- +1
张然/李宁团队证实超小型TnpB系统可实现高效体内基因编辑
原创 生物世界
撰文丨王聪
编辑丨王多鱼
排版丨水成文
来自细菌和古菌的适应性免疫系统CRISPR已经彻底改变了基因组编辑,但大部分CRISPR系统尺寸较大,例如最广泛使用的Cas9、Cas12的尺寸通常超过1000个氨基酸,限制了在体内基因编辑治疗方面的应用。
最近的一些研究发现,原核转座子编码的IscB和TnpB蛋白分别是Cas9与Cas12核酸酶的祖先,它们分别可以在ωRNA和reRNA的引导下切割DNA双链,这表明它们具有Cas核酸酶类似的功能,具有可编程的RNA引导的核酸内切酶活性。
例如,来自耐辐射奇球菌的ISDra2-TnpB,其可在人类细胞系HEK293T细胞中高效切割DNA。更重要的是,其仅有408个氨基酸,是Cas9的三分之一大小,因此具有更高的递送灵活性。但到目前为止,ISDra2-TnpB进行体内基因编辑以及简化和改进的潜力,还没有得到充分探索。
2024年3月19日,中国农业大学张然、北京首农股份有限公司李宁等人在 Cell Discovery 期刊发表了题为:Hypercompact TnpB and truncated TnpB systems enable efficient genome editing in vitro and in vivo 的研究论文。
该研究使用ISDra2-TnpB对小鼠进行了体内基因编辑,并证明了其在基于腺相关病毒(AAV)的体内基因组编辑中的应用。此外,该研究还开发一种截短的超小型TnpB编辑器(仅379个氨基酸大小),该编辑器通过缩短TnpB的C端来生成,其在哺乳动物细胞和小鼠体内同样具有高效的基因编辑能力。
研究团队首先在人类细胞系和小鼠细胞系中证实了ISDra2-TnpB的高活性基因编辑。然后,他们将靶向酪氨酸酶(Tyr)的ISDra2-TnpB和reRNA通过显微注射到单细胞期小鼠胚胎中,并将其移植到代孕母鼠体内。结果显示,在50ng/μL DNA质粒注射组、100ng/μL DNA质粒注射组和100/50ng/μL TnpB-mRNA/reRNA注射组中,分别有18%、30.3%和33.3%的小鼠在目标位点发生了突变,Tyr突变小鼠表现出不同程度的部分皮毛颜色变化。
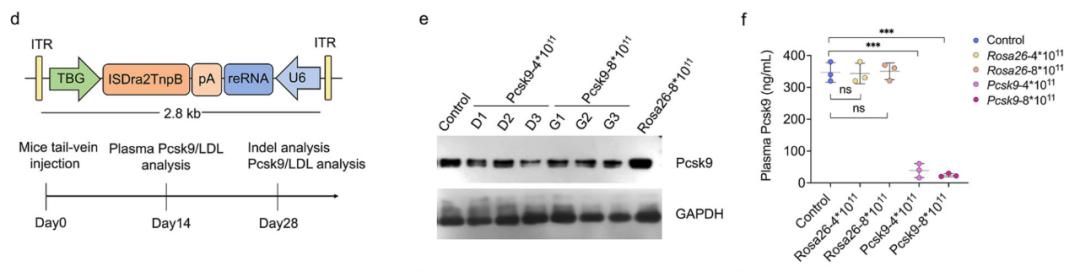
研究团队进一步使用腺相关病毒(AAV)递送了靶向PCSK9的ISDra2-TnpB及其reRNA,通过尾静脉注射AAV,在注射后0天、14天和28天收集血清样本,以测量LDL(低密度脂蛋白)水平,并在第28天获取其肝脏组织。结果显示,对肝脏PCSK9的编辑效率为9.5%,血浆PCSK9蛋白水平降低约90%,血浆LDL水平降低50%,且没有观察到脱靶效应。这些结果证明了RNA引导的紧凑型TnpB核酸酶是一种高效和高保真的基因组编辑工具。
为了实现更简洁的结构,研究团队进一步开发了一种具有缩短CTD域的截短TnpB超小型编辑器。研究团队首先设计了6个ISDra2-TnpB变体——TnpB390、TnpB383、TnpB380、TnpB373、TnpB360和TnpB350,然后将这些变体被转染到HEK293T细胞中,并使用深度测序评估它们在九个内源性基因位点上的编辑效率。根据编辑效率,进一步设计了截短优化变体——TnpB379、TnpB378、TnpB377、TnpB376等,他们的编辑效率与ISDra2-TnpB相似,而ISDra2-TnpB或TnpB379在任何预测脱靶位点上都没有明显的脱靶。因此,研究团队选择TnpB379作为最佳的超小型编辑器进行进一步开发,并进一步证实了超小型TnpB379在单细胞期小鼠胚胎中具有高效编辑能力。
总的来说,该研究证实了ISDra2-TnpB作为在体外和体内实现高效位点修饰的小型基因编辑工具的潜力。该研究还成功构建了一种新型截短的超小型ISDra2-TnpB编辑器,尺寸仅379个氨基酸,在哺乳动物细胞和小鼠中表现出高效的基因组编辑能力。这种极其紧凑的非Cas核酸酶TnpB和截短的超小型ISDra2-TnpB代表了一种有前途的多功能工具,可用于各种基因组编辑应用。相关阅读:
2024年1月27日,临港实验室、上海脑科学与类脑研究中心胥春龙团队联合辉大基因周英思团队、新加坡国立大学胡纯一团队,在 Nature Communications 期刊上发表了题为:Engineering a transposon-associated TnpB-ωRNA system for efficient gene editing and phenotypic correction of a tyrosinaemia mouse model 的研究论文【2】。
该研究通过工程化改造优化了TnpB-ωRNA基因编辑工具,并证明了其能够在小鼠模型中进行高效的体内编辑,而且通过单个腺相关病毒(AAV)向肝脏递送改造后的TnpB-ωRNA,成功实现了对小鼠模型中酪氨酸血症的治疗,预示微型TnpB编辑工具在疾病基因编辑治疗方面的巨大潜力。
论文链接:1. https://www.nature.com/articles/s41421-023-00645-w
2. https://www.nature.com/articles/s41467-024-45197-z
本文为澎湃号作者或机构在澎湃新闻上传并发布,仅代表该作者或机构观点,不代表澎湃新闻的观点或立场,澎湃新闻仅提供信息发布平台。申请澎湃号请用电脑访问http://renzheng.thepaper.cn。





- 报料热线: 021-962866
- 报料邮箱: news@thepaper.cn
互联网新闻信息服务许可证:31120170006
增值电信业务经营许可证:沪B2-2017116
© 2014-2026 上海东方报业有限公司




