- +1
双源光子计数CT:神经血管临床应用概述
原创 赵喜同学
计算机断层扫描(CT)是目前临床使用的基础成像模式之一。它几乎遍布全球的标准医疗机构和急诊室,可用于诊断各种疾病。它能提供病人体内线性衰减系数分布的三维图像,准确地划分器官和组织。
X 射线探测器是 CT 扫描仪的关键部件,对图像质量和辐射剂量起着至关重要的作用。所有现代商用 CT 扫描仪都采用固态探测器和第三代旋转-旋转设计。在 CT 成像中,对不同类型的组织进行分类具有挑战性,因为元素组成不同的材料可以用相同或非常相似的 CT 值来表示,例如,钙化斑块或邻近的骨骼可能与含碘的血液无法区分。
除了难以区分和分类组织类型外,测量物质浓度的准确性也会因多种组织类型的存在而降低。例如,在测量软组织病变的碘增强量时,病变上测量到的平均 CT 值不仅反映了碘增强,还反映了下层组织的 CT 值。造成上述困难的原因在于,测量到的体素 CT 值与其线性衰减系数有关,而线性衰减系数又是材料成分、与材料相互作用的光子能量和材料质量密度共同作用的结果,因此对于任何给定材料来说都不是唯一的。
最近,CT 领域的一个显著发展是分析穿过物体的 X 射线的光谱信息。双能量 CT(DECT)是一种基于能量积分探测器(EID)或光子计数探测器(PCD)的光谱分离系统。PCD 技术是一种获取多能量数据集的新方法,与传统的 EID 相比具有各种优势。
来自意大利的学者分析了 EID 和 PCD 的物理原理以及各自的优缺点,讨论了PCD 的应用,特别侧重于其在神经血管领域的应用。我们今天一块学习一下。
传统 EID 技术
标准 CT 探测器采用两步间接转换技术。首先,闪烁体将 X 射线能量转换为可见光。其次,收集可见光并通过光电二极管将其转换为电荷。探测器的输出信号与所有检测到的 X 射线光子沉积的总能量成正比,因此被称为能量积分探测器。由于产生的光束是多能量的,而能量积分探测器根据检测到的光子的能量对测量信号进行加权,因此在输出信号中,低能量光子的贡献小于高能量光子,从而导致噪声增加和对比度降低。
此外,由于可见光在闪烁体内部的空间扩散非常强,探测器的各个像素需要用反射材料隔开,以便将光线留在陶瓷内部,只允许光线射向光电二极管。因此,像素不能做得太小,因为像素之间的区域不参与转换过程,因此在测量光子时会丢失。
使用传统 EID 的双能量 CT 可分为基于球管的 CT 技术(双源 CT、kVp快速切换CT、双光束CT)和基于探测器的技术(双层CT)。
PCD技术
除了X射线强度的总量外,光子计数探测器还能通过直接转换技术,使用具有高停止功率的快速半导体传感器(如碲化镉(CdTe)或碲化镉锌(CZT)),对每个进入的X射线光子进行单独测量。
直接转换原理可以缩小像素尺寸,消除反射隔膜,从而提高分辨率。这一过程始于入射的X射线,X射线被半导体吸收后,产生一团正负电荷(即电子空穴对),其数量是光子能量的函数。正负电荷被迅速拉开,移动的电子电荷在相应的像素电极上产生电信号,并通过电子读出电路记录下来。
因此,每个撞击探测器元件的光子都会产生一个电脉冲,其高度与光子沉积的能量成正比。然后,探测器的电子系统对高度超过预设阈值的脉冲数进行计数。阈值设置为高于电子噪声电平(从而消除电子噪声,并随之减少辐射剂量和伪影),但低于入射光子产生的脉冲。此外,通过将每个脉冲与多个阈值水平进行比较,探测器可以根据光子的能量将其分类到能量箱中。
PCD的优缺点
PCD-CT在诊断领域有很多优点。
首先,由于分辨率较高,它可以改善许多诊断领域中细小结构的可视化:
在肺部成像中,它能更好地显示支气管壁以及正常实质组织中可能出现的病理变化,如磨玻璃和网状结构;
在骨骼成像中,与低剂量CT相比,它能以相似的剂量识别骨髓瘤的溶解性病变和病理性骨折,并能对鼻窦和颞骨的亚毫米结构进行更好的解剖划分;
在肾脏系统中,与传统CT相比,它能描述较小的肾结石(3mm及以下)。
其次,与EID-CT相比,它能在相同管电压下提高碘对比度,这是因为它能对低能量光子进行正确计数,而传统的EID会降低低能量光子的权重。PCCT在碘信号方面的改进还可用于减少碘的用量,从而在肾病患者的不同诊断任务中实现类似的图像对比度差异。
第三,由于具有能量分辨能力,PCD可以在单个X射线管上同时获取多能量图像。这就实现了物质分解(MD)、斑块去除、骨去除和虚拟单色图像(VMI),如虚拟平扫(VNC)成像、虚拟去钙成像和碘成像。
第四,PCD使用尽可能高的电压(140kV),以获得最大的光子能谱。基于140kV的技术可有效减少线束硬化伪影,同时不影响软组织-碘对比度,并减少肥胖患者的噪声。
最后,双源PCCT可避免使用镇静剂,生成的图像具有较高的空间分辨率和对比噪声比,同时提高了剂量效率,有利于减少儿科人群的剂量。与传统的EID-CT相比,通过附加锡滤波器在高电压下获取的PCCT图像可显著减少鼻窦成像和颞骨成像的剂量。事实上,在超高分辨率成像中,PCD无需使用剂量效率低的梳状/栅状滤波器。
然而,必须考虑到这种技术固有的某些局限性。PCD无法在高计数率下正常工作。事实上,高计数率会导致两个光子在很近的时间内被吸收,并被错误地计算为单个光子,其能量等于两个光子的能量之和。这种效应被称为电子堆积,可能会导致能量分辨率降低,影响图像质量。这也是为什么人们越来越热衷于使用快速读出电子设备和小探测器像素,以降低每个像素的计数率。然而,如果缩小像素尺寸一方面可以减少堆积效应,另一方面也会导致电荷共享现象的增加,即探测器中光子吸收所产生的电子电荷云被附近的两个像素共享,从而造成光谱响应失真。不过,事实证明,尽管使用了高通量(在140 kV电压下高达550 mA)和宽能谱,原型PCD系统的堆积效应仍可忽略不计。
神经血管领域的临床应用
碘图
头颈部血管造影是诊断急性脑部疾病(如缺血性中风和颅内出血)的关键步骤。在这方面,碘图有助于改善颅外和颅内血管的可视化。
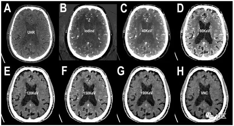
头部PCCT血管造影:单色成像。图中显示的是静脉注射造影剂后在动脉期进行的脑扫描的轴向切片图像。在(A)中,可以看到超高分辨率(矩阵1024×1024;层厚/增量0.2/0.1mm;体素100 μm;卷积核Bv60;辐射剂量与使用同类第三代双源CT进行的头部血管造影相当)。由于获取的图像富含整个keV光谱,因此在(B)中可以看到碘光谱的相同切片。从(C-G)中可以看到同一切片在不同keV设置下的图像,从40 keV到190 keV。虽然可以像(B)中那样用碘谱重建图像,但也可以重建并减去碘谱(即由碘化造影剂决定的对比度增强),形成虚拟平扫图像(VNC)(H)。通过一次PCCT采集,可以获得多个多参数信息。
头部PCCT血管造影:三维电影容积渲染显示。图中显示的是100 μm超高分辨率的PCCT脑血管造影(源数据集;矩阵1024×1024;层厚/增量0.2/0.1mm;卷积核Bv60;辐射剂量与使用同类第三代双源CT进行的同等头部CT血管造影相当),使用了容积三维最大密度投影(MIP) (A)和电影容积渲染(B)。值得注意的是,显示的小动脉血管密度大幅增加。
头部PCCT血管造影:MIP容积显示。图中显示的是在三个主要平面:轴向(A)、矢状面(B)和冠状面(C)使用厚片三维最大密度投影(MIP)进行的100 μm超高分辨率PCCT脑血管造影(源数据集;矩阵1024×1024;层厚/增量0.2/0.1mm;卷积核Bv60;辐射剂量与使用同类第三代双源CT进行的等效头部CT血管造影相当)。值得注意的是,所显示的小动脉血管密度和可视段长度大幅增加;(A)为大脑后动脉和中动脉,(B)为大脑前动脉,(C)为大脑中动脉。Symons等人对头颈部主要血管的人体研究比较了PCD技术和EID技术,发现前者在图像噪声(比EID低9.1%)和图像伪影方面表现更好。
在Riederer等人的一项研究中,在牛脑模型的体外和体内研究了PCCT与传统CT相比,在从碘渗漏中区分出血性梗死转化的血液方面所能发挥的作用。事实上,高密度区在神经血管手术后经常出现,而这两种实体之间的区别是有意义的,因为有研究表明,造影剂外渗是预测接受急性缺血性中风血管内治疗的患者临床疗效不佳的一个因素。Riederer等人的研究表明,在传统CT成像中,血液和碘的HU密度在体外和牛的体内外模型中都很相似,而PCCT的碘图可明确区分两者并精确量化碘。
Van Hedent就同一主题进行的一项模型研究表明,PCCT可以准确区分血液和碘化造影剂(p<0.01)。
这些研究结果与之前就同一主题对DECT和传统CT进行比较的研究结果一致。
PCCT还可用于评估来源不明的脑内出血(ICH),区分肿瘤出血和纯粹的脑内出血,DECT在这方面已被证明有效。
Michael等人最近通过信号噪声、信噪比(SNR)和对比噪声比(CNR)的定性评估和定量评估,评估了单能重建(MER)和多能重建(PER)在头颈部血管造影中是否能提供最佳图像质量。这些结果与之前发表的研究结果不同,其主要发现是目前PER的性能优于MER。
减少伪影
金属伪影有损CT的诊断价值,因为暗条纹和亮条纹会阻碍对下层组织病变的检测。例如,在治疗脑动脉瘤时使用的神经线圈可能会妨碍对术周出血或缺血的识别,以及对动脉瘤再灌注的评估。PCCT能够将进入的光子分为不同的能量段,是解决这一问题的方法。事实上,较高能量的光子受线束硬化效应的影响较小,而线束硬化效应是金属伪影的主要成分;因此,与传统CT图像相比,最高能级的图像不易受金属伪影的影响。
Schmitt等人于2023年发表的一项体外研究比较了PCCT和传统的能量积分探测器CT(EID-CT)在金属伪影减少(MAR)前后使用等效标准脑成像方案时与线圈相关的伪影。这项调查显示,与EID-CT相比,全能量PCCT和低能量PCCT的线圈相关伪影程度更高,传统CT和无MAR的高能仓PCCT之间的线圈相关假影没有显著差异,而总能量PCCT与MAR联合显示,与EID-CT相比,金属伪影减少。
Do等人的另一项研究评估了PCCT管电压、能量阈值和采集模式(Macro 对Chess)对金属伪影和图像噪声的影响,得出结论认为,使用 PCCT 结合高能量阈值可以减少金属伪影。
此外,还观察到不同采集模式在减少不同目标结构的金属伪影方面存在差异。Macro高能量阈值图像(HTI)对所有像素采用相同的阈值,有效地将所有子像素组合在一起,对皮质骨显示出更好的效果。Chess高能量阈值成像(Chess-HTI)是将子像素交替分配到两种不同的阈值设置中,从而允许使用四种能量阈值,这似乎减少了骨髓的伪影,但却进一步增加了图像噪声。
金属伪影的另一个来源是牙科植入物或牙科填充物,这妨碍了肿瘤在周围环境中的正确定位,而这反过来又对制定癌症治疗计划至关重要。Lee等人解决了这一问题,并探索了PCCT在金属伪影下对口腔肿瘤进行单独定位的潜力,他们使用带有金属插入物的ATOM模型来验证所建议的减少金属伪影的效果。在PCCT中,使用三个能量阈值(30keV、50keV和65keV)将数据分为三个箱(分别为低能量、中能量和高能量)。对每个能量组图像进行归一化金属伪影消除(NMAR),然后进行基于图像的MD和VMI重建。通过对比噪声比(CNR)测量对图像质量进行定量分析。结果包括对真实碘含量的良好碘估算,1号能量仓图像中碘与周围物质的对比度更好,3号能量仓图像中的金属伪影比1号能量仓图像更少,因为光子能量更高。定量评估结果表明,与30至140 keV能级的传统图像(CNR=10.4±0.5)相比,采用NMAR和MD的40 keV VMI(CNR=20.6±1.2)显著提高了碘增强区域的对比度。因此,这项工作显示了PCCT在最大限度提高靶组织对比度的同时减少金属伪影的潜力。
提高分辨率
脑CT面临的挑战之一是区分灰质(GM)和白质(WM),灰质和白质的缺失是评估早期缺血性脑损伤或其他病理情况时需要注意的标志。此外,骨结构产生的线束伪影导致图像质量下降,会进一步降低灰质和白质的区分度。
Pourmorteza等人对PCCT与传统CT相比是否能提供更好的图像质量进行了体内外研究。在体外,PCD图像的图像噪声比EID图像低8.5% ± 4.8%,而在体内,图像噪声改善了12.8-20.6%,信噪比改善了19.0-20.0%,GM-WM改善了15.7%,GM-WM CNR改善了33.3%。这些研究结果表明,PCCT在改善脑部图像质量方面具有很大潜力,或者说,在目前脑部CT质量水平相似的情况下,可以减少辐射剂量(约40%)。
组织分析
PCCT的一个潜在优势是有机会通过定量方法更好地评估组织的组成。根据PCCT的物理原理,可以绘制组织内某些特定原子元素的定量分布图。
Dahal等人最近发表的一篇论文表明,由于PCCT的高空间分辨率和高能量分辨率的共同作用,PCCT能够有效量化(与组织病理学测量相比)切除的动脉粥样硬化颈动脉中的纤维帽(FC)厚度、FC面积和富脂坏死核心(LRNC)面积。这些结果与冠状动脉的研究结果一致。
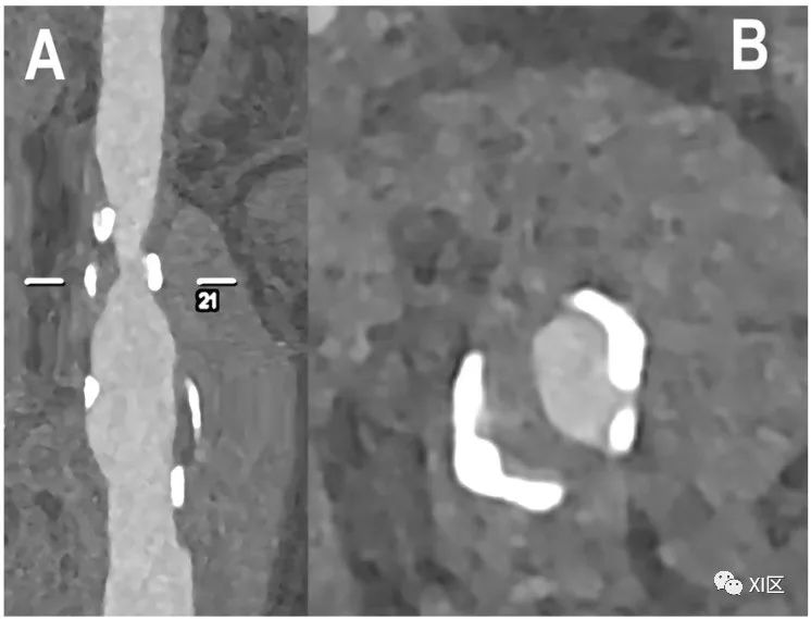
颈动脉分叉处的PCCT血管造影:轻度钙化动脉粥样硬化。PCCT血管造影显示超高清(源数据集;矩阵1024×1024;层厚/增量0.2/0.1mm;体素100 μm;卷积核Bv60;辐射剂量与使用第三代双源CT的同等颈动脉CT血管造影相当)颈动脉分叉处动脉壁增厚,近端颈内动脉处有轻度灶性钙化斑块(箭头所指)。
颈动脉分叉的PCCT血管造影:轻度非钙化动脉粥样硬化。PCCT血管造影显示了超高清(源数据集;矩阵1024×1024;层厚/增量0.2/0.1mm;体素100 μm;卷积核Bv60;辐射剂量与使用第三代双源CT进行的同等颈动脉血管造影相当)颈动脉分叉的纵向CPR成像,动脉壁有轻度弥漫性非钙化动脉粥样硬化。
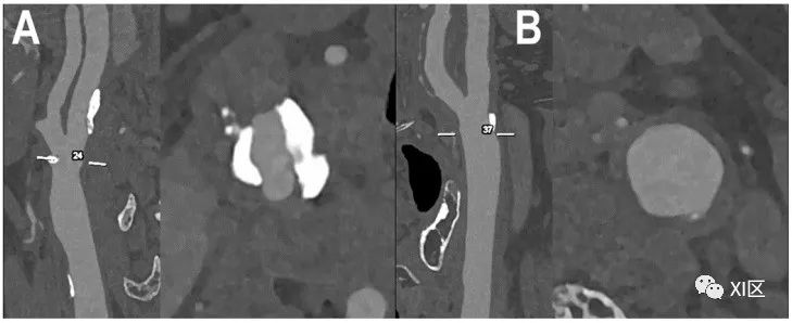
颈动脉分叉的PCCT血管造影:中度混合性和钙化性动脉粥样硬化。PCCT血管造影显示了2个超高清(源数据集;矩阵1024×1024;层厚/增量0.2/0.1mm;体素100 μm;卷积核Bv60;辐射剂量与使用第三代双源CT进行颈动脉血管造影的同等剂量相当)颈动脉分叉处有严重钙化的动脉粥样硬化斑块((A);纵向和轴向视图)和中度/中度混合/钙化斑块((B);纵向和轴向视图)。值得注意的是,(A)中斑块的大块钙化完全分布在动脉壁内,不影响最终管腔狭窄的观察和量化。
颈动脉分叉处的PCCT血管造影:严重混合性动脉粥样硬化。PCCT血管造影显示超高清(源数据集;矩阵1024×1024;层厚/增量0.2/0.1mm;体素100 μm;卷积核Bv60;辐射剂量与使用第三代双源CT的同等颈动脉血管造影相当)颈动脉分叉处有严重的混合性动脉粥样硬化斑块((A):纵向视图;(B):轴向视图)。值得注意的是,无论是相对于剩余的非钙化部分,还是相对于管腔定义,斑块的大块钙化都非常清晰。需要强调的是,成分分析并不局限于原子成分,有证据表明PCCT可进一步用于更好地评估组织成分,神经血管领域以外的其他目标也证明了这一点:例如,骨小梁微结构分析、肾结石的检测和特征描述、乳腺组织特征描述以及痛风中晶体沉积的检测、分化和量化。
钙分解算法
组织的检测和特征描述是诊断过程中的重要步骤,尤其是在神经成像中。材料分解主要在增强CT中进行研究,但也可在脑CT平扫中进行,例如,用于区分出血和钙化。这种区分在临床上非常重要,例如,可将良性脑钙化与有出血风险的病变(如海绵状血管瘤)区分开来,或将脑肿瘤(如常见钙化的少突胶质瘤)与常见瘤内出血的胶质母细胞瘤区分开来,从而从根本上改变治疗策略。在这方面,DECT已被证明具有价值。
减少剂量
在所有组织中,VNC图像的衰减值都与真正的平扫图像相似;因此,在多期检查中,VNC图像可省去真正的平扫扫描,从而减少辐射剂量。有研究表明,取消真实平扫阶段可节省高达40%的辐射剂量。
Sawall等人的研究发现,PCCT带来的碘对比度改善可用于减少患者剂量或给患者使用的造影剂用量。
文献中对VNC的使用存在争议:一些作者报告称,与参照物相比,VNC的客观和主观图像质量存在显著差异,尤其是在大血管中,极高的碘浓度会显著增加相应VNC图像的衰减。因此,在多期检查中,动脉晚期或门静脉相图像比动脉相图像更适合这些重建。
此外,PCCT固有的更高空间分辨率可在不影响图像质量的情况下将辐射剂量减少20-30%,通过额外的锡滤波器甚至可减少67-83%,这一特点对儿科人群具有重要意义。
基于材料的靶向对比度分析
PCD解析透射光谱中每个光子的能量,对其进行量化,并将其归类到能量箱中,在存在一种或多种高原子序数外源材料的情况下,PCCT可生成单个元素分布的定量图。使用最多的外源材料是造影剂,从概念上讲,PCD可以使用具有不同原子序数的新型造影剂(如纳米粒子、钨造影剂等)来研究生物过程和/或特定的堆积部位。
在神经血管领域,由于需要追踪更深层次的病理途径,其潜在应用具有开创性。最近的一项研究利用金纳米粒子在动物模型中研究了巨噬细胞在脆弱的动脉粥样硬化斑块中的聚集情况。这可应用于颈动脉和颅内动脉,以探索并最终检测炎症性动脉粥样硬化过程。在35个斑块中,壁内测得的金浓度与巨噬细胞面积之间的相关性为0.82。
另一项研究在动脉粥样硬化颈动脉中证实,与使用碘造影剂的PCCT相比,使用多能量仓选项结合钨造影剂的PCCT有可能改善血管腔和血管壁的可视性。
类似的过程也可用于脑成像,使用专为神经肿瘤应用设计的特定造影剂,但这些新造影剂应能在血脑屏障(BBB)内移动。迄今已有大量研究证实,纳米粒子在CT成像中通过被动靶向进行靶向聚集,尤其是在肿瘤成像中。Smilowitz等人对动物模型的研究结果表明,通过静脉注射纳米粒子,AuNP可在脑内肿瘤肿块中聚集。
新造影剂的使用和PCCT识别不同种类原子的潜力,为同时使用多造影剂提供了机会,从而获得来自多个目标的信息。Cuccione等人在一项以治疗缺血性中风的细胞疗法为中心的动物模型研究中发现,多色光谱PCCT可以对移植到受损大鼠大脑中的治疗细胞及其封装支架进行监测和量化。
此外,这些新型造影材料通过在纳米粒子表面添加抗体等靶向分子,可主动靶向特定部位,如癌细胞的精确表面标记。PCCT在这一领域已有体外应用,对淋巴瘤和乳腺癌靶向的单克隆抗体共轭金纳米粒子进行量化,旨在检测肿瘤的异质性,并据此调整癌症治疗。
还可以在纳米粒子表面共轭肽,以促进其在大脑中的积累。Bao等人的一篇论文将肽与氧化铈纳米粒子(CeONP)共轭,以促进其穿越BBB。作者证明,CeONP在穿过BBB后有助于治疗和保护大脑免受缺血性损伤引起的中风。虽然这项研究没有进行CT成像,但其积累情况可以通过PCCT进行检测,这表明CeONP有可能成为治疗脑部疾病的药物。
结论
PCCT具有空间分辨率高、噪声明显降低、剂量效率高、辐射暴露少、造影剂使用和材料分解优化等优点,可提高CT在神经血管领域的诊断价值。
更多干货,关注XI区!
编译整理自:Cademartiri F, Meloni A, Pistoia L, Degiorgi G, Clemente A, De Gori C, Positano V, Celi S, Berti S, Emdin M, Panetta D, Menichetti L, Punzo B, Cavaliere C, Bossone E, Saba L, Cau R, Grutta L, Maffei E. Dual Source Photon-Counting Computed Tomography-Part II: Clinical Overview of Neurovascular Applications. J Clin Med. 2023 May 23;12(11):3626. doi: 10.3390/jcm12113626. PMID: 37297821; PMCID: PMC10253695. 仅供专业人士交流目的,不用于商业用途。
2024年3月25日
本文为澎湃号作者或机构在澎湃新闻上传并发布,仅代表该作者或机构观点,不代表澎湃新闻的观点或立场,澎湃新闻仅提供信息发布平台。申请澎湃号请用电脑访问http://renzheng.thepaper.cn。





- 报料热线: 021-962866
- 报料邮箱: news@thepaper.cn
互联网新闻信息服务许可证:31120170006
增值电信业务经营许可证:沪B2-2017116
© 2014-2026 上海东方报业有限公司




