- +1
探案丨两肺多发病灶伴淋巴结肿大,看似简单也不简单
原创 胡涛 金文婷等 SIFIC感染视界
作者:胡涛 金文婷 马玉燕审阅:胡必杰 潘珏
(发布日期:2024-03-04)
胡涛 中山医院感染病科进修医生 扬州大学附属医院感染性疾病科副主任医师
一、病史简介
男性,58岁,江苏人,2024-02-20入中山医院感染病科。
主诉:活动后气促伴咳嗽3月。
现病史
2023-12 无明显诱因出现活动后胸闷气促,伴干咳,无胸痛、下肢水肿、发热盗汗消瘦等,未诊治。
2024-02-11 活动后气促加重,至当地医院查胸部CT:两肺部分斑点、小结节,两侧胸腔积液伴两下肺膨胀不全;心包积液。心脏超声:LVEF 54%,左室舒张功能减退。肝肾功能正常,BNP 289pg/ml,肿瘤标记物(CEA、AFP、NSE、SCC、CYFRA21-1)、自身抗体阴性。
2024-02-14 当地行左侧胸腔积液穿刺置管,3天内共引流约2000mL淡黄色澄清胸水,胸水常规:颜色淡黄,细胞计数 820*10^6/L(单核80%,多核20%),胸水生化:总蛋白54.1g/L,ADA 0.3U/L,胸水CEA0.89ng/ml,脱落细胞阴性,胸水涂片找抗酸杆菌阴性,胸水XPERT.TB阴性。未能明确胸水病因,于02-16出院,建议转诊上级医院。
2024-02-20 为明确肺内病灶性质及胸水病因收入中山医院感染病科。
既往史:银屑病史10余年,靶向治疗(具体用药不详),目前控制可。否认高血压、糖尿病史。
二、入院检查(2024-02-20)体格检查
T:37℃,P:120次/分,R:20次/分,BP:125/75mmHg。
查体:神志清,精神尚可。带入左侧胸管1根,管口处无渗血渗液;右下肺呼吸音低,两肺未闻及明显干湿性啰音。心律齐,腹平软,全腹未及压痛、反跳痛,下肢无水肿。
实验室检查
血气分析(不吸氧):pH 7.42,PaCO2 39mmHg,PaO2 86mmHg
血常规:WBC 4.17X10^9/L,N 67.4%,Hb 134g/L,Plt 131X10^9/L
炎症标志物:hsCRP 47.5mg/L,ESR 36mm/H,PCT 0.06ng/ml
生化:ALT/AST 25/35U/L,Alb 41g/L,SCr 79μmol/L
D-二聚体:2.44mg/L
心脏标志物:cTnT 0.037ng/ml,BNP 177pg/ml
T-SPOT.TB 抗原A/B 37/52(阴性/阳性对照:0/220 );G试验、GM试验、EBV/CMV-DNA阴性
血管紧张素转化酶:69.8U/L
肿瘤标志物(CEA、AFP、CA19-9、SCC、CYFRA21-1、NSE、ProGRP)阴性,自身抗体、免疫固定电泳阴性
细胞免疫:CD4/CD8 2.0,CD4 272cells/uL,CD8 136cells/uL
辅助检查
心电图:窦性心动过速,部分导联T波改变。
心超(2024-02-21):极少量心包积液。
三、临床分析病史特点:患者中老年男性,两肺多发结节、多发淋巴结肿大、胸腔及心包积液,胸腔积液为渗出液,肿瘤标记物正常,脱落细胞阴性,T-SPOT.TB 抗原A/B 37/52。综合目前资料,两肺多发结节、多发淋巴结肿大及胸腔、心包积液原因鉴别诊断如下:
结核病:两肺多发结节,部分呈典型“树芽征”表现,伴胸腔及心包积液,锁骨上、纵隔多发淋巴结肿大;T-SPOT.TB阳性;胸水为渗出液,首先考虑结核病累及肺、淋巴结、胸膜心包可能。但患者无低热、盗汗、消瘦等毒性症状,胸水ADA不高,且成人锁骨上淋巴结结核少见,入院后可行肺活检或气管镜及EBUS-TBNA明确病灶性质,活检标本行涂片找抗酸杆菌、XPERT.TB、mNGS、分枝杆菌培养等寻找结核病原学依据。
肺癌:中老年男性,两肺多发病灶,最大者位于左下肺,呈结节状,似有分叶、毛刺,伴锁骨上及纵隔多发淋巴结肿大;虽血清及胸水肿瘤标志物阴性,胸水脱落细胞未见肿瘤性细胞;仍需警惕肺癌伴肺、淋巴结转移,可行左下肺结节穿刺活检以明确病理。
肺癌合并肺结核:肺结核患者的肺癌发病率明显高于非结核患者。两上肺多发“树芽征”样表现可符合结核肉芽肿性病变,但中老年男性,左下肺结节较大且似有分叶、毛刺,锁骨上及纵隔多发淋巴结肿大,要警惕肺结核合并肺癌可能,可行病理活检以明确。
其他疾病:如肺结节病,多以中青年发病为主,肺内结节多位于胸膜下;该患者影像学特点不符合典型的结节病表现,ACE、血钙正常,故可能性小。其次,患者多发淋巴结肿大伴多浆膜腔积液,需警惕淋巴瘤,但患者血LDH正常,免疫固定电泳阴性,淋巴瘤诊断依据不多。可行PET/CT、淋巴结活检、肺内病灶活检进一步除外。
四、进一步检查、诊治过程和治疗反应
2024-02-20 外院带入左侧胸腔引流管一根,每日引流出淡黄色澄清胸水约600ml。胸水常规:黄色,微浊,蛋白定性试验+,比重1.030,红细胞1700/mm3,白细胞2093/mm3,多核细胞10.0%,单核细胞89.0%,嗜酸性粒细胞1.0%;生化:蛋白53.71g/L,白蛋白31.03g/L,葡萄糖5.6mmol/L,乳酸脱氢酶155U/L;腺苷脱氨酶27.0U/L;肿瘤标志物:癌胚抗原1.3ng/mL;糖类抗原19-9<2IU/ml。
2024-02-21 胸水涂片找细菌、真菌、抗酸杆菌阴性,XPERT.TB阴性。细菌培养:阴性。胸水脱落细胞*2次:均未见明确的恶性肿瘤细胞。
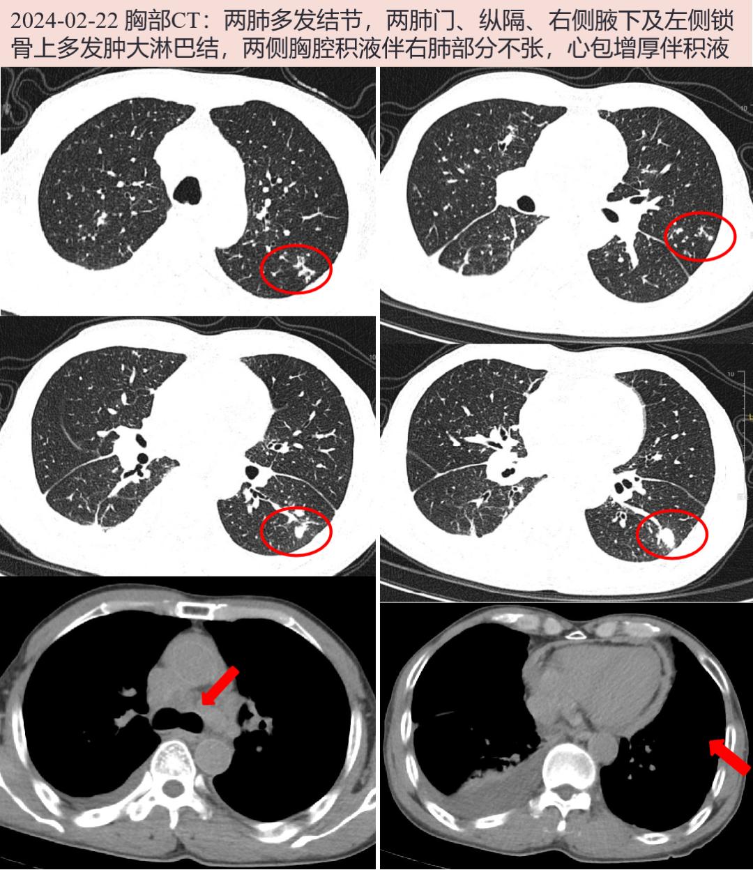
2024-02-22 胸部CT:两肺多发结节,两肺门、纵隔、右侧腋下及左侧锁骨上多发肿大淋巴结,两侧胸腔积液伴右肺部分不张,心包增厚伴积液。腹盆CT增强:肝小囊肿,双肾小囊肿;脾脏多发小低密度灶,脉管瘤可能;前列腺增生伴钙化;盆腔少量积液。
2024-02-22 考虑结核病临床诊断明确,不论是否合并肿瘤性病变,均需要抗结核治疗,故予异烟肼0.3g qd+利福平0.45g qd+阿米卡星0.6g qd +左氧氟沙星0.5g qd抗结核。
2024-02-23 胸水mNGS回报(02-20采样):阴性。
2024-02-23 左下肺结节病灶考虑肿瘤性病变不排除,故经CT引导下左下肺病灶穿刺活检。
2024-02-24 肺组织涂片找细菌、真菌、抗酸杆菌阴性,XPERT.TB阴性。2024-02-24 肺穿刺初步病理:低分化癌,待组化及基因结果。
2024-02-26 为明确淋巴结性质,行超声引导下右锁骨上淋巴结穿刺活检,
2024-02-26 右锁骨上淋巴结穿刺初步病理:为彻底凝固性坏死及多核巨细胞,倾向肉芽肿性病变。
2024-02-26 淋巴结组织涂片找细菌、真菌、抗酸杆菌阴性,组织XPERT.TB:阳性(极低浓度)。
2024-02-27 PET/CT:左肺下叶MT(分叶状实性结节,大小约20.0×17.0mm,SUVmax 7.8);多处(双肺门、纵隔、右侧腋窝、双侧锁骨区及颈部、膈上心周、右侧肋间、腹腔及腹膜后,心包增厚伴糖代谢异常增高,SUVmax10.9;右锁骨区肿大淋巴结大小25.3×14.3mm,SUVmax 5.9)淋巴结、双肺、纵隔血管间隙及心包感染性病变合并转移可能。
2024-02-27 右锁骨上淋巴结穿刺病理(02-25采样):肉芽肿性病变,抗酸(可疑+)。
2024-02-28 肺穿刺病理组化及酶标(02-24采样):低分化鳞状细胞癌。
2024-02-28 肺组织、右锁骨上淋巴结组织细菌培养阴性,真菌、分枝杆菌培养未归。右锁骨上淋巴结组织mNGS回报(02-26采样):检出结核分枝杆菌复合群核酸序列16条。
2024-02-28 患者体温平, 胸水引流每日少于200ml,予拔管出院,继续异烟肼0.3g qd+利福平0.45g qd+乙胺丁醇0.75g qd+吡嗪酰胺1g qd抗结核;PET/CT提示、腋窝、肺门、纵隔淋巴结代谢增高均位于右侧,考虑结核病累及多处淋巴结可能大,肺鳞癌淋巴结转移可能小,临床分期考虑T1N0M0可能,嘱至呼吸内科、胸外科评估肺癌治疗。出院后随访
2024-03-04 电话随访,已至胸外科、呼吸内科门诊就诊,待结核感染好转后限期行肿瘤相关治疗。
五、最后诊断与诊断依据
最终诊断
结核病(肺、淋巴结、胸膜及心包?)
左下肺低分化鳞癌,淋巴结转移?
诊断依据
患者老年男性,活动后气促伴咳嗽3月,胸CT:两肺多发结节,双侧锁骨上、右腋下、肺门、纵隔多发肿大淋巴结,两侧胸腔积液、心包增厚伴积液。PET/CT:左肺下叶结节病灶代谢增高考虑MT;多处(双肺门、纵隔、右侧腋窝、双侧锁骨区及颈部、膈上心周、右侧肋间、腹腔及腹膜后)淋巴结、双肺、纵隔血管间隙及心包感染性病变合并转移可能。左下肺结节穿刺病理为低分化鳞癌。右侧锁骨上淋巴结穿刺病理为肉芽肿性病变,抗酸染色可疑阳性,组织XPERT.TB 阳性、mNGS检出结核分枝杆菌复合群。故考虑结核病累及肺、淋巴结明确,胸膜及心包累及可能;合并左下肺低分化鳞癌可能大,淋巴结转移不除外。
六、经验与体会
肺结核患者的肺癌发病率是非肺结核人群的2~4倍,而肺癌患者免疫功能抑制,可导致患者体内休眠期的MTB重新激活。肺结核合并肺癌的患者有相似的临床表现及影像学特点,通常容易误诊、漏诊、延迟诊断,给临床诊疗工作带来诸多挑战。
该患者T-SPOT阳性(抗原A/B 37/52),胸部CT检查两肺多发结节,部分有典型“树芽征”改变,多发淋巴结肿大、心包及胸腔积液。临床考虑结核病累及肺、淋巴结、胸膜及心包可能,也诊断性应用了抗结核治疗。但患者无结核毒血症状,胸水ADA不高,左下肺结节呈团块状,似有毛刺、分叶,如果漏诊肺癌仅当成肺结核进行治疗,则错过了肺癌的最佳治疗时机。因此行左下肺病灶穿刺,明确为低分化鳞癌。
在临床工作中,我们也要警惕陷入“一元论”的思维,因病理确诊而单一诊断为某一疾病,认为肺部多发结节及远处淋巴结肿大为转移灶,忽略了合并有其他疾病的可能。仔细阅CT片,该患者肺部其他病灶更倾向肺结核表现,T-SPOT阳性,且患者PET/CT检查见肺门、纵隔、腋窝、锁骨上淋巴结明显高代谢的均位于右侧,不符合左下肺癌常见转移部位,因此针对右侧锁骨上淋巴结进行了穿刺活检,病理提示肉芽肿性变,抗酸染色可疑阳性,XPERT.TB弱阳性,考虑淋巴结结核诊断明确,也间接支持其他淋巴结为结核可能。
肺癌合并活动性肺结核应同时进行抗肿瘤和抗结核治疗以提高临床获益。目前认为标准四联抗结核治疗2-3周后进行手术或化疗较安全。该患者出院后继续标准抗结核四联治疗,针对肺癌分期可至专科进一步行EBUS-TBNA明确纵隔及肺门淋巴结性质,或者行规范抗结核治疗4周后复查胸部CT增强,了解肺内病灶及淋巴结变化,决定下一步治疗。
参考文献:
[1]HWANG S Y ,KIM J Y,LEE H S,et al.Pulmonary tuberculosis and risk of lung cancer:a systematic review and meta-analysis[J].Clin Med,2022,11(3):765.
[2]Yu S,Yang L,Wang MY,et al. Role of tuberculosis in the pathogenesis of lung cancer[J].Chin J Clin Oncol,2020,47(15):798-802.
[2]YE M F,SU S,HUANG Z H,et al. Efficacy and safety of concurrent anti-tuberculosis treatment and chemotherapy in lung cancer patients with co-existent tuberculosis[J].Ann Transl Med,2020,8(18):1143.
[3]GUO W,WANG M,CHEN G,et al. Early surgery with antibi_x0002_otic medication was effective and efficient in treating pyogenic spondylodiscitis [ J ]. BMC Musculoskelet Disord, 2021, 22(1):288.
本文为澎湃号作者或机构在澎湃新闻上传并发布,仅代表该作者或机构观点,不代表澎湃新闻的观点或立场,澎湃新闻仅提供信息发布平台。申请澎湃号请用电脑访问http://renzheng.thepaper.cn。





- 报料热线: 021-962866
- 报料邮箱: news@thepaper.cn
互联网新闻信息服务许可证:31120170006
增值电信业务经营许可证:沪B2-2017116
© 2014-2026 上海东方报业有限公司




