值。通过计算碘图和虚拟平扫图像,牛脑中血液和碘的区别也得到了证明。
临床前混合双源CT扫描仪配备传统闪烁探测器和CdTe光子计数探测器(Siemens Healthcare GmbH,Forchheim,Germany)。光子计数探测器由尺寸为0.225x0.225mm2的子像素组成。探测器为每个亚像素提供2个能量阈值。2x2子像素可以被分为“锐利像素(sharp pixel)”或“超高分辨率(UHR)像素”,像素大小为0.45×0.45 mm2,4x4子像素可分为类似于当今医学CT系统的0.9×0.9 mm2的“宏像素”(“macro pixel”)。通过在“象棋模式”(“chess pattern”)模式下为相邻探测器子像素分配交替的低能和高能阈值,探测器以“宏像素”提供4个能量阈值。
另一种临床前单源CT扫描仪(Siemens Healthcare GmbH,Forchheim,Germany)配备了CdTe光子计数探测器,其像素几何结构与混合双源CT相似。光子计数探测器由尺寸为0.275x0.322mm2的子像素组成。它在ISO中心的视野为500mm。在“标准”模式下,2x2子像素可以被组合成一个“宏像素”。子像素也可以在“UHR”模式下单独读出。探测器提供每个亚像素4个能量阈值。
临床前混合双源CT的成像性能通过体模和尸体扫描进行评估,以确定临床实际水平的X射线光子通量的临床图像质量。在人类志愿者的腹部对比增强扫描中,光子计数探测器图像显示出与传统CT图像相似的定性和定量图像质量,同时还为材料分解提供光谱信息。
光子计数CT对碘-CNR的改善是由于缺少了低能量X射线光子的加权,在模拟4个体型的拟人模型中进行了测量。与闪烁探测器系统相比,在80、100、120和140 kV下,碘CNR分别增加11%、23%、31%和38%。碘-CNR的这些改善有可能转化为减少辐射剂量,或减少造影剂的用量。对21名志愿者进行的脑部CT研究显示,软组织对比度有所改善。与常规CT图像相比,光子计数CT图像的灰质和白质的鉴别评分较高,这是由于软组织对比度较高(10.3±1.9HU对8.9±1.8HU)以及光子计数CT图像噪声较低有关。
在低辐射剂量的各种临床应用中,评估消除电子噪声对图像质量的影响。与闪烁体探测器相比,临床前混合双源CT的光子计数探测器获取的肩部图像中的条纹伪影更少。Symons等人发现肺部、毛玻璃和肺气肿等模体等效海绵橡胶的HU单位稳定性更好,测量结果的再现性更好。这是进一步降低肺部成像中辐射剂量的一个重要先决条件,例如在肺癌筛查的背景下。在一项对30名接受低剂量胸部CT成像的受试者的研究中,光子计数CT显示了更高的诊断质量,肺、软组织和骨骼的图像质量分数显著提高,线束硬化伪影更少,图像噪声更低,肺结节检测的CNR更高,见图11。
图11 用临床前混合双源CT原型获得的低剂量肺扫描的实例。A:能量积分探测器图像。B:光子计数探测器图像,由于没有电子噪声,在低辐射剂量下表现出较少的图像噪声(箭头)和改善的CNR。在一项联合体模、离体和体内研究中,低辐射剂量下冠状动脉钙化积分(CAC)质量得到改善。10名志愿者的标准剂量(平均CTDIvol=5.4mGy)和低剂量(平均CTDIvol=1.6mGy)的CAC评分,光子计数CT明显优于常规CT,这是由于缺少低能量X射线光子的向下加权,没有电子噪声,加上钙软组织对比度提高。作者认为光子计数CT技术可能在进一步降低CAC评分的辐射剂量方面发挥作用。
临床前混合双源CT在“Sharp”模式和“UHR”模式下光子计数探测器的较小像素使其在空间分辨率方面的改善在一些体模研究中得到了评估。显示了150μm的平面内空间分辨率和0.41mm的最小切片宽度,并且在肺、肩部和颞骨的临床图像中证实了更好的空间分辨率,见图12。在等空间分辨率下,由于测量系统具有更好的调制传递函数(MTF),光子计数CT图像比传统CT图像具有更小的图像噪声。在“UHR”模式下,冠状动脉支架内腔的可见度有了显著改善,当使用专用的锐利卷积核时,冠状动脉支架成像的定性和定量图像特征也更为优越。
图12 用临床前混合双源CT原型采集肩部扫描的例子。左:能量积分探测器图像。右:光子计数探测器图像,“Sharp”模式,展示更高的空间分辨率和显著改善骨骼结构的可视化。Pourmorteza等人在一项小型研究中观察到,与标准分辨率光子计数CT(“宏”模式)相比,“UHR”模式下的空间分辨率有所提高,图像噪声更小。与商用能量积分探测器CT扫描仪的超高分辨率模式相比,用“UHR”模式扫描的颞骨解剖结构更清晰。
与临床参考图像相比,22例经临床显示的高分辨率胸部CT检查的成人患者的高阶支气管和三阶/四阶支气管壁在保留肺结节的显著性下具有更高的可视性。作者结合了“Sharp”模式光子计数CT和图像重建1024x1024大矩阵及专用的Sharp卷积核。根据作者的说法,光子计数CT有助于气道疾病的高分辨率成像,并有可能用于其他疾病,如纤维化、蜂窝肺和肺气肿。
图13显示了在高分辨率胸部CT中使用光子计数探测器可实现的图像质量。
图13 EID-CT胸部图像(左上图)0.6 mm层厚,IR重建,以及用WFBP(右上图)和两种迭代强度(分别为1和3、左下和右下)以及0.6 mm层厚的同一患者的PCD-CT胸部图像。EID-CT和PCD-CT图像均显示右下叶支气管轻度扩张(箭头所示),并伴有外周分支。使用UHR模式的PCD-CT图像清晰地描绘了远端支气管周围分支处的粘液塞(箭头)。显示的ROI测量值是CT值标准差。显示窗宽/窗位=[1500/-600]HU。实际上,空间分辨率不仅取决于探测器的像素大小,而且还取决于X射线管的焦点尺寸,而焦点尺寸需要相应地减小。病灶越小,通常球管可用功率越小,这就限制了超高分辨率CT扫描的临床应用范围。此外,如果辐射剂量保持不变,分辨率的提高是以图像噪声增加为代价的。在所有情况下,增加患者的辐射剂量以补偿较高的噪声可能是不可接受的。因此,非线性数据和图像去噪技术将在利用光子计数探测器的高分辨率潜力方面发挥关键作用。
光子计数CT的一个主要优点是在任何扫描中都能获得光谱分辨率的数据。
带光子计数探测器的临床前混合双源CT原型的光谱性能在体模研究中进行了评估,发现VMIs中的CT值精度和碘定量精度可与双源双能量CT相当。根据作者的说法,光子计数CT还具有其他优点,如完美的时间和空间对准以避免运动伪影,高空间分辨率,以及改进的CNR。在一个装有碘水溶液(0.1–50 mg/ml)的试管的模拟头部模型中,观察到实际碘浓度与碘图中测量的碘浓度之间的非常一致。作者评估了16名无症状志愿者头颈部CTA中碘图和VMIs的使用情况,并提出VMIs是一种通过重建不同keV的图像来增强斑块检测、表征以及狭窄分级的方法。
光子计数CT的VMIs的常规可用性可能为CT协议的进一步标准化铺平道路,前提是通过精细处理提高VMIs的CNR和图像质量。在这种方法中,根据临床问题定制的标准化keV水平的VMI(例如,实质器官对比增强检查为50-70keV,CT血管造影研究为40-50keV)是任何CT扫描的主要输出,而不管采集协议如何,见图14。更进一步,采集协议也可以标准化。一些作者已经推荐了一种标准化采集协议,该协议使用140kV X射线管电压,用于所有患者的腹部CT增强检查,标准化VMI重建为50keV。根据作者的说法,使用该方案可以获得所有患者大小的最佳或接近最佳的碘CNR。
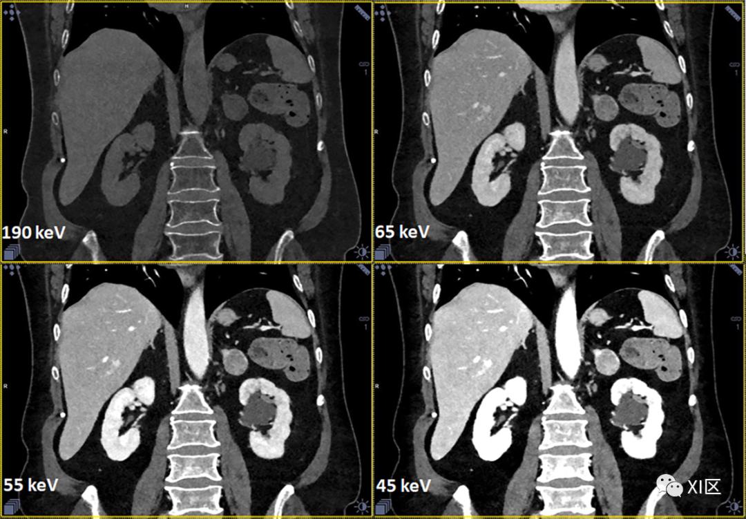
图14 67岁女性患有肾上腺腺瘤和肾盂旁肾囊肿的腹部图像,采用带有光子计数探测器的临床前单源CT原型采集。数据采集:“标准”模式,144x0.4 mm准直,0.3 s旋转时间,CTDIvol=10.2 mGy,DLP=450 mGy·cm。图像重建:VMI为190 keV,65 keV,55 keV和45 keV,0.4 mm层厚。请注意,随着keV的增加,碘和钙的对比度降低-190 keV图像可以替代虚拟平扫图像。一些作者评估了光谱光子计数CT在肾结石检测和特征描述方面的性能。他们发现,在鉴别结石成分方面,整体表现与最先进的双能CT相当,而光子计数CT能够更好地帮助确定小肾结石的特征。
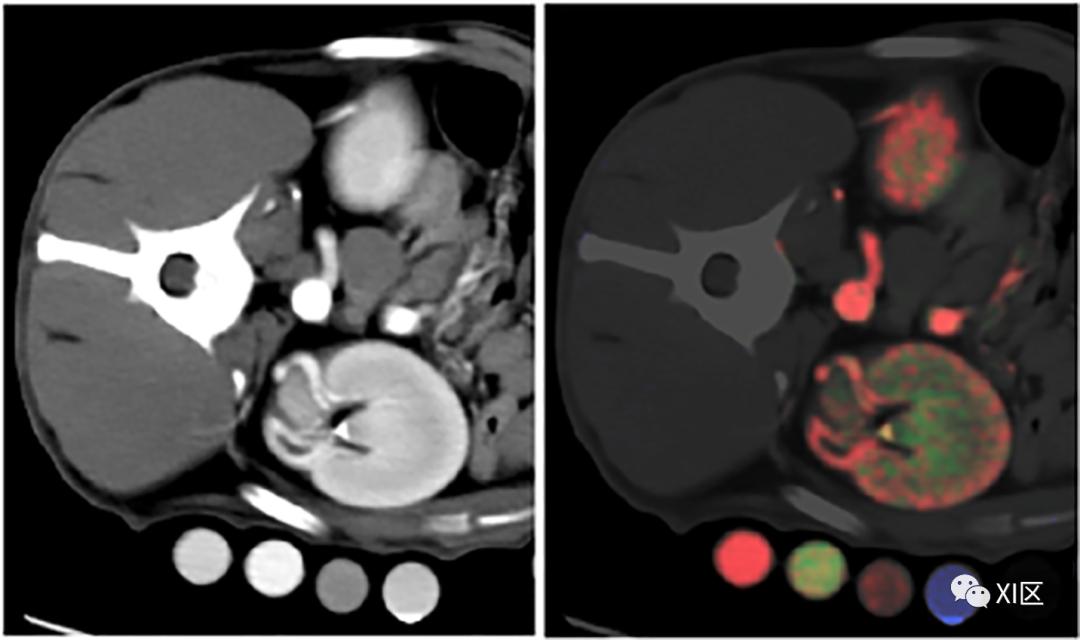
如果光子计数探测器使用两个以上的能量箱,则如果存在K-边界元素,则可能发生多材料分解。在犬心肌梗死模型中,Symons等人对心脏进行了双重造影剂成像,以同时评估心肌的首过和延迟强化。作者的结论是,联合第一次碘和晚期钆图可以定量分离血池、梗死疤痕和远端心肌。同一作者还研究了三种造影剂(铋、碘和钆)在犬模型中同时分解的可行性。他们观察到在单次CT采集中多期的组织增强,打开了用多个造影剂代替多期CT扫描的可能性,见图15。
图15 在狗的模型中通过多材料分解同时对3种不同的造影剂(碘,钆和铋)进行成像。扫描数据采用临床前混合双源CT原型采集。在扫描前一天以上给予铋,然后在扫描前3-5分钟静脉内施用钆造影剂,并在扫描前立即静脉内施用碘造影剂,以在单个CT采集中观察肾脏增强的不同阶段。扫描数据在四个能量箱(25–50 keV,50–75 keV,75–90 keV和90–140 keV)中读出。左:通过组合四个能量箱的数据,使用所有检测到的X射线光子的灰度图像。三种造影剂无法区分。右:覆盖彩色材料图的灰度图像。碘的颜色编码为红色,钆为绿色,铋为蓝色。在临床实践中,多材料分解过程中不可避免地会增加图像噪声,这可能会阻碍多材质料图的使用。与超高分辨率扫描一样,非线性数据和图像去噪技术将在临床应用中发挥关键作用,以充分发挥多材料分解的潜力。
概括来说,CT扫描中的光子计数探测器为患者、放射科医生和转诊医生提供了关键优势:
图像质量:在低剂量水平下可以获得最高分辨率的图像,如果与双源配置结合,可以获得最高时间分辨率的图像。没有必要将高分辨率成像的使用限制在特殊要求的情况下,但在任何情况下都可以获得清晰的图像。使用高分辨模式可以进一步提高图像分辨率(图16)。
图16 内耳高分辨率图像:左侧是基于标准闪烁体探测器的系统,右侧是基于光子计数探测器的CT扫描仪。第一排镫骨和第二排耳蜗的显示更清晰。辐射剂量:在相当的图像质量下,辐射剂量可以显著降低。剂量减少量在很大程度上取决于应用,但可以达到剂量减少量的85%。这使得我们可以考虑在筛查应用中使用计算机断层扫描,例如肺癌。
造影剂剂量(CA)。使用光子计数探测器使我们能够减少造影剂的剂量,同时实现与经典探测器相同的图像对比度。例如,对于肾功能受损的患者来说,这一益处至关重要。
多能量数据(“颜色信息”)在每次扫描中都可用。这些额外的多参数和内在一致的数据可能有助于放射科医生在未来改进他们的诊断。即使在今天,双能应用也有助于选择最合适的治疗方法,但并非总是适用于每种情况。冠状动脉造影剂和钙化的清晰分离是“彩色数据”可以满足的许多挑战性任务之一(图17)。
图17 冠状动脉多能量成像具有最高的空间分辨率和时间分辨率。即使在钙负荷较高的情况下,对CAD患者的信心评估也是如此。在这些单能65keV图像中,冠状动脉中的钙化明显与血管腔分离。由此可见,光子计数探测器在CT扫描的几乎每一个临床应用中都是非常有前途的。相信随着商用系统进入临床,更多的临床应用会被挖掘出来。医学X射线成像将从已知的灰度图像发展为高分辨率彩色图像,就像我们在过去几年中观察到的相机和胶片技术的发展一样。这项技术的真正潜力将在未来的研究中进行调查,可能不限于特殊情况。因此,这有助于使全球所有人类的生活更加健康。
更多干货,关注XI区!
参考文献:
Danielsson M, Persson M, Sjölin M. Photon-counting x-ray detectors for CT. Phys Med Biol. 2021 Jan 29;66(3):03TR01. doi: 10.1088/1361-6560/abc5a5.
Flohr T, Petersilka M, Henning A, Ulzheimer S, Ferda J, Schmidt B. Photon-counting CT review. Phys Med. 2020 Nov 26;79:126-136. doi: 10.1016/j.ejmp.2020.10.030.
Willemink MJ, Persson M, Pourmorteza A, Pelc NJ, Fleischmann D. Photon-counting CT: Technical Principles and Clinical Prospects. Radiology. 2018 Nov;289(2):293-312. doi: 10.1148/radiol.2018172656.
Leng S, Rajendran K, Gong H, Zhou W, Halaweish AF, Henning A, Kappler S, Baer M, Fletcher JG, McCollough CH. 150-μm Spatial Resolution Using Photon-Counting Detector Computed Tomography Technology: Technical Performance and First Patient Images. Invest Radiol. 2018 Nov;53(11):655-662. doi: 10.1097/RLI.0000000000000488.
Rajendran K, Petersilka M, Henning A, Shanblatt E, Marsh J Jr, Thorne J, Schmidt B, Flohr T, Fletcher J, McCollough C, Leng S. Full field-of-view, high-resolution, photon-counting detector CT: technical assessment and initial patient experience. Phys Med Biol. 2021 Oct 27;66(20):10.1088/1361-6560/ac155e.
Grant KL, Flohr TG, Krauss B, Sedlmair M, Thomas C, Schmidt B. Assessment of an advanced image-based technique to calculate virtual monoenergetic computed tomographic images from a dual-energy examination to improve contrast-to-noise ratio in examinations using iodinated contrast media. Invest Radiol. 2014 Sep;49(9):586-92. doi: 10.1097/RLI.0000000000000060.
Symons R, Krauss B, Sahbaee P, Cork TE, Lakshmanan MN, Bluemke DA, Pourmorteza A. Photon-counting CT for simultaneous imaging of multiple contrast agents in the abdomen: An in vivo study. Med Phys. 2017 Oct;44(10):5120-5127. doi: 10.1002/mp.12301.
Jungblut L, Blüthgen C, Polacin M, Messerli M, Schmidt B, Euler A, Alkadhi H, Frauenfelder T, Martini K. First Performance Evaluation of an Artificial Intelligence-Based Computer-Aided Detection System for Pulmonary Nodule Evaluation in Dual-Source Photon-Counting Detector CT at Different Low-Dose Levels. Invest Radiol. 2022 Feb 1;57(2):108-114. doi: 10.1097/RLI.0000000000000814.
Rajendran K, Petersilka M, Henning A, Shanblatt ER, Schmidt B, Flohr TG, Ferrero A, Baffour F, Diehn FE, Yu L, Rajiah P, Fletcher JG, Leng S, McCollough CH. First Clinical Photon-counting Detector CT System: Technical Evaluation. Radiology. 2022 Apr;303(1):130-138. doi: 10.1148/radiol.212579.
Kreisler B. Photon counting Detectors: Concept, technical Challenges, and clinical outlook. Eur J Radiol. 2022 Apr;149:110229. doi: 10.1016/j.ejrad.2022.110229.
仅用于专业人士交流,不用于商业用途。
本文为澎湃号作者或机构在澎湃新闻上传并发布,仅代表该作者或机构观点,不代表澎湃新闻的观点或立场,澎湃新闻仅提供信息发布平台。申请澎湃号请用电脑访问http://renzheng.thepaper.cn。





- 报料热线: 021-962866
- 报料邮箱: news@thepaper.cn
互联网新闻信息服务许可证:31120170006
增值电信业务经营许可证:沪B2-2017116
© 2014-2026 上海东方报业有限公司




